Monoclonal Antibody to Ubiquitin (Ub)
Ubiquitin B; UbB; Ubiquitous Immunopoietic Polypeptide; Polyubiquitin B
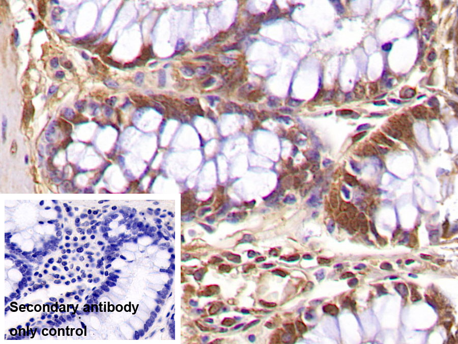
- Product No.MAA164Mi26
- Organism SpeciesHomo sapiens (Human), Mus musculus (Mouse), Rattus norvegicus (Rat), Cavia (Guinea pig ), Rhesus monkey (Simian), Sus scrofa; Porcine (Pig), Bos taurus; Bovine (Cattle), Ovis aries; Ovine (Sheep), Equus caballus; Equine (Horse), Chicken (Gallus) Same name, Different species.
- SourceMonoclonal antibody preparation
- HostMouse
- Potency (Clone Number)E8
- Ig Isotype IgG2b Kappa
- PurificationProtein A + Protein G affinity chromatography
- LabelNone
- Immunogen RPA164Mi02-Recombinant Ubiquitin (Ub)
- Buffer Formulation0.01M PBS, pH7.4, containing 0.05% Proclin-300, 50% glycerol.
- TraitsLiquid
- Concentration1mg/ml
- Organism Species MoreSus scrofa; Porcine (Pig)
- ApplicationsIHC
If the antibody is used in flow cytometry, please check FCM antibodies. - DownloadInstruction Manual
- UOM 20µl100µl 200µl 1ml 10ml
- FOB
US$ 107
US$ 250
US$ 357
US$ 893
US$ 3570
For more details, please contact local distributors!
SPECIFITY
The antibody is a mouse monoclonal antibody raised against Ub. It has been selected for its ability to recognize Ub in immunohistochemical staining and western blotting.
USAGE
Western blotting: 0.01-2µg/mL;
Immunohistochemistry: 5-20µg/mL;
Immunocytochemistry: 5-20µg/mL;
Optimal working dilutions must be determined by end user.
STORAGE
Store at 4°C for frequent use. Stored at -20°C in a manual defrost freezer for two year without detectable loss of activity. Avoid repeated freeze-thaw cycles.
STABILITY
The thermal stability is described by the loss rate. The loss rate was determined by accelerated thermal degradation test, that is, incubate the protein at 37°C for 48h, and no obvious degradation and precipitation were observed. The loss rate is less than 5% within the expiration date under appropriate storage condition.
GIVEAWAYS
INCREMENT SERVICES
-
Antibody Labeling Customized Service
-
Protein A/G Purification Column
-
Staining Solution for Cells and Tissue
-
Positive Control for Antibody
-
Tissue/Sections Customized Service
-
Phosphorylated Antibody Customized Service
-
Western Blot (WB) Experiment Service
-
Immunohistochemistry (IHC) Experiment Service
-
Immunocytochemistry (ICC) Experiment Service
-
Flow Cytometry (FCM) Experiment Service
-
Immunoprecipitation (IP) Experiment Service
-
Immunofluorescence (IF) Experiment Service
-
Buffer
-
DAB Chromogen Kit
-
SABC Kit
-
Long-arm Biotin Labeling Kit
-
Real Time PCR Experimental Service
| Magazine | Citations |
| Breast Cancer Res Treat | Activation of mitochondrial unfolded protein response is associated with Her2-overexpression breast cancer Pubmed: 32601970 |
| J Cachexia Sarcopenia Muscle | Systemic ablation of vitamin D receptor leads to skeletal muscle glycogen storage disorder in mice 34877816 |
| Catalog No. | Related products for research use of Homo sapiens (Human), Mus musculus (Mouse), Rattus norvegicus (Rat), Cavia (Guinea pig ), Rhesus monkey (Simian), Sus scrofa; Porcine (Pig), Bos taurus; Bovine (Cattle), Ovis aries; Ovine (Sheep), Equus caballus; Equine (Horse), Chicken (Gallus) Organism species | Applications (RESEARCH USE ONLY!) |
| RPA164Mi01 | Recombinant Ubiquitin (Ub) | Positive Control; Immunogen; SDS-PAGE; WB. |
| RPA164Mi02 | Recombinant Ubiquitin (Ub) | Positive Control; Immunogen; SDS-PAGE; WB. |
| CPA164Mi21 | OVA Conjugated Ubiquitin (Ub) | Immunogen; SDS-PAGE; WB. |
| PAA164Mi01 | Polyclonal Antibody to Ubiquitin (Ub) | WB |
| PAA164Mi08 | Polyclonal Antibody to Ubiquitin (Ub) | WB; IHC; ICC; IP. |
| PAA164Mi02 | Polyclonal Antibody to Ubiquitin (Ub) | WB; IHC |
| MAA164Mi22 | Monoclonal Antibody to Ubiquitin (Ub) | WB; IHC |
| MAA164Mi21 | Monoclonal Antibody to Ubiquitin (Ub) | IHC |
| MAA164Mi26 | Monoclonal Antibody to Ubiquitin (Ub) | IHC |
| SEA164Mi | ELISA Kit for Ubiquitin (Ub) | Enzyme-linked immunosorbent assay for Antigen Detection. |
| CEA164Mi | ELISA Kit for Ubiquitin (Ub) | Enzyme-linked immunosorbent assay for Antigen Detection. |
| LMA164Mi | Multiplex Assay Kit for Ubiquitin (Ub) ,etc. by FLIA (Flow Luminescence Immunoassay) | FLIA Kit for Antigen Detection. |
| KSA164Mi01 | ELISA Kit DIY Materials for Ubiquitin (Ub) | Main materials for "Do It (ELISA Kit) Yourself". |
| KSA164Mi11 | ELISA Kit DIY Materials for Ubiquitin (Ub) | Main materials for "Do It (ELISA Kit) Yourself". |
| CGA164Mi02 | cDNA of Ubiquitin (Ub) | PCR; Protein Expression; etc. |

