Monoclonal Antibody to Secreted Frizzled Related Protein 1 (SFRP1)
FRP1; FRP; FRP-1; FrzA; SARP2; Secreted apoptosis-related protein 2
- Product No.MAF880Hu25
- Organism SpeciesHomo sapiens (Human) Same name, Different species.
- SourceMonoclonal antibody preparation
- HostMouse
- Potency (Clone Number)C10
- Ig Isotype IgG1 Kappa
- PurificationProtein A + Protein G affinity chromatography
- LabelNone
- Immunogen RPF880Hu01-Recombinant Secreted Frizzled Related Protein 1 (SFRP1)
- Buffer Formulation0.01M PBS, pH7.4, containing 0.05% Proclin-300, 50% glycerol.
- TraitsLiquid
- Concentration1mg/mL
- Organism Species MoreMus musculus (Mouse)
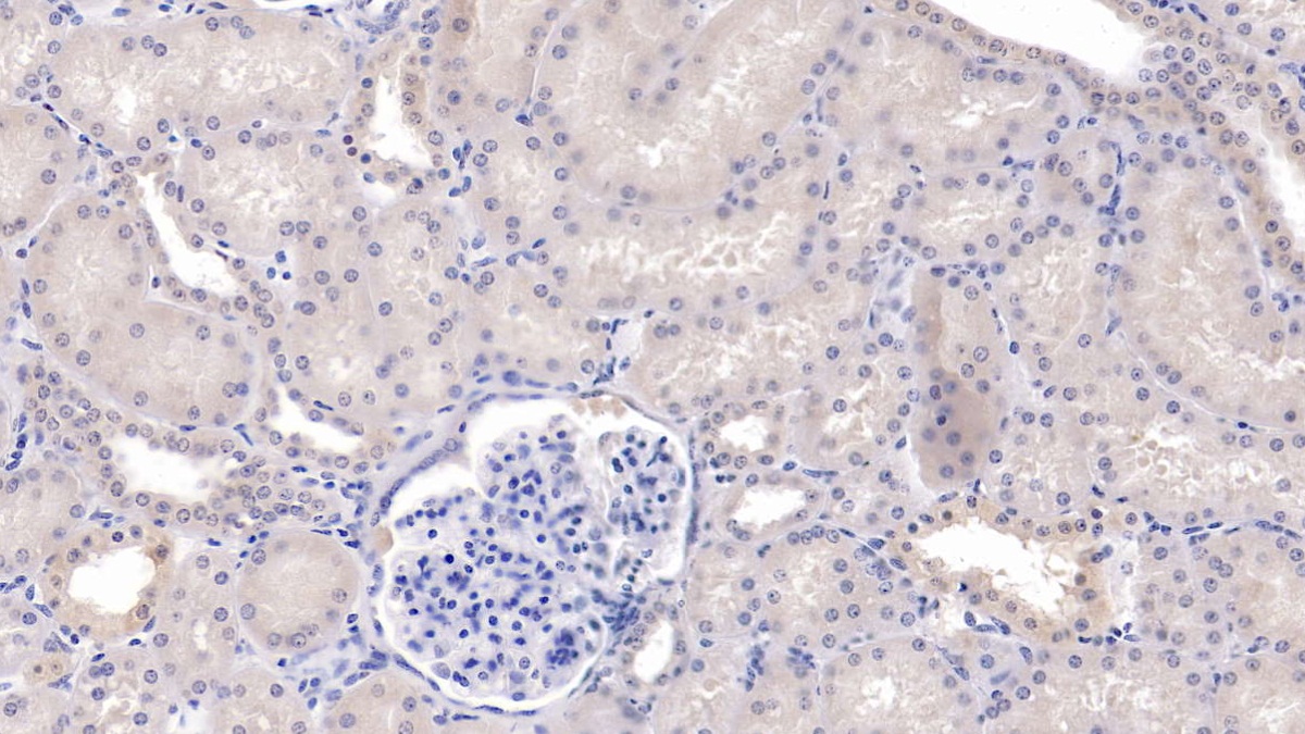
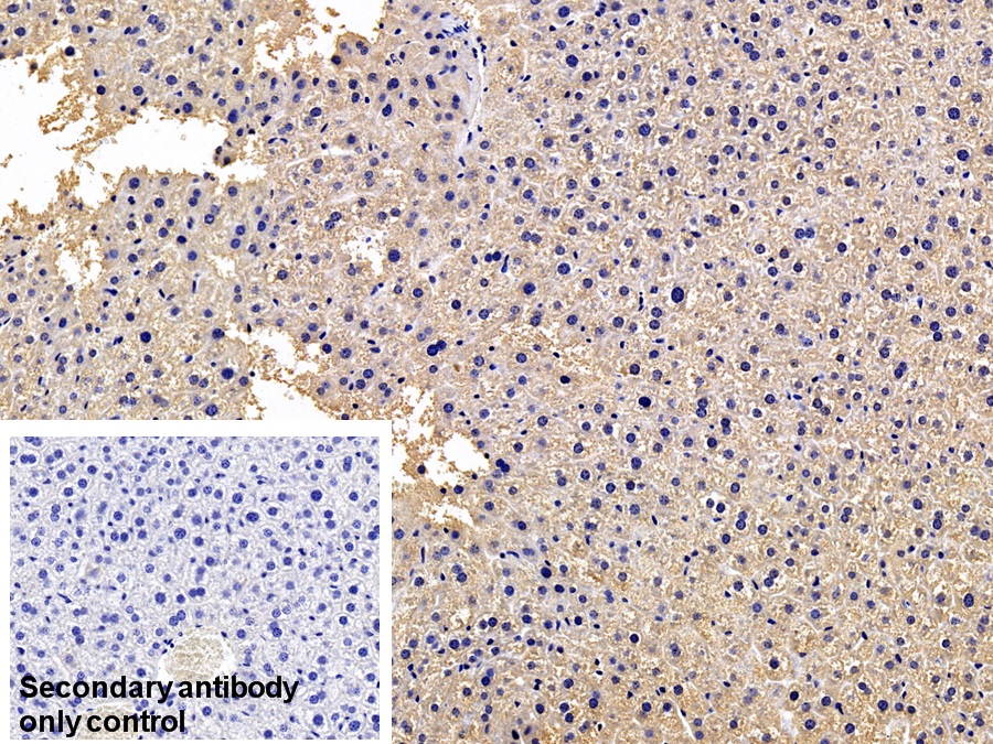
- ApplicationsIHC
If the antibody is used in flow cytometry, please check FCM antibodies. - DownloadInstruction Manual
- UOM 20µl100µl 200µl 1ml 10ml
- FOB
US$ 112
US$ 260
US$ 372
US$ 930
US$ 3720
For more details, please contact local distributors!
SPECIFITY
The antibody is a mouse monoclonal antibody raised against SFRP1. It has been selected for its ability to recognize SFRP1 in immunohistochemical staining and western blotting.
USAGE
Western blotting: 0.5-2µg/mL;
Immunohistochemistry: 5-20µg/mL;
Immunocytochemistry: 5-20µg/mL;
Optimal working dilutions must be determined by end user.
STORAGE
Store at 4°C for frequent use. Stored at -20°C in a manual defrost freezer for two year without detectable loss of activity. Avoid repeated freeze-thaw cycles.
STABILITY
The thermal stability is described by the loss rate. The loss rate was determined by accelerated thermal degradation test, that is, incubate the protein at 37°C for 48h, and no obvious degradation and precipitation were observed. The loss rate is less than 5% within the expiration date under appropriate storage condition.
GIVEAWAYS
INCREMENT SERVICES
-
Antibody Labeling Customized Service
-
Protein A/G Purification Column
-
Staining Solution for Cells and Tissue
-
Positive Control for Antibody
-
Tissue/Sections Customized Service
-
Phosphorylated Antibody Customized Service
-
Western Blot (WB) Experiment Service
-
Immunohistochemistry (IHC) Experiment Service
-
Immunocytochemistry (ICC) Experiment Service
-
Flow Cytometry (FCM) Experiment Service
-
Immunoprecipitation (IP) Experiment Service
-
Immunofluorescence (IF) Experiment Service
-
Buffer
-
DAB Chromogen Kit
-
SABC Kit
-
Long-arm Biotin Labeling Kit
-
Real Time PCR Experimental Service
| Magazine | Citations |
| BMC Musculoskeletal Disorders | Biomarkers and cytokines of bone turnover: extensive evaluation in a cohort of patients with ankylosing spondylitis PubMed: 23025387 |
| Exp Cell Res | Wnt Inhibition is Dysregulated in Gliomas and its Re-Establishment Inhibits Proliferation and Tumor Sphere Formation PubMed: 26712519 |
| BMC Musculoskeletal Disorders | Correlation of blood bone turnover biomarkers and Wnt signaling antagonists with AS, DISH,OPLL, and OYL. pubmed:28153008 |
| PloS one | Effects of exercise training on circulating levels of Dickkpof-1 and secreted frizzled-related protein-1 in breast cancer survivors: A pilot single-blind randomized controlled trial. pubmed:28178355 |
| PLoS One | Effects of exercise training on circulating levels of Dickkpof-1 and secreted frizzled-related protein-1 in breast cancer survivors: A pilot single-blind randomized controlled trial 10.1371 |
| Journal of Experimental & Clinical Cancer Research | PHF21B overexpression promotes cancer stem cell-like traits in prostate cancer cells by activating the Wnt/β-catenin signaling pathway pubmed:28645312 |
| JBMR Plus | Low serum levels of DKK2 predict incident low‐impact fracture in older women Doi: 10.1002/jbm4.10179 |
| Nature Communications | Immunological history governs human stem cell memory CD4 heterogeneity via the Wnt signaling pathway Pubmed: 32041953 |
| acta pharmacologica sinica | sFRP1 protects H9c2 cardiac myoblasts from doxorubicin-induced apoptosis by inhibiting the Wnt/PCP-JNK pathway Pubmed: 32238888 |

