Monoclonal Antibody to Histone Deacetylase 1 (HDAC1)
HDAC1; GON10; HD1; RPD3; RPD3L1
- Product No.MAC206Hu26
- Organism SpeciesHomo sapiens (Human) Same name, Different species.
- SourceMonoclonal antibody preparation
- HostMouse
- Potency (Clone Number)E19
- Ig Isotype IgG2a Kappa
- PurificationProtein A + Protein G affinity chromatography
- LabelNone
- Immunogen RPC206Hu01-Recombinant Histone Deacetylase 1 (HDAC1)
- Buffer Formulation0.01M PBS, pH7.4, containing 0.05% Proclin-300, 50% glycerol.
- TraitsLiquid
- Concentration1mg/mL
- Organism Species MoreSus scrofa; Porcine (Pig)
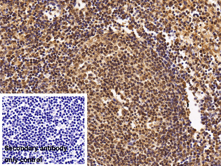
- ApplicationsWB; IHC
If the antibody is used in flow cytometry, please check FCM antibodies. - Downloadn/a
- UOM 20µl100µl 200µl 1ml 10ml
- FOB
US$ 113
US$ 263
US$ 375
US$ 938
US$ 3750
For more details, please contact local distributors!
SPECIFITY
The antibody is a mouse monoclonal antibody raised against HDAC1. It has been selected for its ability to recognize HDAC1 in immunohistochemical staining and western blotting.
USAGE
Western blotting: 0.01-2µg/mL;
Immunohistochemistry: 5-20µg/mL;
Immunocytochemistry: 5-20µg/mL;
Optimal working dilutions must be determined by end user.
STORAGE
Store at 4°C for frequent use. Stored at -20°C in a manual defrost freezer for two year without detectable loss of activity. Avoid repeated freeze-thaw cycles.
STABILITY
The thermal stability is described by the loss rate. The loss rate was determined by accelerated thermal degradation test, that is, incubate the protein at 37°C for 48h, and no obvious degradation and precipitation were observed. The loss rate is less than 5% within the expiration date under appropriate storage condition.
GIVEAWAYS
INCREMENT SERVICES
-
Antibody Labeling Customized Service
-
Protein A/G Purification Column
-
Staining Solution for Cells and Tissue
-
Positive Control for Antibody
-
Tissue/Sections Customized Service
-
Phosphorylated Antibody Customized Service
-
Western Blot (WB) Experiment Service
-
Immunohistochemistry (IHC) Experiment Service
-
Immunocytochemistry (ICC) Experiment Service
-
Flow Cytometry (FCM) Experiment Service
-
Immunoprecipitation (IP) Experiment Service
-
Immunofluorescence (IF) Experiment Service
-
Buffer
-
DAB Chromogen Kit
-
SABC Kit
-
Long-arm Biotin Labeling Kit
-
Real Time PCR Experimental Service
| Magazine | Citations |
| Journal of Integrative Medicine | Saponins isolated from roots of Chlorophytum borivilianum reduce acute and chronic inflammation and histone deacetylase Pubmed:25609369 |
| Tzu Chi Medical Journal | Effects of tetrandrine and caffeine on cell viability and expression of mammalian target of rapamycin, phosphatase and tensin homolog, histone deacetylase 1, and histone acetyltransferase in glioma cells Science: Article |
| Restor Neurol Neurosci | Uridine protects against hypoxic-ischemic brain injury by reducing histone deacetylase activity in neonatal rats PubMed: 26410212 |
| Pharmacol Biochem Behav | Lacosamide reduces HDAC levels in the brain and improves memory: Potential for treatment of Alzheimer's disease PubMed: 25931268 |
| 网页打不开 | Effects of caffeine on cell viability and activity of histone deacetylase 1 and histone acetyltransferase in glioma cells S1016319016300295 |
