Monoclonal Antibody to Interleukin 8 (IL8)
CXCL8; AMCF-I; GCP1; K60; LECT; LUCT; LYNAP; MDNCF; MONAP; NAF; NAP1; SCYB8; TSG1; B-ENAP; Neutrophil-Activating Protein 1; Granulocyte Chemotactic Protein 1
- Product No.MAA080Hu21
- Organism SpeciesHomo sapiens (Human) Same name, Different species.
- SourceMonoclonal antibody preparation
- HostMouse
- Potency (Clone Number)F1
- Ig Isotype IgG2b Kappa
- PurificationProtein A + Protein G affinity chromatography
- LabelNone
- Immunogen RPA080Hu01-Recombinant Interleukin 8 (IL8)
- Buffer FormulationPBS, pH7.4, containing 0.02% NaN3, 50% glycerol.
- TraitsLiquid
- Concentration0.75mg/mL
- Organism Species Moren/a
- ApplicationsWB; IHC
If the antibody is used in flow cytometry, please check FCM antibodies. - DownloadInstruction Manual
- UOM 20µl100µl 200µl 1ml 10ml
- FOB
US$ 90
US$ 210
US$ 300
US$ 750
US$ 3000
For more details, please contact local distributors!
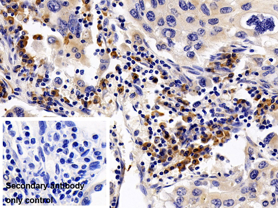
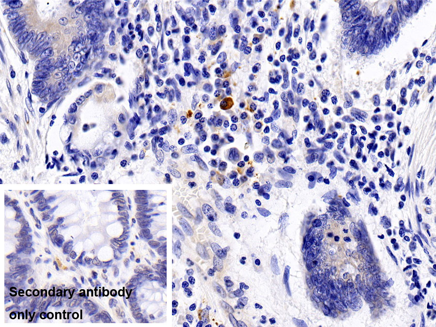
SPECIFITY
The antibody is a mouse monoclonal antibody raised against IL8. It has been selected for its ability to recognize IL8 in immunohistochemical staining and western blotting.
USAGE
Western blotting: 0.01-2µg/mL;
Immunohistochemistry: 5-20µg/mL;
Optimal working dilutions must be determined by end user.
STORAGE
Store at 4°C for frequent use. Stored at -20°C in a manual defrost freezer for two year without detectable loss of activity. Avoid repeated freeze-thaw cycles.
STABILITY
The thermal stability is described by the loss rate. The loss rate was determined by accelerated thermal degradation test, that is, incubate the protein at 37°C for 48h, and no obvious degradation and precipitation were observed. The loss rate is less than 5% within the expiration date under appropriate storage condition.
GIVEAWAYS
INCREMENT SERVICES
-
Antibody Labeling Customized Service
-
Protein A/G Purification Column
-
Staining Solution for Cells and Tissue
-
Positive Control for Antibody
-
Tissue/Sections Customized Service
-
Phosphorylated Antibody Customized Service
-
Western Blot (WB) Experiment Service
-
Immunohistochemistry (IHC) Experiment Service
-
Immunocytochemistry (ICC) Experiment Service
-
Flow Cytometry (FCM) Experiment Service
-
Immunoprecipitation (IP) Experiment Service
-
Immunofluorescence (IF) Experiment Service
-
Buffer
-
DAB Chromogen Kit
-
SABC Kit
-
Long-arm Biotin Labeling Kit
-
Real Time PCR Experimental Service
| Magazine | Citations |
| Reproductive Biology and Endocrinology | Evidence that polymorphonuclear neutrophils infiltrate into the developing corpus luteum and promote angiogenesis with interleukin-8 in the cow Rbej: 14777827 |
| Acta Otolaryngol | Serial cytokine levels during wound healing in rabbit maxillary sinus mucosa PubMed: 19958244 |
| Journal of Clinical Periodontology | Experimental peri-implant mucositis at different implant surfaces. Pubmed: 24521508 |
| Physiological Research | Budesonide added to modified porcine surfactant Curosurf may additionally improve the lung functions in meconium aspiration syndrome. Pubmed: 2432969 |
| Rheumatology International | Serum levels of selected chemokines in systemic lupus erythematosus patients Pubmed: 22461186 |
| J Med Life. | Expression of interleukine-8 as an independent prognostic factor for sporadic colon cancer dissemination Pubmed:Pmc4197484 |
| J Clin Periodontol. | Experimental peri‐implant mucositis at different implant surfaces Pubmed:24521508 |
| British Journal of Nutrition | Grape seed extract supplementation attenuates the heat stress-induced responses of jejunum epithelial cells in Simmental?×?Qinchuan steers Pubmed:24846452 |
| Theriogenology | Inflammatory cytokine concentrations in uterine flush and serum samples from dairy cows with clinical or subclinical endometritis Theriojournal:Source |
| Anim Reprod Sci. | Alteration in peripheral blood concentration of certain pro-inflammatory cytokines in cows developing retention of fetal membranes PubMed: 25851495 |
| Медицина и здравоохранение | ДИНАМИКА ЦИТОКИНОВОГО ПРОФИЛЯ В ОЦЕНКЕ ЭФФЕКТИВНОСТИ РАЗНЫХ МЕТОДОВ СТИМУЛЯЦИИ РЕПАРАТИВНОГО ОСТЕОГЕНЕЗА В ЭКСПЕРИМЕНТЕ Article: N |
| BMC Anesthesiology | Hyperinflation deteriorates arterial oxygenation and lung injury in a rabbit model of ARDS with repeated open endotracheal suctioning PubMed: 25943099 |
| J Breath Res | Effects of different ventilation strategies on exhaled nitric oxide in geriatric abdominal surgery PubMed: 25719610 |
| ARTICLE | The Predictive Diagnostic and Prognostic Cut-off Values for Interleukin 8 in Patients with Meningitis in Egypt Profile: Mohmad_Mosaad |
| Veterinary Immunology and Immunopathology | Neutrophil gene dynamics and plasma cytokine levels in dairy cattle during peri-implantation period Pubmed:27090626 |
| Infection, Genetics and Evolution | Infection of chicken bone marrow mononuclear cells with subgroup J avian leukosis virus inhibits dendritic cell differentiation and alters cytokine expression Pubmed:27349993 |
| Asian Pacific Journal of Tropical Medicine | Perfusion of gastrodin in abdominal aorta for alleviating spinal cord ischemia reperfusion injury science:S1995764516300955 |
| Archives of Biological Sciences | Diabetes-induced renal failure is associated with tissue inflammation and neutrophil gelatinase-associated lipocalin: Effects of resveratrol publication:299492265_Diabetes-induced_renal_failu |
| Journal of Agricultural Biotechnology | Gln Attenuates LPS-induced Inflammatory Injury of Bos taurus Testis Sustentacular Cells 10610 |
| journal of molecular and cellular cardiology | Mutant DD genotype of NFKB1 gene is associated with the susceptibility and severity of coronary artery disease. pubmed:28088561 |
| Physiological Research | Intravenous dexamethasone attenuated inflammation and influenced apoptosis of lung cells in an experimental model of acute lung injury. pubmed:28006948 |
| PLOS ONE | Mechanical Ventilation Alters the Development of Staphylococcus aureus Pneumonia in Rabbit. pubmed:27391952 |
| The Journal of Comenius University in Bratislava | Effects of Conventional Mechanical Ventilation Performed by Two Neonatal Ventilators on the Lung Functions of Rabbits with Meconium-Induced Acute Lung Injury acm.2017.16.issue-3 |
| Journal of Physiology and Pharmacology | Effects of budesonide on the lung functions, inflammation and apoptosis in a saline-lavagemodel of acute lung injury. pubmed:28195073 |
| 中国药物警戒 | 小剂量阿奇霉素对稳定期老年慢性阻塞性肺疾病患者外周血内TNF-α、IL-8、CRP水平及肺功能的影响 Periodical_zgywjj201608004 |
| Veterinary Immunology and Immunopathology | Cytokine levels in colostrum and in foals' serum pre- and post-suckling pubmed:28242000 |
| Journal of Cellular Physiology | Increased Chondrogenic Potential of Mesenchymal Cells From Adipose Tissue Versus Bone Marrow‐Derived Cells in Osteoarthritic In Vitro Models pubmed:27739057 |
| European Journal of Pharmacology | Cardioprotective time-window of Penehyclidine hydrochloride postconditioning: A rat study pubmed:28684235 |
| PLoS One | Linezolid and atorvastatin impact on pneumonia caused by Staphyloccocus aureus in rabbits with or without mechanical ventilation pubmed:29149185 |
| Archives of Oral Biology | The effect of restorative materials on cytokines in gingival crevicular fluid pubmed:28992599 |
| Experimentelle periimplantäre Mukositis an unterschiedlichen Implantatoberflächen doi: 10.1111/jcpe.12240. | |
| Molecular Medicine Reports | CagA promotes proliferation and inhibits apoptosis of GES-1 cells by upregulating TRAF1/4-1BB pubmed:28627614 |
| ARTIFICIAL CELLS NANOMEDICINE AND BIOTECHNOLOGY | Dexamethasone reduces serum level of IL-17 in Bleomycin-A5-induced rats model of pulmonary fibrosis pubmed:28608724 |
| Biological Rhythm Research | Alteration in some pro and anti-inflammatory cytokines associated with complete and incomplete gestation cycle of cows 10.1080/09291016.2017.1319636 |
| Scientific Reports | Optimization of Storage Temperature for Retention of Undifferentiated Cell Character of Cultured Human Epidermal Cell Sheets pubmed:28811665 |
| Journal of Ultrasound in Medicine | Inhibitory Effect of Low-Intensity Pulsed Ultrasound on the Expression of Lipopolysaccharide-Induced Inflammatory Factors in U937 Cells. pubmed:28600899 |
| Veterinary Immunology and Immunopathology | Integrated effect of seasons and lactation stages on the plasma inflammatory cytokines, function and receptor expression of milk neutrophils in Sahiwal (Bos indicus) cows. pubmed:28895861 |
| Biomedicine hub | Comparison of Polymyxin E and Polymyxin B as an Additive to Pulmonary Surfactant in Escherichia coli Pneumonia of Ventilated Neonatal Rabbits 10.1159/000475877 |
| Anticancer Research | Association Between Endothelial Progenitor Cells and Treatment Response in Non-Squamous Non-small Cell Lung Cancer Treated with Bevacizumab. pubmed:28982871 |
| Chronic Respiratory Disease | Inflammatory biomarkers and radiologic measurements in never-smokers with COPD: A cross-sectional study from the CODA cohort. pubmed:29117798 |
| Inflammopharmacology | Polar extract of protects cartilage homeostasis: possible mechanism of action Pubmed:29313174 |
| Life Sciences | Dexmedetomidine attenuates renal fibrosis via α2-adrenergic receptor-dependent inhibition of cellular senescence after renal ischemia/reperfusion Pubmed:29729264 |
| Microbial Pathogenesis | Pathogen-dependent modulation of milk neutrophils competence, plasma inflammatory cytokines and milk quality during intramammary infection of Sahiwal (Bos … Pubmed:29787791 |
| Lasers in Medical Science | Evaluation of the therapeutic effect of micro-plasma radio frequency on hypertrophic scars in rabbit ears Pubmed:30003425 |
| Medical Science Monitor | Rho Kinase Type 1 (ROCK1) Promotes Lipopolysaccharide-induced Inflammation in Corneal Epithelial Cells by Activating Toll-Like Receptor 4 (TLR4) … Pubmed:29804125 |
| Journal of Veterinary Science | Rifaximin anti‐inflammatory activity on bovine endometrium primary cell cultures: a preliminary study Pubmed:29984902 |
| Bioscience Reports | N-Acetylcysteine inhalation improves pulmonary function in patients received Liver Transplantation. Doi: 10.1042/BSR20180858 |
| Acta Medica Mediterranea | Effects of Conventional Mechanical Ventilation Performed by Two Neonatal Ventilators on the Lung Functions of Rabbits with Meconium-Induced Acute Lung … Doi: 10.1515/acm-2016-0012 |
| Journal of Dairy Science | Metabolism and immune status during transition period influences the lactation performance in Zebu (Bos indicus () cows Pubmed: 17430930 |
| Biomedicine & Pharmacotherapy | Interleukin 8 targeted contrast echocardiography is effective to evaluate myocardial ischemia-reperfusion injury in the rabbits |
| Emerging Microbes & Infections | Immunogenicity and protective efficacy against Treponema pallidum in New Zealand rabbits immunized with plasmid DNA encoding flagellin Pubmed: 30405111 |
| Journal of Investigative Medicine | The characteristics and clinical significance of mucin levels in bronchoalveolar lavage fluid of patients with interstitial lung disease Pubmed: 30573494 |
| International Journal of Chronic Obstructive Pulmonary Disease | Altered serum levels of type I collagen turnover indicators accompanied by IL-6 and IL-8 release in stable COPD Pubmed: 30655663 |
| Inflammopharmacology | Chandrasekaran Chinampudur Velusami, Edwin Jothie Richard & |
| Journal of Hematology & Oncology | Multiple myeloma-derived exosomes are enriched of amphiregulin (AREG) and activate the epidermal growth factor pathway in the bone microenvironment … Pubmed: 30621731 |
| BioMed Research International | Effective Treatment of Bovine Mastitis with Intramammary Infusion of Angelica dahurica and Rheum officinale Extracts |
| Frontiers in Pharmacology | Naoxintong Capsule Inhibits the Development of Cardiovascular Pathological Changes in Bama Minipig Through Improving Gut Microbiota Pubmed: 31632272 |
| international journal of molecular sciences | Anti-Inflammatory and Anti-Apoptotic Effects of Stybenpropol A on Human Umbilical Vein Endothelial Cells Pubmed: 31671764 |
| Scientific Reports | Corrosion Resistance of Graphene oxide/Silver Coatings on Ni–Ti alloy and Expression of IL-6 and IL-8 in Human Oral Fibroblasts Pubmed: 32094428 |
| Journal of Receptors and Signal Transduction Research | Suppressor of ras val-2 promotes inflammation-mediated oxidative stress and cell apoptosis in cardiomyocytes through activating Mst1-mROS signaling pathway Pubmed: 32065019 |
| Antibiotics | Effects of Early Intervention with Antibiotics and Maternal Fecal Microbiota on Transcriptomic Profiling Ileal Mucusa in Neonatal Pigs Pubmed: 31963653 |
| Physiol Res | Effect of Different Dosages of Dexamethasone Therapy on Lung Function and Inflammation in an Early Phase of Acute Respiratory Distress Syndrome Model Pubmed: 31928043 |
| Respiratory Research | Synthetic surfactant with a recombinant surfactant protein C analogue improves lung function and attenuates inflammation in a model of acute respiratory … Pubmed: 31694668 |
| Journal of Pharmacy and Pharmacology | Tectorigenin inhibits inflammation and pulmonary fibrosis in allergic asthma model of ovalbumin‐sensitized guinea pigs Pubmed: 32314371 |
| Inflammation | Cyanidin-3-O-Glucoside Attenuates Lipopolysaccharide-Induced Inflammation in Human Corneal Epithelial Cells by Inducing Let-7b-5p-Mediated HMGA2/PI3K/Akt … Pubmed: 32248330 |
| Sci Rep | NFKB1 gene rs28362491 ins/del variation is associated with higher susceptibility to myocardial infarction in a Chinese Han population Pubmed: 33177541 |
| International Journal of Nanomedicine | Study on Adenovirus Infection in vitro with Nanoself-Assembling Peptide as Scaffolds for 3D Culture Pubmed: 32922004 |
| Theriogenology | A comparative study on various immunological parameters influencing embryo survivability in crossbred dairy cows Pubmed: 32810791 |
| Cell Cycle | SIRT1 relieves Necrotizing Enterocolitis through inactivation of Hypoxia-inducible factor (HIF)-1a Pubmed: 32657204 |
| Frontiers in Pharmacology | Hyperoside Protects Human Umbilical Vein Endothelial Cells Against Anticardiolipin Antibody-Induced Injury by Activating Autophagy Pubmed: 32508661 |
| Indian Journal of Animal Sciences | Peripheral concentrations of metabolic and inflammatory indicators during transition period and their relationship with postpartum clinical endometritis in dairy … |
| Animals | Diet Supplementation with a Bioactive Pomace Extract from Olea europaea Partially Mitigates Negative Effects on Gut Health Arising from a Short-Term Fasting Period … |
| INTERNATIONAL JOURNAL OF MOLECULAR MEDICINE | Possible Anti-inflammatory Effects of Mesenchymal Stem Cells Transplantation via Changes in CXCL8 Levels in Patients with Refractory Rheumatoid Arthritis |
| HMGB1 e citocinas inflamatórias em lesão pulmonar aguda experimental induzida em coelhos | |
| Bull Exp Biol Med | Inflammation Mediators Regulate the Microbiota Resistance to Adverse Factors 33222085 |
| physiological reports | Impact of synthetic surfactant CHF5633 with SP©\B and SP©\C analogues on lung function and inflammation in rabbit model of acute respiratory distress syndrome 33403805 |
| J Med Food | Cough Inhibition Activity of Schisandra chinensis in Guinea Pigs 33861937 |
| Sci Rep | Association between MIF gene promoter rs755622 and susceptibility to coronary artery disease and inflammatory cytokines in the Chinese Han population 33850223 |
| Sci Rep | Corrosion Resistance of Graphene oxide/Silver Coatings on Ni¨CTi alloy and Expression of IL-6 and IL-8 in Human O... 32094428 |
| Poultry Science | Response of broiler chickens fed diets supplemented with a bioactive olive pomace extract from Olea europaea to an experimental coccidial vaccine?¡ 33518110 |
| Bioactive Materials | Construction of heparin-based hydrogel incorporated with Cu5. 4O ultrasmall nanozymes for wound healing and inflammation inhibition 33778192 |
| animals | Immunohistochemical Expression of Neurokinin-A and Interleukin-8 in the Bronchial Epithelium of Horses with Severe Equine Asthma Syndrome during Asymptomatic?¡ 34066204 |
| Sci Rep | Talaromyces marneffei and nontuberculous mycobacteria co-infection in HIV-negative patients 34376749 |
| Pharmaceutics | Nitric-Oxide-Releasing Dexamethasone Derivative NCX-1005 Improves Lung Function and Attenuates Inflammation in Experimental Lavage-Induced ARDS 34959373 |
| Biomedicines | Exploring Epithelial–Mesenchymal Transition Signals in Endometriosis Diagnosis and In Vitro Fertilization Outcomes 34829910 |
| Anesthesiology | Adverse Mechanical Ventilation and Pneumococcal Pneumonia Induce Immune and Mitochondrial Dysfunctions Mitigated by Mesenchymal Stem Cells in Rabbits Pubmed:34965287 |
| J Clin Med | Endometrial Dysbiosis Is Related to Inflammatory Factors in Women with Repeated Implantation Failure: A Pilot Study Pubmed:35566605 |
| Microb Pathog | Cell damage and neutrophils promote the infection of Mycoplasma pneumoniae and inflammatory response Pubmed:35724831 |
| ResearchSquare | LncRNA KCNQ10T1 shuttled by bone marrow mesenchymal stem cells-derived exosome inhibits sepsis via regulation of miR-154-3p/RNF19A axis |
| Anti-inflammatory activity of non-selective PDE inhibitor aminophylline on the lung tissue and respiratory parameters in animal model of ARDS | |
| Intensive Care Research | Evaluating the Roles of sCD14 and sCD14-ST in Diagnosing COPD and Predicting an Acute Exacerbation of COPD |
| Catalog No. | Related products for research use of Homo sapiens (Human) Organism species | Applications (RESEARCH USE ONLY!) |
| EPA080Hu62 | Eukaryotic Interleukin 8 (IL8) | Positive Control; Immunogen; SDS-PAGE; WB. |
| APA080Hu01 | Active Interleukin 8 (IL8) | Cell culture; Activity Assays. |
| EPA080Hu61 | Eukaryotic Interleukin 8 (IL8) | Positive Control; Immunogen; SDS-PAGE; WB. |
| RPA080Hu01 | Recombinant Interleukin 8 (IL8) | Positive Control; Immunogen; SDS-PAGE; WB. |
| PAA080Hu01 | Polyclonal Antibody to Interleukin 8 (IL8) | WB |
| LAA080Hu71 | Biotin-Linked Polyclonal Antibody to Interleukin 8 (IL8) | WB; IHC; ICC. |
| LAA080Hu81 | FITC-Linked Polyclonal Antibody to Interleukin 8 (IL8) | WB; IHC; ICC; IF. |
| MAA080Hu25 | Monoclonal Antibody to Interleukin 8 (IL8) | WB |
| MAA080Hu24 | Monoclonal Antibody to Interleukin 8 (IL8) | IHC |
| MAA080Hu23 | Monoclonal Antibody to Interleukin 8 (IL8) | WB |
| MAA080Hu21 | Monoclonal Antibody to Interleukin 8 (IL8) | WB; IHC |
| MAA080Hu22 | Monoclonal Antibody to Interleukin 8 (IL8) | WB; IHC |
| LAA080Hu82 | FITC-Linked Monoclonal Antibody to Interleukin 8 (IL8) | IHC |
| LAA080Hu72 | Biotin-Linked Monoclonal Antibody to Interleukin 8 (IL8) | WB; IHC; ICC. |
| FAA080Hu22 | Labelled Anti-Interleukin 8 (IL8) Monoclonal Antibody | FCM |
| MEA080Hu | Mini Samples ELISA Kit for Interleukin 8 (IL8) | Enzyme-linked immunosorbent assay for Antigen Detection. |
| SEA080Hu | ELISA Kit for Interleukin 8 (IL8) | Enzyme-linked immunosorbent assay for Antigen Detection. |
| HEA080Hu | High Sensitive ELISA Kit for Interleukin 8 (IL8) | Enzyme-linked immunosorbent assay for Antigen Detection. |
| IEA080Hu | Instant ELISA Kit for Interleukin 8 (IL8) | Enzyme-linked immunosorbent assay for Antigen Detection. |
| AEA080Hu | ELISA Kit for Anti-Interleukin 8 Antibody (Anti-IL8) | Enzyme-linked immunosorbent assay for Antibody Detection. |
| SCA080Hu | CLIA Kit for Interleukin 8 (IL8) | Chemiluminescent immunoassay for Antigen Detection. |
| LMA080Hu | Multiplex Assay Kit for Interleukin 8 (IL8) ,etc. by FLIA (Flow Luminescence Immunoassay) | FLIA Kit for Antigen Detection. |
| PSA080Hu01 | Antibody Pair for Interleukin 8 (IL8) | ELISA; CLIA; ELISPOT; Luminex; Immunochromatography and other Immunoassays. |
| KSA080Hu01 | ELISA Kit DIY Materials for Interleukin 8 (IL8) | Main materials for "Do It (ELISA Kit) Yourself". |

