Polyclonal Antibody to Complement Component 3c (C3c)
- Product No.PAX299Hu01
- Organism SpeciesHomo sapiens (Human) Same name, Different species.
- SourcePolyclonal antibody preparation
- HostRabbit
- Potencyn/a
- Ig Type IgG
- PurificationAntigen-specific affinity chromatography followed by Protein A affinity chromatography
- LabelNone
- Immunogen RPX299Hu01-Recombinant Complement Component 3c (C3c)
- Buffer FormulationPBS, pH7.4, containing 0.02% NaN3, 50% glycerol.
- TraitsLiquid
- Concentration0.5mg/mL
- Organism Species MoreMus musculus (Mouse)
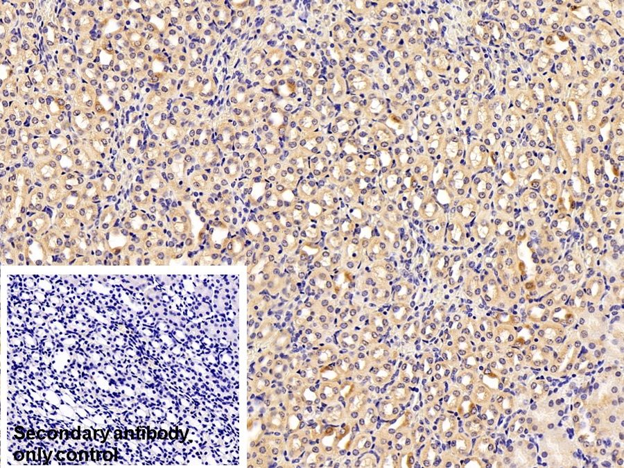
- ApplicationsWB; IHC
If the antibody is used in flow cytometry, please check FCM antibodies. - DownloadInstruction Manual
- UOM 20µl100µl 200µl 1ml 10ml
- FOB
US$ 105
US$ 245
US$ 350
US$ 875
US$ 3500
For more details, please contact local distributors!
SPECIFITY
The antibody is a rabbit polyclonal antibody raised against C3c. It has been selected for its ability to recognize C3c in immunohistochemical staining and western blotting.
USAGE
Western blotting: 0.01-2µg/mL;
Immunohistochemistry: 5-20µg/mL;
Optimal working dilutions must be determined by end user.
STORAGE
Store at 4°C for frequent use. Stored at -20°C in a manual defrost freezer for two year without detectable loss of activity. Avoid repeated freeze-thaw cycles.
STABILITY
The thermal stability is described by the loss rate. The loss rate was determined by accelerated thermal degradation test, that is, incubate the protein at 37°C for 48h, and no obvious degradation and precipitation were observed. The loss rate is less than 5% within the expiration date under appropriate storage condition.
GIVEAWAYS
INCREMENT SERVICES
| Catalog No. | Related products for research use of Homo sapiens (Human) Organism species | Applications (RESEARCH USE ONLY!) |
| RPX299Hu01 | Recombinant Complement Component 3c (C3c) | Positive Control; Immunogen; SDS-PAGE; WB. |
| PAX299Hu01 | Polyclonal Antibody to Complement Component 3c (C3c) | WB; IHC |
| LAX299Hu81 | FITC-Linked Polyclonal Antibody to Complement Component 3c (C3c) | WB; IHC; ICC; IF. |
| MAX299Hu22 | Monoclonal Antibody to Complement Component 3c (C3c) | WB |
| MAX299Hu21 | Monoclonal Antibody to Complement Component 3c (C3c) | WB |

