Monoclonal Antibody to Protein Kinase R (PKR)
PRKR; PRK-R; EIF2AK2; EIF2AK1; Eukaryotic Translation Initiation Factor 2 Alpha Kinase 2; Interferon-induced, double-stranded RNA-activated protein kinase; P1/eIF-2A kinase
- Product No.MAA520Hu21
- Organism SpeciesHomo sapiens (Human) Same name, Different species.
- SourceMonoclonal antibody preparation
- HostMouse
- Potency (Clone Number)C3
- Ig Isotype IgG1 Kappa
- PurificationProtein A + Protein G affinity chromatography
- LabelNone
- Immunogen RPA520Hu01-Recombinant Protein Kinase R (PKR)
- Buffer Formulation0.01M PBS, pH7.4, containing 0.05% Proclin-300, 50% glycerol.
- TraitsLiquid
- Concentration1mg/mL
- Organism Species Moren/a
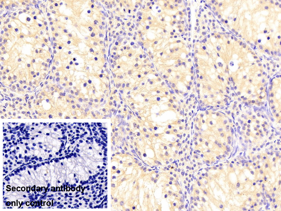
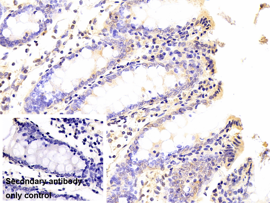
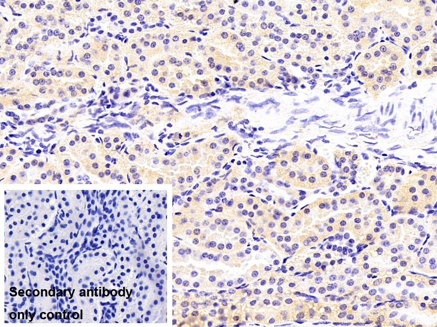
- ApplicationsWB; IHC
If the antibody is used in flow cytometry, please check FCM antibodies. - DownloadInstruction Manual
- UOM 20µl100µl 200µl 1ml 10ml
- FOB
US$
US$
US$
US$
US$
For more details, please contact local distributors!
SPECIFITY
The antibody is a mouse monoclonal antibody raised against PKR. It has been selected for its ability to recognize PKR in immunohistochemical staining and western blotting.
USAGE
Western blotting: 0.01-2µg/mL;
Immunohistochemistry: 5-30µg/mL;
Optimal working dilutions must be determined by end user.
STORAGE
Store at 4°C for frequent use. Stored at -20°C in a manual defrost freezer for two year without detectable loss of activity. Avoid repeated freeze-thaw cycles.
STABILITY
The thermal stability is described by the loss rate. The loss rate was determined by accelerated thermal degradation test, that is, incubate the protein at 37°C for 48h, and no obvious degradation and precipitation were observed. The loss rate is less than 5% within the expiration date under appropriate storage condition.
GIVEAWAYS
INCREMENT SERVICES
-
Antibody Labeling Customized Service
-
Protein A/G Purification Column
-
Staining Solution for Cells and Tissue
-
Positive Control for Antibody
-
Tissue/Sections Customized Service
-
Phosphorylated Antibody Customized Service
-
Western Blot (WB) Experiment Service
-
Immunohistochemistry (IHC) Experiment Service
-
Immunocytochemistry (ICC) Experiment Service
-
Flow Cytometry (FCM) Experiment Service
-
Immunoprecipitation (IP) Experiment Service
-
Immunofluorescence (IF) Experiment Service
-
Buffer
-
DAB Chromogen Kit
-
SABC Kit
-
Long-arm Biotin Labeling Kit
-
Real Time PCR Experimental Service
| Catalog No. | Related products for research use of Homo sapiens (Human) Organism species | Applications (RESEARCH USE ONLY!) |
| APA520Hu01 | Active Protein Kinase R (PKR) | Cell culture; Activity Assays. |
| RPA520Hu01 | Recombinant Protein Kinase R (PKR) | Positive Control; Immunogen; SDS-PAGE; WB. |
| PAA520Hu01 | Polyclonal Antibody to Protein Kinase R (PKR) | WB; IHC; ICC/IF; FCM |
| MAA520Hu21 | Monoclonal Antibody to Protein Kinase R (PKR) | WB; IHC |
| MAA520Hu22 | Monoclonal Antibody to Protein Kinase R (PKR) | WB |
| SEA520Hu | ELISA Kit for Protein Kinase R (PKR) | Enzyme-linked immunosorbent assay for Antigen Detection. |
| LMA520Hu | Multiplex Assay Kit for Protein Kinase R (PKR) ,etc. by FLIA (Flow Luminescence Immunoassay) | FLIA Kit for Antigen Detection. |

