Polyclonal Antibody to Platelet/Endothelial Cell Adhesion Molecule (PECAM1)
CD31; EndoCAM; GPIIA'; PECA1
- Product No.PAA363Hu06
- Organism SpeciesHomo sapiens (Human) Same name, Different species.
- SourcePolyclonal antibody preparation
- HostRabbit
- Potencyn/a
- Ig Type IgG
- PurificationAntigen-specific affinity chromatography followed by Protein A affinity chromatography
- LabelNone
- Immunogen n/a
- Buffer FormulationPBS, pH7.4, containing 0.02% NaN3, 50% glycerol.
- TraitsLiquid
- Concentration500µg/mL
- Organism Species Moren/a
- ApplicationsWB
 If the antibody is used in flow cytometry, please check FCM antibodies.
- Downloadn/a
- UOM 20µl100µl 200µl 1ml 10ml
- FOB
    
                                    US$  
            
                
                        US$  
                                        US$  
                                        US$  
                                        US$  
                            
 For more details, please contact local distributors!
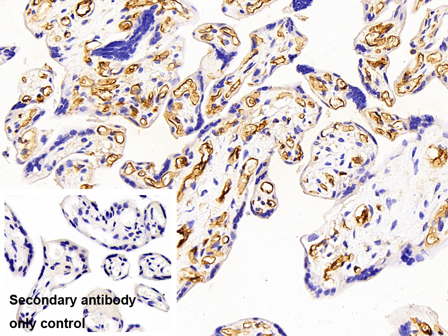
SPECIFITY
The antibody is a rabbit polyclonal antibody raised against PECAM1. It has been selected for its ability to recognize PECAM1 in immunohistochemical staining and western blotting.
USAGE
        Western blotting: 0.1-2µg/mL;
Immunohistochemistry: 5-20µg/mL;
Immunocytochemistry: 5-20µg/mL;
Optimal working dilutions must be determined by end user.    
STORAGE
Store at 4°C for frequent use. Stored at -20°C in a manual defrost freezer for two year without detectable loss of activity. Avoid repeated freeze-thaw cycles.
STABILITY
The thermal stability is described by the loss rate. The loss rate was determined by accelerated thermal degradation test, that is, incubate the protein at 37°C for 48h, and no obvious degradation and precipitation were observed. The loss rate is less than 5% within the expiration date under appropriate storage condition.
GIVEAWAYS
INCREMENT SERVICES
- 
                     Antibody Labeling Customized Service Antibody Labeling Customized Service
- 
                     Protein A/G Purification Column Protein A/G Purification Column
- 
                     Staining Solution for Cells and Tissue Staining Solution for Cells and Tissue
- 
                     Positive Control  for Antibody Positive Control  for Antibody
- 
                     Tissue/Sections Customized Service Tissue/Sections Customized Service
- 
                     Phosphorylated Antibody Customized Service Phosphorylated Antibody Customized Service
- 
                     Western Blot (WB) Experiment Service Western Blot (WB) Experiment Service
- 
                     Immunohistochemistry (IHC) Experiment Service Immunohistochemistry (IHC) Experiment Service
- 
                     Immunocytochemistry (ICC) Experiment Service Immunocytochemistry (ICC) Experiment Service
- 
                     Flow Cytometry (FCM) Experiment Service Flow Cytometry (FCM) Experiment Service
- 
                     Immunoprecipitation (IP) Experiment Service Immunoprecipitation (IP) Experiment Service
- 
                     Immunofluorescence (IF) Experiment Service Immunofluorescence (IF) Experiment Service
- 
                     Buffer Buffer
- 
                     DAB Chromogen Kit DAB Chromogen Kit
- 
                     SABC Kit SABC Kit
- 
                     Long-arm Biotin Labeling Kit Long-arm Biotin Labeling Kit
- 
                     Real Time PCR Experimental Service Real Time PCR Experimental Service
| Magazine | Citations | 
| BioMed research international | Endothelial gene expression and molecular changes in response to radiosurgery in in vitro and in vivo models of cerebral arteriovenous malformations Pubmed: 24199192 | 
 
         
 
                            
 
    