Monoclonal Antibody to Crystallin Alpha B (CRYaB)
CRY-AB; CRYA-B; CRYA2; CTPP2; HSPB5; Heat shock protein beta-5; Renal carcinoma antigen NY-REN-27; Rosenthal fiber component
- Product No.MAC944Hu24
- Organism SpeciesHomo sapiens (Human) Same name, Different species.
- SourceMonoclonal antibody preparation
- HostMouse
- Potency (Clone Number)C4
- Ig Isotype IgG
- PurificationAntigen-specific affinity chromatography followed by Protein A affinity chromatography
- LabelNone
- Immunogen n/a
- Buffer FormulationPBS, pH7.4, containing 0.02% NaN3, 50% glycerol.
- TraitsLiquid
- Concentration1mg/mL
- Organism Species MoreRattus norvegicus (Rat), Sus scrofa; Porcine (Pig)
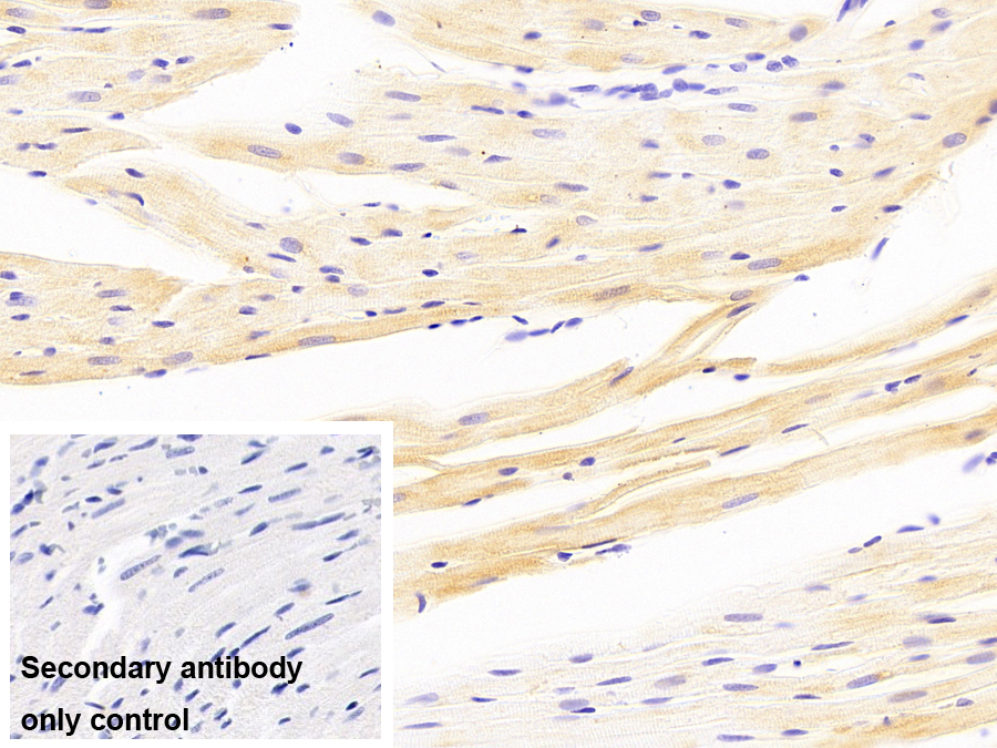
- ApplicationsWB,IHC
If the antibody is used in flow cytometry, please check FCM antibodies. - Downloadn/a
- UOM 20µl100µl 200µl 1ml 10ml
- FOB
US$
US$
US$
US$
US$
For more details, please contact local distributors!
SPECIFITY
The antibody is a mouse monoclonal antibody raised against CRYaB. It has been selected for its ability to recognize CRYaB in immunohistochemical staining and western blotting.
USAGE
Western blotting: 0.1-2µg/mL;
Immunohistochemistry: 5-20µg/mL;
Immunocytochemistry: 5-20µg/mL;
Optimal working dilutions must be determined by end user.
STORAGE
Store at 4°C for frequent use. Stored at -20°C in a manual defrost freezer for two year without detectable loss of activity. Avoid repeated freeze-thaw cycles.
STABILITY
The thermal stability is described by the loss rate. The loss rate was determined by accelerated thermal degradation test, that is, incubate the protein at 37°C for 48h, and no obvious degradation and precipitation were observed. The loss rate is less than 5% within the expiration date under appropriate storage condition.
GIVEAWAYS
INCREMENT SERVICES
-
Antibody Labeling Customized Service
-
Protein A/G Purification Column
-
Staining Solution for Cells and Tissue
-
Positive Control for Antibody
-
Tissue/Sections Customized Service
-
Phosphorylated Antibody Customized Service
-
Western Blot (WB) Experiment Service
-
Immunohistochemistry (IHC) Experiment Service
-
Immunocytochemistry (ICC) Experiment Service
-
Flow Cytometry (FCM) Experiment Service
-
Immunoprecipitation (IP) Experiment Service
-
Immunofluorescence (IF) Experiment Service
-
Buffer
-
DAB Chromogen Kit
-
SABC Kit
-
Long-arm Biotin Labeling Kit
-
Real Time PCR Experimental Service
| Catalog No. | Related products for research use of Homo sapiens (Human) Organism species | Applications (RESEARCH USE ONLY!) |
| RPC944Hu01 | Recombinant Crystallin Alpha B (CRYaB) | Positive Control; Immunogen; SDS-PAGE; WB. |
| PAC944Hu01 | Polyclonal Antibody to Crystallin Alpha B (CRYaB) | WB; IHC; ICC/IF |
| FAC944Hu01 | Anti-Crystallin Alpha B (CRYaB) Polyclonal Antibody | FCM |
| MAC944Hu22 | Monoclonal Antibody to Crystallin Alpha B (CRYaB) | WB |
| MAC944Hu21 | Monoclonal Antibody to Crystallin Alpha B (CRYaB) | WB,IHC |
| MAC944Hu23 | Monoclonal Antibody to Crystallin Alpha B (CRYaB) | WB,IHC |
| MAC944Hu24 | Monoclonal Antibody to Crystallin Alpha B (CRYaB) | WB,IHC |
| MAC944Hu25 | Monoclonal Antibody to Crystallin Alpha B (CRYaB) | WB |
| MAC944Hu26 | Monoclonal Antibody to Crystallin Alpha B (CRYaB) | WB |
| SEC944Hu | ELISA Kit for Crystallin Alpha B (CRYaB) | Enzyme-linked immunosorbent assay for Antigen Detection. |
| LMC944Hu | Multiplex Assay Kit for Crystallin Alpha B (CRYaB) ,etc. by FLIA (Flow Luminescence Immunoassay) | FLIA Kit for Antigen Detection. |
