Monoclonal Antibody to Follistatin Like Protein 1 (FSTL1)
FRP; FSL1; Follistatin-related protein 1
- Product No.MAJ085Hu23
- Organism SpeciesHomo sapiens (Human) Same name, Different species.
- SourceMonoclonal antibody preparation
- HostMouse
- Potency (Clone Number)D4
- Ig Isotype IgG1 Kappa
- PurificationProtein A + Protein G affinity chromatography
- LabelNone
- Immunogen RPJ085Hu01-Recombinant Follistatin Like Protein 1 (FSTL1)
- Buffer Formulation0.01M PBS, pH7.4, containing 0.05% Proclin-300, 50% glycerol.
- TraitsLiquid
- Concentration1mg/mL
- Organism Species Moren/a
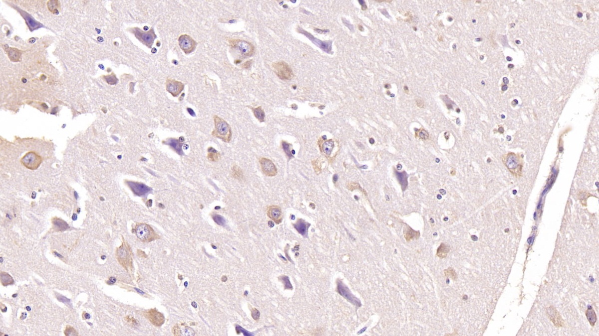
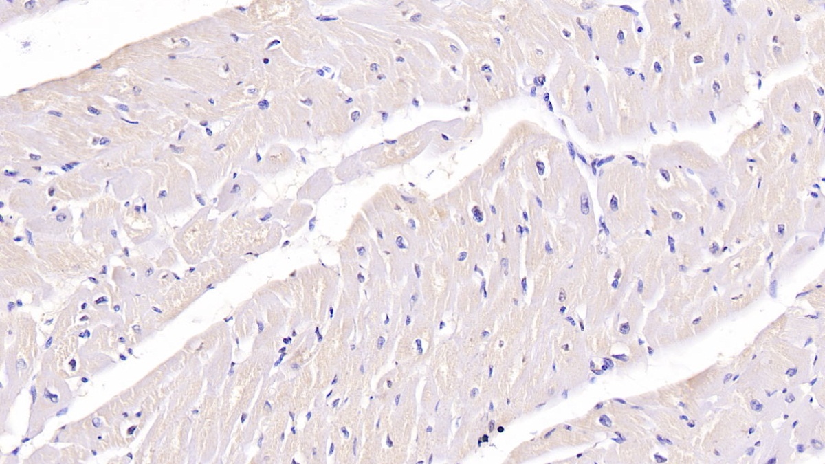
- ApplicationsIHC
If the antibody is used in flow cytometry, please check FCM antibodies. - DownloadInstruction Manual
- UOM 20µl100µl 200µl 1ml 10ml
- FOB
US$ 115
US$ 267
US$ 382
US$ 955
US$ 3820
For more details, please contact local distributors!
SPECIFITY
The antibody is a mouse monoclonal antibody raised against FSTL1. It has been selected for its ability to recognize FSTL1 in immunohistochemical staining and western blotting.
USAGE
Western blotting: 0.5-2µg/mL;
Immunohistochemistry: 5-20µg/mL;
Immunocytochemistry: 5-20µg/mL;
Optimal working dilutions must be determined by end user.
STORAGE
Store at 4°C for frequent use. Stored at -20°C in a manual defrost freezer for two year without detectable loss of activity. Avoid repeated freeze-thaw cycles.
STABILITY
The thermal stability is described by the loss rate. The loss rate was determined by accelerated thermal degradation test, that is, incubate the protein at 37°C for 48h, and no obvious degradation and precipitation were observed. The loss rate is less than 5% within the expiration date under appropriate storage condition.
GIVEAWAYS
INCREMENT SERVICES
-
Antibody Labeling Customized Service
-
Protein A/G Purification Column
-
Staining Solution for Cells and Tissue
-
Positive Control for Antibody
-
Tissue/Sections Customized Service
-
Phosphorylated Antibody Customized Service
-
Western Blot (WB) Experiment Service
-
Immunohistochemistry (IHC) Experiment Service
-
Immunocytochemistry (ICC) Experiment Service
-
Flow Cytometry (FCM) Experiment Service
-
Immunoprecipitation (IP) Experiment Service
-
Immunofluorescence (IF) Experiment Service
-
Buffer
-
DAB Chromogen Kit
-
SABC Kit
-
Long-arm Biotin Labeling Kit
-
Real Time PCR Experimental Service
| Magazine | Citations |
| The Journal of Rheumatology | Serum S100A8/A9, but not follistatin-like protein 1 and interleukin 18, may be a useful biomarker of disease activity in adult-onset Still's disease. PubMed: 22660800 |
| Archives of Physiology and Biochemistry | Regulation of follistatin-like protein 1 expression and secretion in primary human skeletal muscle cells Pubmed: 23419164 |
| Journal of Proteomics | Identification of colonic fibroblast secretomes reveals secretory factors regulating colon cancer cell proliferation Pubmed:25118038 |
| PLOS ONE | Growth Differentiation Factor-15 (GDF-15) Levels Are Associated with Cardiac and Renal Injury in Patients Undergoing Coronary Artery Bypass Grafting with Cardiopulmonary Bypass Pubmed:25171167 |
| J Mol Med (Berl) | Growth hormone replacement therapy regulates microRNA-29a and targets involved in insulin resistance PubMed: 26199111 |
| PLoS One. | Association of Circulating Follistatin-Like 1 Levels with Inflammatory and Oxidative Stress Markers in Healthy Men pmc:PMC4856269 |
| JACC: Basic to Translational Science | Follistatin like 1 Regulates Hypertrophy in Heart Failure with Preserved Ejection Fraction. pubmed:27430031 |
| Sci Rep | Follistatin like-1 aggravates silica-induced mouse lung injury PMC5428474 |
| International Journal of Clinical and Experimental Pathology | Plasma follistatin-like protein 1 is correlated with disease severity in patients with acute pulmonary embolism and predicts short-term mortality ISSN:1936-2625 |
| Endocrine Journal | High circulating follistatin-like protein 1 as a biomarker of a metabolically unhealthy state Pubmed: 30745500 |
| PLoS One | Associations among circulating levels of follistatin-like 1, clinical parameters, and cardiovascular events in patients undergoing elective percutaneous … Pubmed: 31034503 |
| British Journal of Cancer | Improved early detection of ovarian cancer using longitudinal multimarker models Pubmed: 31937926 |
| Cell Communication and Signaling | Targeting Follistatin like 1 ameliorates liver fibrosis induced by carbon tetrachloride through TGF-β1-miR29a in mice Pubmed: 32933544 |
| ARCHIVES OF PHYSIOLOGY AND BIOCHEMISTRY | Effects of acute endurance exercise on follistatin-like 1 and apelin in the circulation and metabolic organs in rats Pubmed: 32412800 |
| J Cardiol | Prognostic impact of transcardiac gradient of follistatin-like 1 reflecting hemodynamics in patients with dilated cardiomyopathy 34334268 |
| Int Heart J | Association between Plasma Follistatin-like Protein 1 Levels and the Presence and Severity of Coronary Artery Disease 34853217 |

