Monoclonal Antibody to Ubiquitin Carboxyl Terminal Hydrolase L1 (UCHL1)
PARK5; PGP9.5; Uch-L1; Neuron cytoplasmic protein 9.5; Ubiquitin thioesterase L1; Ubiquitin carboxyl-terminal hydrolase isozyme L1
- Product No.MAG945Hu25
- Organism SpeciesHomo sapiens (Human) Same name, Different species.
- SourceMonoclonal antibody preparation
- HostMouse
- Potency (Clone Number)C3
- Ig Isotype IgG1 Kappa
- PurificationProtein A + Protein G affinity chromatography
- LabelNone
- Immunogen RPG945Hu01-Recombinant Ubiquitin Carboxyl Terminal Hydrolase L1 (UCHL1)
- Buffer Formulation0.01M PBS, pH7.4, containing 0.05% Proclin-300, 50% glycerol.
- TraitsLiquid
- Concentration1mg/mL
- Organism Species MoreRattus norvegicus (Rat), Sus scrofa; Porcine (Pig)
- ApplicationsWB; IHC; ICC/IF
If the antibody is used in flow cytometry, please check FCM antibodies. - Downloadn/a
- UOM 20µl100µl 200µl 1ml 10ml
- FOB
US$
US$
US$
US$
US$
For more details, please contact local distributors!
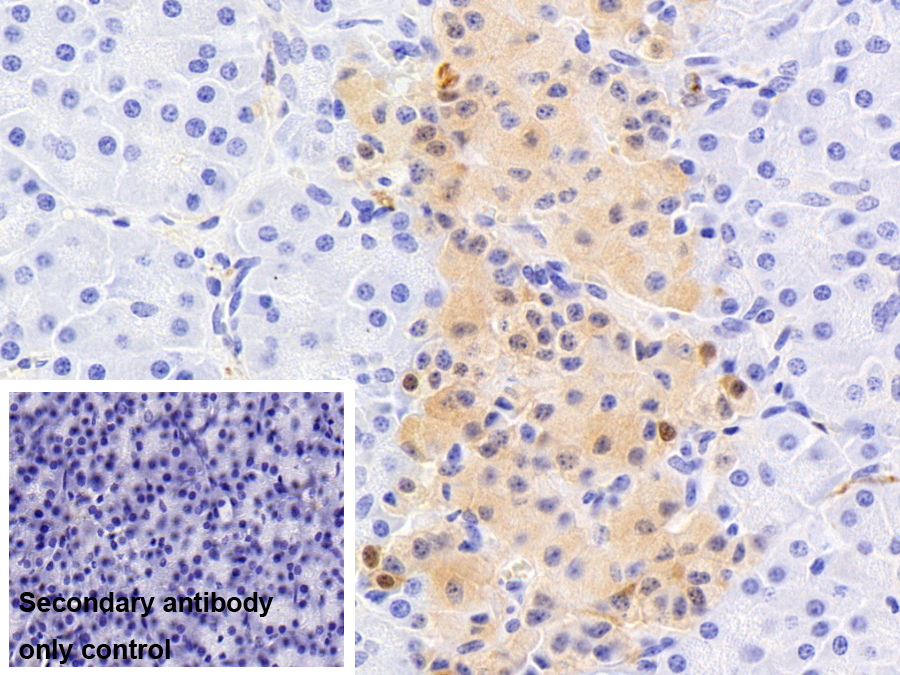
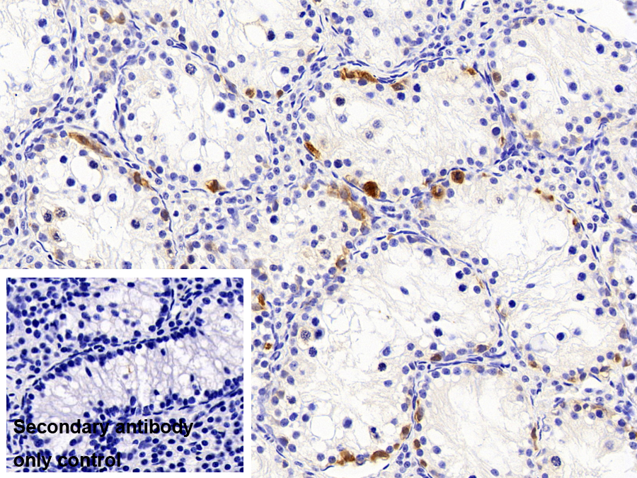
SPECIFITY
The antibody is a mouse monoclonal antibody raised against UCHL1. It has been selected for its ability to recognize UCHL1 in immunohistochemical staining and western blotting.
USAGE
Western blotting: 0.01-2µg/mL;
Immunohistochemistry: 5-20µg/mL;
Immunofluorescence: 5-20µg/mL;
Optimal working dilutions must be determined by end user.
STORAGE
Store at 4°C for frequent use. Stored at -20°C in a manual defrost freezer for two year without detectable loss of activity. Avoid repeated freeze-thaw cycles.
STABILITY
The thermal stability is described by the loss rate. The loss rate was determined by accelerated thermal degradation test, that is, incubate the protein at 37°C for 48h, and no obvious degradation and precipitation were observed. The loss rate is less than 5% within the expiration date under appropriate storage condition.
GIVEAWAYS
INCREMENT SERVICES
-
Antibody Labeling Customized Service
-
Protein A/G Purification Column
-
Staining Solution for Cells and Tissue
-
Positive Control for Antibody
-
Tissue/Sections Customized Service
-
Phosphorylated Antibody Customized Service
-
Western Blot (WB) Experiment Service
-
Immunohistochemistry (IHC) Experiment Service
-
Immunocytochemistry (ICC) Experiment Service
-
Flow Cytometry (FCM) Experiment Service
-
Immunoprecipitation (IP) Experiment Service
-
Immunofluorescence (IF) Experiment Service
-
Buffer
-
DAB Chromogen Kit
-
SABC Kit
-
Long-arm Biotin Labeling Kit
-
Real Time PCR Experimental Service
| Magazine | Citations |
| J Neurol Sci | Changes of ubiquitin C-terminal hydrolase-L1 levels in serum and urine of patients with white matter lesions PubMed: 26232084 |
| Journal of the Neurological Sciences | Increased plasma UCH-L1 after aneurysmal subarachnoid hemorrhage is associated with unfavorable neurological outcome Pubmed:26810533 |
| Ulutas Medical Journal | Serum Carnosine Dipeptidase 1 and Ubiquitin C - Terminal Hydrolase L1 as Markers of Brain Damage in Patients after Carotid Endarterectomy mnstemps:135 |
| Scientific Reports | Activation of hepatic stellate cells by the ubiquitin C-terminal hydrolase 1 protein secreted from hepatitis C virus-infected hepatocytes pubmed:28667290 |
| Intensive Care Medicine | Relationships between markers of neurologic and endothelial injury during critical illness and long-term cognitive impairment and disability Pubmed:29523900 |
| Earth and Environmental Science | Serum concentration of ubiquitin c-terminal hydrolase-L1 in detecting severity of traumatic brain injury article:10.1088 |
| Peripheral blood biomarkers in aneurysmal subarachnoid hemorrhage ISBN:978-952-03-0750-9 | |
| Journal of Critical Care | Association of neuronal repair biomarkers with delirium among survivors of critical illness Pubmed: 31896448 |
| Brain Sciences | BDNF and IL-8, But Not UCHL-1 and IL-11, Are Markers of Brain Injury in Children Caused by Mild Head Trauma Pubmed: 32987792 |
