Polyclonal Antibody to Paraoxonase 1 (PON1)
ESA; PON; Esterase A; Serum paraoxonase/arylesterase 1; Aromatic esterase 1; A-esterase 1; Serum aryldialkylphosphatase 1
- Product No.PAA243Mu02
- Organism SpeciesMus musculus (Mouse) Same name, Different species.
- SourcePolyclonal antibody preparation
- HostRabbit
- Potencyn/a
- Ig Type IgG
- PurificationAntigen-specific affinity chromatography followed by Protein A affinity chromatography
- LabelNone
- Immunogen RPA243Mu02-Recombinant Paraoxonase 1 (PON1)
- Buffer FormulationPBS, pH7.4, containing 0.01% SKL, 1mM DTT, 5% Trehalose and Proclin300.
- TraitsLiquid
- Concentration500µg/mL
- Organism Species Moren/a
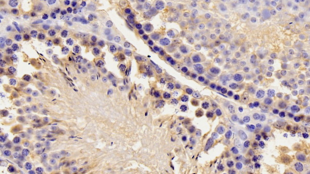
- ApplicationsWB; IHC; ICC/IF
If the antibody is used in flow cytometry, please check FCM antibodies. - DownloadInstruction Manual
- UOM 20µl100µl 200µl 1ml 10ml
- FOB
US$ 97
US$ 227
US$ 324
US$ 810
US$ 3240
For more details, please contact local distributors!
SPECIFITY
The antibody is a rabbit polyclonal antibody raised against PON1. It has been selected for its ability to recognize PON1 in immunohistochemical staining and western blotting.
USAGE
Western blotting: 0.2-2µg/mL;1:250-2500
Immunohistochemistry: 5-20µg/mL;1:25-100
Immunocytochemistry: 5-20µg/mL;1:25-100
Optimal working dilutions must be determined by end user.
STORAGE
Store at 4°C for frequent use. Stored at -20°C in a manual defrost freezer for two year without detectable loss of activity. Avoid repeated freeze-thaw cycles.
STABILITY
The thermal stability is described by the loss rate. The loss rate was determined by accelerated thermal degradation test, that is, incubate the protein at 37°C for 48h, and no obvious degradation and precipitation were observed. The loss rate is less than 5% within the expiration date under appropriate storage condition.
GIVEAWAYS
INCREMENT SERVICES
-
Antibody Labeling Customized Service
-
Protein A/G Purification Column
-
Staining Solution for Cells and Tissue
-
Positive Control for Antibody
-
Tissue/Sections Customized Service
-
Phosphorylated Antibody Customized Service
-
Western Blot (WB) Experiment Service
-
Immunohistochemistry (IHC) Experiment Service
-
Immunocytochemistry (ICC) Experiment Service
-
Flow Cytometry (FCM) Experiment Service
-
Immunoprecipitation (IP) Experiment Service
-
Immunofluorescence (IF) Experiment Service
-
Buffer
-
DAB Chromogen Kit
-
SABC Kit
-
Long-arm Biotin Labeling Kit
-
Real Time PCR Experimental Service
| Magazine | Citations |
| Digestive Diseases and Sciences | Fatty Liver Is Associated with Recurrent Bacterial Infections Independent of Metabolic Syndrome PubMed: 20205513 |
| Clinica Chimica Acta | Persistent elevation of paraoxonase-1 specific enzyme activity after weight reduction in obese non-diabetic men with metabolic syndrome PubMed: 21704607 |
| Journal of Laparoendoscopic & Advanced Surgical Techniques | Combined Serum Proteomic and Metabonomic Profiling After Laparoscopic Sleeve Gastrectomy in Children and Adolescents Wiley: source |
| PLoS One. | High density lipoprotein structural changes and drug response in lipidomic profiles following the long-term fenofibrate therapy in the FIELD substudy PubMed: 21887280 |
| Atherosclerosis | Macrophage cholesterol efflux to plasma and HDL in subjects with low and high homocysteine levels: a FIELD substudy PubMed: 21696738 |
| Lipids in Health and Disease | Beneficial effects of omega-3 fatty acids in the proteome of high-density lipoprotein proteome PubMed: PMC3480889 |
| British Journal of Nutrition | Extra-virgin olive oil consumption reduces the age-related decrease in HDL and paraoxonase 1 anti-inflammatory activities Pubmed: 23510814 |
| Diabetes & Metabolic Syndrome | Paraoxonase 1: A better atherosclerotic risk predictor than HDL in type 2 diabetes mellitus Pubmed: 23680251 |
| Redox Report | Paraoxonase responses to exercise and niacin therapy in men with metabolic syndrome Pubmed:25180827 |
| Toxicol Ind Health. | Influence of α-tocopherol and α-lipoic acid on bisphenol-A-induced oxidative damage in liver and ovarian tissue of rats Pubmed:25548375 |
| RETOS. Nuevas Tendencias en Educación Física, Deporte y Recreación | A single session of aerobic exercise influences paraoxonase 1 activity and concentration Articulo: 345738764042 |
| PLoS One | Plasma Protein Biomarkers of Hepatocellular Carcinoma in HCV-Infected Alcoholic Patients with Cirrhosis PubMed: 25789864 |
| Renal Failure | Association of lipid profile with serum PON1 concentration in patients with chronic kidney disease Pubmed:26888625 |
| Pharmacological reports | The Role of PON-1, GR, IL-18, and oxLDL in Depression With and Without Posttraumatic Stress Disorder science:article |
| Clinical and Experimental Hypertension | Association of paraoxonase 1 (PON1) gene polymorphisms and concentration with essential hypertension pubmed:27668323 |
| Diabetes & Metabolic Syndrome: Clinical Research & Reviews | Paraoxonase-1 is a better indicator than HDL of Atherosclerosis-A pilot Study in North Indian population pubmed:29254890 |
| Diabetes/Metabolism Research and Reviews | A Case-control Study: The Association of Serum Paraoxonase 1 Activity and Concentration with the Development of Type 2 Diabetes Mellitus pubmed:29156090 |
| Journal of Chromatography A | Application of a new procedure for liquid chromatography/mass spectrometry profiling of plasma amino acid-related metabolites and untargeted shotgun proteomics to identify mechanisms and biomarkers of calcific aortic stenosis S0021967317311858 |
| Pharmacological Reports | The role of PON-1, GR, IL-18, and OxLDL in depression with and without posttraumatic stress disorder. pubmed:28623707 |
| American Journal of Food Science and Health | Palm Wine and Orijin Bitters Severed Hyperlipidemia and Immunomodulatory Responses in Atherogenic-diet Fed Male Wistar Rats ISSN: 2381-7224 |
| Metabolic brain disease | Individuals with autism have higher 8-Iso-PGF2α levels than controls, but no correlation with quantitative assay of Paraoxonase 1 serum levels pubmed:28808839 |
| Therapeutic Apheresis And Dialysis | Serum Endocan Levels are Associated With Paraoxonase 1 Concentration in Patients With Chronic Kidney Disease Pubmed:29368426 |
| Biological Trace Element Research | Effect of Aqueous Extract of Glycyrrhiza glabra on the Biochemical Changes Induced by Cadmium Chloride in Rats Pubmed: 30251228 |
| GLYCOCONJUGATE JOURNAL | Identification a novel clinical biomarker in early diagnosis of human non-small cell lung cancer Pubmed: 30607521 |
| Hematology. | Differentially expressed plasma proteins of β-thalassemia/hemoglobin E patients in response to curcuminoids/vitamin E antioxidant cocktails Pubmed: 30661467 |
| Proteomics Clinical Applications | Comparative proteomics analysis of serum proteins in gestational diabetes during early and middle stages of pregnancy Pubmed: 31162828 |
| Environment International | Toxicity assessment due to prenatal and lactational exposure to lead, cadmium and mercury mixtures Pubmed: 31639605 |
| Nutrition, Metabolism and Cardiovascular Diseases | Phenotypes and concentration of PON1 in cardiovascular disease: the role of nutrient intake Pubmed: 31757567 |
| Environment International | Estimating renal and hepatic clearance rates of organophosphate esters in humans: Impacts of intrinsic metabolism and binding affinity with plasma proteins Pubmed: 31783242 |
| RESPIRATORY RESEARCH | The HDL from septic-ARDS patients with composition changes exacerbates pulmonary endothelial dysfunction and acute lung injury induced by cecal ligation … Pubmed: 33148285 |
| CLINICAL RHEUMATOLOGY | PON-1 haplotype (-108C> T, L55M, and Q192R) modulates the serum levels and activity PONase promoting an atherogenic lipid profile in rheumatoid arthritis patients Pubmed: 32556934 |
| respiratory research | The adverse alterations of HDL in quality promote septic ARDS via exacerbated pulmonary endothelial dysfunction |
| J Transl Med | Multi-omic signatures of atherogenic dyslipidaemia: pre-clinical target identification and validation in humans 33407555 |
| PLoS One | Vitamin D status and systemic redox biomarkers in adults with obesity 30973911 |
| Oxid Med Cell Longev | Repetitions of Strenuous Exercise Consistently Increase Paraoxonase 1 Concentration and Activity in Plasma of Average-Trained Men 34917230 |
| Catalog No. | Related products for research use of Mus musculus (Mouse) Organism species | Applications (RESEARCH USE ONLY!) |
| RPA243Mu01 | Recombinant Paraoxonase 1 (PON1) | Positive Control; Immunogen; SDS-PAGE; WB. |
| RPA243Mu02 | Recombinant Paraoxonase 1 (PON1) | Positive Control; Immunogen; SDS-PAGE; WB. |
| EPA243Mu61 | Eukaryotic Paraoxonase 1 (PON1) | Positive Control; Immunogen; SDS-PAGE; WB. |
| PAA243Mu01 | Polyclonal Antibody to Paraoxonase 1 (PON1) | WB; IHC; ICC/IF |
| PAA243Mu02 | Polyclonal Antibody to Paraoxonase 1 (PON1) | WB; IHC; ICC/IF |
| LAA243Mu71 | Biotin-Linked Polyclonal Antibody to Paraoxonase 1 (PON1) | WB; IHC; ICC. |
| SEA243Mu | ELISA Kit for Paraoxonase 1 (PON1) | Enzyme-linked immunosorbent assay for Antigen Detection. |
| LMA243Mu | Multiplex Assay Kit for Paraoxonase 1 (PON1) ,etc. by FLIA (Flow Luminescence Immunoassay) | FLIA Kit for Antigen Detection. |
| KSA243Mu01 | ELISA Kit DIY Materials for Paraoxonase 1 (PON1) | Main materials for "Do It (ELISA Kit) Yourself". |

