Polyclonal Antibody to Procollagen III N-Terminal Propeptide (PIIINP)
P3NP; N-Propeptide Of Type III Procollagen; Procollagen III Amino Terminal Propeptide
- Product No.PAA573Mu08
- Organism SpeciesMus musculus (Mouse) Same name, Different species.
- SourcePolyclonal antibody preparation
- HostRabbit
- Potencyn/a
- Ig Type IgG
- PurificationAntigen-specific affinity chromatography followed by Protein A affinity chromatography
- LabelNone
- Immunogen RPA573Mu01-Recombinant Procollagen III N-Terminal Propeptide (PIIINP)
- Buffer Formulation0.01M PBS, pH7.4, containing 0.05% Proclin-300, 50% glycerol.
- TraitsLiquid
- Concentration0.5mg/mL
- Organism Species MoreRattus norvegicus (Rat)
- ApplicationsWB; IHC
If the antibody is used in flow cytometry, please check FCM antibodies. - DownloadInstruction Manual
- UOM 20µl100µl 200µl 1ml 10ml
- FOB
US$ 114
US$ 266
US$ 380
US$ 950
US$ 3800
For more details, please contact local distributors!
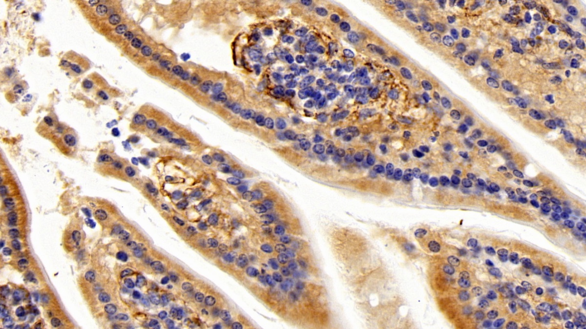
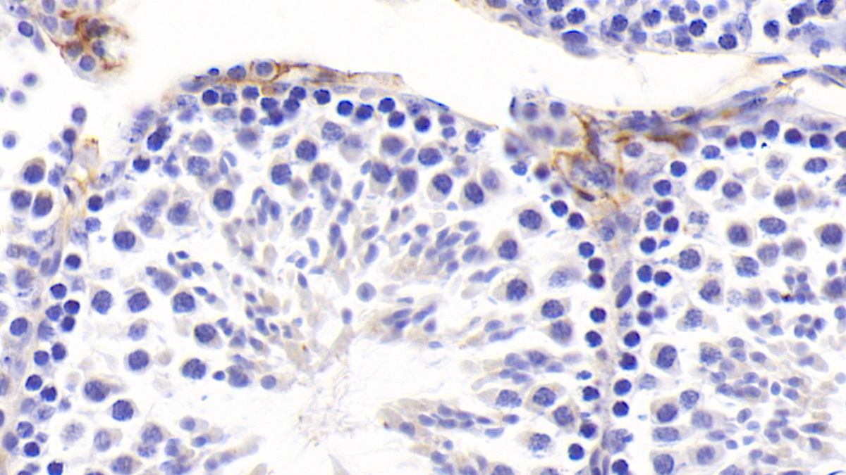
SPECIFITY
The antibody is a rabbit polyclonal antibody raised against PIIINP. It has been selected for its ability to recognize PIIINP in immunohistochemical staining and western blotting.
USAGE
Western blotting: 0.01-2µg/mL;
Immunohistochemistry: 5-20µg/mL;
Optimal working dilutions must be determined by end user.
STORAGE
Store at 4°C for frequent use. Stored at -20°C in a manual defrost freezer for two year without detectable loss of activity. Avoid repeated freeze-thaw cycles.
STABILITY
The thermal stability is described by the loss rate. The loss rate was determined by accelerated thermal degradation test, that is, incubate the protein at 37°C for 48h, and no obvious degradation and precipitation were observed. The loss rate is less than 5% within the expiration date under appropriate storage condition.
GIVEAWAYS
INCREMENT SERVICES
| Magazine | Citations |
| Molecular Biology Reports | Characterization of the specific and sustained GH1 expression induced by rAAV2/1 in normal adult male rats PubMed: 20204528 |
| Obesity Surgery | A Biomarker Panel for Non-alcoholic Steatohepatitis (NASH) and NASH-Related Fibrosis PubMed: 20532833 |
| Liver Biopsy | Comparison of Five Liver Fibrosis Indexes with Serum Levels of Laminin and N Terminal Peptide of Procollagen Type III in Chronic Hepatitis Patients Intechopen: 18785 |
| Trials | Is there benefit in optimising heart failure treatment in over-80 year-old patients? (HF-80 study): study protocol for a randomized controlled trial. Trials: 1745-6215 |
| American Journal of Hypertension | Aliskiren and Perindopril Reduce the Levels of Transforming Growth Factor-β in Patients With Non-Diabetic Kidney Disease Nature: 201214 |
| Arthritis Research and Therapy | Raised circulating tenascin-C in rheumatoid arthritis. PubMed: 23193984 |
| American Heart Journal | Serum markers of deranged myocardial collagen turnover: their relation to malignant ventricular arrhythmias in cardioverter-defibrillator recipients with heart failure. PubMed: 23067911 |
| hepatology research | Diagnostic potential of serum direct markers and non-invasive fibrosis models in patients with chronic hepatitis B. PubMed: 22734888 |
| Digestive and Liver Disease | Effects of coffee consumption in chronic hepatitis C: a randomized controlled trial Pubmed: 23238034 |
| Journal of Infectious Diseases | Procollagen III N-terminal propeptide and desmosine are released by matrix destruction in pulmonary tuberculosis Pubmed: 23922364 |
| International Urogynecology Journal | Prevalence, etiology and risk factors of pelvic organ prolapse in premenopausal primiparous women Springer: Source |
| Journal of Clinical and Experimental Hepatology | Protective Effects of Norursodeoxycholic Acid Versus Ursodeoxycholic Acid on Thioacetamide-induced Rat Liver Fibrosis ScienceDirect: S0973688314000073 |
| Der Urologe | Retroperitoneale Fibrose Springer:Source |
| Ultrasound in Obstetrics & Gynecology | The status of the pelvic floor in young primiparous women Wiley:Source |
| PLoS One. | Clinical significance of markers of collagen metabolism in rheumatic mitral valve disease Pubmed:24603967 |
| Clin Chim Acta. | Serum and urinary procollagen III aminoterminal propeptide as a biomarker of obstructive nephropathy in children Pubmed:24768785 |
| BMC Gastroenterol. | Fast food diet with CCl4 micro-dose induced hepatic-fibrosis-a novel animal model Pubmed:24884574 |
| Toxicology. | DNMT3A silencing RASSF1A promotes cardiac fibrosis through upregulation of ERK1/2 Pubmed:24945829 |
| Southeast Asian J Trop Med Public Health. | Correlation of HBsAg titers with serum fibrotic maker in patients with chronic hepatitis B infection. Pubmed:24974647 |
| The American Journal of Cardiology | Relation of burden of myocardial fibrosis to malignant ventricular arrhythmias and outcomes in Fabry disease Pubmed:25073565 |
| Ann Rheum Dis. | B-cell depletion attenuates serological biomarkers of fibrosis and myofibroblast activation in IgG4-related disease Pubmed:25143523 |
| Scientific Reports | Biomarkers and Echocardiographic Predictors of Myocardial Dysfunction in Patients with Hypertension PubMed: 25747153 |
| Int J Mol Sci | The Multi-Biomarker Approach for Heart Failure in Patients with Hypertension PubMed: 25984599 |
| Viral Hepatitis Journal | The Relationship of the Degree of Hepatic Fibrosis with Hyaluronic Acid, Type 4 Collagen, and Procollagen Type 3 N-Terminal Peptide Levels in Patients with Chronic Viral Hepatitis Openview: 8A0B8C97D72C61741371F33508760B75 |
| International Journal of Experimental Pathology | Pathological characterization and morphometric analysis of hepatic lesions in SHRSP5/Dmcr, an experimental non-alcoholic steatohepatitis model, induced by high-fat and high-cholesterol diet doi:10.1111 |
| Heart Rhythm. | Prognostic value of collagen turnover biomarkers in cardiac resynchronization therapy: A subanalysis of the TRUST CRT randomized trial population Pubmed:26776557 |
| BMJ Open Sport Exerc Med | Procollagen markers in microdialysate can predict patient outcome after Achilles tendon rupture content:2 |
| Inflammation Research | Fibrosis of extracellular matrix is related to the duration of the disease but is unrelated to the dynamics of collagen metabolism in dilated cardiomyopathy pubmed:27516211 |
| Heart & Vessels | Left ventricular reverse remodeling is not related to biopsy-detected extracellular matrix fibrosis and serum markers of fibrosis in dilated cardiomyopathy, regardless of the definition used for LVRR pubmed:28004175 |
| american journal of physiology-renal physiology | Extracellular microRNA signature in chronic kidney disease. pubmed:28077372 |
| Cellular Physiology and Biochemistry | Renal Denervation Attenuates Multi-Organ Fibrosis and Improves Vascular Remodeling in Rats with Transverse Aortic Constriction Induced Cardiomyopathy pubmed:27889753 |
| PLoS One. | Procollagen C-Proteinase Enhancer 1 (PCPE-1) as a Plasma Marker of Muscleand Liver Fibrosis in Mice. pubmed:27458976 |
| International Journal of Cardiology | 5-methoxytryptophan is a potential marker for post-myocardial infarction heart failure - apreliminary approach to clinical utility. pubmed:27526355 |
| Transplant Proc | Urinary Type III Procollagen Is Associated With Chronic Allograft Dysfunction and Predicts Graft Survival. pubmed:28219585 |
| Knee Surg Sports Traumatol Arthrosc | Achilles tendon rupture healing is enhanced by intermittent pneumatic compression upregulating collagen type I synthesis pubmed:28668970 |
| Antiviral Therapy | Association of HIV infection with biomarkers of kidney injury and fibrosis in the Multicenter AIDS Cohort Study pubmed:28054933 |
| Molecular Medicine Reports | Profilin‑1 contributes to cardiac injury induced by advanced glycation end‑products in rats pubmed:28901418 |
| Biomarkers Medicial | Relationship of biomarkers of extracellular matrix with myocardial function in Type 2 diabetes mellitus pubmed:28685602 |
| Heart and Vessels | Left ventricular reverse remodeling is not related to biopsy‑detected extracellular matrix fibrosis and serum markers of fibrosis in dilated cardiomyopathy, regardless of the definition used for LVRR 10.1007/s00380-016-0930-y |
| Clinical Infectious Diseases | Matrix Degradation in Human Immunodeficiency Virus Type 1–Associated Tuberculosis and Tuberculosis Immune Reconstitution Inflammatory Syndrome: A Prospective Observational Study 10.1093/cid/cix231 |
| Cytokine | 12-month patterns of serum markers of collagen synthesis, transforming growth factor and connective tissue growth factor are similar in new-onset and chronic dilated cardiomyopathy in patients both with and without cardiac fibrosis. pubmed:28460256 |
| Advanced Healthcare Materials | Prognostic value of fibrosis-related markers in dilated cardiomyopathy: A link between osteopontin and cardiovascular events. pubmed:29120858 |
| American Journal of Kidney Diseases | Urinary Biomarkers of Kidney Tubular Damage and Risk of Cardiovascular Disease and Mortality in Elders Pubmed:29602632 |
| Angiology | The Association of Biomarkers of Inflammation and Extracellular Matrix Degradation With the Risk of Abdominal Aortic Aneurysm: The ARIC Study article:10.1007 |
| Hernia | Circulating matrix metalloproteinases and procollagen propeptides in inguinal hernia Pubmed:29484522 |
| Cardiovascular Journal of Africa | Assessment of myocardial fibrosis by late gadolinium enhancement imaging and biomarkers of collagen metabolism in chronic rheumatic mitral regurgitation. Pubmed:29443354 |
| Turk Kardiyol Dern Ars. | Association between reverse electrical remodeling and cardiac fibrosis markers in patients with cardiac resynchronization therapy Pubmed:29512624 |
| Кардиоваскулярная терапия и профилактика | N-терминальный пропептид проколлагена III типа в качестве возможного сывороточного маркера фиброза миокарда у больных сахарным диабетом 2 … : |
| Clinical Infectious Diseases | Improvement in Hepatic Fibrosis Biomarkers Associated with Chemokine Receptor Inactivation through Mutation or Therapeutic Blockade Pubmed: 30239650 |
| Anatolian Journal of Cardiology | microRNA-29a inhibits cardiac fibrosis in Sprague-Dawley rats by downregulating the expression of DNMT3A. Pubmed: 30297596 |
| Contemporary Clinical Trials | Methods to improve the noninvasive diagnosis and assessment of disease severity in children with suspected nonalcoholic fatty liver disease (NAFLD): Study design Doi: 10.1016/j.cct.2018.10.012 |
| Arthritis Research & Therapy | Association of serum levels of fibrosis-related biomarkers with disease activity in patients with IgG4-related disease Pubmed: 30547825 |
| American Journal of Respiratory and Critical Care Medicine | Identification and Modulation of Microenvironment is Crucial for Effective MSC Therapy in Acute Lung Injury Pubmed: 30521764 |
| Direktor: Prof. Dr. med. Andreas Mügge | |
| Scientific Reports | Low fibrosis biomarker levels predict cardiac resynchronization therapy response Pubmed: 30988339 |
| American Journal of Translational Research | Development and validation of an in vitro 3D model of NASH with severe fibrotic phenotype Pubmed: 30972180 |
| Food and Chemical Toxicology | Gum Acacia mitigates diclofenac nephrotoxicity by targeting monocyte chemoattractant protein-1, complement receptor-1 and pro-apoptotic pathways Pubmed: 31042592 |
| Digestive diseases and sciences | Validation and Refinement of Noninvasive Methods to Assess Hepatic Fibrosis: Magnetic Resonance Elastography Versus Enhanced Liver Fibrosis Index Pubmed: 31468264 |
| Journal of Diabetes Research | Type 2 Diabetes Mellitus and Chronic Heart Failure with Midrange and Preserved Ejection Fraction: A Focus on Serum Biomarkers of Fibrosis Pubmed: 33224989 |
| BMC GASTROENTEROLOGY | Changes in hepatic fibrosis and vitamin D levels after viral hepatitis C eradication using direct-acting antiviral therapy Pubmed: 33069226 |
| european heart journal | A randomized controlled trial of dapagliflozin on left ventricular hypertrophy in people with type two diabetes: the DAPA-LVH trial Pubmed: 32578850 |
| Ассоциации толщины эпикардиального жира и циркулирующих маркеров фиброза миокарда у пациентов с инфарктом миокарда | |
| J Am Geriatr Soc | Association of Non©\Steroidal Anti©\Inflammatory Drugs with Kidney Health in Ambulatory Older Adults 33305369 |
| Aging (Albany NY) | Prognostic potential of cardiac structural and functional parameters and N-terminal propeptide of type III procollagen in predicting cardiac fibrosis one year after?¡ 33431713 |
| PeerJ | Effect of vitamin D supplementation in patients with chronic hepatitis C after direct-acting antiviral treatment: a randomized, double-blind, placebo-controlled trial 33614272 |
| Open Forum Infectious Diseases | Soluble CD163 Identifies Those at Risk for Increased Hepatic Inflammation & Fibrosis 34104667 |
| European Heart Journal | A randomized controlled trial of dapagliflozin on left ventricular hypertrophy in people with type two diabetes 32578850 |
| Nutrients | The Effect of Daily Methylsulfonylmethane (MSM) Consumption on High-Density Lipoprotein Cholesterol in Healthy Overweight and Obese Adults: A Randomized … 34684621 |
| J Diabetes Res | Association between Markers of Fibrosis and Heart Failure Incidence in Patients with Type 2 Diabetes Mellitus 34778465 |
| Scandinavian Cardiovascular Journal | Dual integrin αvβ3 and αvβ5 blockade attenuates cardiac dysfunction by reducing fibrosis in a rat model of doxorubicin-induced cardiomyopathy 34296634 |
| J. Clin. Med | Simple Predictors for Cardiac Fibrosis in Patients with Type 2 Diabetes Mellitus: The Role of Circulating Biomarkers and Pulse Wave Velocity Pubmed:35628969 |
| Biomolecules | Increase in Serum MMP-9 and TIMP-1 Concentrations during Alcohol Intoxication in Adolescents—A Preliminary Study Pubmed:35625637 |

