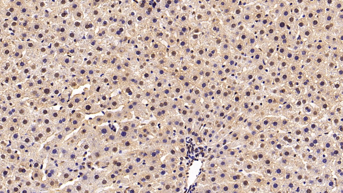
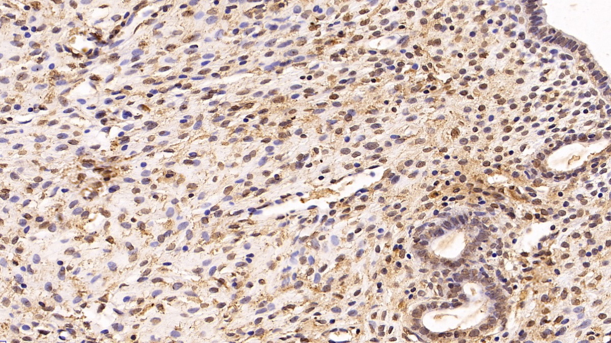
Monoclonal Antibody to Von Hippel Lindau Tumor Suppressor (vHL)
HRCA1; RCA1; VHL1; Von Hippel-Lindau Syndrome
- Product No.MAJ769Ra21
- Organism SpeciesRattus norvegicus (Rat) Same name, Different species.
- SourceMonoclonal antibody preparation
- HostMouse
- Potency (Clone Number)C1
- Ig Isotype IgG1Kappa
- PurificationProtein A + Protein G affinity chromatography
- LabelNone
- Immunogen n/a
- Buffer FormulationPBS, pH7.4, containing 0.01% SKL, 1mM DTT, 5% Trehalose and Proclin300.
- TraitsLiquid
- Concentration1mg/mL
- Organism Species Moren/a
- ApplicationsIHC
If the antibody is used in flow cytometry, please check FCM antibodies. - Downloadn/a
- UOM 20µl100µl 200µl 1ml 10ml
- FOB
US$ 120
US$ 280
US$ 400
US$ 1000
US$ 4000
For more details, please contact local distributors!
SPECIFITY
The antibody is a mouse monoclonal antibody raised against vHL. It has been selected for its ability to recognize vHL in immunohistochemical staining and western blotting.
USAGE
Western blotting: 0.2-2µg/mL;1:500-5000
Immunohistochemistry: 5-20µg/mL;1:50-200
Immunocytochemistry: 5-20µg/mL;1:50-200
Optimal working dilutions must be determined by end user.
STORAGE
Store at 4°C for frequent use. Stored at -20°C in a manual defrost freezer for two year without detectable loss of activity. Avoid repeated freeze-thaw cycles.
STABILITY
The thermal stability is described by the loss rate. The loss rate was determined by accelerated thermal degradation test, that is, incubate the protein at 37°C for 48h, and no obvious degradation and precipitation were observed. The loss rate is less than 5% within the expiration date under appropriate storage condition.
GIVEAWAYS
INCREMENT SERVICES
-
Antibody Labeling Customized Service
-
Protein A/G Purification Column
-
Staining Solution for Cells and Tissue
-
Positive Control for Antibody
-
Tissue/Sections Customized Service
-
Phosphorylated Antibody Customized Service
-
Western Blot (WB) Experiment Service
-
Immunohistochemistry (IHC) Experiment Service
-
Immunocytochemistry (ICC) Experiment Service
-
Flow Cytometry (FCM) Experiment Service
-
Immunoprecipitation (IP) Experiment Service
-
Immunofluorescence (IF) Experiment Service
-
Buffer
-
DAB Chromogen Kit
-
SABC Kit
-
Long-arm Biotin Labeling Kit
-
Real Time PCR Experimental Service
| Catalog No. | Related products for research use of Rattus norvegicus (Rat) Organism species | Applications (RESEARCH USE ONLY!) |
| RPJ769Ra01 | Recombinant Von Hippel Lindau Tumor Suppressor (vHL) | Positive Control; Immunogen; SDS-PAGE; WB. |
| PAJ769Ra01 | Polyclonal Antibody to Von Hippel Lindau Tumor Suppressor (vHL) | WB; IHC |
| MAJ769Ra22 | Monoclonal Antibody to Von Hippel Lindau Tumor Suppressor (vHL) | IHC |
| MAJ769Ra21 | Monoclonal Antibody to Von Hippel Lindau Tumor Suppressor (vHL) | IHC |
| SEJ769Ra | ELISA Kit for Von Hippel Lindau Tumor Suppressor (vHL) | Enzyme-linked immunosorbent assay for Antigen Detection. |
| LMJ769Ra | Multiplex Assay Kit for Von Hippel Lindau Tumor Suppressor (vHL) ,etc. by FLIA (Flow Luminescence Immunoassay) | FLIA Kit for Antigen Detection. |
