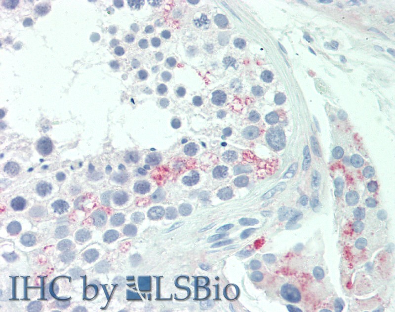
Monoclonal Antibody to Estradiol (E2)
17B-Estradiol; Oestradiol; Beta-Estradiol
- Product No.MAA461Ge21
- Organism SpeciesPan-species (General) Same name, Different species.
- SourceMonoclonal antibody preparation
- HostMouse
- Potency (Clone Number)C1
- Ig Isotype IgG2a Kappa
- PurificationProtein A + Protein G affinity chromatography
- LabelNone
- Immunogen CPA461Ge21-OVA Conjugated Estradiol (E2)
- Buffer FormulationPBS, pH7.4, containing 0.02% NaN3, 50% glycerol.
- TraitsLiquid
- Concentration1mg/mL
- Organism Species MoreHomo sapiens (Human)
- ApplicationsIHC
If the antibody is used in flow cytometry, please check FCM antibodies. - DownloadInstruction Manual
- UOM 20µl100µl 200µl 1ml 10ml
- FOB
US$ 120
US$ 280
US$ 400
US$ 1000
US$ 4000
For more details, please contact local distributors!
SPECIFITY
The antibody is a mouse monoclonal antibody raised against E2. It has been selected for its ability to recognize E2 in immunohistochemical staining and western blotting.
USAGE
Immunohistochemistry: 5-20µg/mL;
Optimal working dilutions must be determined by end user.
STORAGE
Store at 4°C for frequent use. Stored at -20°C in a manual defrost freezer for two year without detectable loss of activity. Avoid repeated freeze-thaw cycles.
STABILITY
The thermal stability is described by the loss rate. The loss rate was determined by accelerated thermal degradation test, that is, incubate the protein at 37°C for 48h, and no obvious degradation and precipitation were observed. The loss rate is less than 5% within the expiration date under appropriate storage condition.
GIVEAWAYS
INCREMENT SERVICES
| Magazine | Citations |
| BioMed research international | Antiosteoclastic Activity of Milk Thistle Extract after Ovariectomy to Suppress Estrogen Deficiency-Induced Osteoporosis PubMed: PMC3678416 |
| Fertility and Sterility | Growth differential factor-9 inhibits testosterone production in mouse theca interstitial cells Pubmed: 23954356 |
| Repositório Digital | Utilizacao de células-tronco adultas para tratamento de falência ovariana causada por quimioterapia em camundongas Lume: Source |
| Electromagnetic Biology and Medicine | The effects of long-term exposure to a 2450 MHz electromagnetic field on growth and pubertal development in female Wistar rats Informahealthcare: Source |
| Academic Sciences | Piper longum hexane fraction induces infertility by modulation of inflammatory mediators and gonadotropin insufficiency in female rats Ijppsjournal: Source |
| Stem Cells Int. | Cell Therapy for Chemically Induced Ovarian Failure in Mice Pubmed:Pmc4274854 |
| Reproductive Toxicology | Carbamazepine-exposure during gestation and lactation affects pubertal onset and spermatic parameters in male pubertal offspring Pubmed:24126190 |
| Phytomedicine. | Phloretin promotes osteoclast apoptosis in murine macrophages and inhibits estrogen deficiency-induced osteoporosis in mice Pubmed:24932975 |
| Turkish Journal of Urology | Apoptosis in testicular tissue of rats after vasectomy: evaluation of eNOS, iNOS immunoreactivities and the effects of ozone therapy Turkishjournalofurology:Source |
| international journal of environmental research and public health | Elevated Serum Bisphenol A Level in Patients with Dilated Cardiomyopathy PubMed: 25996886 |
| Reprod Toxicol | In utero PubMed: 25530038 |
| oncology research | Mechanistic Study on Triptorelin Action in Protecting From 5-FU-Induced Ovarian Damage in Rats PubMed: 26629940 |
| Environ Toxicol | Effect on the H19 gene methylation of sperm and organs of offspring after chlorpyrifos‐methyl exposure during organogenesis period PubMed: 25782373 |
| J Endocrinol | Testosterone replacement attenuates mitochondrial damage in a rat model of myocardial infarction PubMed: 25770118 |
| Reproduction | Prenatal and lactation nicotine exposure affects Sertoli cell and gonadotropin levels in rats PubMed: 26556892 |
| Veterinary Word | Effect of extended photoperiod during winter on growth and onset of puberty in Murrah buffalo heifers Pubmed:27051212 |
| Archives of Physiology and Biochemistry | Activation of cardiac renin–angiotensin system and plasminogen activator inhibitor-1 gene expressions in oral contraceptive-induced cardiometabolic disorder Pubmed:26934364 |
| Plos One | Association between Polycystic Ovary Syndrome and Cavia (Guinea pig )t Microbiota Pubmed:27093642 |
| Biology of Reproduction | Maternal High-Fat Diet Induced Loss of Fetal Oocytes Is Associated with Compromised Follicle Growth in Adult Rat Offspring Pubmed:26962114 |
| PPAR Research | Testosterone Replacement Modulates Cardiac Metabolic Remodeling after Myocardial Infarction byUpreCavia (Guinea pig )lating PPARα Pubmed:27413362 |
| Clinical and Experimental Hypertension | Assessment of ADMA, estradiol, and progesterone in severe preeclampsia Pubmed:27152507 |
| PLoS Genet. | A Jacob/Nsmf Gene Knockout Results in Hippocampal Dysplasia and Impaired BDNF Signaling in Dendritogenesis Pubmed:26977770 |
| Scientific Reports | The Reproductive Toxicity of CdSe/ZnS Quantum Dots on the in vivo Ovarian Function and in vitro Fertilization pubmed:27876896 |
| Scientific Reports | Molecular characterization of insulin resistance and glycolytic metabolism in the rat uterus pubmed:27461373 |
| 33 | Metformin Ameliorates Uterine Defects in a Rat Model of Polycystic Ovary Syndrome. pubmed:28336389 |
| African Journal of Environmental Science and Technology | Pollution by endocrine disrupting estrogens in aquatic ecosystems in Morogoro urban and peri-urban areas in Tanzania 150659 |
| Journal of Functional Foods | Comparative effects of brown and golden flaxseeds on body composition, inflammation and bone remodelling biomarkers in perimenopausal overweight women S1756464617301561 |
| environmental pollution | Environmental exposure to polycyclic aromatic hydrocarbons (PAHs): The correlation with and impact on reproductive hormones in umbilical cord serum. pubmed:27838061 |
| Environmental toxicology and pharmacology | Combined oral contraceptive and nitric oxide synthesis inhibition synergistically causes cardiac hypertrophy and exacerbates insulin resistance in female rats. pubmed:28376377 |
| PPAR Research | Testosterone Replacement Modulates Cardiac Metabolic Remodeling after Myocardial Infarction by Upregulating PPARα pubmed:27413362 |
| Toxicological Sciences | Exposure of pregnant mice to perfluorobutanesulfonate causes hypothyroxinemia and developmental abnormalities in female offspring pubmed:27803384 |
| Sci Rep | Exposure of pregnant mice to triclosan impairs placental development and nutrient transport. pubmed:28322267 |
| Interact Cardiovasc Thorac Surg | Acute administration of oestradiol or progesterone in a spinal cord ischaemia–reperfusion model in rats pubmed:29049608 |
| Toxicological Sciences | Exposure of Pregnant Mice to Triclosan Causes Insulin Resistance via Thyroxine Reduction pubmed:28973666 |
| Reproductive Sciences | Abnormality of Klotho Signaling Is Involved in Polycystic Ovary Syndrome pubmed:28673204 |
| Oncotarget | Rcan2 and estradiol independently regulate body weight in female mice pubmed:28624805 |
| African Journal of Environmental Science and Technology | Pollution by endocrine disrupting estrogens in aquatic ecosystems in Morogoro urban and peri-urban areas in Tanzania 10.5897/AJEST2016.2234 |
| Journal of Orthopaedic Research | The Combination of icariin and constrained dynamic loading stimulation attenuates bone loss in ovariectomy‐induced osteoporotic mice pubmed:29058779 |
| Animal Production Science | Can serum levels of anti-Müllerian hormone and oestradiol in juvenile gilts be used to predict future reproductive performance? 10.1071/ANv57n12Ab065 |
| Asian Journal of Biomedical and Pharmaceutical Sciences | A Water Extract of Benefiting-Bone Capsule Improves Osteoporosis via Transcriptional and Translational Regulation of Key Factors in Notch and Wnt/ò-catenin Signaling Pathways in Ovariectomized Rats ISSN 2249 – 622X |
| Nanotheranostics | The biocompatibility studies of polymer dots on pregnant mice and fetuses pubmed:29071192 |
| DARU Journal of Pharmaceutical Sciences | Beneficial effects of Heqi san on rat model of polycystic ovary syndrome through the PI3K/AKT pathway pubmed:29020999 |
| Reproduction. | Effect of controlled ovarian hyperstimulation on puberty and estrus in mice offspring pubmed:28687593 |
| Molecular Medicine Reports | Molecular mechanism and functional role of macrophage colony‑stimulating factor in follicular granulosa cells pubmed:28656272 |
| Annals of Rheumatic Diseases | FRI0390 Impaired ovarian reserve in patients affected by systemic lupus erythematosus: a case-control study Suppl_2:728.1.abstract |
| Stem Cell Research & Therapy | The role of mesenchymal stem cells in chemotherapy-induced gonadotoxicity Pubmed:30021657 |
| Environmental Pollution | Prenatal exposure to polychlorinated biphenyl and umbilical cord hormones and birth outcomes in an island population Pubmed:29525625 |
| Toxicological Sciences | Impact of Perfluorooctane Sulfonate on Reproductive Ability of Female Mice through Suppression of Estrogen Receptor a-Activated Kisspeptin Neurons 10.1093:toxsci |
| Frontiers in Molecular Neuroscience | Impact of Triclosan on Female Reproduction through Reducing Thyroid Hormones to Suppress Hypothalamic Kisspeptin Neurons in Mice Pubmed:29403355 |
| Aquatic Toxicology | Exposure to tris (1, 3-dichloro-2-propyl) phosphate for Two generations decreases fecundity of zebrafish at environmentally relevant concentrations Pubmed:29775925 |
| Journal of Ethnopharmacology | Effects of water extract from epimedium on neuropeptide signaling in an ovariectomized osteoporosis rat model Pubmed:29705515 |
| Inflammation | Differential Effects of Brain Death on Rat Microcirculation and Intestinal Inflammation: Female Male Pubmed:29737476 |
| European Journal of Neuroscience | Postnatal separation prevents the development of prenatal stress‐induced anxiety in association with changes in oestrogen receptor and oxytocin immunoreactivity in … Pubmed:29205599 |
| Journal of Ovarian Research | DHEA-induced ovarian hyperfibrosis is mediated by TGF-β signaling pathway Pubmed:29321035 |
| Medical Science Monitor | Up-Regulation of Long Noncoding RNA SRA Promotes Cell Growth, Inhibits Cell Apoptosis, and Induces Secretion of Estradiol and Progesterone in Ovarian … Pubmed:29674607 |
| Biomedicine & Pharmacotherapy | Crocetin attenuates DHT-induced polycystic ovary syndrome in mice via revising kisspeptin neurons Doi: 10.1016/j.biopha.2018.08.135 |
| Journal of Endocrinology | Uterine progesterone signaling is a target for metformin therapy in polycystic ovary syndrome Pubmed: 29535146 |
| Stem Cell Research & Therapy | Endometrial mesenchymal stem cells isolated from menstrual blood repaired epirubicin-induced damage to human ovarian granulosa cells by inhibiting the … Pubmed: 30606243 |
| journal of molecular neuroscience | Possible Metabolic Alterations among Autistic Male Children: Clinical and Biochemical Approaches Pubmed: 30600432 |
| Heliyon | Establishment and evaluation of a novel mouse model of peri/postmenopausal depression Doi: 10.1016/j.heliyon.2019.e01195 |
| Experimental and Therapeutic Medicine | Tanshinone IIA attenuates estradiol‑induced polycystic ovarian syndrome in mice by ameliorating FSHR expression in the ovary |
| Evidence-Based Complementary and Alternative Medicine | iTRAQ-Based Proteomics to Reveal the Mechanism of Hypothalamus in Kidney-Yin Deficiency Rats Induced by Levothyroxine |
| Biomedicine & Pharmacotherapy | G protein-coupled estrogen receptor activation improves contractile and diastolic functions in rat renal interlobular artery to protect against renal ischemia … Pubmed: 30784936 |
| Biomedicine & Pharmacotherapy | Protective properties of glycogen synthase kinase-3 inhibition against doxorubicin-induced oxidative damage to mouse ovarian reserve |
| Biology of Reproduction | G-CSF-mobilized Peripheral Blood Mononuclear Cells Combined with Platelet-rich Plasma Accelerates Restoration of Ovarian Function in Cyclophosphamide … Pubmed: 31034039 |
| Biomedicine & pharmacotherapy | Aqueous extract of lily bulb ameliorates menopause-like behavior in ovariectomized mice with novel brain-uterus mechanisms distinct from estrogen therapy Pubmed: 31207575 |
| Reproductive Biology and Endocrinology | Menstrual blood derived mesenchymal stem cells combined with Bushen Tiaochong recipe improved chemotherapy-induced premature ovarian failure in … Pubmed: 31311554 |
| Experimental Neurology | Reduced serotonin impairs long-term depression in basolateral amygdala complex and causes anxiety-like behaviors in a mouse model of perimenopause Pubmed: 31377402 |
| Oxidative medicine and cellular longevity | Total Polysaccharides of Lily Bulb Ameliorate Menopause-Like Behavior in Ovariectomized Mice: Multiple Mechanisms Distinct from Estrogen Therapy Pubmed: 31428228 |
| Journal of Ovarian Research | Baicalin ameliorates polycystic ovary syndrome through AMP-activated protein kinase Pubmed: 31722718 |
| Cellular Signalling | Effect of FSH on E2/GPR30-mediated mouse oocyte maturation in vitro Pubmed: 31704004 |
| Chemosphere | Exposure of adult mice to perfluorobutanesulfonate impacts ovarian functions through hypothyroxinemia leading to down-regulation of Akt-mTOR signaling Pubmed: 31809938 |
| Neuroscience | Blocking of Estradiol Receptors ERα, ERβ and GPER During Development, Differentially Alters Energy Metabolism in Male and Female Rats Pubmed: 31805254 |
| Open Access Maced J Med Sc | Gambir Extract (Uncaria Gambir) Decreases Inflammatory Response and Increases Gastric Mucosal Integrity in Wistar Rats-Model Gastritis Pubmed: 31949507 |
| Estradiol treatment during perinatal development alters Pubmed: 31966342 | |
| science of the total environment | Effects of fast food packaging plasticizers and their metabolites on steroid hormone synthesis in H295R cells Pubmed: 32334352 |
| molecular nutrition & food research | Lepidiline A Improves the Balance of Endogenous Sex Hormones and Increases Fecundity by Targeting HSD17B1 Pubmed: 32239630 |
| Chemosphere | Prenatal exposure of female mice to perfluorononanoic acid delays pubertal activation of the reproductive endocrine axis through enhanced hepatic FGF21 … Pubmed: 33131727 |
| ECOTOXICOLOGY AND ENVIRONMENTAL SAFETY | Parental exposure to polystyrene microplastics at environmentally relevant concentrations has negligible transgenerational effects on zebrafish (Danio rerio) Pubmed: 33011509 |
| Neuropharmacology | Impaired LTD-like motor cortical plasticity in female patients with major depression disorder Pubmed: 32791084 |
| JOURNAL OF INTERNATIONAL MEDICAL RESEARCH | Protective effects of irbesartan and benazepril against vaginal vascular remodeling and fibrosis in female spontaneously hypertensive rats Pubmed: 32790534 |
| ARCHIVES OF GYNECOLOGY AND OBSTETRICS | MiRNAs expression profiling of rat ovaries displaying PCOS with insulin resistance Pubmed: 32757043 |
| Antioxidants (Basel) | Composition of Royal Jelly (RJ) and Its Anti-Androgenic Effect on Reproductive Parameters in a Polycystic Ovarian Syndrome (PCOS) Animal Model Pubmed: 32517356 |
| Andrologia | Maternal CBZ exposure impairs testicular development, spermatogenesis and sperm parameters in male offspring at puberty Pubmed: 32478927 |
| Neurotoxicology | Chronic exposure to low dose of bisphenol A causes follicular atresia by inhibiting kisspeptin neurons in anteroventral periventricular nucleus in female mice Pubmed: 32407858 |
| archives of toxicology | Effect of estrogen-active compounds on the expression of RACK1 and immunological implications Pubmed: 32328699 |
| Heliyon | Optimized platelet rich plasma releasate (O-rPRP) repairs galactosemia-induced ovarian follicular loss in rats by activating mTOR signaling and inhibiting … Pubmed: 33005806 |
| BioMed Research International | Pathophysiological Changes in Female Rats with Estrous Cycle Disorder Induced by Long-Term Heat Stress Pubmed: 32685488 |
| Iranian Journal of Basic Medical Sciences | Therapeutic effects of organic zinc on reproductive hormones, insulin resistance and mTOR expression as a novel component in a rat model of PCOS |
| biorxiv | The effects of human umbilical cord mesenchymal stem cell transplantation on female fertility preservation in mice |
| Moosense pedometer activity and periestrual hormone profile in relation to oestrus in crossbred cattle | |
| J Steroid Biochem Mol Biol | Dihydrotestosterone regulates oestrogen secretion, oestrogen receptor expression, and apoptosis in granulosa cells during antral follicle development 33465420 |
| JOURNAL OF ETHNOPHARMACOLOGY | Zihuai recipe alleviates cyclophosphamide-induced diminished ovarian reserve via suppressing PI3K/AKT-mediated apoptosis 33422655 |
| JOURNAL OF ETHNOPHARMACOLOGY | BaZiBuShen alleviates altered testicular morphology and spermatogenesis and modulates Sirt6/P53 and Sirt6/NF-¦ÊB pathways in aging mice induced by D-galactose 33508368 |
| Chronic Exposure to Perfluorohexane Sulfonate Leads to a Reproduction Deficit by Suppressing Hypothalamic Kisspeptin Expression in Mice | |
| Comparison of ovarian striation and ovarian fragmentation in a rat model of ovarian insufficiency | |
| Arch Gynecol Obstet | The relationship between transforming growth factor β superfamily members (GDF11 and BMP4) and lumbar spine bone mineral density in postmenopausal Chinese … 34417839 |
| J Virol | Zika virus infection in the ovary induces continuously elevated progesterone level and compromises conception in interferon α/β receptor-deficient mice 34730391 |
| Stem Cells Int | Activated Human Umbilical Cord Blood Platelet-Rich Plasma Enhances the Beneficial Effects of Human Umbilical Cord Mesenchymal Stem Cells in … 34733331 |
| Eur J Pharmacol | 17β-Estradiol promotes angiogenesis of stria vascular in cochlea of C57BL/6J mice 34822791 |
| IBRO Neuroscience Reports | Effects of Treadmill Exercise on Anxiety-like Behavior in Association with Changes in Estrogen Receptors ERα, ERβ and Oxytocin of C57BL/6J Female Mice 34746914 |
| Nutrients | Yogurt Enriched with Inulin Ameliorated Reproductive Functions and Regulated Gut Microbiota in Dehydroepiandrosterone-Induced Polycystic Ovary Syndrome Mice Pubmed:35057459 |
| Nat Commun | TrkB agonist antibody ameliorates fertility deficits in aged and cyclophosphamide-induced premature ovarian failure model mice Pubmed:35177657 |
| Appl Biochem Biotechnol | ERα, but not ERβ and GPER, Mediates Estradiol-Induced Secretion of TSH in Mouse Pituitary Pubmed:35138554 |
| Stem Cell Research & Therapy | G-CSF-mobilized Peripheral Blood Mononuclear Cells Combined with Platelet-rich Plasma Restored the Ovarian Function of aged rats via angiogenesis and … |
| Research Square | Drug-free in vitro activation combined 3D-bioprinted adipose-derived stem cells restore ovarian function of premature ovarian insufficiency |
| Catalog No. | Related products for research use of Pan-species (General) Organism species | Applications (RESEARCH USE ONLY!) |
| CPA461Ge11 | BSA Conjugated Estradiol (E2) | Immunogen; SDS-PAGE; WB. |
| CPA461Ge21 | OVA Conjugated Estradiol (E2) | Immunogen; SDS-PAGE; WB. |
| CPA461Ge31 | KLH Conjugated Estradiol (E2) | Immunogen; SDS-PAGE; WB. |
| PAA461Ge01 | Polyclonal Antibody to Estradiol (E2) | ELISA |
| LAA461Ge71 | Biotin-Linked Polyclonal Antibody to Estradiol (E2) | WB; IHC; ICC. |
| LAA461Ge81 | FITC-Linked Polyclonal Antibody to Estradiol (E2) | WB; IHC; ICC; IF. |
| MAA461Ge26 | Monoclonal Antibody to Estradiol (E2) | ELISA, CLIA. / IHC-Fr, ICC, IP (predicted). |
| MAA461Ge21 | Monoclonal Antibody to Estradiol (E2) | IHC |
| MAA461Ge22 | Monoclonal Antibody to Estradiol (E2) | ELISA, CLIA. / IHC-Fr, ICC, IP (predicted). |
| MAA461Ge29 | Monoclonal Antibody to Estradiol (E2) | ELISA, CLIA. / IHC-Fr, ICC, IP (predicted). |
| MAA461Ge28 | Monoclonal Antibody to Estradiol (E2) | ELISA, CLIA. / IHC-Fr, ICC, IP (predicted). |
| MAA461Ge27 | Monoclonal Antibody to Estradiol (E2) | ELISA, CLIA. / IHC-Fr, ICC, IP (predicted). |
| CEA461Ge | ELISA Kit for Estradiol (E2) | Enzyme-linked immunosorbent assay for Antigen Detection. |
| IEA461Ge | Instant ELISA Kit for Estradiol (E2) | Enzyme-linked immunosorbent assay for Antigen Detection. |
| MEA461Ge | Mini Samples ELISA Kit for Estradiol (E2) | Enzyme-linked immunosorbent assay for Antigen Detection. |
| CCA461Ge | CLIA Kit for Estradiol (E2) | Chemiluminescent immunoassay for Antigen Detection. |
| LMA461Ge | Multiplex Assay Kit for Estradiol (E2) ,etc. by FLIA (Flow Luminescence Immunoassay) | FLIA Kit for Antigen Detection. |
| KSA461Ge11 | ELISA Kit DIY Materials for Estradiol (E2) | Main materials for "Do It (ELISA Kit) Yourself". |

