Monoclonal Antibody to Relaxin 3 (RLN3)
ZINS4; RXN3; H3; INSL7; Insulin-like peptide 7; Prorelaxin H3
- Product No.MAD869Ra21
- Organism SpeciesRattus norvegicus (Rat) Same name, Different species.
- SourceMonoclonal antibody preparation
- HostMouse
- Potency (Clone Number)D10
- Ig Isotype IgG2b Kappa
- PurificationProtein A + Protein G affinity chromatography
- LabelNone
- Immunogen RPD869Ra01-Recombinant Relaxin 3 (RLN3)
- Buffer Formulation0.01M PBS, pH7.4, containing 0.05% Proclin-300, 50% glycerol.
- TraitsLiquid
- Concentration1mg/mL
- Organism Species MoreHomo sapiens (Human)
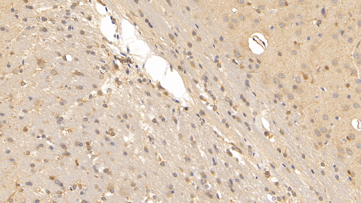
- ApplicationsWB; IHC; ICC/IF
If the antibody is used in flow cytometry, please check FCM antibodies. - DownloadInstruction Manual
- UOM 20µl100µl 200µl 1ml 10ml
- FOB
US$ 120
US$ 280
US$ 400
US$ 1000
US$ 4000
For more details, please contact local distributors!
SPECIFITY
The antibody is a mouse monoclonal antibody raised against RLN3. It has been selected for its ability to recognize RLN3 in immunohistochemical staining and western blotting.
USAGE
Western blotting: 0.01-6µg/mL;
Immunohistochemistry: 5-20µg/mL;
Immunofluorescence: 5-20µg/mL;
Optimal working dilutions must be determined by end user.
STORAGE
Store at 4°C for frequent use. Stored at -20°C in a manual defrost freezer for two year without detectable loss of activity. Avoid repeated freeze-thaw cycles.
STABILITY
The thermal stability is described by the loss rate. The loss rate was determined by accelerated thermal degradation test, that is, incubate the protein at 37°C for 48h, and no obvious degradation and precipitation were observed. The loss rate is less than 5% within the expiration date under appropriate storage condition.
GIVEAWAYS
INCREMENT SERVICES
-
Antibody Labeling Customized Service
-
Protein A/G Purification Column
-
Staining Solution for Cells and Tissue
-
Positive Control for Antibody
-
Tissue/Sections Customized Service
-
Phosphorylated Antibody Customized Service
-
Western Blot (WB) Experiment Service
-
Immunohistochemistry (IHC) Experiment Service
-
Immunocytochemistry (ICC) Experiment Service
-
Flow Cytometry (FCM) Experiment Service
-
Immunoprecipitation (IP) Experiment Service
-
Immunofluorescence (IF) Experiment Service
-
Buffer
-
DAB Chromogen Kit
-
SABC Kit
-
Long-arm Biotin Labeling Kit
-
Real Time PCR Experimental Service
| Catalog No. | Related products for research use of Rattus norvegicus (Rat) Organism species | Applications (RESEARCH USE ONLY!) |
| RPD869Ra01 | Recombinant Relaxin 3 (RLN3) | Positive Control; Immunogen; SDS-PAGE; WB. |
| PAD869Ra01 | Polyclonal Antibody to Relaxin 3 (RLN3) | IHC |
| MAD869Ra22 | Monoclonal Antibody to Relaxin 3 (RLN3) | WB |
| MAD869Ra25 | Monoclonal Antibody to Relaxin 3 (RLN3) | WB; IHC; ICC; IP. |
| MAD869Ra27 | Monoclonal Antibody to Relaxin 3 (RLN3) | WB; IHC; ICC; IP. |
| MAD869Ra29 | Monoclonal Antibody to Relaxin 3 (RLN3) | WB; IHC; ICC; IP. |
| MAD869Ra23 | Monoclonal Antibody to Relaxin 3 (RLN3) | WB; IHC |
| MAD869Ra21 | Monoclonal Antibody to Relaxin 3 (RLN3) | WB; IHC; ICC/IF |
| CED869Ra | ELISA Kit for Relaxin 3 (RLN3) | Enzyme-linked immunosorbent assay for Antigen Detection. |
| LMD869Ra | Multiplex Assay Kit for Relaxin 3 (RLN3) ,etc. by FLIA (Flow Luminescence Immunoassay) | FLIA Kit for Antigen Detection. |

