Monoclonal Antibody to Gelsolin (GSN)
GS; AGEL; ADF; Brevin; Gelsolin Amyloidosis,Finnish Type; Actin-depolymerizing factor
- Product No.MAA372Hu21
- Organism SpeciesHomo sapiens (Human) Same name, Different species.
- SourceMonoclonal antibody preparation
- HostMouse
- Potency (Clone Number)D13
- Ig Isotype IgG2a Kappa
- PurificationProtein A + Protein G affinity chromatography
- LabelNone
- Immunogen RPA372Hu04-Recombinant Gelsolin (GSN)
- Buffer Formulation0.01M PBS, pH7.4, containing 0.05% Proclin-300, 50% glycerol.
- TraitsLiquid
- Concentration1mg/mL
- Organism Species Moren/a
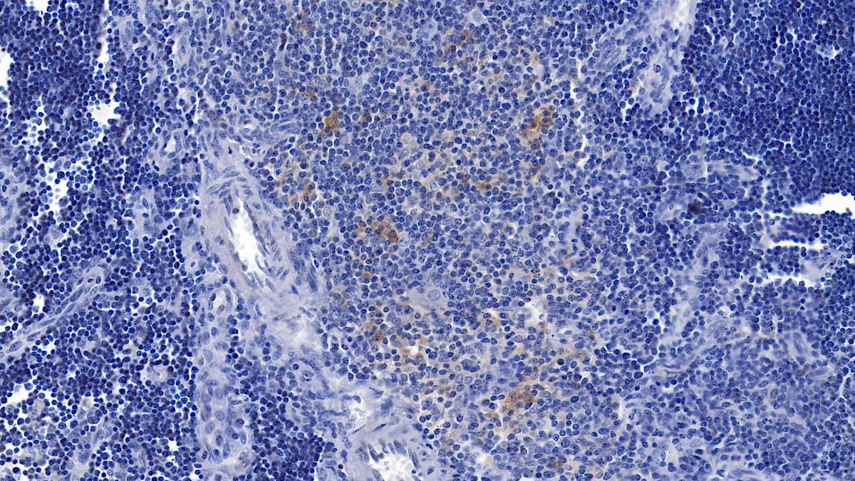
- ApplicationsWB; IHC
 If the antibody is used in flow cytometry, please check FCM antibodies.
- DownloadInstruction Manual
- UOM 20µl100µl 200µl 1ml 10ml
- FOB
    
                                    US$ 102 
            
                
                        US$ 238 
                                        US$ 340 
                                        US$ 850 
                                        US$ 3400 
                            
 For more details, please contact local distributors!
SPECIFITY
The antibody is a mouse monoclonal antibody raised against GSN. It has been selected for its ability to recognize GSN in immunohistochemical staining and western blotting.
USAGE
        Western blotting: 0.5-2µg/mL;
Immunohistochemistry: 5-20µg/mL;
Immunocytochemistry: 5-20µg/mL;
Optimal working dilutions must be determined by end user.    
STORAGE
Store at 4°C for frequent use. Stored at -20°C in a manual defrost freezer for two year without detectable loss of activity. Avoid repeated freeze-thaw cycles.
STABILITY
The thermal stability is described by the loss rate. The loss rate was determined by accelerated thermal degradation test, that is, incubate the protein at 37°C for 48h, and no obvious degradation and precipitation were observed. The loss rate is less than 5% within the expiration date under appropriate storage condition.
GIVEAWAYS
INCREMENT SERVICES
- 
                     Antibody Labeling Customized Service Antibody Labeling Customized Service
- 
                     Protein A/G Purification Column Protein A/G Purification Column
- 
                     Staining Solution for Cells and Tissue Staining Solution for Cells and Tissue
- 
                     Positive Control  for Antibody Positive Control  for Antibody
- 
                     Tissue/Sections Customized Service Tissue/Sections Customized Service
- 
                     Phosphorylated Antibody Customized Service Phosphorylated Antibody Customized Service
- 
                     Western Blot (WB) Experiment Service Western Blot (WB) Experiment Service
- 
                     Immunohistochemistry (IHC) Experiment Service Immunohistochemistry (IHC) Experiment Service
- 
                     Immunocytochemistry (ICC) Experiment Service Immunocytochemistry (ICC) Experiment Service
- 
                     Flow Cytometry (FCM) Experiment Service Flow Cytometry (FCM) Experiment Service
- 
                     Immunoprecipitation (IP) Experiment Service Immunoprecipitation (IP) Experiment Service
- 
                     Immunofluorescence (IF) Experiment Service Immunofluorescence (IF) Experiment Service
- 
                     Buffer Buffer
- 
                     DAB Chromogen Kit DAB Chromogen Kit
- 
                     SABC Kit SABC Kit
- 
                     Long-arm Biotin Labeling Kit Long-arm Biotin Labeling Kit
- 
                     Real Time PCR Experimental Service Real Time PCR Experimental Service
| Magazine | Citations | 
| Neurochmical Research | Gelsolin in Cerebrospinal Fluid as a Potential Biomarker of Epilepsy SpringerLink: 3585r8h46q7r0171 | 
| Journal of Neuroinflammation | Treatment with gelsolin reduces brain inflammation and apoptotic signaling in mice following thermal injury BioMed: 17422094 | 
| Biomedical Engineering and Informatics | Application of iTRAQ quantitative proteomics in identification of serum biomarkers in breast cancer IEEE: 6098563 | 
| European Journal of Obstetrics & Gynecology and Reproductive Biology | Investigation of the actin scavenging system in pre-eclampsia Pubmed: 24239294 | 
| The Annals of Thoracic Surgery | Proteomic Study Reveals Plasma Protein Changes in Congenital Heart Diseases Pubmed: 24565402 | 
| BMC Anesthesiol.? | The role of plasma gelsolin in cardiopulmonary bypass induced acute lung injury in infants and young children: a pilot study Pubmed:Pmc4132929 | 
| Cell Biochemistry and Biophysics | Gelsolin: Role of a Functional Protein in Mitigating Radiation Injury Pubmed:25164111 | 
| Neurosci Lett | Plasma gelsolin and matrix metalloproteinase 3 as potential biomarkers for Alzheimer disease PubMed: 25864780 | 
| Proteomics Clinical Applications | Comparative mass spectrometric and immunoassay‐based proteome analysis in serum of Duchenne muscular dystrophy patients Pubmed:26680509 | 
| PROTEOMICS - Clinical Applications | Comparative mass spectrometric and immunoassay-based proteome analysis in serum ofDuchenne muscular dystrophy patients. pubmed:26680509 | 
| Medicina Intensiva | Serum gelsolin levels in aneurismal subarachnoid hemorrhage: Preliminary results. pubmed:28365030 | 
| Journal of Alzheimers Disease | Urine-Based Biomarkers for Alzheimer's Disease Identified Through Coupling Computational and Experimental Methods Pubmed:30040720 | 
| World Journal of Pediatrics | Plasma gelsolin level predicts acute kidney injury after cardiopulmonary bypass in infants and young children Pubmed:29427164 | 
| Biomedicines | Production and Secretion of Gelsolin by Both Human Macrophage-and Fibroblast-like Synoviocytes and GSN Modulation in the Synovial Fluid of Patients with Various … Pubmed:35327525 | 
| Catalog No. | Related products for research use of Homo sapiens (Human) Organism species | Applications (RESEARCH USE ONLY!) | 
| RPA372Hu02 | Recombinant Gelsolin (GSN) | Positive Control; Immunogen; SDS-PAGE; WB. | 
| RPA372Hu05 | Recombinant Gelsolin (GSN) | Positive Control; Immunogen; SDS-PAGE; WB. | 
| APA372Hu61 | Active Gelsolin (GSN) | Cell culture; Activity Assays. | 
| RPA372Hu06 | Recombinant Gelsolin (GSN) | Positive Control; Immunogen; SDS-PAGE; WB. | 
| RPA372Hu03 | Recombinant Gelsolin (GSN) | Positive Control; Immunogen; SDS-PAGE; WB. | 
| RPA372Hu04 | Recombinant Gelsolin (GSN) | Positive Control; Immunogen; SDS-PAGE; WB. | 
| RPA372Hu01 | Recombinant Gelsolin (GSN) | Positive Control; Immunogen; SDS-PAGE; WB. | 
| EPA372Hu61 | Eukaryotic Gelsolin (GSN) | Positive Control; Immunogen; SDS-PAGE; WB. | 
| CPA372Hu21 | OVA Conjugated Gelsolin (GSN) | Immunogen; SDS-PAGE; WB. | 
| PAA372Hu05 | Polyclonal Antibody to Gelsolin (GSN) | WB; IHC | 
| PAA372Hu04 | Polyclonal Antibody to Gelsolin (GSN) | WB; IHC; ICC; IP. | 
| PAA372Hu06 | Polyclonal Antibody to Gelsolin (GSN) | WB; IHC | 
| PAA372Hu03 | Polyclonal Antibody to Gelsolin (GSN) | WB; IHC; ICC/IF | 
| PAA372Hu02 | Polyclonal Antibody to Gelsolin (GSN) | WB; IHC | 
| PAA372Hu01 | Polyclonal Antibody to Gelsolin (GSN) | WB; IHC | 
| PAA372Hu08 | Polyclonal Antibody to Gelsolin (GSN) | WB; IHC; ICC; IP. | 
| LAA372Hu71 | Biotin-Linked Polyclonal Antibody to Gelsolin (GSN) | WB; IHC; ICC. | 
| MAA372Hu27 | Monoclonal Antibody to Gelsolin (GSN) | WB | 
| MAA372Hu29 | Monoclonal Antibody to Gelsolin (GSN) | WB; IHC; ICC; IP. | 
| MAA372Hu22 | Monoclonal Antibody to Gelsolin (GSN) | WB | 
| MAA372Hu24 | Monoclonal Antibody to Gelsolin (GSN) | WB; IHC | 
| MAA372Hu21 | Monoclonal Antibody to Gelsolin (GSN) | WB; IHC | 
| MAA372Hu23 | Monoclonal Antibody to Gelsolin (GSN) | WB; IHC | 
| MAA372Hu25 | Monoclonal Antibody to Gelsolin (GSN) | WB; IHC | 
| MAA372Hu26 | Monoclonal Antibody to Gelsolin (GSN) | WB | 
| FAA372Hu02 | Anti-Gelsolin (GSN) Monoclonal Antibody | FCM | 
| FAA372Hu04 | Anti-Gelsolin (GSN) Monoclonal Antibody | FCM | 
| SEA372Hu | ELISA Kit for Gelsolin (GSN) | Enzyme-linked immunosorbent assay for Antigen Detection. | 
| WEA372Hu | Wide-range ELISA Kit for Gelsolin (GSN) | Enzyme-linked immunosorbent assay for Antigen Detection. | 
| SCA372Hu | CLIA Kit for Gelsolin (GSN) | Chemiluminescent immunoassay for Antigen Detection. | 
| LMA372Hu | Multiplex Assay Kit for Gelsolin (GSN) ,etc. by FLIA (Flow Luminescence Immunoassay) | FLIA Kit for Antigen Detection. | 
| PSA372Hu01 | Antibody Pair for Gelsolin (GSN) | ELISA; CLIA; ELISPOT; Luminex; Immunochromatography and other Immunoassays. | 
| KSA372Hu01 | ELISA Kit DIY Materials for Gelsolin (GSN) | Main materials for "Do It (ELISA Kit) Yourself". | 
 
         
 
                             
                             
                             
                             
                             
                             
                            

 
    