Polyclonal Antibody to Apolipoprotein H (APOH)
Apo-H; B2G1; BG; B2-GP1; B2GP1; Autoantigen β2 GP I; Previously; Beta 2 Glycoprotein 1; APC inhibitor; Activated protein C-binding protein; Anticardiolipin cofactor; Beta-2-GPI
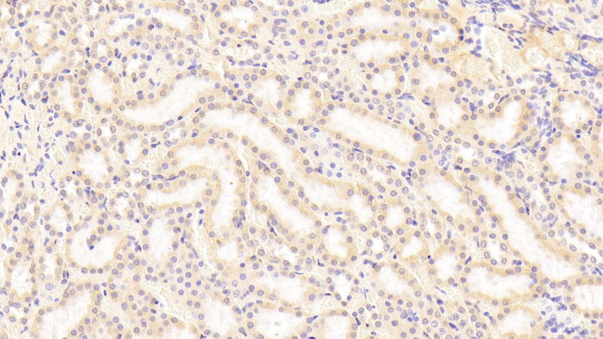
- Product No.PAA310Ra01
- Organism SpeciesRattus norvegicus (Rat) Same name, Different species.
- SourcePolyclonal antibody preparation
- HostRabbit
- Potencyn/a
- Ig Type IgG
- PurificationAntigen-specific affinity chromatography followed by Protein A affinity chromatography
- LabelNone
- Immunogen n/a
- Buffer FormulationPBS, pH7.4, containing 0.01% SKL, 1mM DTT, 5% Trehalose and Proclin300.
- TraitsLiquid
- Concentration500µg/mL
- Organism Species Moren/a
- ApplicationsWB; IHC
If the antibody is used in flow cytometry, please check FCM antibodies. - DownloadInstruction Manual
- UOM 20µl100µl 200µl 1ml 10ml
- FOB
US$ 103
US$ 239
US$ 342
US$ 855
US$ 3420
For more details, please contact local distributors!
SPECIFITY
The antibody is a rabbit polyclonal antibody raised against APOH. It has been selected for its ability to recognize APOH in immunohistochemical staining and western blotting.
USAGE
Western blotting: 0.2-2µg/mL;1:250-2500
Immunohistochemistry: 5-20µg/mL;1:25-100
Immunocytochemistry: 5-20µg/mL;1:25-100
Optimal working dilutions must be determined by end user.
STORAGE
Store at 4°C for frequent use. Stored at -20°C in a manual defrost freezer for two year without detectable loss of activity. Avoid repeated freeze-thaw cycles.
STABILITY
The thermal stability is described by the loss rate. The loss rate was determined by accelerated thermal degradation test, that is, incubate the protein at 37°C for 48h, and no obvious degradation and precipitation were observed. The loss rate is less than 5% within the expiration date under appropriate storage condition.
GIVEAWAYS
INCREMENT SERVICES
-
Antibody Labeling Customized Service
-
Protein A/G Purification Column
-
Staining Solution for Cells and Tissue
-
Positive Control for Antibody
-
Tissue/Sections Customized Service
-
Phosphorylated Antibody Customized Service
-
Western Blot (WB) Experiment Service
-
Immunohistochemistry (IHC) Experiment Service
-
Immunocytochemistry (ICC) Experiment Service
-
Flow Cytometry (FCM) Experiment Service
-
Immunoprecipitation (IP) Experiment Service
-
Immunofluorescence (IF) Experiment Service
-
Buffer
-
DAB Chromogen Kit
-
SABC Kit
-
Long-arm Biotin Labeling Kit
-
Real Time PCR Experimental Service
| Magazine | Citations |
| Electrophoresis | Contamination of therapeutic human immunoglobulin preparations with apolipoprotein H (β2-glycoprotein I) Pubmed: 24132587 |
| International Journal of Clinical and Experimental Pathology | Beta2-Glycoprotein I in Hepatitis B virus infection patients with hepatocellular carcinoma, chronic hepatitis B and acute hepatitis B files:ijcep0036317.pdf |
| Catalog No. | Related products for research use of Rattus norvegicus (Rat) Organism species | Applications (RESEARCH USE ONLY!) |
| RPA310Ra01 | Recombinant Apolipoprotein H (APOH) | Positive Control; Immunogen; SDS-PAGE; WB. |
| PAA310Ra01 | Polyclonal Antibody to Apolipoprotein H (APOH) | WB; IHC |
| MAA310Ra21 | Monoclonal Antibody to Apolipoprotein H (APOH) | WB; IHC; ICC; IP. |
| SEA310Ra | ELISA Kit for Apolipoprotein H (APOH) | Enzyme-linked immunosorbent assay for Antigen Detection. |
| LMA310Ra | Multiplex Assay Kit for Apolipoprotein H (APOH) ,etc. by FLIA (Flow Luminescence Immunoassay) | FLIA Kit for Antigen Detection. |

