Monoclonal Antibody to Orosomucoid 2 (ORM2)
AGP-B; AGP2; Alpha-1-Acid Glycoprotein Type 2
- Product No.MAB780Hu25
- Organism SpeciesHomo sapiens (Human) Same name, Different species.
- SourceMonoclonal antibody preparation
- HostMouse
- Potency (Clone Number)C14
- Ig Isotype IgG1 Kappa
- PurificationProtein A + Protein G affinity chromatography
- LabelNone
- Immunogen RPB780Hu01-Recombinant Orosomucoid 2 (ORM2)
- Buffer Formulation0.01M PBS, pH7.4, containing 0.05% Proclin-300, 50% glycerol.
- TraitsLiquid
- Concentration1mg/mL
- Organism Species MoreSus scrofa; Porcine (Pig)
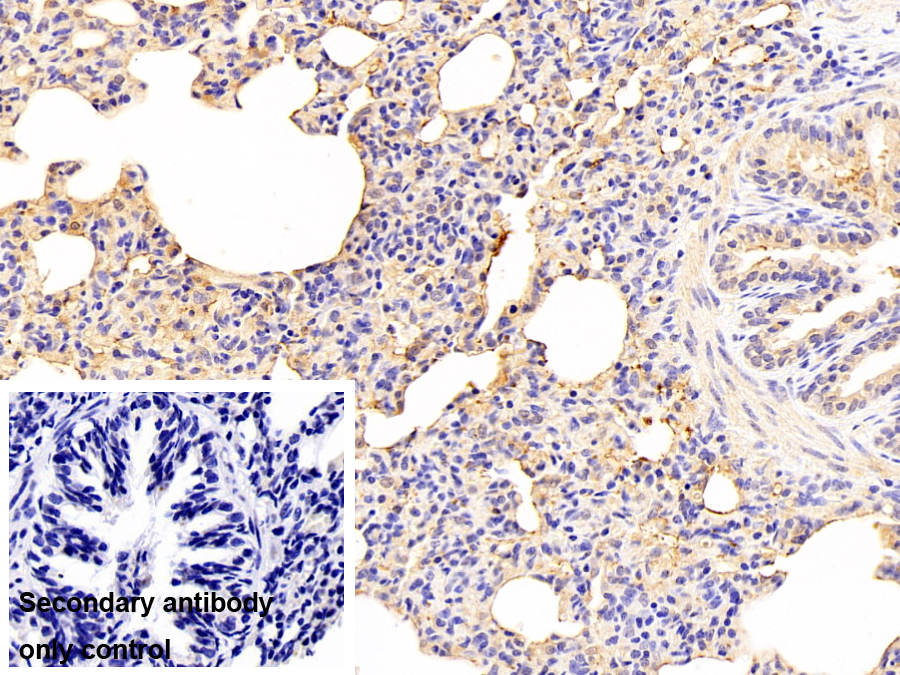
- ApplicationsWB; IHC
If the antibody is used in flow cytometry, please check FCM antibodies. - DownloadInstruction Manual
- UOM 20µl100µl 200µl 1ml 10ml
- FOB
US$
US$
US$
US$
US$
For more details, please contact local distributors!
SPECIFITY
The antibody is a mouse monoclonal antibody raised against ORM2. It has been selected for its ability to recognize ORM2 in immunohistochemical staining and western blotting.
USAGE
Western blotting: 0.01-2µg/mL;
Immunohistochemistry: 5-20µg/mL;
Optimal working dilutions must be determined by end user.
STORAGE
Store at 4°C for frequent use. Stored at -20°C in a manual defrost freezer for two year without detectable loss of activity. Avoid repeated freeze-thaw cycles.
STABILITY
The thermal stability is described by the loss rate. The loss rate was determined by accelerated thermal degradation test, that is, incubate the protein at 37°C for 48h, and no obvious degradation and precipitation were observed. The loss rate is less than 5% within the expiration date under appropriate storage condition.
GIVEAWAYS
INCREMENT SERVICES
-
Antibody Labeling Customized Service
-
Protein A/G Purification Column
-
Staining Solution for Cells and Tissue
-
Positive Control for Antibody
-
Tissue/Sections Customized Service
-
Phosphorylated Antibody Customized Service
-
Western Blot (WB) Experiment Service
-
Immunohistochemistry (IHC) Experiment Service
-
Immunocytochemistry (ICC) Experiment Service
-
Flow Cytometry (FCM) Experiment Service
-
Immunoprecipitation (IP) Experiment Service
-
Immunofluorescence (IF) Experiment Service
-
Buffer
-
DAB Chromogen Kit
-
SABC Kit
-
Long-arm Biotin Labeling Kit
-
Real Time PCR Experimental Service
| Magazine | Citations |
| Clin Exp Nephrol | Differentially expressed urinary biomarkers in children with idiopathic nephrotic syndrome PubMed: 26351173 |
| Free Patents online | RHEUMATOID ARTHRITIS RELATED BIOMARKER 20170350884 |
| Osteoarthritis and Cartilage | Orosomucoid 2 serves for predicting but not for monitoring drug response in patients with knee osteoarthritis treated with chondroitin sulfate/glucosamine … 10.1016:j.joca.2018.02.412 |
| Therapeutic Advances in Chronic Disease | Predictive modeling of therapeutic response to chondroitin sulfate/glucosamine hydrochloride in knee osteoarthritis |
| Journal of Cosmetic Dermatology | Evaluation of serum and urinary orsomucoid protein A in psoriatic patients and their relation to severity of disease 33905172 |
| Catalog No. | Related products for research use of Homo sapiens (Human) Organism species | Applications (RESEARCH USE ONLY!) |
| RPB780Hu01 | Recombinant Orosomucoid 2 (ORM2) | Positive Control; Immunogen; SDS-PAGE; WB. |
| CPB780Hu21 | OVA Conjugated Orosomucoid 2 (ORM2) | Immunogen; SDS-PAGE; WB. |
| PAB780Hu01 | Polyclonal Antibody to Orosomucoid 2 (ORM2) | WB; IHC |
| LAB780Hu81 | FITC-Linked Polyclonal Antibody to Orosomucoid 2 (ORM2) | WB; IHC; ICC; IF. |
| LAB780Hu71 | Biotin-Linked Polyclonal Antibody to Orosomucoid 2 (ORM2) | WB; IHC; ICC. |
| MAB780Hu22 | Monoclonal Antibody to Orosomucoid 2 (ORM2) | WB; IHC |
| MAB780Hu25 | Monoclonal Antibody to Orosomucoid 2 (ORM2) | WB; IHC |
| MAB780Hu28 | Monoclonal Antibody to Orosomucoid 2 (ORM2) | WB; IHC |
| MAB780Hu21 | Monoclonal Antibody to Orosomucoid 2 (ORM2) | WB |
| SEB780Hu | ELISA Kit for Orosomucoid 2 (ORM2) | Enzyme-linked immunosorbent assay for Antigen Detection. |
| LMB780Hu | Multiplex Assay Kit for Orosomucoid 2 (ORM2) ,etc. by FLIA (Flow Luminescence Immunoassay) | FLIA Kit for Antigen Detection. |

