Monoclonal Antibody to Albumin (ALB)
Serum albumin
- Product No.MAB028Ra24
- Organism SpeciesRattus norvegicus (Rat) Same name, Different species.
- SourceMonoclonal antibody preparation
- HostMouse
- Potency (Clone Number)E3
- Ig Isotype IgG
- PurificationAntigen-specific affinity chromatography followed by Protein A affinity chromatography
- LabelNone
- Immunogen n/a
- Buffer FormulationPBS, pH7.4, containing 0.02% NaN3, 50% glycerol.
- TraitsLiquid
- Concentration1mg/mL
- Organism Species MoreMus musculus (Mouse)
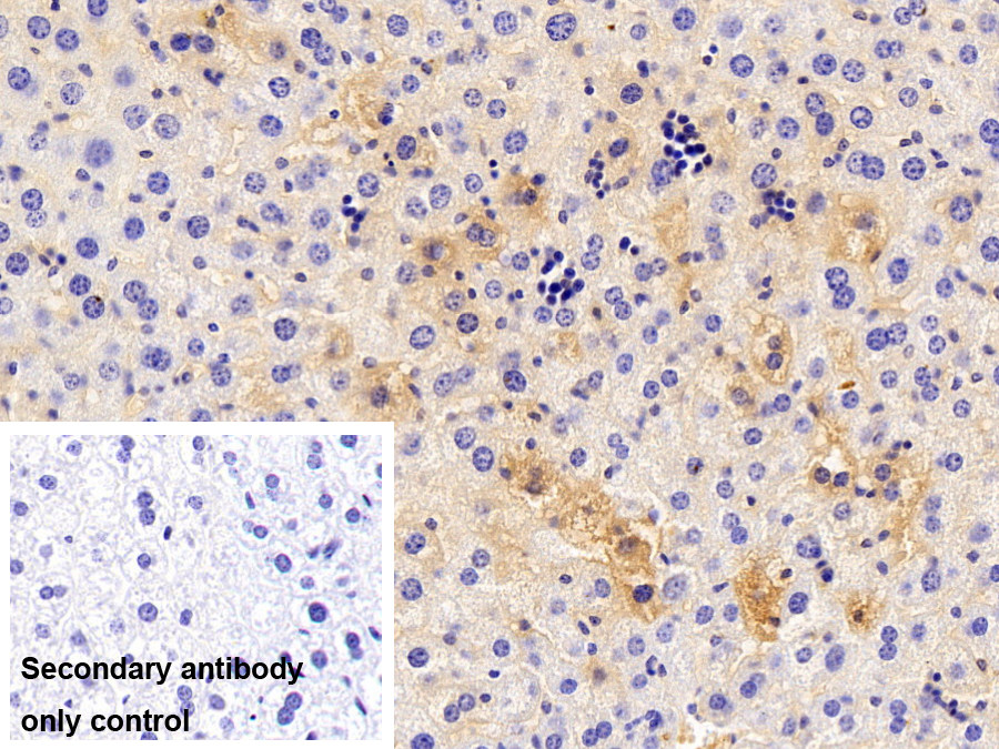
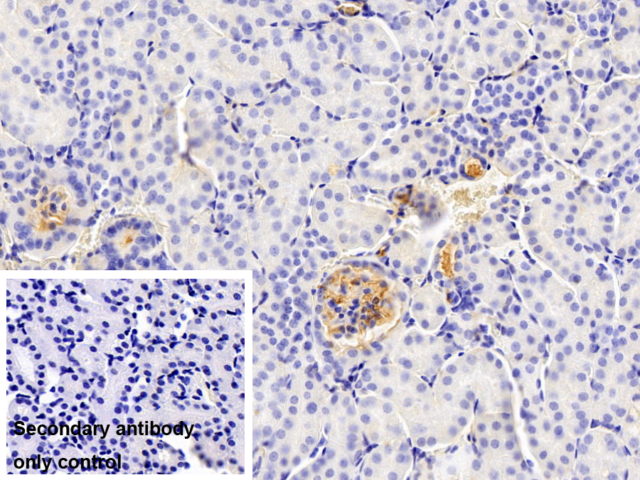
- ApplicationsIHC
If the antibody is used in flow cytometry, please check FCM antibodies. - Downloadn/a
- UOM 20µl100µl 200µl 1ml 10ml
- FOB
US$
US$
US$
US$
US$
For more details, please contact local distributors!
SPECIFITY
The antibody is a mouse monoclonal antibody raised against ALB. It has been selected for its ability to recognize ALB in immunohistochemical staining and western blotting.
USAGE
Immunohistochemistry: 5-20µg/mL;
Optimal working dilutions must be determined by end user.
STORAGE
Store at 4°C for frequent use. Stored at -20°C in a manual defrost freezer for two year without detectable loss of activity. Avoid repeated freeze-thaw cycles.
STABILITY
The thermal stability is described by the loss rate. The loss rate was determined by accelerated thermal degradation test, that is, incubate the protein at 37°C for 48h, and no obvious degradation and precipitation were observed. The loss rate is less than 5% within the expiration date under appropriate storage condition.
GIVEAWAYS
INCREMENT SERVICES
-
Antibody Labeling Customized Service
-
Protein A/G Purification Column
-
Staining Solution for Cells and Tissue
-
Positive Control for Antibody
-
Tissue/Sections Customized Service
-
Phosphorylated Antibody Customized Service
-
Western Blot (WB) Experiment Service
-
Immunohistochemistry (IHC) Experiment Service
-
Immunocytochemistry (ICC) Experiment Service
-
Flow Cytometry (FCM) Experiment Service
-
Immunoprecipitation (IP) Experiment Service
-
Immunofluorescence (IF) Experiment Service
-
Buffer
-
DAB Chromogen Kit
-
SABC Kit
-
Long-arm Biotin Labeling Kit
-
Real Time PCR Experimental Service
| Magazine | Citations |
| PLoS One | Simvastatin Reduces Endotoxin-Induced Acute Lung Injury by Decreasing Neutrophil Recruitment and Radical Formation PubMed: 22701728 |
| Liver International | Albumin administration protects against bilirubin-induced auditory brainstem dysfunction in Gunn rat pups Onlinelibrary: liv.12219 |
| Journal of Infectious Diseases | Adjunctive corticosteroid therapy improves lung immunopathology and survival during severe secondary pneumococcal pneumonia in mice Pubmed: 24273183 |
| Toxins (Basel). | Increased Circulating Levels of Vitamin D Binding Protein in MS Patients Pubmed:25590278 |
| Mol Cell Biochem | The wnt/β-catenin signaling pathway participates in rhein ameliorating kidney injury in DN mice PubMed: 26346164 |
| PLoS One | Collecting Protein Biomarkers in Breath Using Electret Filters: A Preliminary Method on New Technical Model and Human Study Pubmed:26934615 |
| Journal of Biomaterials and Tissue Engineering | 3D Printing of Differentiated Bone Marrow Mesenchymal Cells as a New Method for Liver Tissue Engineering art00007 |
| Experimental and molecular pathology | Alteration of Connexin43 expression in a rat model of obesity-related glomerulopathy. pubmed:29246788 |
| Inflammation | Resolvin D1 Promotes SIRT1 Expression to Counteract the Activation of STAT3 and NF-κB in Mice with Septic-Associated Lung Injury Pubmed:30014231 |
| Journal of Developmental Origins of Health and Disease | Maternal low-quality protein diet exerts sex-specific effects on plasma amino acid profile and alters hepatic expression of methyltransferases in adult rat offspring Pubmed:29582727 |
| Medicine | Electret filter collects more exhaled albumin than glass condenser: A method comparison based on human study Pubmed:29384875 |
| Stem Cell Research & Therapy | Therapeutic efficiency of human amniotic epithelial stem cell-derived functional hepatocyte-like cells in mice with acute hepatic failure Pubmed: 30463600 |
| JOURNAL OF BIOMEDICAL MATERIALS RESEARCH PART A | Decellularized Human Liver Scaffold‐Based Three‐dimensional Culture System Facilitate HBV Infection Pubmed: 30963688 |
| biomedicine & pharmacotherapy | Treatment with 3, 4-dihydroxyphenylethyl alcohol glycoside ameliorates sepsis-induced ALI in mice by reducing inflammation and regulating M1 polarization Pubmed: 31146107 |
| biochemical and biophysical research communications | Anti-proteinuria effect of antibody against ANGPTL3 coil-coiled domain on adriamycin-induced nephropathy in mice Pubmed: 31256934 |
| Diabetes, Metabolic Syndrome and Obesity | A small molecule inhibitor MCC950 ameliorates kidney injury in diabetic nephropathy by inhibiting NLRP3 inflammasome activation Pubmed: 31447572 |
| Molecular and Cellular Endocrinology | Diiodothyronines regulate metabolic homeostasis in primary human hepatocytes by modulating mTORC1 and mTORC2 activity Pubmed: 31580898 |
| BMC Veterinary Research | Preliminary study on the effects of enrofloxacin, flunixin meglumine and pegbovigrastim on Mycoplasma bovis pneumonia Pubmed: 31655595 |
| International Immunopharmacology | Ghrelin alleviates traumatic brain injury-induced acute lung injury through pyroptosis/NF-κB pathway Pubmed: 31918060 |
| HYPERTENSION RESEARCH | Sodium butyrate ameliorates deoxycorticosterone acetate/salt-induced hypertension and renal damage by inhibiting the MR/SGK1 pathway Pubmed: 32908237 |
| Obesity Surgery | Sleeve Gastrectomy Attenuates Diabetic Nephropathy by Upregulating Nephrin Expressions in Diabetic Obese Rats Pubmed: 32399849 |
| Protective Role of Training and Selenium Consumption Against Renal Toxicity Induced by Cadmium in Rats | |
| Nutrition | Gut Dysbiosis Contribute to High Fructose Induced Salt Sensitive Hypertension In Sprague-Dawley Rats |
| sensors and actuators b-chemical | A light-induced self-powered competitive immunosensor for the detection of platelet derived growth factor-BB via an elaborately assembled bioconjugate |
| Biochem Biophys Res Commun | cGAS promotes sepsis in radiotherapy of cancer by up-regulating caspase-11 signaling 33721834 |
| Journal of Chinese Pharmaceutical Sciences | A simple and sensitive electrochemical impedimetric immunosensor for the detection of apolipoprotein E4 based on CeZnO nanoparticle |
| Inflammation | Syringaresinol Resisted Sepsis-Induced Acute Lung Injury by Suppressing Pyroptosis Via the Oestrogen Receptor-β Signalling Pathway 34807349 |
| Nat Commun | GP73 is a TBC-domain Rab GTPase-activating protein contributing to the pathogenesis of non-alcoholic fatty liver disease without obesity 34853313 |
| ACS Appl Mater Interfaces | Emitter–Quencher Pair of Single Atomic Co Sites and Monolayer Titanium Carbide MXenes for Luminol Chemiluminescent Reactions 34914377 |
| Food & Function | Moderation of gut microbiota and bile acid metabolism by chlorogenic acid improves high-fructose-induced salt-sensitive hypertension in mice Pubmed:35708145 |
| Authorea | Syringaresinol attenuates kidney injury by inhibition of pyroptosis via activating the Nrf2 antioxidant pathway in diabetic nephropathy |
| Catalog No. | Related products for research use of Rattus norvegicus (Rat) Organism species | Applications (RESEARCH USE ONLY!) |
| NPB028Ra01 | Native Albumin (ALB) | Positive Control; Immunogen; SDS-PAGE; WB. |
| RPB028Ra01 | Recombinant Albumin (ALB) | Positive Control; Immunogen; SDS-PAGE; WB. |
| EPB028Ra61 | Eukaryotic Albumin (ALB) | Positive Control; Immunogen; SDS-PAGE; WB. |
| PAB028Ra01 | Polyclonal Antibody to Albumin (ALB) | WB; IHC |
| LAB028Ra81 | FITC-Linked Polyclonal Antibody to Albumin (ALB) | WB; IHC; ICC; IF. |
| LAB028Ra71 | Biotin-Linked Polyclonal Antibody to Albumin (ALB) | WB |
| MAB028Ra23 | Monoclonal Antibody to Albumin (ALB) | IHC |
| MAB028Ra24 | Monoclonal Antibody to Albumin (ALB) | IHC |
| MAB028Ra22 | Monoclonal Antibody to Albumin (ALB) | WB |
| MAB028Ra27 | Monoclonal Antibody to Albumin (ALB) | WB |
| MAB028Ra28 | Monoclonal Antibody to Albumin (ALB) | WB |
| MAB028Ra21 | Monoclonal Antibody to Albumin (ALB) | ICC/IF |
| CEB028Ra | ELISA Kit for Albumin (ALB) | Enzyme-linked immunosorbent assay for Antigen Detection. |
| CCB028Ra | CLIA Kit for Albumin (ALB) | Chemiluminescent immunoassay for Antigen Detection. |
| LMB028Ra | Multiplex Assay Kit for Albumin (ALB) ,etc. by FLIA (Flow Luminescence Immunoassay) | FLIA Kit for Antigen Detection. |
| KSB028Ra11 | ELISA Kit DIY Materials for Albumin (ALB) | Main materials for "Do It (ELISA Kit) Yourself". |
