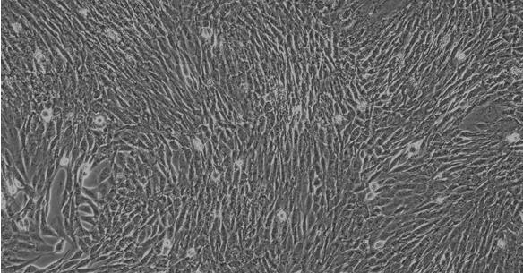
Rat A7r5 Aortic Vascular Smooth Muscle Cells (A7r5)
A7R5
- Product No.CSI380Ra11
- Organism SpeciesRattus norvegicus (Rat) Same name, Different species.
- StrainEmbryonic rat
- Tissue SourceHeart; Aortic thoracic/smooth muscle
- Growth PropertiesAdherent
- Cell TypeFibroblasts like
- DiseaseNormal
- ApplicationsFor research use only. It is not approved for human or animal use, or for applications in in vitro diganostic procedures.
- DownloadInstruction Manual
- UOM 5X10^5
- FOB
US$ 280
For more details, please contact local distributors!
Biosafety
Rat A7r5 Aortic Vascular Smooth Muscle Cells (A7r5) are negative for HIV-1, HBV, HCV, mycoplasma, bacteria, yeast and fungi.
Cluture Conditions
Complete growth medium:DMEM+10%FBS+1%Penicillin-Streptomycin Solution. Temperature: 37℃. Condition: 95% air, 5% carbon dioxide
Product Format
Frozen 1 mL or T25 flask.
USAGE
Upon receiving the cells in a T-25 flask at room temperature, immediately transfer the cells to 37°C, 5% incubator; the cells in vials, directly and immediately transfer the cells from dry ice to liquid nitrogen.
GIVEAWAYS
INCREMENT SERVICES
-
Lysis Buffer Specific for ELISA / CLIA
-
Staining Solution for Cells and Tissue
-
Primary Cells Customized Service
-
Total Protein/DNA/RNA Extract Customized Service
-
Cell Culture Medium Customized Service
-
Immunocytochemistry (ICC) Experiment Service
-
Flow Cytometry (FCM) Experiment Service
-
Cell Function Experiment Service
-
In Situ Hybridization (ISH) Experiment Service
-
Transmission Electron Microscopy (TEM) Experiment Service
-
Scanning Electron Microscope (SEM) Experiment Service
-
MTT Cell Proliferation and Cytotoxicity Assay Kit
-
Cell Invasion Assay Service
-
Cell Wound Scratch Assay Service
-
Cell Proliferation / Toxicity Assay Service
-
Cell Colony Formation Assay Service
-
Cell Migration Assay Service
-
CCK-8 Kit
-
Serum-free 293 cell medium -
HE Stain -
Nitric Oxide Assay Kit (A012)
-
Nitric Oxide Assay Kit (A013-2)
-
Total Anti-Oxidative Capability Assay Kit(A015-2)
-
Total Anti-Oxidative Capability Assay Kit (A015-1)
-
Superoxide Dismutase Assay Kit
-
Fructose Assay Kit (A085)
-
Citric Acid Assay Kit (A128 )
-
Catalase Assay Kit
-
Malondialdehyde Assay Kit
-
Glutathione S-Transferase Assay Kit
-
Microscale Reduced Glutathione assay kit
-
Glutathione Reductase Activity Coefficient Assay Kit
-
Angiotensin Converting Enzyme Kit
-
Glutathione Peroxidase (GSH-PX) Assay Kit
-
Cloud-Clone Multiplex assay kits
| Catalog No. | Related products for research use of Rattus norvegicus (Rat) Organism species | Applications (RESEARCH USE ONLY!) |
| CSI380Ra11 | Rat A7r5 Aortic Vascular Smooth Muscle Cells (A7r5) | For research use only. It is not approved for human or animal use, or for applications in in vitro diganostic procedures. |
| MSI380Ra11 | Medium for Rat A7r5 Aortic Vascular Smooth Muscle Cells (A7r5) | Complete Medium for the culture of A7r5 cell line |

