Monoclonal Antibody to Microtubule Associated Protein 2 (MAP2)
MAP2A; MAP2B; MAP2C
- Product No.MAB329Hu24
- Organism SpeciesHomo sapiens (Human) Same name, Different species.
- SourceMonoclonal antibody preparation
- HostMouse
- Potency (Clone Number)C4
- Ig Isotype IgG1 Kappa
- PurificationProtein A + Protein G affinity chromatography
- LabelNone
- Immunogen RPB329Hu01-Recombinant Microtubule Associated Protein 2 (MAP2)
- Buffer Formulation0.01M PBS, pH7.4, containing 0.05% Proclin-300, 50% glycerol.
- TraitsLiquid
- Concentration1mg/ml
- Organism Species MoreRattus norvegicus (Rat)
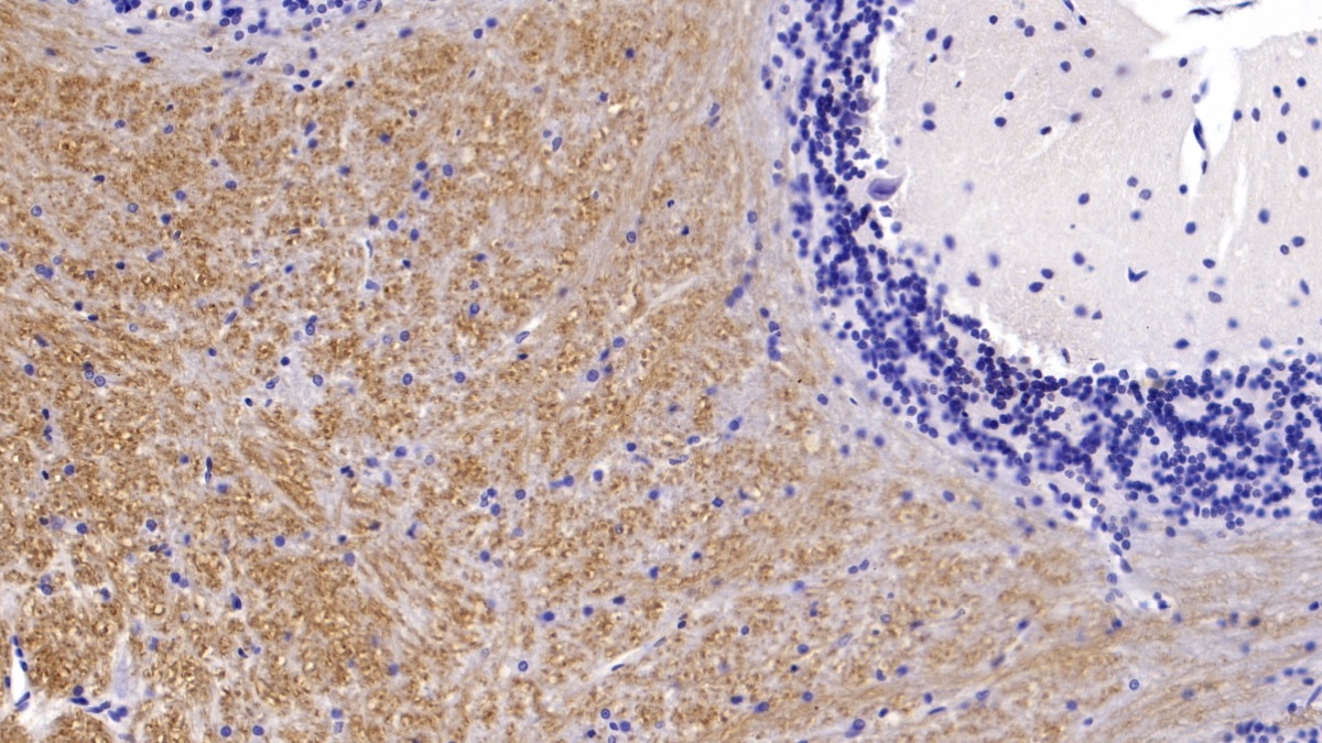
- ApplicationsIHC
 If the antibody is used in flow cytometry, please check FCM antibodies.
- DownloadInstruction Manual
- UOM 20µl100µl 200µl 1ml 10ml
- FOB
    
                                    US$ 109 
            
                
                        US$ 253 
                                        US$ 362 
                                        US$ 905 
                                        US$ 3620 
                            
 For more details, please contact local distributors!
SPECIFITY
The antibody is a mouse monoclonal antibody raised against MAP2. It has been selected for its ability to recognize MAP2 in immunohistochemical staining and western blotting.
USAGE
        Western blotting: 0.5-2µg/mL;
Immunohistochemistry: 5-20µg/mL;
Immunocytochemistry: 5-20µg/mL;
Optimal working dilutions must be determined by end user.    
STORAGE
Store at 4°C for frequent use. Stored at -20°C in a manual defrost freezer for two year without detectable loss of activity. Avoid repeated freeze-thaw cycles.
STABILITY
The thermal stability is described by the loss rate. The loss rate was determined by accelerated thermal degradation test, that is, incubate the protein at 37°C for 48h, and no obvious degradation and precipitation were observed. The loss rate is less than 5% within the expiration date under appropriate storage condition.
GIVEAWAYS
INCREMENT SERVICES
- 
                     Antibody Labeling Customized Service Antibody Labeling Customized Service
- 
                     Protein A/G Purification Column Protein A/G Purification Column
- 
                     Staining Solution for Cells and Tissue Staining Solution for Cells and Tissue
- 
                     Positive Control  for Antibody Positive Control  for Antibody
- 
                     Tissue/Sections Customized Service Tissue/Sections Customized Service
- 
                     Phosphorylated Antibody Customized Service Phosphorylated Antibody Customized Service
- 
                     Western Blot (WB) Experiment Service Western Blot (WB) Experiment Service
- 
                     Immunohistochemistry (IHC) Experiment Service Immunohistochemistry (IHC) Experiment Service
- 
                     Immunocytochemistry (ICC) Experiment Service Immunocytochemistry (ICC) Experiment Service
- 
                     Flow Cytometry (FCM) Experiment Service Flow Cytometry (FCM) Experiment Service
- 
                     Immunoprecipitation (IP) Experiment Service Immunoprecipitation (IP) Experiment Service
- 
                     Immunofluorescence (IF) Experiment Service Immunofluorescence (IF) Experiment Service
- 
                     Buffer Buffer
- 
                     DAB Chromogen Kit DAB Chromogen Kit
- 
                     SABC Kit SABC Kit
- 
                     Long-arm Biotin Labeling Kit Long-arm Biotin Labeling Kit
- 
                     Real Time PCR Experimental Service Real Time PCR Experimental Service
 
         
 
                            

 
    