Polyclonal Antibody to Insulin Like Growth Factor 1 (IGF1)
IGFI; IGF1A; IBP1; MGF; Somatomedin C; Mechano Growth Gactor
- Product No.PAA050Bo01
- Organism SpeciesBos taurus; Bovine (Cattle) Same name, Different species.
- SourcePolyclonal antibody preparation
- HostRabbit
- Potencyn/a
- Ig Type IgG
- PurificationAntigen-specific affinity chromatography followed by Protein A affinity chromatography
- LabelNone
- Immunogen RPA050Bo01-Recombinant Insulin Like Growth Factor 1 (IGF1)
- Buffer Formulation0.01M PBS, pH7.4, containing 0.05% Proclin-300, 50% glycerol.
- TraitsLiquid
- Concentration0.25mg/mL
- Organism Species MoreSus scrofa; Porcine (Pig)
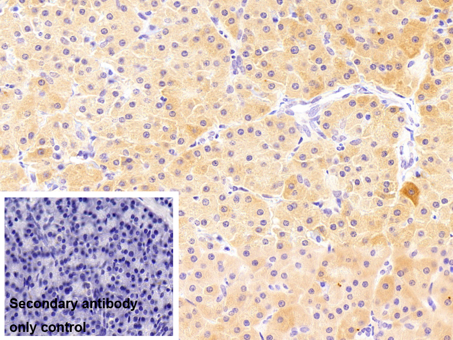
- ApplicationsWB,IHC
If the antibody is used in flow cytometry, please check FCM antibodies. - DownloadInstruction Manual
- UOM 20µl100µl 200µl 1ml 10ml
- FOB
US$ 113
US$ 265
US$ 378
US$ 945
US$ 3780
For more details, please contact local distributors!
SPECIFITY
The antibody is a rabbit polyclonal antibody raised against IGF1. It has been selected for its ability to recognize IGF1 in immunohistochemical staining and western blotting.
USAGE
Western blotting: 0.01-2µg/mL;
Immunohistochemistry: 5-20µg/mL;
Immunocytochemistry: 5-20µg/mL;
Optimal working dilutions must be determined by end user.
STORAGE
Store at 4°C for frequent use. Stored at -20°C in a manual defrost freezer for two year without detectable loss of activity. Avoid repeated freeze-thaw cycles.
STABILITY
The thermal stability is described by the loss rate. The loss rate was determined by accelerated thermal degradation test, that is, incubate the protein at 37°C for 48h, and no obvious degradation and precipitation were observed. The loss rate is less than 5% within the expiration date under appropriate storage condition.
GIVEAWAYS
INCREMENT SERVICES
-
Antibody Labeling Customized Service
-
Protein A/G Purification Column
-
Staining Solution for Cells and Tissue
-
Positive Control for Antibody
-
Tissue/Sections Customized Service
-
Phosphorylated Antibody Customized Service
-
Western Blot (WB) Experiment Service
-
Immunohistochemistry (IHC) Experiment Service
-
Immunocytochemistry (ICC) Experiment Service
-
Flow Cytometry (FCM) Experiment Service
-
Immunoprecipitation (IP) Experiment Service
-
Immunofluorescence (IF) Experiment Service
-
Buffer
-
DAB Chromogen Kit
-
SABC Kit
-
Long-arm Biotin Labeling Kit
-
Real Time PCR Experimental Service
| Magazine | Citations |
| Cellular & Molecular Biology Letters | A microarray gene analysis of peripheral whole blood in normal adult male rats after long-term GH gene therapy PubMed: 20119855 |
| Molecular Biology Reports | Characterization of the specific and sustained GH1 expression induced by rAAV2/1 in normal adult male rats PubMed: 20204528 |
| Regulatory Peptides | The vagus nerve as a regulator of growth hormone secretion PubMed: 21056594 |
| Vascular Cell | Insulin-Like Growth Factor-1 (IGF-1) Reduces Ischemic Changes and Increases Circulating Angiogenic Factors in Experimentally - Induced Myocardial Infarction in Rats PubMed: 21651821 |
| 27 | Physical activity attenuates intermittent hypoxia-induced spatial learning deficits and oxidative stress. PubMed: 20224062 |
| Journal of Pediatric Surgery | The influence of nutrients, biliary-pancreatic secretions, and systemic trophic hormones on intestinal adaptation in a Roux-en-Y bypass model PubMed: 20438940 |
| The Veterinary Journal | Serum insulin-like growth factor type 1 concentrations in healthy dogs and dogs with spontaneous primary hypothyroidism PubMed: 21546289 |
| Developmental Biology | Effects of monochromatic light on developmental changes in satellite cell population of pectoral muscle in broilers during early posthatch period Wiley: source |
| Journal of Neuroendocrinology | Interleukin-6 Regulates the Expression of Hypothalamic Neuropeptides Involved in Body Weight in a Gender-Dependent Way Wiley: source |
| International Journal of Molecular Sciences | Insulin Like Growth Factor-1 (IGF-1) Causes Overproduction of IL-8, an Angiogenic Cytokine and Stimulates Neovascularization in Isoproterenol-Induced Myocardial Infarction in Rats Mdpi: 8562 |
| Pharmacology | Protective Effect of Amlodipine on Rat Bone Tissue after Orchidectomy Karger: 335491 |
| Bulletin of the Veterinary Institute in Pulawy | Maternal Glucocorticoid Treatment as a Model for Examining Foetal Gender-Specific Effects on the Bone Metabolism of Neonatal Piglets Degruyter: Source |
| BMC cell biology | BMSCs reduce rat granulosa cell apoptosis induced by cisplatin and perimenopause PubMed: PMC3640998 |
| Journal of Veterinary Science | Evaluation of IGF-I levels and serum protein profiles of diabetic cats and dogs PubMed: PMC3232391 |
| PLoS ONE | A Combinatorial Relative Mass Value Evaluation of Endogenous Bioactive Proteins in Three-Dimensional Cultured Nucleus Pulposus Cells of Herniated Intervertebral Discs: Identification of Potential Target Proteins for Gene Therapeutic Approaches Plosone: Source |
| Pesquisa Veterinária Brasileira | Porcine follicular fluid concentration of free insulin-like growth factor-I collected from different diameter ovarian follicles Scielo: Source |
| international Journal of food and nutritional sciences | EVALUATION OF PHYSICO-CHEMICAL PROPERTIES OF COLOSTRUM SUPPLEMENTED DAHI Ijfans: Source |
| Theriogenology | Role of insulin-like growth factor-I and follicular fluid from ovarian follicles with different diameters on porcine oocyte maturation and fertilization in vitro ScienceDirect: S0093691X13001659 |
| Biosensors and Bioelectronics | Electrochemical immunosensor for the determination of insulin-like growth factor-1 using electrodes modified with carbon nanotubes–poly(pyrrole propionic acid) hybrids ScienceDirect: S0956566313005629 |
| Electromagnetic Biology and Medicine | The effects of long-term exposure to a 2450 MHz electromagnetic field on growth and pubertal development in female Wistar rats Informahealthcare: Source |
| Nutrition and Cancer | A Pilot Study Comparing the Effect of Flaxseed, Aromatase Inhibitor, and the Combination on Breast Tumor Biomarkers Tandfonline: Source |
| Bases de Dados da Pesquisa Agropecuária | CONCENTRACOES SéRICAS DE INSULINA NO PóS-PARTO RECENTE DE VACAS DE CORTE DE DIFERENTES GENóTIPOS CRIADAS NO SUL DO BRASIL Embrapa: Source |
| International Journal of Endocrinology | Negative Energy Balance Induced by Paradoxical Sleep Deprivation Causes Multicompartmental Changes in Adipose Tissue and Skeletal Muscle Cepebr:Source |
| J Neurol Sci. | The effect of topiramate and lamotrigine on rat bone mass, structure and metabolism. Pubmed:24629477 |
| Reproductive Sciences | Effects of Resveratrol on Ovarian Morphology, Plasma Anti-Mullerian Hormone, IGF-1 Levels, and Oxidative Stress Parameters in a Rat Model of Polycystic Ovary Syndrome Pubmed:25667201 |
| Int J Clin Exp Med | Effects of sericin on the testicular growth hormone/insulin-like growth factor-1 axis in a rat model of type 2 diabetes PubMed: 26379831 |
| Int J Clin Exp Med. | The effects of self-assembling peptide RADA16 hydrogel on malignant phenotype of human hepatocellular carcinoma cell PubMed: 26628972 |
| Animal and Biomedical Sciences | The use of herb mix and lucerne to increase growth rates of dairy heifers System: Files |
| Neonatal Biology | Maternal Nutrition with Β-Hydroxy-Β-Methylbutyrate as Strong Determinants of the Development of Newborn Offspring in Pigs Journals: 1000183 |
| Dig Dis Sci | The Protective Effects of Exclusive Enteral Nutrition Formulas on Growth Factor Expression and the Proximal Tibial Epiphyseal Growth Plate in a TNBS-Induced IBD Rat Model PubMed: 25708898 |
| Tumor Biology | Hypoxia-induced secretion of IL-12 from adipose-derived mesenchymal stem cell promotes growth and cancer stem cell properties of Burkitt lymphoma PubMed: 26695151 |
| Forage Res | RELATIONSHIP OF RESIDUAL FEED INTAKE WITH BLOOD METABOLITES AND HORMONES IN SAHIWAL FEMALE CALVES Wp-Content: Uploads |
| S | Caracteriza Teses: Disponiveis |
| Photochemistry AND Photobiology | Melatonin Mediates Monochromatic Light‐induced Insulin‐like Growth Factor 1 Secretion of Chick Liver: Involvement of Membrane Receptors Pubmed:27128575 |
| Pediatric Pulmonology | Protective effect of vitamin D against hyperoxia‐induced lung injury in newborn rats Pubmed:27291304 |
| Hippocampus | A single bout of resistance exercise improves memory consolidation and increases the expression of synaptic proteins in the hippocampus Pubmed:27008926 |
| Neurotoxicity Research | Cigarette Smoke Delays Regeneration of the Olfactory Epithelium in Mice Pubmed:27003941 |
| ANNALS OF ANIMAL SCIENCE | Comparison of the effect of a standard inclusion level of inorganic zinc to organic form at lowered level on bone development in growing male Ross broiler chickens journalprintahead:87 |
| Annals of Animal Science | Comparison of the Effect of a Standard Inclusion Level of Inorganic Zinc to Organic Form at Lowered Level on Bone Development in Growing Male Ross Broiler Chickens view:87 |
| African Health Sciences | Effects of acute exercise on salivary free insulin-like growth factor 1 and interleukin 10 in sportsmen. pubmed:27605972 |
| PLoS One. | Paradoxical Sleep Deprivation Causes Cardiac Dysfunction and the Impairment Is Attenuated by Resistance Training. pubmed:27880816 |
| international journal of molecular sciences | Expression of Iron-Related Proteins Differentiate Non-Cancerous and Cancerous Breast Tumors. pubmed:28216608 |
| Biochemistry and Cell Biology | Chronic intermittent hypoxia disturbs insulin secretion and causes pancreatic injury via theMAPK signaling pathway. pubmed:28177762 |
| Neurochemical Research | Resistance Exercise Reduces Seizure Occurrence, Attenuates Memory Deficits and Restores BDNF Signaling in Rats with Chronic Epilepsy article:10.1007 |
| Journal of Agricultural Biotechnology | GH蛋白诱导鸡原代成肌细胞表达IGF1条件优化 10697 |
| Trop Anim Health Prod | Assessment of feeding varying levels of Metabolizable energy and protein on performance of transition Murrah buffaloes pubmed:28785907 |
| Molecular Medicine Reports | Mesenchymal stem cells promote endothelial progenitor cell proliferation by secreting insulin‑like growth factor‑1 pubmed:28627605 |
| Neurochem Res | Resistance Exercise Reduces Seizure Occurrence, Attenuates Memory Deficits and Restores BDNF Signaling in Rats with Chronic Epilepsy pubmed:28078614 |
| Biological Trace Element Research | Effect of Dietary Phytase Supplementation on Bone and Hyaline Cartilage Development of Broilers Fed with Organically Complexed Copper in a Cu-Deficient Diet article:10.1007 |
| Revista Brasileira de Ciência Avícola | Effect of Zinc Level and Source (Zinc Oxide Vs. Zinc Glycine) on Bone Mechanical and Geometric Parameters, and Histomorphology in Male Ross 308 Broiler Chicken 10.159:1806-9061-2016-0285 |
| International Journal of Chemical Studies | Studies on quality attributes of skimmed colostrum powder P-ISSN: 2349–8528 |
| Stem Cell Research & Therapy | Effects of low-intensity pulsed ultrasound (LIPUS)-pretreated human amnion-derived mesenchymal stem cell (hAD-MSC) transplantation on primary ovarian insufficiency in rats 10.1186/s13287-017-0739-3 |
| PLOS one | A metabolite of leucine (β-hydroxy-β-methylbutyrate) given to sows during pregnancy alters bone development of their newborn offspring by hormonal modulation 10.1371/journal.pone.0179693 |
| Journal of Controlled Release | A DPP-IV-resistant glucagon-like peptide-2 dimer with enhanced activity against radiation-induced intestinal injury pubmed:28522195 |
| Obesity Surgery | Effects of Bariatric Surgery on Change of Brown Adipocyte Tissue and Energy Metabolism in Obese Mice pubmed:28853013 |
| Journal of Nutritional Sciences | Effect of dietary protein intake on the body composition and metabolic parameters of neutered dogs pubmed:29152244 |
| Inflammation | Involvements of γδT Lymphocytes in Acute and Chronic Skin Wound Repair. pubmed:28540539 |
| Frontiers in Molecular Neuroscience | Rosiglitazone Exerts an Anti-depressive Effect in Unpredictable Chronic Mild-Stress-Induced Depressive Mice by Maintaining Essential Neuron Autophagy and Inhibiting Excessive Astrocytic Apoptosis. pubmed:28959186 |
| Journal of Photochemistry and Photobiology | Various LED Wavelengths Affected Myofiber Development and Satellite Cell Proliferation of Chick Embryos via the IGF-1 Signaling Pathway. pubmed:28708285 |
| Brain, Behavior, and Immunity | An enriched environment restores hepatitis B vaccination-mediated impairments in synaptic function through IFN-γ/Arginase1 signaling Pubmed:29627530 |
| Journal of Translational Medicine | Generation of GHR-modified pigs as Laron syndrome models via a dual-sgRNAs/Cas9 system and somatic cell nuclear transfer Pubmed:29482569 |
| PLoS One | Subsequent somatic axis and bone tissue metabolism responses to a low-zinc diet with or without phytase inclusion in broiler chickens Pubmed:29373588 |
| Research in Veterinary Science | Evaluation of serum insulin-like growth factor-1 and 26S proteasome concentrations in healthy dogs and dogs with chronic diseases depending on body condition … 10.1016:j.rvsc.2018.04.009 |
| Pharmacology | Effects of Amlodipine on Bone Metabolism in Orchidectomised Spontaneously Hypertensive Rats Pubmed:29898457 |
| Tropical Animal Health and Production | Dietary supplementation for Santa Inês hair ewes on pasture at pre-and postpartum periods: dry matter intake, digestibility, milk production, and mineral metabolism Pubmed:29931604 |
| CANADIAN JOURNAL OF VETERINARY RESEARCH-REVUE CANADIENNE DE RECHERCHE VETERINAIRE | 26S proteasome and insulin-like growth factor-1 in serum of dogs suffering from malignant tumors Pubmed:29755191 |
| Pakistan Journal of Zoology | Effects of Intrauterine Growth Retardation on Growth, Meat Quality and Muscle Fiber Composition of Pigs. : |
| MEDYCYNA WETERYNARYJNA | Circulating concentrations of insulin like growth factor-1 in female dogs with spontaneous mammary tumours 10.21521:mw.6054 |
| Oncotarget | Nucleoside reverse transcriptase inhibitor-induced rat oocyte dysfunction and low fertility mediated by autophagy Pubmed:29423092 |
| Science Citation Index | Effect of porcine somatotropin on metabolism, testicular size and sperm characteristics in young boars 10.1590:1678-4162-9481 |
| Journal of Animal Science | Fermented corn-soybean meal elevated IGF1 levels in grower-finisher pigs Pubmed: 30203098 |
| Journal of Animal Physiology and Animal Nutrition | Maternal HMB treatment affects bone and hyaline cartilage development in their weaned piglets via the leptin/osteoprotegerin system Pubmed: 30659706 |
| Biomedicine & Pharmacotherapy | The therapeutic effects of nicotinamide in hepatocellular carcinoma through blocking IGF-1 and effecting the balance between Nrf2 and PKB Pubmed: 30784932 |
| The American Journal of Tropical Medicine and Hygiene | Association between Insulin-Like Growth Factor-I Levels and the Disease Progression and Anemia in Visceral Leishmaniasis Pubmed: 30761980 |
| PLoS One | Light-dark rhythms during incubation of broiler chicken embryos and their effects on embryonic and post hatch leg bone development Pubmed: 30682088 |
| International Journal of Molecular Sciences | Mel1c Mediated Monochromatic Light-Stimulated IGF-I Synthesis through the Intracellular Gαq/PKC/ERK Signaling Pathway Pubmed: 30987295 |
| Animal Reproduction Science | Serum and seminal plasma IGF-1 associations with semen variables and effect of IGF-1 supplementation on semen freezing capacity in buffalo bulls Pubmed: 30914211 |
| PLoS One | Melatonin mediates monochromatic green light-induced satellite cell proliferation and muscle growth in chick embryo Pubmed: 31059537 |
| Journal of Innovations in Pharmaceutical and Biological Sciences | Preventive effect of dried plum extract against dexamethasone-induced osteoporosis in male rats through inhibiting cathepsin-K activity, lipogenesis and … |
| Buffalo Bulletin | Alterations in haemato-biochemical profile following by-pass nutrients supplementation in early lactating Murrah buffaloes |
| Theriogenology | Effect of betaine supplementation on growth performance, nutrient intake and expression of IGF-1 in Karan Fries heifers during thermal stress Pubmed: 31711708 |
| Journal of Animal Physiology and Animal Nutrition | Effects of a diet enriched with eicosapentaenoic, docosahexaenoic and glutamine on cytokines as immunological markers for systemic inflammation in bitches before … Pubmed: 31637790 |
| Psychiatry Research | The association between serum insulin-like growth factor 1 and cognitive impairments in patients with schizophrenia Pubmed: 31839419 |
| International Journal of Molecular Sciences | BST Stimulation Induces Atrophy and Changes in Aerobic Energy Metabolism in Rat Skeletal Muscles—The Biphasic Action of Endogenous Glucocorticoids Pubmed: 32316389 |
| Genes (Basel) | Fenugreek Stimulates the Expression of Genes Involved in Milk Synthesis and Milk Flow through Modulation of Insulin/GH/IGF-1 Axis and Oxytocin Secretion Pubmed: 33081164 |
| international journal of molecular sciences | Cytokine and Growth Factor Delivery from Implanted Platelet-Rich Fibrin Enhances Rabbit Achilles Tendon Healing Pubmed: 32370144 |
| Animals | Is Dietary 2-Oxoglutaric Acid Effective in Accelerating Bone Growth and Development in Experimentally-Induced Intrauterine Growth Retarded Gilts? Pubmed: 32331362 |
| Indian Journal of Animal Sciences | Peripheral concentrations of metabolic and inflammatory indicators during transition period and their relationship with postpartum clinical endometritis in dairy … |
| Journal of Diabetes Research | Changes and Risk Factors of Skeletal Muscle Mass and Strength in Patients with Type 2 Diabetes over 60 Years Old: A Cross-Sectional Study from China |
| ranian Journal of Basic Medical Sciences | Therapeutic effects of organic zinc on reproductive hormones, insulin resistance and |
| INFLUENCE OF OMEGA–3 RICH FATTY ACID ENRICHED FEED ON BIOCHEMICAL MARKERS AND POST PARTUM REPRODUCTIVE PERFORMANCE OF … | |
| Stem Cell Reviews and Reports | Prospects on the Potential In Vitro Regenerative Features of Mechanically Treated-Adipose Tissue for Osteoarthritis Care 33469783 |
| Aesthet Surg J | Adipose-Derived Stem Cells Improve the Aging Skin of Nude Mice by Promoting Angiogenesis and Reducing Local Tissue Water 33428732 |
| Animal | Effect of alfalfa hay and starter feed supplementation on caecal microbiota and fermentation, growth, and health of yak calves 33610512 |
| Animals (Basel) | Handling Associated with Drenching Does Not Impact Survival and General Health of Low Birth Weight Piglets. Animals 2021, 11, 404 33562568 |
| Bioact Mater | New design to remove leukocytes from platelet-rich plasma (PRP) based on cell dimension rather than density 33842739 |
| Stem Cells International | The Paracrine Effect of Adipose-Derived Stem Cells Orchestrates Competition between Different Damaged Dermal Fibroblasts to Repair UVB-Induced Skin?¡ 33381190 |
| Animals | The Protective Role of Alpha-Ketoglutaric Acid on the Growth and Bone Development of Experimentally Induced Perinatal Growth-Retarded Piglets 33435211 |
| The pharma innovation Journal | Comparative study on genital status, energy balance and mineral content of swamp buffalo (Luit) heifers and cows under organized system of rearing in Assam?¡ |
| Br J Nutr | The Association of Pre-Pregnancy BMI On Leptin, Ghrelin, Adiponectin, and IGF-1 In Breast Milk, A Case Control Study 34348809 |
| animals | Effects of Concentrate and Bypass Fat Supplementations on Growth Performance, Blood Profile, and Rearing Cost of Feedlot Buffaloes 34359233 |
| Int J Environ Res Public Health | Association of Salivary IGF and IGF/IGFBP-3 Molar Ratio with Cervical Vertebral Maturation Stages from Pre-Adolescent to Post-Adolescent Transition Period—A … Pubmed:35564566 |

