Monoclonal Antibody to Leukemia Inhibitory Factor (LIF)
CDF; D-FACTOR; HILDA; MLPLI; Cholinergic Differentiation Factor; Differentiation-Stimulating Factor; Melanoma-Derived LPL Inhibitor; Emfilermin
- Product No.MAA085Bo21
- Organism SpeciesBos taurus; Bovine (Cattle) Same name, Different species.
- SourceMonoclonal antibody preparation
- HostMouse
- Potency (Clone Number)C1
- Ig Isotype IgG1Kappa
- PurificationProtein A + Protein G affinity chromatography
- LabelNone
- Immunogen EPA085Bo62-Eukaryotic Leukemia Inhibitory Factor (LIF)
- Buffer FormulationPBS, pH7.4, containing 0.02% NaN3, 50% glycerol.
- TraitsLiquid
- Concentration1mg/mL
- Organism Species MoreHomo sapiens (Human), Mus musculus (Mouse), Ovis aries; Ovine (Sheep)
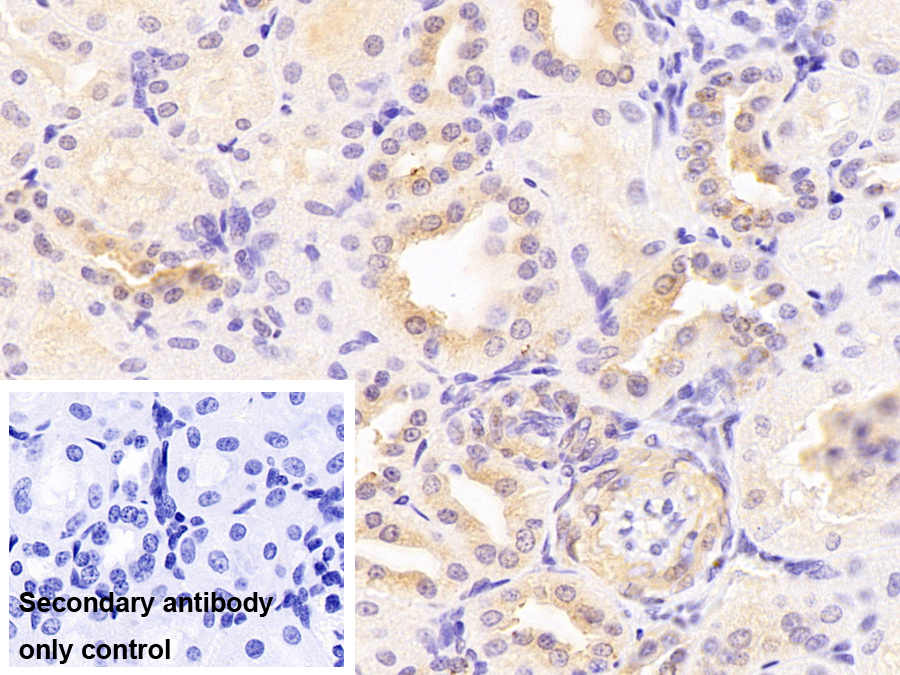
- ApplicationsWB,IHC
If the antibody is used in flow cytometry, please check FCM antibodies. - Downloadn/a
- UOM 20µl100µl 200µl 1ml 10ml
- FOB
US$ 119
US$ 279
US$ 398
US$ 995
US$ 3980
For more details, please contact local distributors!
SPECIFITY
The antibody is a mouse monoclonal antibody raised against LIF. It has been selected for its ability to recognize LIF in immunohistochemical staining and western blotting.
USAGE
Western blotting: 0.1-2µg/mL;
Immunohistochemistry: 5-20µg/mL;
Immunocytochemistry: 5-20µg/mL;
Optimal working dilutions must be determined by end user.
STORAGE
Store at 4°C for frequent use. Stored at -20°C in a manual defrost freezer for two year without detectable loss of activity. Avoid repeated freeze-thaw cycles.
STABILITY
The thermal stability is described by the loss rate. The loss rate was determined by accelerated thermal degradation test, that is, incubate the protein at 37°C for 48h, and no obvious degradation and precipitation were observed. The loss rate is less than 5% within the expiration date under appropriate storage condition.
GIVEAWAYS
INCREMENT SERVICES
-
Antibody Labeling Customized Service
-
Protein A/G Purification Column
-
Staining Solution for Cells and Tissue
-
Positive Control for Antibody
-
Tissue/Sections Customized Service
-
Phosphorylated Antibody Customized Service
-
Western Blot (WB) Experiment Service
-
Immunohistochemistry (IHC) Experiment Service
-
Immunocytochemistry (ICC) Experiment Service
-
Flow Cytometry (FCM) Experiment Service
-
Immunoprecipitation (IP) Experiment Service
-
Immunofluorescence (IF) Experiment Service
-
Buffer
-
DAB Chromogen Kit
-
SABC Kit
-
Long-arm Biotin Labeling Kit
-
Real Time PCR Experimental Service
| Magazine | Citations |
| British Journal of Anaesthesia | Leukemia inhibitory factor (LIF) potentiates antinociception activity and inhibits tolerance induction of opioids pubmed:28077540 |
| Biological Rhythm Research | A study of altered cytokine rhythms associated with successful implantation in cows 10.1080/09291016.2017.1361159 |
| Integrated analysis of cancer stem cells-associated lncRNA-miRNA-mRNA network for ovarian cancer via microarray and Gene Expression Omnibus database |
| Catalog No. | Related products for research use of Bos taurus; Bovine (Cattle) Organism species | Applications (RESEARCH USE ONLY!) |
| EPA085Bo61 | Eukaryotic Leukemia Inhibitory Factor (LIF) | Positive Control; Immunogen; SDS-PAGE; WB. |
| EPA085Bo62 | Eukaryotic Leukemia Inhibitory Factor (LIF) | Positive Control; Immunogen; SDS-PAGE; WB. |
| APA085Bo62 | Active Leukemia Inhibitory Factor (LIF) | Cell culture; Activity Assays. |
| RPA085Bo01 | Recombinant Leukemia Inhibitory Factor (LIF) | Positive Control; Immunogen; SDS-PAGE; WB. |
| PAA085Bo01 | Polyclonal Antibody to Leukemia Inhibitory Factor (LIF) | WB; IHC; ICC; IP. |
| MAA085Bo21 | Monoclonal Antibody to Leukemia Inhibitory Factor (LIF) | WB,IHC |
| SEA085Bo | ELISA Kit for Leukemia Inhibitory Factor (LIF) | Enzyme-linked immunosorbent assay for Antigen Detection. |
| LMA085Bo | Multiplex Assay Kit for Leukemia Inhibitory Factor (LIF) ,etc. by FLIA (Flow Luminescence Immunoassay) | FLIA Kit for Antigen Detection. |
