Monoclonal Antibody to Myoglobin (MYO)
PVALB; MB
- Product No.MAA480Hu25
- Organism SpeciesHomo sapiens (Human) Same name, Different species.
- SourceMonoclonal antibody preparation
- HostMouse
- Potency (Clone Number)D1
- Ig Isotype IgG2a Kappa
- PurificationProtein A + Protein G affinity chromatography
- LabelNone
- Immunogen RPA480Hu02-Recombinant Myoglobin (MYO)
- Buffer Formulation0.01M PBS, pH7.4, containing 0.05% Proclin-300, 50% glycerol.
- TraitsLiquid
- Concentration1mg/mL
- Organism Species MoreMus musculus (Mouse), Rattus norvegicus (Rat), Sus scrofa; Porcine (Pig)
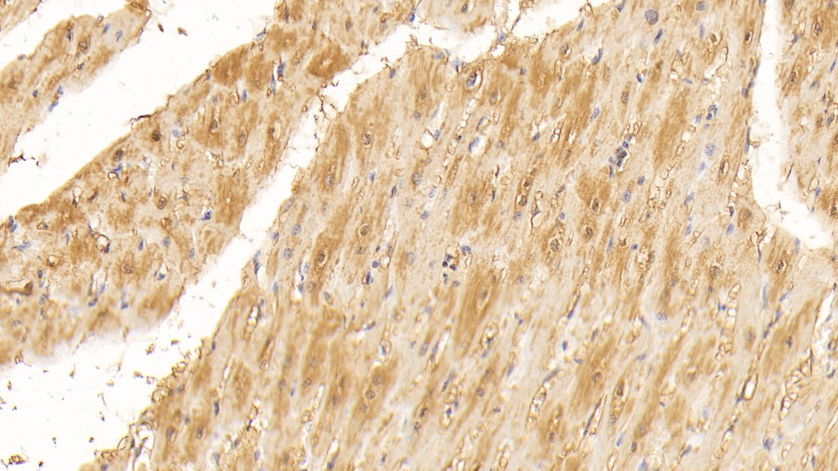
- ApplicationsWB; IHC
If the antibody is used in flow cytometry, please check FCM antibodies. - DownloadInstruction Manual
- UOM 20µl100µl 200µl 1ml 10ml
- FOB
US$ 102
US$ 238
US$ 340
US$ 850
US$ 3400
For more details, please contact local distributors!
SPECIFITY
The antibody is a mouse monoclonal antibody raised against MYO. It has been selected for its ability to recognize MYO in immunohistochemical staining and western blotting.
USAGE
Western blottin:g: 0.5-3µg/mL;
Immunohistochemistry: 5-30µg/mL;
Immunocytochemistry: 5-30µg/mL;
Optimal working dilutions must be determined by end user.
STORAGE
Store at 4°C for frequent use. Stored at -20°C in a manual defrost freezer for two year without detectable loss of activity. Avoid repeated freeze-thaw cycles.
STABILITY
The thermal stability is described by the loss rate. The loss rate was determined by accelerated thermal degradation test, that is, incubate the protein at 37°C for 48h, and no obvious degradation and precipitation were observed. The loss rate is less than 5% within the expiration date under appropriate storage condition.
GIVEAWAYS
INCREMENT SERVICES
-
Antibody Labeling Customized Service
-
Protein A/G Purification Column
-
Staining Solution for Cells and Tissue
-
Positive Control for Antibody
-
Tissue/Sections Customized Service
-
Phosphorylated Antibody Customized Service
-
Western Blot (WB) Experiment Service
-
Immunohistochemistry (IHC) Experiment Service
-
Immunocytochemistry (ICC) Experiment Service
-
Flow Cytometry (FCM) Experiment Service
-
Immunoprecipitation (IP) Experiment Service
-
Immunofluorescence (IF) Experiment Service
-
Buffer
-
DAB Chromogen Kit
-
SABC Kit
-
Long-arm Biotin Labeling Kit
-
Real Time PCR Experimental Service
| Magazine | Citations |
| European Journal of Applied Physiology | Acute leukocyte, cytokine and adipocytokine responses to maximal and hypertrophic resistance exercise bouts Pubmed:25145982 |
| International Journal of Molecular Sciences | Transcriptional Alterations by Ischaemic Postconditioning in a Pig Infarction Model: Impact on Microvascular Protection Pubmed: 30650650 |
| BIOSENS BIOELECTRON | Electrochemical dual-aptamer-based biosensor for nonenzymatic detection of cardiac troponin I by nanohybrid electrocatalysts labeling combined with DNA … Pubmed: 30954926 |
| Mikrochim Acta | DNA nanotetrahedron linked dual-aptamer based voltammetric aptasensor for cardiac troponin I using a magnetic metal-organic framework as a label Pubmed: 31123904 |
| ACS Appl Mater Interfaces | Emitter–Quencher Pair of Single Atomic Co Sites and Monolayer Titanium Carbide MXenes for Luminol Chemiluminescent Reactions 34914377 |
| Talanta | A rapid fluorescent aptasensor for point-of-care detection of C-reactive protein Pubmed:35714415 |

