Polyclonal Antibody to Monocyte Chemotactic Protein 1 (MCP1)
CCL2; GDCF2; HC11; HSMCR30; MCAF; MCP1; SCYA2; SMC-CF; Chemokine C-C-Motif Ligand 2; Monocyte Chemotactic And Activating Factor; Monocyte Secretory Protein JE
- Product No.PAA087Ca06
- Organism SpeciesCanis familiaris; Canine (Dog) Same name, Different species.
- SourcePolyclonal antibody preparation
- HostRabbit
- Potencyn/a
- Ig Type IgG
- PurificationAntigen-specific affinity chromatography followed by Protein A affinity chromatography
- LabelNone
- Immunogen EPA087Ca61-Eukaryotic Monocyte Chemotactic Protein 1 (MCP1)
- Buffer Formulation0.01M PBS, pH7.4, containing 0.05% Proclin-300, 50% glycerol.
- TraitsLiquid
- Concentration0.5mg/mL
- Organism Species Moren/a
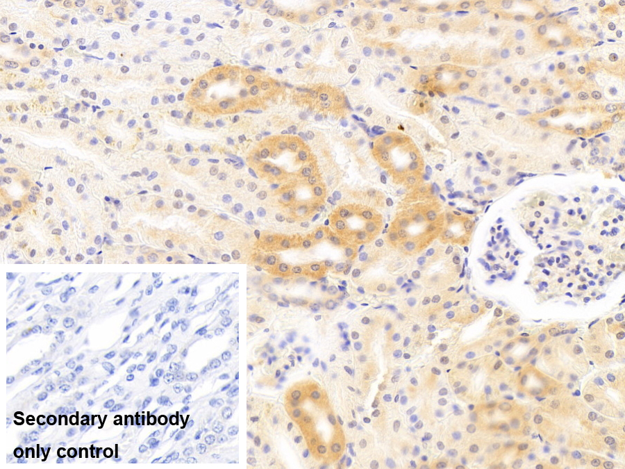
- ApplicationsIHC
If the antibody is used in flow cytometry, please check FCM antibodies. - DownloadInstruction Manual
- UOM 20µl100µl 200µl 1ml 10ml
- FOB
US$
US$
US$
US$
US$
For more details, please contact local distributors!
SPECIFITY
The antibody is a rabbit polyclonal antibody raised against MCP1. It has been selected for its ability to recognize MCP1 in immunohistochemical staining and western blotting.
USAGE
Immunohistochemistry: 5-20µg/mL;
Optimal working dilutions must be determined by end user.
STORAGE
Store at 4°C for frequent use. Stored at -20°C in a manual defrost freezer for two year without detectable loss of activity. Avoid repeated freeze-thaw cycles.
STABILITY
The thermal stability is described by the loss rate. The loss rate was determined by accelerated thermal degradation test, that is, incubate the protein at 37°C for 48h, and no obvious degradation and precipitation were observed. The loss rate is less than 5% within the expiration date under appropriate storage condition.
GIVEAWAYS
INCREMENT SERVICES
-
Antibody Labeling Customized Service
-
Protein A/G Purification Column
-
Staining Solution for Cells and Tissue
-
Positive Control for Antibody
-
Tissue/Sections Customized Service
-
Phosphorylated Antibody Customized Service
-
Western Blot (WB) Experiment Service
-
Immunohistochemistry (IHC) Experiment Service
-
Immunocytochemistry (ICC) Experiment Service
-
Flow Cytometry (FCM) Experiment Service
-
Immunoprecipitation (IP) Experiment Service
-
Immunofluorescence (IF) Experiment Service
-
Buffer
-
DAB Chromogen Kit
-
SABC Kit
-
Long-arm Biotin Labeling Kit
-
Real Time PCR Experimental Service
| Magazine | Citations |
| Cytokine | Astragaloside IV ameliorates renal injury in streptozotocin-induced diabetic rats through inhibiting NF-κB-mediated inflammatory genes expression. Pubmed: 23434274 |
| Rheumatology International | Serum levels of selected chemokines in systemic lupus erythematosus patients Pubmed: 22461186 |
| Food & Function | Effects of Hyriopsis cumingii polysaccharides on angiogenesis, macrophage chemotaxis, proliferation and phagocytosis Pubmed:25620195 |
| 36 | MRTF-A steers an epigenetic complex to activate endothelin-induced pro-inflammatory transcription in vascular smooth muscle cells Pubmed:Pmc4176337 |
| Journal of Trace Elements in Medicine and Biology | Adipose tissue chromium and vanadium disbalance in high-fat fed Wistar rats Pubmed:25194956 |
| 天津中医药大学学报 | 巨噬细胞及其相关因子在家兔不稳定斑块中的作用及其机制 Paper:Source |
| Int J Clin Exp Pathol | Rosiglitazone attenuates renal injury caused by hyperlipidemic pancreatitis PubMed: 26191125 |
| Mediators of Inflammation | Effects of Intravenous Injection of PubMed: 26063970 |
| Diabetes | Protein Inhibitor of Activated STAT 1 (PIAS1) Protects Against Obesity-Induced Insulin Resistance by Inhibiting Inflammation Cascade in Adipose Tissue PubMed: 26324179 |
| Journal of Histochmistry and Cytochmistry | Epigallocatechin-3-Gallate Attenuates Unilateral Ureteral Obstruction-Induced Renal Interstitial Fibrosis in Mice PubMed: 25549657 |
| Cell Physiol Biochem | MicroRNA-155 Promotes Atherosclerosis Inflammation via Targeting SOCS1 PubMed: 26159489 |
| Exp Biol Med (Maywood) | Renoprotective effects of angiotensin receptor blocker and stem cells in acute kidney injury: Involvement of inflammatory and apoptotic markers PubMed: 25825359 |
| Parasitol Res | Trypanosoma cruzi infection and benznidazole therapy independently stimulate oxidative status and structural pathological remodeling of the liver tissue in mice PubMed: 25912691 |
| Invest Ophthalmol Vis Sci | Simultaneous Increase in Multiple Proinflammatory Cytokines in the Aqueous Humor in Neovascular Glaucoma With and Without Intravitreal Bevacizumab Injection PubMed: 26030108 |
| PLoS One | Postoperative changes in aqueous monocyte chemotactic protein-1 levels and bleb morphology after trabeculectomy vs. Ex-PRESS shunt surgery PubMed: 26427058 |
| Veterinary Parasitology | Expression of adhesion molecules, chemokines and matrix metallo- proteinases (MMPs) in viable and degenerating stage of Taenia solium metacestode in swine neurocysticercosis PubMed: 26412140 |
| J Pharm Pharmacol | Modulation of oxidative and inflammatory cardiac response by nonselective 1‐and 3‐cyclooxygenase inhibitor and benznidazole in mice PubMed: 26105112 |
| Микроэлементы в медицине | НАРУШЕНИЕ БАЛАНСА ХРОМА И ВАНАДИЯ В ЖИРОВОЙ ТКАНИ КАК ВОЗМОЖНЫЙ МЕХАНИЗМ ОЖИРЕНИЕ-АССОЦИИРОВАННОЙ ИНСУЛИНОРЕЗИСТЕНТНОСТИ Microelements_Of_Midicine: 2015_2 |
| Front Pharmacol | The G-Protein-Coupled Bile Acid Receptor Gpbar1 (TGR5) Inhibits Gastric Inflammation Through Antagonizing NF-κB Signaling Pathway PubMed: 26696888 |
| PLoS One | Effects of PB-EPCs on Homing Ability of Rabbit BMSCs via Endogenous SDF-1 and MCP-1. PubMed: 26660527 |
| Scientific Reports | The Transcriptional Foundations of Sp110-mediated Macrophage (RAW264. 7) Resistance to Mycobacterium tuberculosis H37Ra Pubmed:26912204 |
| Neural Plasticity | Fractalkine Attenuates Microglial Cell Activation Induced by Prenatal Stress Pubmed:27239349 |
| Technologia Alimentaria | Decreased adipose tissue zinc content is associated with metabolic parameters in high fat fed Wistar rats abstract:10 |
| International Immunopharmacology | Consistency and pathophysiological characterization of a rat polymicrobial sepsis model via the improved cecal ligation and puncture surgery Pubmed:26802602 |
| J Neurochem. | Anti‐inflammatory properties of tianeptine on lipopolysaccharide‐induced changes in microglial cells involve toll‐like receptor‐related pathways Pubmed:26640965 |
| Oxidative Medicine and Cellular Longevity | Hyperglycemia Aggravates Hepatic Ischemia Reperfusion Injury by Inducing Chronic Oxidative Stress and Inflammation. pubmed:27656261 |
| Comparative Clinical Pathology | Identification of some plasma biomarkers associated with early weaning stress in crossbred piglets article:10.1007 |
| clinical chemistry and laboratory medicine | The serum concentrations of leptin and MCP-1 independently predict low back pain duration. pubmed:28076310 |
| Journal of Molecular Cell Biology | oxLDL antibody inhibits MCP‐1 release in monocytes/macrophages by regulating Ca2+/K+ channel flow pubmed:27995732 |
| Parasitology. | Nonsteroidal anti-inflammatory is more effective than anti-oxidant therapy in counteracting oxidative/nitrosative stress and heart disease in T. cruzi-infected mice. pubmed:28134069 |
| Experimental Parasitology | Adhesion molecules, chemokines and matrix metallo-proteinases response after albendazole and albendazole plus steroid therapy in swine neurocysticercosis pubmed:28821422 |
| National Natural Scientific | Role of Gut-Derived Endotoxin on Type I Collagen Production in the Rat Pancreas after Chronic Alcohol Exposure pubmed:29121396 |
| Evidence-Based Complementary and Alternative Medicine | BuShenKangShuai tablet reduces atherosclerotic lesion by improving blood lipids metabolism and inhibiting inflammatory response via TLR4 and NF-κB signaling pathway journals:1758383 |
| International Journal of Clinical and Experimental Pathology | Protective effect of high mobility group box-1 silence on diabetic retinopathy: an in vivo study ISSN:1936-2625/IJCEP0055881 |
| Nature Medicine | An ALOX12-12-HETE-GPR31 signaling axis is a key mediator of hepatic ischemia-reperfusion injury. pubmed:29227475 |
| Redox Biology | STAT3-RXR-Nrf2 activates systemic redox and energy homeostasis upon steep decline in pO2 gradient. pubmed:29078168 |
| Nature Medicine | The deubiquitinating enzyme cylindromatosis mitigates nonalcoholic steatohepatitis Pubmed:29291351 |
| NPG Asia Materials | Molybdenum disulfide/graphene oxide nanocomposites show favorable lung targeting and enhanced drug loading/tumor-killing efficacy with improved … Articles:am2017225 |
| Clinical Science | Metformin attenuates effects of cyclophilin A on macrophages, reduces lipid uptake and secretion of cytokines by repressing decreased AMPK activity Pubmed:29382697 |
| Life Sciences | Lipoxin A4 may attenuate the progression of obesity-related glomerulopathy by inhibiting NF-κB and ERK/p38 MAPK-dependent inflammation Pubmed:29499280 |
| Evidence-based Complementary and Alternative Medicine | Bushenkangshuai Tablet Reduces Atherosclerotic Lesion by Improving Blood Lipids Metabolism and Inhibiting Inflammatory Response via TLR4 and NF-κB Signaling … Pubmed:29619063 |
| Lasers in Medical Science | Evaluation of the therapeutic effect of micro-plasma radio frequency on hypertrophic scars in rabbit ears Pubmed:30003425 |
| Journal of Ocular Pharmacology and Therapeutics | Effect of 0.05% Difluprednate Ophthalmic Emulsion on Proinflammatory Cytokine Levels After Retinal Laser Photocoagulation in Rabbits Pubmed:29812993 |
| Journal of Interferon & Cytokine Research | Increased Serum MCP-1 Levels in Systemic Vasculitis Patients with Renal Involvement Pubmed: 30230985 |
| Prostaglandins & Other Lipid Mediators | Detoxification and activating blood circulation decoction reduces restenosis involving the TLR4/NF-κB pathway after balloon injury Pubmed: 30453089 |
| Molecular Neurobiology | Role of Chronic Administration of Antidepressant Drugs in the Prenatal Stress-Evoked Inflammatory Response in the Brain of Adult Offspring Rats … Pubmed: 30610610 |
| Journal Of Clinical Investigation | Long non-coding RNA mitigates atherosclerosis by regulating the actin-binding protein NEXN Pubmed: 30589415 |
| Kidney International | Wnt/β-catenin signaling mediates both heart and kidney injury in type 2 cardiorenal syndrome Pubmed: 30770217 |
| Biosensors and Bioelectronics | A sensitive sandwich-type immunosensor for the detection of MCP-1 based on a rGO-TEPA-Thi-Au nanocomposite and novel RuPdPt trimetallic nanoalloy particles |
| European Journal of Pharmacology | The cordycepin derivative IMM-H007 improves endothelial dysfunction by suppressing vascular inflammation and promoting AMPK-dependent eNOS activation in … Pubmed: 30826323 |
| Experimental and Therapeutic Medicine | Effect of stress hyperglycaemia on monocyte chemoattractant protein‑1 levels and the short‑term prognosis of patients with acute ST‑segment elevation myocardial … |
| Hepatology | Integrated Omics Reveals Tollip as an Aggravator and Therapeutic Target for Hepatic Ischemia‐Reperfusion Injury in Mice Pubmed: 31077413 |
| FASEB Journal | Rescuing cones and daylight vision in retinitis pigmentosa mice Pubmed: 31199887 |
| Metallomics | Lanthanum chloride induces neuron damage by activating the nuclear factor-kappa B signaling pathway in activated microglia Pubmed: 31187842 |
| Hepatology | Hepatocyte TRAF 6 Aggravates Hepatic Inflammation and Fibrosis by Promoting Lys6‐Linked Polyubiquitination of ASK 1 |
| journal of cellular and molecular medicine | LncRNA HOXA11‐AS regulates calcium oxalate crystal–induced renal inflammation via miR‐124‐3p/MCP‐1 Pubmed: 31680444 |
| Diabetes | Histone H3 serine 10 phosphorylation facilitates endothelial activation in diabetic kidney disease Pubmed: 30213824 |
| Biomedicine & Pharmacotherapy | Inhibition of CXCL1-CXCR2 axis ameliorates cisplatin-induced acute kidney injury by mediating inflammatory response Pubmed: 31812015 |
| ACTA PHARMACOLOGICA SINICA | α-Galactosylceramide and its analog OCH differentially affect the pathogenesis of ISO-induced cardiac injury in mice Pubmed: 32973325 |
| EBioMedicine | Modulating endothelial adhesion and migration impacts stem cell therapies efficacy Pubmed: 32942121 |
| PHARMACOLOGICAL RESEARCH | Sea cucumbers-derived sterol sulfate alleviates insulin resistance and inflammation in high-fat-high-fructose diet-induced obese mice Pubmed: 32911073 |
| BRITISH JOURNAL OF PHARMACOLOGY | A novel apoA‐I mimetic peptide suppresses atherosclerosis by promoting physiological HDL function in apoE−/− mice Pubmed: 32726461 |
| Int Immunopharmacol | BNIP3 deletion ameliorated enterovirus 71 infection-induced hand, foot and mouth disease via inhibiting apoptosis, autophagy, and inflammation in mice Pubmed: 32717566 |
| Life Sci | Impact of diminazene aceturate on renin-angiotensin system, infectious myocarditis and skeletal myositis in mice: An in vitro and in vivo study Pubmed: 32652140 |
| Life Sciences | Curcumin and LOXblock-1 ameliorate ischemia-reperfusion induced inflammation and acute kidney injury by suppressing the semaphorin-plexin pathway. Pubmed: 32603817 |
| Molecular Medicine Reports | Aquaporin‑4 deletion ameliorates enterovirus 71 infection in mice Pubmed: 32582978 |
| Life Sci | Protective function of exosomes from adipose tissue-derived mesenchymal stem cells in acute kidney injury through SIRT1 pathway Pubmed: 32428599 |
| JOURNAL OF IMMUNOLOGY RESEARCH | β-Defensin Strengthens Antimicrobial Peritoneal Mast Cell Response Pubmed: 32411798 |
| cell metabolism | Low-Dose Sorafenib Acts as a Mitochondrial Uncoupler and Ameliorates Nonalcoholic Steatohepatitis Pubmed: 32375062 |
| Nanoscale Research Letters | Protective Effects of Carbon Dots Derived from Phellodendri Chinensis Cortex Carbonisata against Deinagkistrodon acutus Venom-Induced Acute Kidney … |
| J Immunoassay Immunochem | Effects of regular exercise on inflammatory biomarkers and lipid parameters in soccer players 33750257 |
| FASEB Bioadv | Cyclophilin A induces macrophage apoptosis and enhances atherosclerotic lesions in high©\fat diet©\fed hyperglycemic rabbits 33977232 |
| Hepatology | TNIP3 is a novel activator of Hippo©\YAP signaling protecting against hepatic ischemia/reperfusion injury 34133792 |
| Bioactive Materials | Construction of heparin-based hydrogel incorporated with Cu5. 4O ultrasmall nanozymes for wound healing and inflammation inhibition 33778192 |
| researchsquare | p62 promotes HIV-1 gp120 V3 loop-mediated microglial inflammation by promoting noncanonical activation of Nrf2 |
| Transl Vis Sci Technol | Intraocular Pressure-Lowering Effects of Trabeculectomy Versus MicroShunt Insertion in Rabbit Eyes 34357381 |
| Cell Metabolism | Pharmacological inhibition of arachidonate 12-lipoxygenase ameliorates myocardial ischemia-reperfusion injury in multiple species 34536344 |
| Stroke | CCL2 (CC Motif Chemokine Ligand 2) Biomarker Responses in Central Versus Peripheral Compartments After Focal Cerebral Ischemia 34587791 |
| J Ethnopharmacol | Identification of potential regulating effect of baicalin on NFκB/CCL2/CCR2 signaling pathway in rats with cerebral ischemia by antibody-based array and … 34699947 |
| Biomed Pharmacother | Huangbai liniment and berberine promoted wound healing in high-fat diet/Streptozotocin-induced diabetic rats Pubmed:35430394 |
| Expert Opinion on Therapeutic Targets | Dapagliflozin mitigates ovalbumin-prompted airway inflammatory-oxidative successions and associated bronchospasm in a rat model of allergic asthma Pubmed:35549595 |

