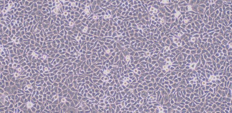
Primary Human Umbilical Vein Endothelial Cells (UVEC)
Umbilical Vein Endothelium
- Product No.CSI017Hu01
- Organism SpeciesHomo sapiens (Human) Same name, Different species.
- StrainHuman
- Tissue SourceUmbilical Vein
- Growth PropertiesAdherent
- Cell TypeEndothelial Cells
- DiseaseNormal
- ApplicationsPrimary Cells
- DownloadInstruction Manual
- UOM 5X10^5
- FOB
US$ 780
For more details, please contact local distributors!
Biosafety
Primary Human Umbilical Vein Endothelial Cells (UVEC) are negative for HIV-1, HBV, HCV, mycoplasma, bacteria, yeast and fungi.
Cluture Conditions
DMEM/F12+5% FBS+1% Endothelial Cell Growth Supplement+1% Penicillin-Streptomycin Solution. Temperature: 37℃. Condition: 95% air, 5% carbon dioxide
Product Format
Frozen 1 mL or T25 flask.
USAGE
Upon receiving the cells in a T-25 flask at room temperature, immediately transfer the cells to 37°C, 5% incubator; the cells in vials, directly and immediately transfer the cells from dry ice to liquid nitrogen.
GIVEAWAYS
INCREMENT SERVICES
-
Lysis Buffer Specific for ELISA / CLIA
-
Staining Solution for Cells and Tissue
-
Primary Cells Customized Service
-
Total Protein/DNA/RNA Extract Customized Service
-
Cell Culture Medium Customized Service
-
Immunocytochemistry (ICC) Experiment Service
-
Flow Cytometry (FCM) Experiment Service
-
Cell Function Experiment Service
-
In Situ Hybridization (ISH) Experiment Service
-
Transmission Electron Microscopy (TEM) Experiment Service
-
Scanning Electron Microscope (SEM) Experiment Service
-
MTT Cell Proliferation and Cytotoxicity Assay Kit
-
Cell Invasion Assay Service
-
Cell Wound Scratch Assay Service
-
Cell Proliferation / Toxicity Assay Service
-
Cell Colony Formation Assay Service
-
Cell Migration Assay Service
-
CCK-8 Kit
-
Serum-free 293 cell medium -
HE Stain -
Nitric Oxide Assay Kit (A012)
-
Nitric Oxide Assay Kit (A013-2)
-
Total Anti-Oxidative Capability Assay Kit(A015-2)
-
Total Anti-Oxidative Capability Assay Kit (A015-1)
-
Superoxide Dismutase Assay Kit
-
Fructose Assay Kit (A085)
-
Citric Acid Assay Kit (A128 )
-
Catalase Assay Kit
-
Malondialdehyde Assay Kit
-
Glutathione S-Transferase Assay Kit
-
Microscale Reduced Glutathione assay kit
-
Glutathione Reductase Activity Coefficient Assay Kit
-
Angiotensin Converting Enzyme Kit
-
Glutathione Peroxidase (GSH-PX) Assay Kit
-
Cloud-Clone Multiplex assay kits
| Catalog No. | Related products for research use of Homo sapiens (Human) Organism species | Applications (RESEARCH USE ONLY!) |
| CSI017Hu01 | Primary Human Umbilical Vein Endothelial Cells (UVEC) | Primary Cells |
| MSI017Hu11 | Medium for Human Umbilical Vein Endothelial Cells (UVEC) | Complete Medium for Human Umbilical Vein Endothelial Cells |
| MSI017Hu01 | Medium for Human Umbilical Vein Endothelial Cells (UVEC) | Complete Medium for the culture of HUVEC cell line |

