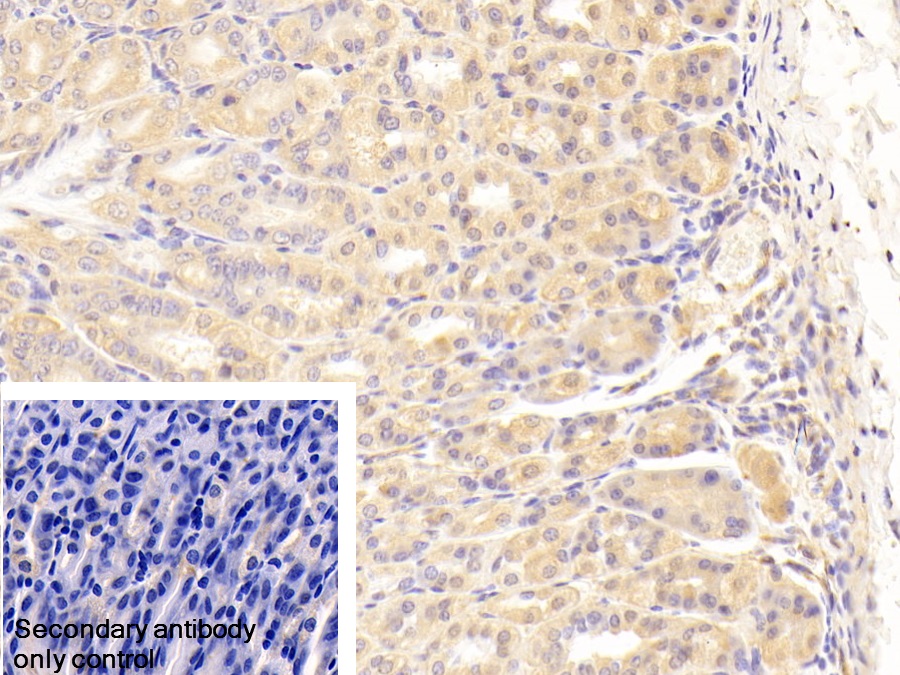
Polyclonal Antibody to Alpha-Fetoprotein (AFP)
aFP; A-FP; FETA; HPAFP; Alpha-Fetoglobulin; Alpha-1-fetoprotein
- Product No.PAA153Mu01
- Organism SpeciesMus musculus (Mouse) Same name, Different species.
- SourcePolyclonal antibody preparation
- HostRabbit
- Potencyn/a
- Ig Type IgG
- PurificationAntigen-specific affinity chromatography followed by Protein A affinity chromatography
- LabelNone
- Immunogen RPA153Mu01-Recombinant Alpha-Fetoprotein (AFP)
- Buffer FormulationPBS, pH7.4, containing 0.02% NaN3, 50% glycerol.
- TraitsLiquid
- Concentration0.5mg/mL
- Organism Species Moren/a
- ApplicationsWB; IHC
 If the antibody is used in flow cytometry, please check FCM antibodies.
- DownloadInstruction Manual
- UOM 20µl100µl 200µl 1ml 10ml
- FOB
    
                                    US$ 97 
            
                
                        US$ 227 
                                        US$ 324 
                                        US$ 810 
                                        US$ 3240 
                            
 For more details, please contact local distributors!
SPECIFITY
The antibody is a rabbit polyclonal antibody raised against AFP. It has been selected for its ability to recognize AFP in immunohistochemical staining and western blotting.
USAGE
        Western blotting: 0.01-2µg/mL;
Immunohistochemistry: 5-20µg/mL;
Optimal working dilutions must be determined by end user.    
STORAGE
Store at 4°C for frequent use. Stored at -20°C in a manual defrost freezer for two year without detectable loss of activity. Avoid repeated freeze-thaw cycles.
STABILITY
The thermal stability is described by the loss rate. The loss rate was determined by accelerated thermal degradation test, that is, incubate the protein at 37°C for 48h, and no obvious degradation and precipitation were observed. The loss rate is less than 5% within the expiration date under appropriate storage condition.
GIVEAWAYS
INCREMENT SERVICES
- 
                     Antibody Labeling Customized Service Antibody Labeling Customized Service
- 
                     Protein A/G Purification Column Protein A/G Purification Column
- 
                     Staining Solution for Cells and Tissue Staining Solution for Cells and Tissue
- 
                     Positive Control  for Antibody Positive Control  for Antibody
- 
                     Tissue/Sections Customized Service Tissue/Sections Customized Service
- 
                     Phosphorylated Antibody Customized Service Phosphorylated Antibody Customized Service
- 
                     Western Blot (WB) Experiment Service Western Blot (WB) Experiment Service
- 
                     Immunohistochemistry (IHC) Experiment Service Immunohistochemistry (IHC) Experiment Service
- 
                     Immunocytochemistry (ICC) Experiment Service Immunocytochemistry (ICC) Experiment Service
- 
                     Flow Cytometry (FCM) Experiment Service Flow Cytometry (FCM) Experiment Service
- 
                     Immunoprecipitation (IP) Experiment Service Immunoprecipitation (IP) Experiment Service
- 
                     Immunofluorescence (IF) Experiment Service Immunofluorescence (IF) Experiment Service
- 
                     Buffer Buffer
- 
                     DAB Chromogen Kit DAB Chromogen Kit
- 
                     SABC Kit SABC Kit
- 
                     Long-arm Biotin Labeling Kit Long-arm Biotin Labeling Kit
- 
                     Real Time PCR Experimental Service Real Time PCR Experimental Service
| Magazine | Citations | 
| BioFactors | Ginger ingredients inhibit the development of diethylnitrosoamine induced premalignant phenotype in rat chemical hepatocarcinogenesis model PubMed: 20872761 | 
| Food and Nutrition Sciences | Investigation of the Biochemical and Histological Changes Induced by Zearalenone Mycotoxin on Liver in Male Mice and the Protective Role of Crude Venom Extracted from Jellyfish Cassiopea Andromeda. Scirp: 5684 | 
| Diabetes Research and Clinical Practice | Polyol profile as an early diagnostic and prognostic marker in natural product chemoprevention of hepatocellular carcinoma in diabetic rats ScienceDirect: S0168822711000520 | 
| Life Sciences | Comparison of angiotensin converting enzyme inhibitors and angiotensin II type 1 receptor blockade for the prevention of premalignant changes in the liver ScienceDirect: S0024320511002700 | 
| Annals of Hepatology | Cytokines as important playmakers of experimental hepatocarcinogenesis confounded by diabetes. Hepatology: source | 
| Biomedicine & Aging Pathology | Chemopreventive and therapeutic efficacy of Salsola inermis extract against N-nitrosodiethylamine-initiated and phenobarbital-promoted hepatocellular carcinogenesis in Wistar rats ScienceDirect: S2210522013000348 | 
| European journal of pharmacology | Suramin inhibits hepatic tissue damage in hepatocellular carcinoma through deactivation of heparanase enzyme Pubmed: 24530413 | 
| Asian Pac J Cancer Prev. | Association of Paraoxonase-1 (Q192R and L55M) Gene Polymorphisms and Activity with Colorectal Cancer and Effect of Surgical Intervention. Pubmed:25684529 | 
| Journal of Analytical Atomic Spectrometry | Detection of HIV-1 p24 antigen using streptavidin–biotin and gold nanoparticles based immunoassay by inductively coupled plasma mass spectrometry Rsc:Source | 
| PLOS ONE | Development of a Highly Sensitive Glycan Microarray for Quantifying AFP-L3 for Early Prediction of Hepatitis B Virus–Related Hepatocellular Carcinoma Pubmed:24927126 | 
| BMC Med Imaging | Evaluation of 11C-acetate and 18F-FDG PET/CT in mouse multidrug resistance gene-2 deficient mouse model of hepatocellular carcinoma PubMed: 25981587 | 
| Tumour Biol | Elevated serum soluble CD14 levels in chronic HBV infection are significantly associated with HBV-related hepatocellular carcinoma PubMed: 26643893 | 
| Acta Veterinaria Brno | The concentrations of selected blood serum proteins in calves during the first three months of life 85:33 | 
| Hepatobiliary Pancreat Dis Int | Predictive value of tumor markers in patients with recurrent hepatocellular carcinoma in different vascular invasion pattern abstract:abstract4525.shtml | 
| Journal of Applied Pharmaceutical Science | Chemopreventive effect of Indigofera linnaei extract against diethylnitrosamine induced hepatocarcinogenesis in rats 2071_pdf.pdf | 
| Frontiers in Physiology | Anticarcinogenic potential of ethanol extract of Indigofera cordifolia Roth.(Fabales: Fabaceae) on diethylnitrosamine induced hepatocarcinogenesis in rats v04n07a07a | 
| International Journal of Clinical and Experimental Medicine | Effect of Mesenchymal Stem Cells on Transforming Growth Factor Beta Level in Hepatocellular Carcinoma Induced Rat Model 1345-1349 | 
| Tumor Biology | Antiangiogenic activity of vitexicarpine in experimentally induced hepatocellular carcinoma: Impact on vascular endothelial growth factor pathway pubmed:28651490 | 
| Advances in Clinical and Experimental Medicine | Mesenchymal stem cell therapy of hepatocellular carcinoma in rats: Detection of cell homing and tumor mass by magnetic resonance imaging using iron oxide nanoparticles ISSN 2451-2680 | 
| Tumor biology | Evaluation of the antitumor activity of platinum nanoparticles in the treatment of hepatocellular carcinoma induced in rats pubmed:28720064 | 
| EBioMedicine | Lnc-PCDH9-13: 1 Is a Hypersensitive and Specific Biomarker for Early Hepatocellular Carcinoma Pubmed:30045829 | 
| Sensors and Actuators B: Chemical | One-pot synthesis of a highly selective carboxyl-functionalized superparamagnetic probes for detection of alpha-fetoprotein 10.1016:j.snb.2018.03.038 | 
| Biomedicine & Pharmacotherapy | Cytotoxic and partial hepatoprotective activity of sodium ascorbate against hepatocellular carcinoma through inhibition of sulfatase-2 and Pubmed:29669302 | 
| Journal of Investigative Surgery | Dynamic Volume Assessment of Hepatocellular Carcinoma in Rat Livers Using a Clinical 3T MRI and Novel Segmentation Pubmed:28107094 | 
| Asian Pacific Journal of Cancer Prevention | Impact of Mesenchymal Stem Cells and Vitamin D on Transforming Growth Factor Beta Signaling Pathway in Hepatocellular Carcinoma in Rats Pubmed:29693337 | 
| Antioxid Redox Signal | The Association of Peroxiredoxin 4 with the Initiation and Progression of Hepatocellular Carcinoma Pubmed:29687726 | 
| Cancer Biology | Chemoprotective Efficacy of Curcumin and Flax Seed Oil in 1, 2-Dimethylhydrazine Induced Rat Colon Cancer | 
| Cancer Biology | Ameliorative effects of honey and venom of honey bee on induced colon cancer in male albino rats by1, 2 dimethylhydrazine | 
| Biomedicine & Pharmacotherapy | The therapeutic effects of nicotinamide in hepatocellular carcinoma through blocking IGF-1 and effecting the balance between Nrf2 and PKB Pubmed: 30784932 | 
| Asian Journal of Pharmacy and Pharmacology | Chemopreventive effects of on diethylnitrosamine induced and Indigofera cassioides phenobarbital promoted rat liver carcinoma | 
| American Journal of Transplantation | Circulating exosomal miR‐92b: Its role for cancer immunoediting and clinical value for prediction of posttransplant hepatocellular carcinoma recurrence Pubmed: 31162867 | 
| Environ Toxicol Pharmacol. | Targetingp53/TRAIL/caspase-8 signaling by adiponectin reverses thioacetamide-induced hepatocellular carcinoma in rats Pubmed: 31421311 | 
| Hepatology Research | Glutamine synthetase promotes tumor invasion in hepatocellular carcinoma through mediating epithelial–mesenchymal transition Pubmed: 31652385 | 
| REDOX REPORT | Selective cytotoxic activity and protective effects of sodium ascorbate against hepatocellular carcinoma through its effect on oxidative stress and apoptosis in vivo and … Pubmed: 32172678 | 
| Scientific Reports | The possible role of Dickkopf-1, Golgi protein-73 and Midkine as predictors of hepatocarcinogenesis: a review and an Egyptian study Pubmed: 32198440 | 
| Nutr Cancer | Fucoidan Ameliorates Hepatocellular Carcinoma Induced in Rats: Effect on miR143 and Inflammation Pubmed: 32718197 | 
| Lateral Flow Immunosensor for Ferritin Based on Dual Signal-Amplified Strategy by Rhodium Nanoparticles | |
| Microchemical Journal | Magnetic immunoassay for tumor clinical diagnosis based on rolling circular amplification (RCA) coupled with ICP-MS | 
| Identification of Polyphenolic Compounds and Hepatoprotective Activity of Artichoke (Cynara Scolymus L.) Edible Part Extracts in Rats | |
| Anticancer efficacy of β-Sitosterol Loaded Hydroxyapatite-Alginate on Colon Cancer Cell in Vivo | |
| DEVELOPMENT | Blocking estrogen-induced AMH expression is crucial for normal follicle formation 33658225 | 
| Cytokine | QNZ alleviated hepatocellular carcinoma by targeting inflammatory pathways in a rat model 34564023 | 
| Journal of Gastrointestinal Cancer | In Vivo Study of a Newly Synthesized Chromen-4-One Derivative as an Antitumor Agent Against HCC 34698995 | 
| Catalog No. | Related products for research use of Mus musculus (Mouse) Organism species | Applications (RESEARCH USE ONLY!) | 
| RPA153Mu01 | Recombinant Alpha-Fetoprotein (AFP) | Positive Control; Immunogen; SDS-PAGE; WB. | 
| RPA153Mu02 | Recombinant Alpha-Fetoprotein (AFP) | Positive Control; Immunogen; SDS-PAGE; WB. | 
| PAA153Mu01 | Polyclonal Antibody to Alpha-Fetoprotein (AFP) | WB; IHC | 
| PAA153Mu02 | Polyclonal Antibody to Alpha-Fetoprotein (AFP) | WB; IHC; ICC; IP. | 
| FAA153Mu01 | Anti-Alpha-Fetoprotein (AFP) Polyclonal Antibody | FCM | 
| LAA153Mu81 | FITC-Linked Polyclonal Antibody to Alpha-Fetoprotein (AFP) | WB; IHC; ICC; IF. | 
| LAA153Mu71 | Biotin-Linked Polyclonal Antibody to Alpha-Fetoprotein (AFP) | WB; IHC; ICC. | 
| SEA153Mu | ELISA Kit for Alpha-Fetoprotein (AFP) | Enzyme-linked immunosorbent assay for Antigen Detection. | 
| LMA153Mu | Multiplex Assay Kit for Alpha-Fetoprotein (AFP) ,etc. by FLIA (Flow Luminescence Immunoassay) | FLIA Kit for Antigen Detection. | 
 
         
 
                             
                             
                             
                             
                             
                             
                             
                            

 
    