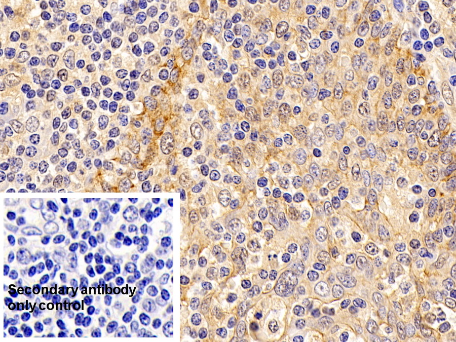
Anti-ATPase, Na+/K+ Transporting Alpha 1 Polypeptide (ATP1a1) Monoclonal Antibody
Sodium pump subunit alpha-1; Na(+)/K(+) ATPase alpha-1 subunit; Sodium/potassium-transporting ATPase subunit alpha-1
- Product No.CAG369Hu22
- Organism SpeciesHomo sapiens (Human) Same name, Different species.
- PurificationProtein A + Protein G affinity chromatography
- LabelNone
- Buffer FormulationPBS, pH7.4, containing 0.02% NaN3, 50% glycerol.
- TraitsLiquid
- Concentration1mg/ml
- Organism Species MoreMus musculus (Mouse), Rattus norvegicus (Rat), Canis familiaris; Canine (Dog), Sus scrofa; Porcine (Pig), Bos taurus; Bovine (Cattle), Chicken (Gallus)
- ApplicationsWB; IHC
- DownloadInstruction Manual
- UOM 20µl100µl 200µl 1ml 10ml
- FOB
US$ 119
US$ 279
US$ 398
US$ 995
US$ 3980
For more details, please contact local distributors!
SPECIFITY
The antibody is a mouse monoclonal antibody raised against ATP1a1. It has been selected for its ability to recognize ATP1a1 in immunohistochemical staining and western blotting.
USAGE
Western blotting: 1:500-1000
Optimal working dilutions must be determined by end user.
STORAGE
Store at 4°C for frequent use. Stored at -20°C in a manual defrost freezer for two year without detectable loss of activity. Avoid repeated freeze-thaw cycles.
STABILITY
The thermal stability is described by the loss rate. The loss rate was determined by accelerated thermal degradation test, that is, incubate the protein at 37°C for 48h, and no obvious degradation and precipitation were observed. The loss rate is less than 5% within the expiration date under appropriate storage condition.
GIVEAWAYS
INCREMENT SERVICES
-
Antibody Labeling Customized Service
-
Protein A/G Purification Column
-
Staining Solution for Cells and Tissue
-
Positive Control for Antibody
-
Tissue/Sections Customized Service
-
Phosphorylated Antibody Customized Service
-
Western Blot (WB) Experiment Service
-
Immunohistochemistry (IHC) Experiment Service
-
Immunocytochemistry (ICC) Experiment Service
-
Flow Cytometry (FCM) Experiment Service
-
Immunoprecipitation (IP) Experiment Service
-
Immunofluorescence (IF) Experiment Service
-
Buffer
-
DAB Chromogen Kit
-
SABC Kit
-
Long-arm Biotin Labeling Kit
-
Real Time PCR Experimental Service
| Catalog No. | Related products for research use of Homo sapiens (Human) Organism species | Applications (RESEARCH USE ONLY!) |
| RPG369Hu01 | Recombinant ATPase, Na+/K+ Transporting Alpha 1 Polypeptide (ATP1a1) | Positive Control; Immunogen; SDS-PAGE; WB. |
| PAG369Hu01 | Polyclonal Antibody to ATPase, Na+/K+ Transporting Alpha 1 Polypeptide (ATP1a1) | WB |
| CAG369Hu01 | Anti-ATPase, Na+/K+ Transporting Alpha 1 Polypeptide (ATP1a1) Polyclonal Antibody | Loading Control of WB. |
| MAG369Hu21 | Monoclonal Antibody to ATPase, Na+/K+ Transporting Alpha 1 Polypeptide (ATP1a1) | WB; IHC |
| MAG369Hu22 | Monoclonal Antibody to ATPase, Na+/K+ Transporting Alpha 1 Polypeptide (ATP1a1) | WB; IHC |
| MAG369Hu23 | Monoclonal Antibody to ATPase, Na+/K+ Transporting Alpha 1 Polypeptide (ATP1a1) | WB |
| CAG369Hu22 | Anti-ATPase, Na+/K+ Transporting Alpha 1 Polypeptide (ATP1a1) Monoclonal Antibody | WB; IHC |

