Polyclonal Antibody to Complement Component 3a (C3a)
- Product No.PAA387Ra06
- Organism SpeciesRattus norvegicus (Rat) Same name, Different species.
- SourcePolyclonal antibody preparation
- HostRabbit
- Potencyn/a
- Ig Type IgG
- PurificationAntigen-specific affinity chromatography followed by Protein A affinity chromatography
- LabelNone
- Immunogen n/a
- Buffer FormulationPBS, pH7.4, containing 0.02% NaN3, 50% glycerol.
- TraitsLiquid
- Concentration500µg/mL
- Organism Species Moren/a
- ApplicationsWB
 If the antibody is used in flow cytometry, please check FCM antibodies.
- Downloadn/a
- UOM 20µl100µl 200µl 1ml 10ml
- FOB
    
                                    US$  
            
                
                        US$  
                                        US$  
                                        US$  
                                        US$  
                            
 For more details, please contact local distributors!
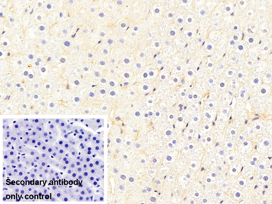
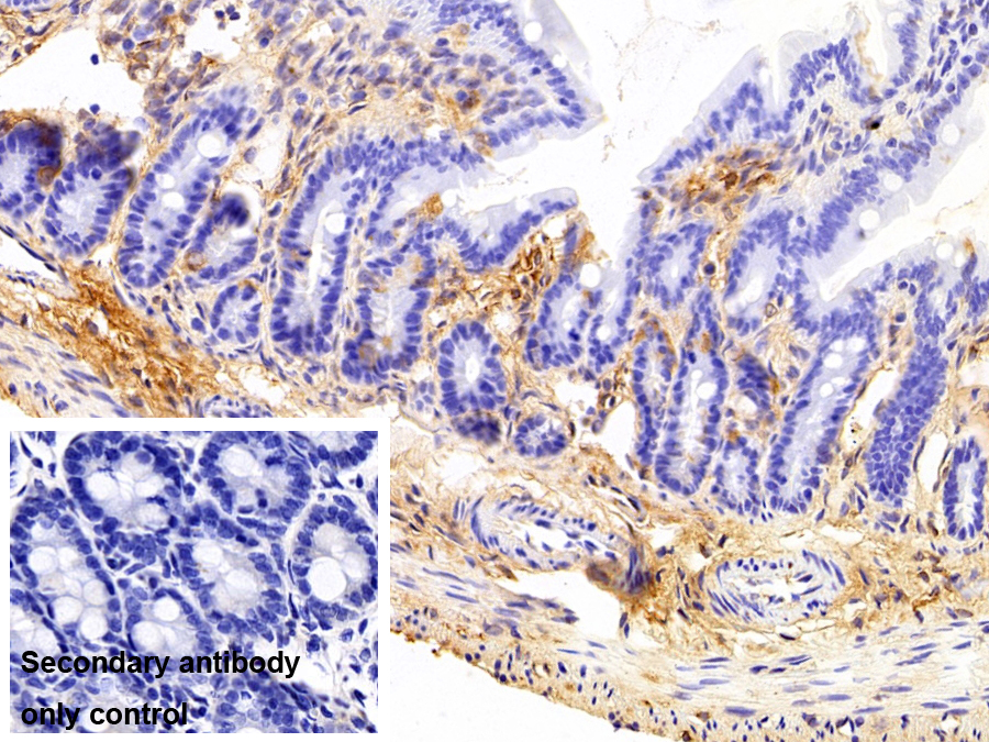
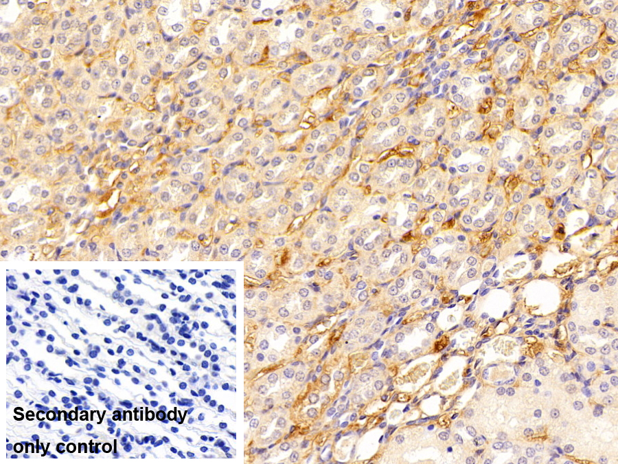
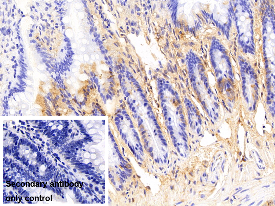
SPECIFITY
The antibody is a rabbit polyclonal antibody raised against C3a. It has been selected for its ability to recognize C3a in immunohistochemical staining and western blotting.
USAGE
        Western blotting: 0.1-2µg/mL;
Immunohistochemistry: 5-20µg/mL;
Immunocytochemistry: 5-20µg/mL;
Optimal working dilutions must be determined by end user.    
STORAGE
Store at 4°C for frequent use. Stored at -20°C in a manual defrost freezer for two year without detectable loss of activity. Avoid repeated freeze-thaw cycles.
STABILITY
The thermal stability is described by the loss rate. The loss rate was determined by accelerated thermal degradation test, that is, incubate the protein at 37°C for 48h, and no obvious degradation and precipitation were observed. The loss rate is less than 5% within the expiration date under appropriate storage condition.
GIVEAWAYS
INCREMENT SERVICES
| Magazine | Citations | 
| 22 | Immobilization of soluble complement receptor 1 on islets. ScienceDirect: S0142961211002596 | 
| Journal of Reproductive Immunology | Elevated complement factor C5a in maternal and umbilical cord plasma in preeclampsia PubMed: 23415845 | 
| Journal of Antimicrobial Chemotherapy | Efficacy of a synthetic antimicrobial peptidomimetic versus vancomycin in a Staphylococcus epidermidis device-related murine peritonitis model Pubmed: 23645587 | 
| SpringerPlus | Therapeutic effects of sesame oil on monosodium urate crystal-induced acute inflammatory response in rats Pubmed: 24353977 | 
| Gynecol Obstet Invest | Complement Split Products C3a/C5a and Receptors: Are They Regulated by Circulating Angiotensin II Type 1 Receptor Autoantibody in Severe Preeclampsia? PubMed: 26485247 | 
| Am J Reprod Immunol | Human IgG Antinuclear Antibodies Induce Pregnancy Loss in Mice by Increasing Immune Complex Deposition in Placental Tissue: In Vivo Study PubMed: 26388133 | 
| Journal of Neuroimmunology | Acute and prolonged complement activation in the central nervous system during herpes simplex encephalitis Pubmed:27235358 | 
| Plos One | Alternative Pathway Inhibition by Exogenous Factor H Fails to Attenuate Inflammation and Vascular Leakage in Experimental Pneumococcal Sepsis in Mice Pubmed:26872035 | 
| Digital Repository | Dosagem de frações ativadas do sistema complemento em empiema induzido em ratos 10183 | 
| Colloids Surf B Biointerfaces. | Interaction of gold and silver nanoparticles with human plasma: Analysis of protein corona reveals specific binding patterns. pubmed:28131092 | 
| Pediatric Pulmonology | Accuracy of complement activation product levels to detect infected pleural effusion in rats pubmed:28474458 | 
| Journal of Immunology | The Complement C3a–C3aR Axis Promotes Development of Thoracic Aortic Dissection via Regulation of MMP2 Expression Pubmed:29367209 | 
| Artificial Cells Nanomedicine and Biotechnology Journal | Long term safety and immunological effects of a nanobiotherapeutic, bovine poly-[hemoglobin-catalase-superoxide dismutase-carbonic anhydrase], after four weekly … Pubmed:29873524 | 
| Cytotherapy | Mesenchymal stromal cell secretory factors induce sustained improvements in islet function pre-and post-transplantation Doi: 10.1016/j.jcyt.2018.07.007 | 
| Journal of NeuroVirology | Intrathecal complement activation by the classical pathway in tick-borne encephalitis Pubmed: 30850976 | 
| Clinical Immunology | Pathogenic roles of anti-C1q antibodies in recurrent pregnancy loss | 
| Materials Science and Engineering: C | Hemocompatibility of biodegradable Zn-0.8 wt%(Cu, Mn, Li) alloys | 
| Nanomedicine | Complement-mediated hypersensitivity reactions to an amphotericin B-containing lipid complex (Abelcet) in pediatric patients and anesthetized rats: Benefits of slow infusion 33549818 | 
| EXPERIMENTAL EYE RESEARCH | Increased ratios of complement factors C3a to C3 in aqueous humor and serum mark glaucoma progression 33493474 | 
| FASEB J | C‐reactive protein inhibits C3a/C3aR‐dependent podocyte autophagy in favor of diabetic kidney disease Pubmed:35503088 | 
| Catalog No. | Related products for research use of Rattus norvegicus (Rat) Organism species | Applications (RESEARCH USE ONLY!) | 
| EPA387Ra61 | Eukaryotic Complement Component 3a (C3a) | Positive Control; Immunogen; SDS-PAGE; WB. | 
| RPA387Ra01 | Recombinant Complement Component 3a (C3a) | Positive Control; Immunogen; SDS-PAGE; WB. | 
| PAA387Ra01 | Polyclonal Antibody to Complement Component 3a (C3a) | WB; IHC | 
| PAA387Ra06 | Polyclonal Antibody to Complement Component 3a (C3a) | WB | 
| SEA387Ra | ELISA Kit for Complement Component 3a (C3a) | Enzyme-linked immunosorbent assay for Antigen Detection. | 
| SCA387Ra | CLIA Kit for Complement Component 3a (C3a) | Chemiluminescent immunoassay for Antigen Detection. | 
| LMA387Ra | Multiplex Assay Kit for Complement Component 3a (C3a) ,etc. by FLIA (Flow Luminescence Immunoassay) | FLIA Kit for Antigen Detection. | 
| KSA387Ra01 | ELISA Kit DIY Materials for Complement Component 3a (C3a) | Main materials for "Do It (ELISA Kit) Yourself". | 
 
         
 
                            
 
     
 
                         
                         
                         
                         
                         
                         
                        