Polyclonal Antibody to Pyruvate kinase isozymes R/L (PKLR)
PK; PyK; PK1; PKL; Pyruvate Kinase Isozymes R/L; Glutamic--pyruvic transaminase 1; R-type/L-type pyruvate kinase; Red cell/liver pyruvate kinase
- Product No.PAA208Hu01
- Organism SpeciesHomo sapiens (Human) Same name, Different species.
- SourcePolyclonal antibody preparation
- HostRabbit
- Potencyn/a
- Ig Type IgG
- PurificationAntigen-specific affinity chromatography followed by Protein A affinity chromatography
- LabelNone
- Immunogen RPA208Hu01-Recombinant Pyruvate kinase isozymes R/L (PKLR)
- Buffer FormulationPBS, pH7.4, containing 0.02% NaN3, 50% glycerol.
- TraitsLiquid
- Concentration500µg/mL
- Organism Species MoreMus musculus (Mouse), Sus scrofa; Porcine (Pig)
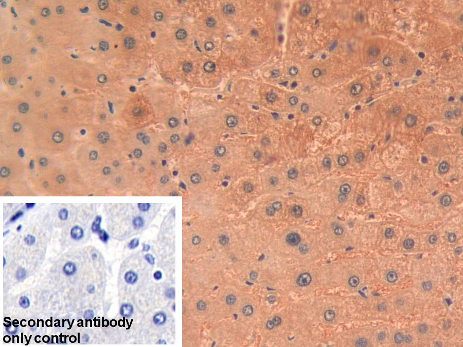
- ApplicationsWB; IHC; ICC/IF
If the antibody is used in flow cytometry, please check FCM antibodies. - DownloadInstruction Manual
- UOM 20µl100µl 200µl 1ml 10ml
- FOB
US$ 95
US$ 221
US$ 316
US$ 790
US$ 3160
For more details, please contact local distributors!
SPECIFITY
The antibody is a rabbit polyclonal antibody raised against PKLR. It has been selected for its ability to recognize PKLR in immunohistochemical staining and western blotting.
USAGE
Western blotting: 0.5-2µg/mL;
Immunohistochemistry: 5-20µg/mL;
Immunocytochemistry: 5-20µg/mL;
Optimal working dilutions must be determined by end user.
STORAGE
Store at 4°C for frequent use. Stored at -20°C in a manual defrost freezer for two year without detectable loss of activity. Avoid repeated freeze-thaw cycles.
STABILITY
The thermal stability is described by the loss rate. The loss rate was determined by accelerated thermal degradation test, that is, incubate the protein at 37°C for 48h, and no obvious degradation and precipitation were observed. The loss rate is less than 5% within the expiration date under appropriate storage condition.
GIVEAWAYS
INCREMENT SERVICES
-
Antibody Labeling Customized Service
-
Protein A/G Purification Column
-
Staining Solution for Cells and Tissue
-
Positive Control for Antibody
-
Tissue/Sections Customized Service
-
Phosphorylated Antibody Customized Service
-
Western Blot (WB) Experiment Service
-
Immunohistochemistry (IHC) Experiment Service
-
Immunocytochemistry (ICC) Experiment Service
-
Flow Cytometry (FCM) Experiment Service
-
Immunoprecipitation (IP) Experiment Service
-
Immunofluorescence (IF) Experiment Service
-
Buffer
-
DAB Chromogen Kit
-
SABC Kit
-
Long-arm Biotin Labeling Kit
-
Real Time PCR Experimental Service
| Magazine | Citations |
| Onco Targets Ther | The effects of PGC-1α on the proliferation and energy metabolism of malignant endometrial cancer cells PubMed: 25914546 |
| european journal of endocrinology | Contact system activation and high thrombin generation in hyperthyroidism. pubmed:28137735 |
| CELLULAR AND MOLECULAR NEUROBIOLOGY | Time-Dependent Changes in the Serum Levels of Neurobiochemical Factors After Acute Methadone Overdose in Adolescent Male Rat Pubmed: 32712727 |
| Catalog No. | Related products for research use of Homo sapiens (Human) Organism species | Applications (RESEARCH USE ONLY!) |
| RPA208Hu01 | Recombinant Pyruvate kinase isozymes R/L (PKLR) | Positive Control; Immunogen; SDS-PAGE; WB. |
| PAA208Hu01 | Polyclonal Antibody to Pyruvate kinase isozymes R/L (PKLR) | WB; IHC; ICC/IF |
| MAA208Hu22 | Monoclonal Antibody to Pyruvate kinase isozymes R/L (PKLR) | WB; IHC; ICC; IP. |
| SEA208Hu | ELISA Kit for Pyruvate kinase isozymes R/L (PKLR) | Enzyme-linked immunosorbent assay for Antigen Detection. |
| LMA208Hu | Multiplex Assay Kit for Pyruvate kinase isozymes R/L (PKLR) ,etc. by FLIA (Flow Luminescence Immunoassay) | FLIA Kit for Antigen Detection. |

