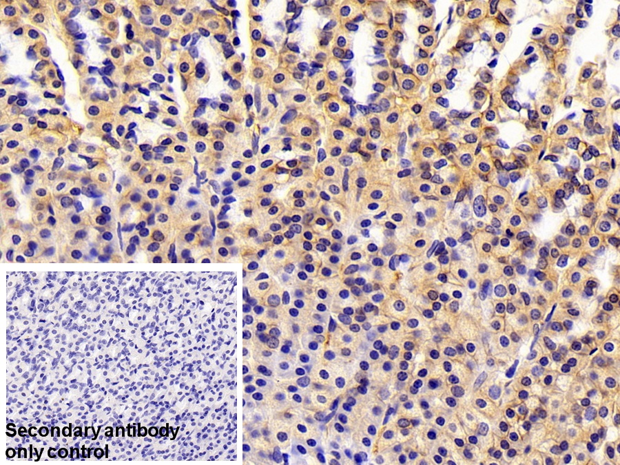
Polyclonal Antibody to Alpha-Fodrin (SPTAN1)
SPTAN1; NEAS; (ALPHA)II-SPECTRIN; Spectrin Alpha Non-Erythrocytic 1; Spectrin Alpha Chain,Brain; Spectrin, non-erythroid alpha subunit
- Product No.PAA292Hu01
- Organism SpeciesHomo sapiens (Human) Same name, Different species.
- SourcePolyclonal antibody preparation
- HostRabbit
- Potencyn/a
- Ig Type IgG
- PurificationAntigen-specific affinity chromatography followed by Protein A affinity chromatography
- LabelNone
- Immunogen RPA292Hu01-Recombinant Alpha-Fodrin (SPTAN1)
- Buffer FormulationPBS, pH7.4, containing 0.02% NaN3, 50% glycerol.
- TraitsLiquid
- Concentration0.24mg/ml
- Organism Species MoreRattus norvegicus (Rat), Sus scrofa; Porcine (Pig)
- ApplicationsWB; IHC
If the antibody is used in flow cytometry, please check FCM antibodies. - DownloadInstruction Manual
- UOM 20µl100µl 200µl 1ml 10ml
- FOB
US$ 95
US$ 221
US$ 316
US$ 790
US$ 3160
For more details, please contact local distributors!
SPECIFITY
The antibody is a rabbit polyclonal antibody raised against SPTAN1. It has been selected for its ability to recognize SPTAN1 in immunohistochemical staining and western blotting.
USAGE
Western blotting: 0.01-5µg/mL
Immunohistochemistry: 5-20µg/mL
Immunocytochemistry: 5-20µg/mL
Optimal working dilutions must be determined by end user.
STORAGE
Store at 4°C for frequent use. Stored at -20°C in a manual defrost freezer for two year without detectable loss of activity. Avoid repeated freeze-thaw cycles.
STABILITY
The thermal stability is described by the loss rate. The loss rate was determined by accelerated thermal degradation test, that is, incubate the protein at 37°C for 48h, and no obvious degradation and precipitation were observed. The loss rate is less than 5% within the expiration date under appropriate storage condition.
GIVEAWAYS
INCREMENT SERVICES
-
Antibody Labeling Customized Service
-
Protein A/G Purification Column
-
Staining Solution for Cells and Tissue
-
Positive Control for Antibody
-
Tissue/Sections Customized Service
-
Phosphorylated Antibody Customized Service
-
Western Blot (WB) Experiment Service
-
Immunohistochemistry (IHC) Experiment Service
-
Immunocytochemistry (ICC) Experiment Service
-
Flow Cytometry (FCM) Experiment Service
-
Immunoprecipitation (IP) Experiment Service
-
Immunofluorescence (IF) Experiment Service
-
Buffer
-
DAB Chromogen Kit
-
SABC Kit
-
Long-arm Biotin Labeling Kit
-
Real Time PCR Experimental Service
| Magazine | Citations |
| Clinical & Experimental Immunology | Activation of plasmacytoid dendritic cells by apoptotic particles–mechanism for the loss of immunological tolerance in Sjögren's syndrome pubmed:29105068 |
| Catalog No. | Related products for research use of Homo sapiens (Human) Organism species | Applications (RESEARCH USE ONLY!) |
| RPA292Hu02 | Recombinant Alpha-Fodrin (SPTAN1) | Positive Control; Immunogen; SDS-PAGE; WB. |
| RPA292Hu01 | Recombinant Alpha-Fodrin (SPTAN1) | Positive Control; Immunogen; SDS-PAGE; WB. |
| RPA292Hu03 | Recombinant Alpha-Fodrin (SPTAN1) | Positive Control; Immunogen; SDS-PAGE; WB. |
| PAA292Hu01 | Polyclonal Antibody to Alpha-Fodrin (SPTAN1) | WB; IHC |
| PAA292Hu03 | Polyclonal Antibody to Alpha-Fodrin (SPTAN1) | WB |
| PAA292Hu02 | Polyclonal Antibody to Alpha-Fodrin (SPTAN1) | WB; IHC |
| LAA292Hu71 | Biotin-Linked Polyclonal Antibody to Alpha-Fodrin (SPTAN1) | WB |
| LAA292Hu81 | FITC-Linked Polyclonal Antibody to Alpha-Fodrin (SPTAN1) | WB; IHC; ICC; IF. |
| MAA292Hu22 | Monoclonal Antibody to Alpha-Fodrin (SPTAN1) | WB; IHC; ICC; IP. |

