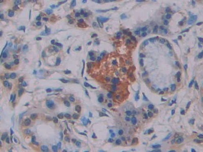
Monoclonal Antibody to Cross Linked C-Telopeptide Of Type I Collagen (CTXI)
CTX-I; CTX1;
- Product No.MAA665Mi22
- Organism SpeciesHomo sapiens (Human) Same name, Different species.
- SourceMonoclonal antibody preparation
- HostMouse
- Potency (Clone Number)C6
- Ig Isotype IgG2b Kappa
- PurificationProtein A + Protein G affinity chromatography
- LabelNone
- Immunogen n/a
- Buffer Formulation0.01M PBS, pH7.4, containing 0.05% Proclin-300, 50% glycerol.
- TraitsLiquid
- Concentration1mg/ml
- Organism Species MoreHomo sapiens (Human)
- ApplicationsIHC; ICC/IF
If the antibody is used in flow cytometry, please check FCM antibodies. - DownloadInstruction Manual
- UOM 20µl100µl 200µl 1ml 10ml
- FOB
US$ 170
US$ 396
US$ 565
US$ 1413
US$ 5650
For more details, please contact local distributors!
SPECIFITY
The antibody is a mouse monoclonal antibody raised against CTXI. It has been selected for its ability to recognize CTXI in immunohistochemical staining and western blotting.
USAGE
Western blotting: 0.01-5µg/mL;
Immunohistochemistry: 5-50µg/mL;
Immunocytochemistry: 5-50µg/mL;
Optimal working dilutions must be determined by end user.
STORAGE
Store at 4°C for frequent use. Stored at -20°C in a manual defrost freezer for two year without detectable loss of activity. Avoid repeated freeze-thaw cycles.
STABILITY
The thermal stability is described by the loss rate. The loss rate was determined by accelerated thermal degradation test, that is, incubate the protein at 37°C for 48h, and no obvious degradation and precipitation were observed. The loss rate is less than 5% within the expiration date under appropriate storage condition.
GIVEAWAYS
INCREMENT SERVICES
| Magazine | Citations |
| journal of bone and mineral research | Atp6v0d2 Is an Essential Component of the Osteoclast-Specific Proton Pump That Mediates Extracellular Acidification in Bone Resorption PubMed: PMC2672205 |
| Bone | Borage and fish oils lifelong supplementation decreases inflammation and improves bone health in a murine model of senile osteoporosis PubMed: 21664309 |
| Trials | Is there benefit in optimising heart failure treatment in over-80 year-old patients? (HF-80 study): study protocol for a randomized controlled trial. Trials: 1745-6215 |
| Journal of Biological Chemistry | TRAF family member-associated NF-κB activator (TANK) is a negative regulator of osteoclastogenesis and bone formation PubMed: 22773835 |
| The Journal of Clinical Endocrinology & Metabolism | A Mediterranean Diet Enriched with Olive Oil Is Associated with Higher Serum Total Osteocalcin Levels in Elderly Men at High Cardiovascular Risk PubMed: PMC3462931 |
| Endocrinology | Oxytocin Reverses Ovariectomy-Induced Osteopenia and Body Fat Gain Endocrine: Source |
| Am J Physiol Endocrinol Metab. | DPP IV inhibitor treatment attenuates bone loss and improves mechanical bone strength in male diabetic rats Pubmed:25053403 |
| The American Journal of Cardiology | Relation of burden of myocardial fibrosis to malignant ventricular arrhythmias and outcomes in Fabry disease Pubmed:25073565 |
| Rheumatology (Oxford). | Bone resorption correlates with the frequency of CD5+ B cells in the blood of patients with rheumatoid arthritis Pubmed:25193807 |
| XPO1/CRM1-Selective Inhibitors of Nuclear Export (SINE) reduce tumor spreading and improve overall survival in preclinical models of prostate cancer (PCa) Pubmed:25284315 | |
| Rheumatology International | The presence of FCGR2B promoter or transmembrane region variant alleles leads to reduced serum IL-6 levels in rheumatoid arthritis Pubmed:25630523 |
| The Journal of Biological Chemistry | 5-azacytidine-induced protein 2 (AZI2) regulates bone mass by fine-tuning osteoclast survival Pubmed:25691576 |
| Scandinavian Journal of Clinical and Laboratory Investigation | Osteocartilaginous metabolic markers change over a 3-week stage race in pro-cyclists PubMed: 26174975 |
| AIDS | Effects of renal tubular dysfunction on bone in tenofovir-exposed HIV-positive patients PubMed: 26372384 |
| the journal of rheumatology | Biomarkers in Remission According to Different Criteria in Patients with Rheumatoid Arthritis PubMed: 26472417 |
| Int J Mol Med | Curcumin alleviates glucocorticoid-induced osteoporosis through the regulation of the Wnt signaling pathway PubMed: 26677102 |
| the journal of biological chemistry | Mutation in Osteoactivin Promotes RANKL-Mediated Osteoclast Differentiation and Survival, but Inhibits Osteoclast Function PubMed: 25837253 |
| frontiers in endocrinology | Oxytocin reverses osteoporosis in a sex-dependent manner PubMed: 26042090 |
| PLoS One. | The RIP1–RIP3 Complex Mediates Osteocyte Necroptosis after Ovariectomy in Rats pmc:PMC4795547 |
| J Cell Physiol | Lanthanum Chloride Attenuates Osteoclast Formation and Function Via the DownreCavia (Guinea pig )lation of Rankl-Induced Nf-κb and Nfatc1 Activities Pubmed:26060084 |
| FASEB Journal | N-Homocysteinylation impairs collagen cross-linking in cystathionine β-synthase-deficient mice: a novel mechanism of connective tissue abnormalities. pubmed:27530978 |
| Metabolism. | High FGF21 levels are associated with altered bone homeostasis in HIV-1-infected patients. pubmed:28521869 |
| journal of science and medicine in sport | The effect of calcium and vitamin D supplementation on bone health of male Jockeys. pubmed:27568072 |
| Chemico-Biological Interactions | Ginsenosides Rg3 attenuates glucocorticoid-induced osteoporosis through regulating BMP-2/BMPR1A/Runx2 signaling pathway pubmed:27387537 |
| Epilepsy Research | The effect of lamotrigine and phenytoin on bone turnover and bone strength: A prospective study in Wistar rats pubmed:27838501 |
| Bone | Reduced femoral bone mass in both diet-induced and genetic hyperlipidemia mice pubmed:27669658 |
| Journal of Vascular Surgery | A potential role for glycated cross-links in abdominal aortic aneurysm disease. pubmed:27624703 |
| Institute of Pharmacology | Effects of long-term administration of pantoprazole on bone mineral density in young male rats. pubmed:27552060 |
| Biomedicine & Pharmacotherapy | Anti-osteoporotic effects of an antidepressant tianeptine on ovariectomized rats S0753332216322752 |
| European Journal of Pharmacology | Cannabidiol administration reduces sublesional cancellous bone loss in rats with severe spinal cord injury pubmed:28479140 |
| APPLIED SPECTROSCOPY | Side-Effects of Convulsive Seizures and Anti-Seizure Therapy on Bone in a Rat Model of Epilepsy pubmed:28905646 |
| Clinical Nutrition | Obesity status influences the relationship among serum osteocalcin, iron stores and insulin sensitivity pubmed:29050649 |
| Oncotarget | A novel osteoporosis model with ascorbic acid deficiency in Akr1A1 gene knockout mice. pubmed:28060768 |
| 中国骨质疏松杂志 | 骨形成指标PINP 与骨吸收指标β-CTX 在2 型糖尿病合并骨质疏松中作用的研究. 10.3969/j.issn.1006-7108.2017.03.009 |
| BioMed Research International | Optimization of the Time Window of Interest in Ovariectomized Imprinting Control Region Mice for Antiosteoporosis Research pubmed:29119115 |
| Cell Death And Differentiation | TSC1 regulates osteoclast podosome organization and bone resorption through mTORC1 and Rac1/Cdc42 Pubmed:29358671 |
| Journal of Periodontology | The role of androgens on periodontal repair in female rats Pubmed:29683499 |
| Life Sciences | Myricetin ameliorates glucocorticoid-induced osteoporosis through the ERK signaling pathway Pubmed:29883721 |
| European Journal of Pharmacology | The effect of levetiracetam on rat bone mineral density, bone structure and biochemical markers of bone metabolism Pubmed:29428468 |
| Journal of Clinical Densitometry | Geometric and mechanical bone response to a multidisciplinary weight loss intervention in adolescents with obesity: The ADIBOX study Pubmed:30076009 |
| Pharmacology | Effects of Amlodipine on Bone Metabolism in Orchidectomised Spontaneously Hypertensive Rats Pubmed:29898457 |
| Experimental and Therapeutic Medicine | Liraglutide exerts a bone‑protective effect in ovariectomized rats with streptozotocin‑induced diabetes by inhibiting osteoclastogenesis Pubmed:29805533 |
| Experimental and Therapeutic Medicine | Combination therapy with BMP‑2 and psoralen enhances fracture healing in ovariectomized mice 10.3892:etm.2018.6353 |
| Tumor Biology | Dual PI3 K/mTOR inhibition reduces prostate cancer bone engraftment altering tumor-induced bone remodeling Pubmed:29687745 |
| Sensors | Membrane-Based Microwave-Mediated Electrochemical Immunoassay for the In Vitro, Highly Sensitive Detection of Osteoporosis-Related Biomarkers Pubmed: 30181433 |
| Tropical Journal of Pharmaceutical Research | Mollugin attenuates glucocorticoid-induced osteoporosis in rats via Akt/P13K pathway |
| Bone & Joint Research | Transcriptome analysis of osteoblasts in an ovariectomized mouse model in response to physical exercise |
| Toxicol Ind Health | Influence of physical training on markers of bone turnover, mechanical properties, morphological alterations, density and mineral contents in the femur of rats exposed … Pubmed: 30983556 |
| Journal of Geriatric Oncology | Serum biomarkers for predicting overall survival and early mortality in older patients with metastatic solid tumors Pubmed: 30952517 |
| Scientific Reports | Significance of the Tks4 scaffold protein in bone tissue homeostasis |
| E The Effects of Ficus Carica Fruit on Bone Markers and Oestrogen Level of Post-Menopausal Osteoporotic Rats | |
| Biology Open | Osteocyte TSC1 promotes sclerostin secretion to restrain osteogenesis in mice Pubmed: 31088250 |
| Journal of Periodontology | Role of testosterone and androgen receptor in periodontal disease progression in female rats Pubmed: 31389012 |
| Journal of clinical periodontology | Biomarkers of oral inflammation in perinatally HIV‐infected and perinatally HIV exposed, uninfected youth Pubmed: 31385616 |
| Bulletin of Experimental Biology and Medicine | Laboratory Monitoring of Bone Tissue Remodeling after Augmentation of Impression Intraarticular Fracture with Different Types of Bone Graft Pubmed: 31630302 |
| Molecular Therapy-Nucleic Acids | AAV-anti-miR-214 prevents collapse of the femoral head in osteonecrosis by regulating osteoblast and osteoclast activities Pubmed: 31739209 |
| International Journal of Environmental Research and Public Health | Alleviating Effect of α-Lipoic Acid and Magnesium on Cadmium-Induced Inflammatory Processes, Oxidative Stress and Bone Metabolism Disorders in Wistar Rats Pubmed: 31739465 |
| International journal of molecular sciences | Differences in Osteoimmunological Biomarkers Predictive of Psoriatic Arthritis among a Large Italian Cohort of Psoriatic Patients Pubmed: 31717649 |
| Brazilian Journal of Medical and Biological Research | Beneficial effects of Cuscuta chinensis extract on glucocorticoid-induced osteoporosis through modulation of RANKL/OPG signals Pubmed: 31826180 |
| Journal of Bone and Mineral Research | BMP9 reduces bone loss in ovariectomized mice by dual regulation of bone remodeling Pubmed: 31914211 |
| Theranostics | EDTA-Modified 17β-Estradiol-Laden Upconversion Nanocomposite for Bone-Targeted Hormone Replacement Therapy for Osteoporosis Pubmed: 32194868 |
| Cells | Article Dual CXCR4 and E-Selectin Inhibitor, GMI-1359, Shows Anti-Bone Metastatic Effects and Synergizes with Docetaxel in Prostate Cancer Cell Intraosseous … Pubmed: 31877673 |
| Cell | RNA Sensing by Gut Piezo1 Is Essential for Systemic Serotonin Synthesis Pubmed: 32640190 |
| Advanced Science | A Loop‐Based and AGO‐Incorporated Virtual Screening Model Targeting AGO‐Mediated miRNA–mRNA Interactions for Drug Discovery to Rescue Bone Phenotype … Pubmed: 32670749 |
| International Medical Journal Malaysia | The Effects of Ficus Carica Fruit on Bone Markers and Oestrogen Level of Post-Menopausal Osteoporotic Rats. |
| Cells. | Dual CXCR4 and E-Selectin Inhibitor, GMI-1359, Shows Anti-Bone Metastatic Effects and Synergizes with Docetaxel in Prostate Cancer Cell Intraosseous … |
| Journal of Orthopaedic Translation | Qu Feng Zhi Tong capsule increases mechanical properties of cortical bone in ovariectomized rats |
| Research square | 4-Hexylresorcinol Inhibits Osteoclastogenesis by Suppressing NF‐κB Signaling Pathway and Reverses Bone Loss in Ovariectomized Mice |
| IIUM Medical Journal Malaysia | The Effects of Ficus Carica Fruit on Bone Markers and Oestrogen Level of Post-Menopausal Osteoporotic Rats |
| 淫羊藿水提物及提取药渣的抗骨质疏松药效比较研究 | |
| Pamukkale Tıp Dergisi | Postmenapozal Tip-2 diyabetes mellitus' lu hastalarda osteoporoza bağlı kırık riskinin ve kemik Turnoveri'nin değerlendirilmesi |
| Science Advances | A biomimetically hierarchical polyetherketoneketone scaffold for osteoporotic bone repair 33310848 |
| J Bone Miner Res | Lgr4 promotes aerobic glycolysis and differentiation in osteoblasts via the canonical Wnt/¦Â©\catenin pathway 33950533 |
| Br J Pharmacol | Andrographolide prevents bone loss via targeting ERRalpha‐regulated metabolic adaption of osteoclastogenesis 34233019 |
| PHARMACEUTICAL BIOLOGY | Effects of icariin on the fracture healing in young and old rats and its mechanism 34511043 |
| Evid Based Complement Alternat Med | Gujiansan Ameliorates Avascular Necrosis of the Femoral Head by Regulating Autophagy via the HIF-1α/BNIP3 Pathway 34512780 |
| Scandinavian Cardiovascular Journal | Dual integrin αvβ3 and αvβ5 blockade attenuates cardiac dysfunction by reducing fibrosis in a rat model of doxorubicin-induced cardiomyopathy 34296634 |
| Chronobiol Int | Night shift work and osteoporosis-bone turnover markers among female blue-collar workers in Poland Pubmed:35139709 |
| Cell Metab | Defects in a liver-bone axis contribute to hepatic osteodystrophy disease progression Pubmed:35235775 |
| Cell Death Discov | BMP9 reduces age-related bone loss in mice by inhibiting osteoblast senescence through Smad1-Stat1-P21 axis Pubmed:35523787 |
| Experimental and Molecular Medicine | Foxf2 represses bone formation via Wnt2b/β-catenin signaling Pubmed:35668101 |
| Bioactive Materials | Osteoporotic bone recovery by a bamboo-structured bioceramic with controlled release of hydroxyapatite nanoparticles Pubmed:35386445 |
| Journal of Orthopaedic Translation | Puerarin specifically disrupts osteoclast activation via blocking integrin-β3 Pyk2/Src/Cbl signaling pathway Pubmed:35228997 |
| Journal of Orthopaedic Translation | Exercised accelerated the production of muscle-derived kynurenic acid in skeletal muscle and alleviated the postmenopausal osteoporosis through the Gpr35 … |
| Catalog No. | Related products for research use of Homo sapiens (Human) Organism species | Applications (RESEARCH USE ONLY!) |
| MAA665Mi21 | Monoclonal Antibody to Cross Linked C-Telopeptide Of Type I Collagen (CTXI) | IHC; ICC/IF |
| MAA665Mi28 | Monoclonal Antibody to Cross Linked C-Telopeptide Of Type I Collagen (CTXI) | WB |
| MAA665Mi26 | Monoclonal Antibody to Cross Linked C-Telopeptide Of Type I Collagen (CTXI) | WB; IHC; ICC; IP. |
| MAA665Mi27 | Monoclonal Antibody to Cross Linked C-Telopeptide Of Type I Collagen (CTXI) | WB; IHC; ICC; IP. |
| MAA665Mi22 | Monoclonal Antibody to Cross Linked C-Telopeptide Of Type I Collagen (CTXI) | IHC; ICC/IF |
| MAA665Mi23 | Monoclonal Antibody to Cross Linked C-Telopeptide Of Type I Collagen (CTXI) | IHC; ICC/IF |
| MAA665Mi24 | Monoclonal Antibody to Cross Linked C-Telopeptide Of Type I Collagen (CTXI) | IHC |
| MAA665Mi25 | Monoclonal Antibody to Cross Linked C-Telopeptide Of Type I Collagen (CTXI) | IHC |

