Polyclonal Antibody to Meprin A Alpha (MEP1a)
PPHA; PABA Peptide Hydrolase; Endopeptidase-2; N-benzoyl-L-tyrosyl-P-amino-Benzoic Acid Hydrolase Subunit Alpha; PABA Peptide Hydrolase
- Product No.PAA171Mu01
- Organism SpeciesMus musculus (Mouse) Same name, Different species.
- SourcePolyclonal antibody preparation
- HostRabbit
- Potencyn/a
- Ig Type IgG
- PurificationAntigen-specific affinity chromatography followed by Protein A affinity chromatography
- LabelNone
- Immunogen RPA171Mu01-Recombinant Meprin A Alpha (MEP1a)
- Buffer Formulation0.01M PBS, pH7.4, containing 0.05% Proclin-300, 50% glycerol.
- TraitsLiquid
- Concentration0.77mg/ml
- Organism Species MoreRattus norvegicus (Rat)
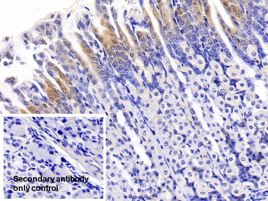
- ApplicationsWB; IHC
If the antibody is used in flow cytometry, please check FCM antibodies. - DownloadInstruction Manual
- UOM 20µl100µl 200µl 1ml 10ml
- FOB
US$ 97
US$ 227
US$ 324
US$ 810
US$ 3240
For more details, please contact local distributors!
SPECIFITY
The antibody is a rabbit polyclonal antibody raised against MEP1a. It has been selected for its ability to recognize MEP1a in immunohistochemical staining and western blotting.
USAGE
Western blotting: 0.5-2µg/mL;1:380-1500
Immunohistochemistry: 5-20µg/mL;1:38-150
Immunocytochemistry: 5-20µg/mL;1:38-150
Optimal working dilutions must be determined by end user.
STORAGE
Store at 4°C for frequent use. Stored at -20°C in a manual defrost freezer for two year without detectable loss of activity. Avoid repeated freeze-thaw cycles.
STABILITY
The thermal stability is described by the loss rate. The loss rate was determined by accelerated thermal degradation test, that is, incubate the protein at 37°C for 48h, and no obvious degradation and precipitation were observed. The loss rate is less than 5% within the expiration date under appropriate storage condition.
GIVEAWAYS
INCREMENT SERVICES
-
Antibody Labeling Customized Service
-
Protein A/G Purification Column
-
Staining Solution for Cells and Tissue
-
Positive Control for Antibody
-
Tissue/Sections Customized Service
-
Phosphorylated Antibody Customized Service
-
Western Blot (WB) Experiment Service
-
Immunohistochemistry (IHC) Experiment Service
-
Immunocytochemistry (ICC) Experiment Service
-
Flow Cytometry (FCM) Experiment Service
-
Immunoprecipitation (IP) Experiment Service
-
Immunofluorescence (IF) Experiment Service
-
Buffer
-
DAB Chromogen Kit
-
SABC Kit
-
Long-arm Biotin Labeling Kit
-
Real Time PCR Experimental Service
| Magazine | Citations |
| international journal of molecular sciences | Evidence of the Role of R-Spondin 1 and Its Receptor Lgr4 in the Transmission of Mechanical Stimuli to Biological Signals for Bone Formation. pubmed:28272338 |
| 血清meprin-α 在儿童川崎病诊断中的临床应用价值 |
| Catalog No. | Related products for research use of Mus musculus (Mouse) Organism species | Applications (RESEARCH USE ONLY!) |
| RPA171Mu01 | Recombinant Meprin A Alpha (MEP1a) | Positive Control; Immunogen; SDS-PAGE; WB. |
| RPA171Mu02 | Recombinant Meprin A Alpha (MEP1a) | Positive Control; Immunogen; SDS-PAGE; WB. |
| CPA171Mu21 | OVA Conjugated Meprin A Alpha (MEP1a) | Immunogen; SDS-PAGE; WB. |
| PAA171Mu01 | Polyclonal Antibody to Meprin A Alpha (MEP1a) | WB; IHC |
| PAA171Mu08 | Polyclonal Antibody to Meprin A Alpha (MEP1a) | WB; IHC; ICC; IP. |
| PAA171Mu02 | Polyclonal Antibody to Meprin A Alpha (MEP1a) | WB; IHC; ICC; IP. |
| CEA171Mu | ELISA Kit for Meprin A Alpha (MEP1a) | Enzyme-linked immunosorbent assay for Antigen Detection. |
| LMA171Mu | Multiplex Assay Kit for Meprin A Alpha (MEP1a) ,etc. by FLIA (Flow Luminescence Immunoassay) | FLIA Kit for Antigen Detection. |
| KSA171Mu11 | ELISA Kit DIY Materials for Meprin A Alpha (MEP1a) | Main materials for "Do It (ELISA Kit) Yourself". |

