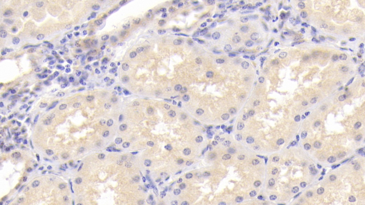
Monoclonal Antibody to Osteoprotegerin (OPG)
TNFRSF11B; TNFRSF11-B; OCIF; OPG; TR1; Tumor Necrosis Factor Receptor Superfamily Member 11b; Osteoclastogenesis Inhibitory Factor
- Product No.MAA108Hu21
- Organism SpeciesHomo sapiens (Human) Same name, Different species.
- SourceMonoclonal antibody preparation
- HostMouse
- Potency (Clone Number)C1
- Ig Isotype IgG1 Kappa
- PurificationProtein A + Protein G affinity chromatography
- LabelNone
- Immunogen RPA108Hu01-Recombinant Osteoprotegerin (OPG)
- Buffer FormulationPBS, pH7.4, containing 0.02% NaN3, 50% glycerol.
- TraitsLiquid
- Concentration1mg/ml
- Organism Species Moren/a
- ApplicationsIHC
If the antibody is used in flow cytometry, please check FCM antibodies. - DownloadInstruction Manual
- UOM 20µl100µl 200µl 1ml 10ml
- FOB
US$ 102
US$ 238
US$ 340
US$ 850
US$ 3400
For more details, please contact local distributors!
SPECIFITY
The antibody is a mouse monoclonal antibody raised against OPG. It has been selected for its ability to recognize OPG in immunohistochemical staining and western blotting.
USAGE
Western blotting: 0.01-2µg/mL;
Immunohistochemistry: 5-20µg/mL;
Immunocytochemistry: 5-20µg/mL;
Optimal working dilutions must be determined by end user.
STORAGE
Store at 4°C for frequent use. Stored at -20°C in a manual defrost freezer for two year without detectable loss of activity. Avoid repeated freeze-thaw cycles.
STABILITY
The thermal stability is described by the loss rate. The loss rate was determined by accelerated thermal degradation test, that is, incubate the protein at 37°C for 48h, and no obvious degradation and precipitation were observed. The loss rate is less than 5% within the expiration date under appropriate storage condition.
GIVEAWAYS
INCREMENT SERVICES
-
Antibody Labeling Customized Service
-
Protein A/G Purification Column
-
Staining Solution for Cells and Tissue
-
Positive Control for Antibody
-
Tissue/Sections Customized Service
-
Phosphorylated Antibody Customized Service
-
Western Blot (WB) Experiment Service
-
Immunohistochemistry (IHC) Experiment Service
-
Immunocytochemistry (ICC) Experiment Service
-
Flow Cytometry (FCM) Experiment Service
-
Immunoprecipitation (IP) Experiment Service
-
Immunofluorescence (IF) Experiment Service
-
Buffer
-
DAB Chromogen Kit
-
SABC Kit
-
Long-arm Biotin Labeling Kit
-
Real Time PCR Experimental Service
| Magazine | Citations |
| Pharmacology | Protective Effect of Amlodipine on Rat Bone Tissue after Orchidectomy Karger: 335491 |
| Endocrine Pharmacology | Protective effect of atorvastatin on bone tissue in orchidectomised male albino Wistar rats ScienceDirect: S0014299912000659 |
| PLOS One | Adipokines in Psoriatic Arthritis Patients: The Correlations with Osteoclast Precursors and Bone Erosions PubMed: PMC3483160 |
| International Journal of Oral and Maxillofacial Surgery | The effects of chronic zoledronate usage on the jaw and long bones evaluated using RANKL and osteoprotegerin levels in an animal model Pubmed: 23522850 |
| American Journal of Orthodontics and Dentofacial Orthopedics | OPG and RANKL levels around miniscrew implants during orthodontic tooth movement Pubmed: 23910201 |
| AGE | Estrogen deficiency does not decrease the in vitro osteogenic potential of rat adipose-derived mesenchymal stem cells Pubmed: 24687841 |
| Food Science & Nutrition | Effects and mechanisms of 8-prenylnaringenin on osteoblast MC3T3-E1 and osteoclast-like cells RAW264.7 Onlinelibrary: fsn3.109 |
| Food Sci Nutr. | Effects and mechanisms of 8‐prenylnaringenin on osteoblast MC3T3‐E1 and osteoclast‐like cells RAW264. 7 Pubmed:Pmc4221832 |
| J Neurol Sci. | The effect of topiramate and lamotrigine on rat bone mass, structure and metabolism. Pubmed:24629477 |
| Journal of Investigative Surgery | Effect of Nicotine on RANKL and OPG and Bone Mineral Density Pubmed:24830656 |
| Int J Mol Med. | Effects of icariin on the regulation of the OPG?RANKL?RANK system are mediated through the MAPK pathways in IL?1β?stimulated human SW1353 chondrosarcoma … Pubmed:25270538 |
| Clinical and Experimental Pharmacology and Physiology | Carvedilol promotes neurological function, reduces bone loss and attenuates cell damage after acute spinal cord injury in rats Pubmed:25424914 |
| Journal of Colloid and Interface Science | Strontium and zoledronate hydroxyapatites graded composite coatings for bone prostheses Pubmed:25706198 |
| Int J Clin Exp Pathol | A novel model of bisphosphonate-related osteonecrosis of the jaw in rats PubMed: 26191212 |
| IJHS(international journal of health sciences) | Relation of Osteoprotegerin, Visfatin and Ghrelin to Metabolic Syndrome in Type 2 Diabetic Patients PubMed: 26309431 |
| Pharmacology | Effect of Mirtazapine on Rat Bone Tissue after Orchidectomy PubMed: 25871861 |
| Experimental And Therapeutic Medicine | Antiosteoporotic effect of icariin in ovariectomized rats is mediated via the Wnt/β-catenin pathway Pubmed:27347050 |
| Bone | The effects of strength training and raloxifene on bone health in aging ovariectomized rats Pubmed:26812611 |
| Scienze Biomediche | Effetti del laser a bassa dose su cellule osteoblastiche INCERTIPARENTI_SERENA_TESI.pdf |
| journal of biomedical materials research part a | RAW 264.7 co-cultured with ultra-high molecular weight polyethylene particles spontaneously differentiate into osteoclasts: an in vitro model of periprosthetic osteolysis. pubmed:27667508 |
| Nutrition. | Noni leaf and black tea enhance bone regeneration in estrogen-deficient rats. pubmed:27908549 |
| PLoS One. | Extracorporeal shock waves alone or combined with raloxifene promote bone formation and suppress resorption in ovariectomized rats. pubmed:28158228 |
| Sci Rep. | Skeletal Site-specific Effects of Zoledronate on in vivo Bone Remodeling and in vitro BMSCs Osteogenic Activity. pubmed:28139685 |
| Journal of Biomaterials and Tissue Engineering | Modification and Characterization of Polyethylene Glycolated Decellularized Porcine Aortic Heart Valve with Osteoprotegerin art00007 |
| Japanese Society for Bone and Mineral Research | Allogeneic yet major histocompatibility complex‑matched bone marrow transplantation in mice results in an impairment of osteoblasts and a significantly reduced trabecular bone article:10.1007 |
| ONCOLOGY LETTERS | Assessment of bone metabolism and biomechanical properties of the femur, following treatment with anastrozole and letrozole in an experimental model of menopause ol.2017.6596 |
| Journal of Biomedical Materials Research | RAW 264.7 co-cultured with ultra-high molecular weight polyethylene particles spontaneously differentiate into osteoclasts: an in vitro model of periprosthetic osteolysis 10.1002/jbm.a.35912 |
| Oncotarget | Mesenchymal stem cells inhibit RANK-RANKL interactions between osteoclasts and Th17 cells via osteoprotegerin activity. pubmed:29137353 |
| Asian Journal of Biomedical and Pharmaceutical Sciences | A Water Extract of Benefiting-Bone Capsule Improves Osteoporosis via Transcriptional and Translational Regulation of Key Factors in Notch and Wnt/ò-catenin Signaling Pathways in Ovariectomized Rats ISSN 2249 – 622X |
| ACS Applied Materials and Interfaces | Enhanced Osseointegration of Porous Titanium Modified with Zeolitic Imidazolate Framework-8. pubmed:28696091 |
| Journal of Clinical Periodontology | Peroxisome proliferator‐activated receptor γ plays dual roles on experimental periodontitis in rats Pubmed:29574908 |
| Journal of Functional Foods | Effect of long-term administration of mangiferin from on bone metabolism in ovariectomized rats 10.1016:j.jff.2018.04.048 |
| Macromolecular Bioscience | Strontium‐Substituted Hydroxyapatite‐Gelatin Biomimetic Scaffolds Modulate Bone Cell Response Pubmed:29877029 |
| Journal of Ethnopharmacology | Effects of water extract from epimedium on neuropeptide signaling in an ovariectomized osteoporosis rat model Pubmed:29705515 |
| International Journal of Molecular Medicine | Bu‑Shen‑Ning‑Xin decoction suppresses osteoclastogenesis by modulating RANKL/OPG imbalance in the CD4+ T lymphocytes of ovariectomized mice Pubmed:29717766 |
| Journal of Bone and Mineral Metabolism | Allogeneic yet major histocompatibility complex-matched bone marrow transplantation in mice results in an impairment of osteoblasts and a significantly reduced … Pubmed:28766138 |
| Journal of Bone and Mineral Metabolism | Therapeutic effect of icariin combined with stem cells on postmenopausal osteoporosis in rats Pubmed:28681147 |
| Pharmacology | Effects of Amlodipine on Bone Metabolism in Orchidectomised Spontaneously Hypertensive Rats Pubmed:29898457 |
| Experimental and Therapeutic Medicine | Liraglutide exerts a bone‑protective effect in ovariectomized rats with streptozotocin‑induced diabetes by inhibiting osteoclastogenesis Pubmed:29805533 |
| Bone | The sole and combined effect of simvastatin and platelet rich fibrin as a filling material in induced bone defect in tibia of albino rats Pubmed: 30208342 |
| Bone Research | NUMB maintains bone mass by promoting degradation of PTEN and GLI1 via ubiquitination in osteoblasts Pubmed: 30455992 |
| Bone | Development and characterization of supramolecular calcitonin assembly and assessment of its interactions with the bone remodelling process Pubmed: 30797058 |
| RSC Advances | Biofunctionalization of decellularized porcine aortic valve with OPG-loaded PCL nanoparticles for anti-calcification Doi: 10.1039/C9RA00408D |
| ANTICANCER RESEARCH | Promoter Methylation Down-regulates Osteoprotegerin Expression in Ovarian Carcinoma Pubmed: 31092428 |
| BIOSCIENCE REPORTS | IL-38 restrains inflammatory response of collagen-induced arthritis in rats via SIRT1/HIF-1α signaling pathway Pubmed: 32347300 |
| Oxid Med Cell Longev | Long-Term Administration of Abacavir and Etravirine Impairs Semen Quality and Alters Redox System and Bone Metabolism in Growing Male Wistar Rats 34373766 |
| Biomed Pharmacother | Jiangu granule ameliorated OVX rats bone loss by modulating gut microbiota-SCFAs-Treg/Th17 axis Pubmed:35453007 |
| Medicina (Kaunas) | Plasma Concentrations of New Biochemical Markers of Atherosclerosis in Patients with Dyslipidemia—A Pilot Study Pubmed:35743980 |
| Journal of Orthopaedic Translation | Exercised accelerated the production of muscle-derived kynurenic acid in skeletal muscle and alleviated the postmenopausal osteoporosis through the Gpr35 … |
| Catalog No. | Related products for research use of Homo sapiens (Human) Organism species | Applications (RESEARCH USE ONLY!) |
| EPA108Hu61 | Eukaryotic Osteoprotegerin (OPG) | Positive Control; Immunogen; SDS-PAGE; WB. |
| APA108Hu61 | Active Osteoprotegerin (OPG) | Cell culture; Activity Assays. |
| RPA108Hu01 | Recombinant Osteoprotegerin (OPG) | Positive Control; Immunogen; SDS-PAGE; WB. |
| RPA108Hu02 | Recombinant Osteoprotegerin (OPG) | Positive Control; Immunogen; SDS-PAGE; WB. |
| PAA108Hu06 | Polyclonal Antibody to Osteoprotegerin (OPG) | WB; IHC; ICC; IP. |
| PAA108Hu01 | Polyclonal Antibody to Osteoprotegerin (OPG) | IHC |
| MAA108Hu23 | Monoclonal Antibody to Osteoprotegerin (OPG) | IHC |
| MAA108Hu22 | Monoclonal Antibody to Osteoprotegerin (OPG) | IHC |
| MAA108Hu21 | Monoclonal Antibody to Osteoprotegerin (OPG) | IHC |
| SEA108Hu | ELISA Kit for Osteoprotegerin (OPG) | Enzyme-linked immunosorbent assay for Antigen Detection. |
| MEA108Hu | Mini Samples ELISA Kit for Osteoprotegerin (OPG) | Enzyme-linked immunosorbent assay for Antigen Detection. |
| SCA108Hu | CLIA Kit for Osteoprotegerin (OPG) | Chemiluminescent immunoassay for Antigen Detection. |
| LMA108Hu | Multiplex Assay Kit for Osteoprotegerin (OPG) ,etc. by FLIA (Flow Luminescence Immunoassay) | FLIA Kit for Antigen Detection. |

