Monoclonal Antibody to Neuregulin 4 (NRG4)
HRG4; Pro-NRG4; Pro-neuregulin-4, membrane-bound isoform
- Product No.MAC174Hu23
- Organism SpeciesHomo sapiens (Human) Same name, Different species.
- SourceMonoclonal antibody preparation
- HostMouse
- Potency (Clone Number)E2
- Ig Isotype IgG1 Kappa
- PurificationProtein A + Protein G affinity chromatography
- LabelNone
- Immunogen RPC174Hu01-Recombinant Neuregulin 4 (NRG4)
- Buffer Formulation0.01M PBS, pH7.4, containing 0.05% Proclin-300, 50% glycerol.
- TraitsLiquid
- Concentration1mg/mL
- Organism Species Moren/a
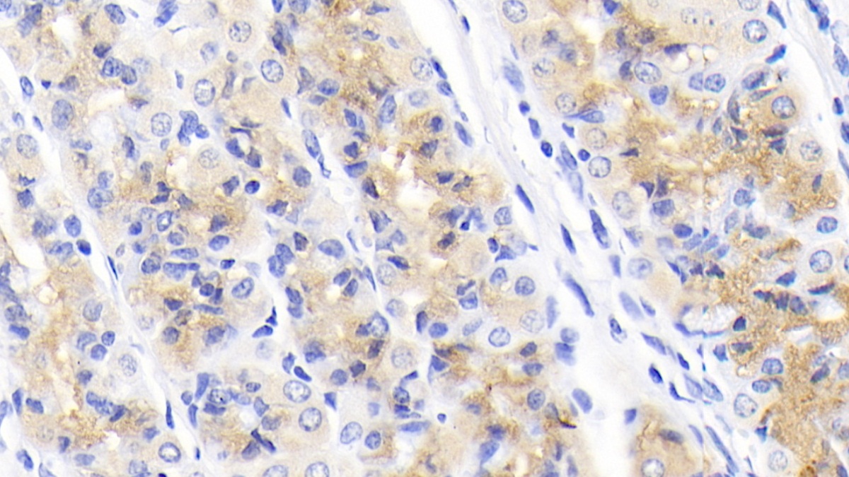
- ApplicationsIHC
If the antibody is used in flow cytometry, please check FCM antibodies. - DownloadInstruction Manual
- UOM 20µl100µl 200µl 1ml 10ml
- FOB
US$ 115
US$ 267
US$ 382
US$ 955
US$ 3820
For more details, please contact local distributors!
SPECIFITY
The antibody is a mouse monoclonal antibody raised against NRG4. It has been selected for its ability to recognize NRG4 in immunohistochemical staining and western blotting.
USAGE
Western blotting: 0.5-2µg/mL;
Immunohistochemistry: 5-20µg/mL;
Immunocytochemistry: 5-20µg/mL;
Optimal working dilutions must be determined by end user.
STORAGE
Store at 4°C for frequent use. Stored at -20°C in a manual defrost freezer for two year without detectable loss of activity. Avoid repeated freeze-thaw cycles.
STABILITY
The thermal stability is described by the loss rate. The loss rate was determined by accelerated thermal degradation test, that is, incubate the protein at 37°C for 48h, and no obvious degradation and precipitation were observed. The loss rate is less than 5% within the expiration date under appropriate storage condition.
GIVEAWAYS
INCREMENT SERVICES
-
Antibody Labeling Customized Service
-
Protein A/G Purification Column
-
Staining Solution for Cells and Tissue
-
Positive Control for Antibody
-
Tissue/Sections Customized Service
-
Phosphorylated Antibody Customized Service
-
Western Blot (WB) Experiment Service
-
Immunohistochemistry (IHC) Experiment Service
-
Immunocytochemistry (ICC) Experiment Service
-
Flow Cytometry (FCM) Experiment Service
-
Immunoprecipitation (IP) Experiment Service
-
Immunofluorescence (IF) Experiment Service
-
Buffer
-
DAB Chromogen Kit
-
SABC Kit
-
Long-arm Biotin Labeling Kit
-
Real Time PCR Experimental Service
| Magazine | Citations |
| Metabolism | A case–control study: Association between serum neuregulin 4 level and non-alcoholic fatty liver disease PubMed: 26476959 |
| Diabetes Research and Clinical Practice | Comparison of serum NeureCavia (Guinea pig )lin 4 (Nrg4) levels in adults with newly diagnosed type 2 diabetes mellitus and controls without diabetes Pubmed:27329015 |
| Scientific Reports | Short-chain fatty acids and inulin, but not guar gum, prevent diet-induced obesity and insulin resistance through differential mechanisms in mice. pubmed:28733671 |
| Catalog No. | Related products for research use of Homo sapiens (Human) Organism species | Applications (RESEARCH USE ONLY!) |
| RPC174Hu01 | Recombinant Neuregulin 4 (NRG4) | Positive Control; Immunogen; SDS-PAGE; WB. |
| PAC174Hu01 | Polyclonal Antibody to Neuregulin 4 (NRG4) | IHC |
| MAC174Hu23 | Monoclonal Antibody to Neuregulin 4 (NRG4) | IHC |
| MAC174Hu24 | Monoclonal Antibody to Neuregulin 4 (NRG4) | IHC |
| MAC174Hu22 | Monoclonal Antibody to Neuregulin 4 (NRG4) | IHC |
| MAC174Hu21 | Monoclonal Antibody to Neuregulin 4 (NRG4) | WB |
| SEC174Hu | ELISA Kit for Neuregulin 4 (NRG4) | Enzyme-linked immunosorbent assay for Antigen Detection. |
| LMC174Hu | Multiplex Assay Kit for Neuregulin 4 (NRG4) ,etc. by FLIA (Flow Luminescence Immunoassay) | FLIA Kit for Antigen Detection. |
| KSC174Hu01 | ELISA Kit DIY Materials for Neuregulin 4 (NRG4) | Main materials for "Do It (ELISA Kit) Yourself". |

