Polyclonal Antibody to Meprin A Alpha (MEP1a)
PPHA; PABA Peptide Hydrolase; Endopeptidase-2; N-benzoyl-L-tyrosyl-P-amino-Benzoic Acid Hydrolase Subunit Alpha; PABA Peptide Hydrolase
- Product No.PAA171Hu01
- Organism SpeciesHomo sapiens (Human) Same name, Different species.
- SourcePolyclonal antibody preparation
- HostRabbit
- Potencyn/a
- Ig Type IgG
- PurificationAntigen-specific affinity chromatography followed by Protein A affinity chromatography
- LabelNone
- Immunogen RPA171Hu01-Recombinant Meprin A Alpha (MEP1a)
- Buffer Formulation0.01M PBS, pH7.4, containing 0.05% Proclin-300, 50% glycerol.
- TraitsLiquid
- Concentration0.32mg/mL
- Organism Species MoreMus musculus (Mouse), Rattus norvegicus (Rat)
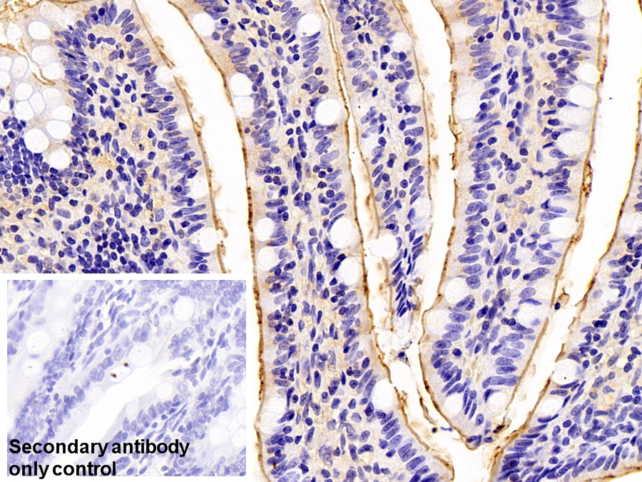
- ApplicationsWB; IHC
If the antibody is used in flow cytometry, please check FCM antibodies. - DownloadInstruction Manual
- UOM 20µl100µl 200µl 1ml 10ml
- FOB
US$ 95
US$ 221
US$ 316
US$ 790
US$ 3160
For more details, please contact local distributors!
SPECIFITY
The antibody is a rabbit polyclonal antibody raised against MEP1a. It has been selected for its ability to recognize MEP1a in immunohistochemical staining and western blotting.
USAGE
Western blotting: 0.01-2µg/mL;
Immunohistochemistry: 5-20µg/mL;
Optimal working dilutions must be determined by end user.
STORAGE
Store at 4°C for frequent use. Stored at -20°C in a manual defrost freezer for two year without detectable loss of activity. Avoid repeated freeze-thaw cycles.
STABILITY
The thermal stability is described by the loss rate. The loss rate was determined by accelerated thermal degradation test, that is, incubate the protein at 37°C for 48h, and no obvious degradation and precipitation were observed. The loss rate is less than 5% within the expiration date under appropriate storage condition.
GIVEAWAYS
INCREMENT SERVICES
-
Antibody Labeling Customized Service
-
Protein A/G Purification Column
-
Staining Solution for Cells and Tissue
-
Positive Control for Antibody
-
Tissue/Sections Customized Service
-
Phosphorylated Antibody Customized Service
-
Western Blot (WB) Experiment Service
-
Immunohistochemistry (IHC) Experiment Service
-
Immunocytochemistry (ICC) Experiment Service
-
Flow Cytometry (FCM) Experiment Service
-
Immunoprecipitation (IP) Experiment Service
-
Immunofluorescence (IF) Experiment Service
-
Buffer
-
DAB Chromogen Kit
-
SABC Kit
-
Long-arm Biotin Labeling Kit
-
Real Time PCR Experimental Service
| Magazine | Citations |
| international journal of molecular sciences | Evidence of the Role of R-Spondin 1 and Its Receptor Lgr4 in the Transmission of Mechanical Stimuli to Biological Signals for Bone Formation. pubmed:28272338 |
| 血清meprin-α 在儿童川崎病诊断中的临床应用价值 |
| Catalog No. | Related products for research use of Homo sapiens (Human) Organism species | Applications (RESEARCH USE ONLY!) |
| RPA171Hu01 | Recombinant Meprin A Alpha (MEP1a) | Positive Control; Immunogen; SDS-PAGE; WB. |
| PAA171Hu01 | Polyclonal Antibody to Meprin A Alpha (MEP1a) | WB; IHC |
| MAA171Hu22 | Monoclonal Antibody to Meprin A Alpha (MEP1a) | WB; IHC; ICC; IP. |
| CEA171Hu | ELISA Kit for Meprin A Alpha (MEP1a) | Enzyme-linked immunosorbent assay for Antigen Detection. |
| LMA171Hu | Multiplex Assay Kit for Meprin A Alpha (MEP1a) ,etc. by FLIA (Flow Luminescence Immunoassay) | FLIA Kit for Antigen Detection. |
| KSA171Hu11 | ELISA Kit DIY Materials for Meprin A Alpha (MEP1a) | Main materials for "Do It (ELISA Kit) Yourself". |

