Polyclonal Antibody to Vasoactive Intestinal Peptide (VIP)
PHM27; Intestinal peptide PHV-42; Peptide histidine valine 42; Peptide histidine methioninamide 27
- Product No.PAA380Mu01
- Organism SpeciesMus musculus (Mouse) Same name, Different species.
- SourcePolyclonal antibody preparation
- HostRabbit
- Potencyn/a
- Ig Type IgG
- PurificationAntigen-specific affinity chromatography followed by Protein A affinity chromatography
- LabelNone
- Immunogen RPA380Mu01-Recombinant Vasoactive Intestinal Peptide (VIP)
- Buffer FormulationPBS, pH7.4, containing 0.02% NaN3, 50% glycerol.
- TraitsLiquid
- Concentration0.25mg/mL
- Organism Species Moren/a
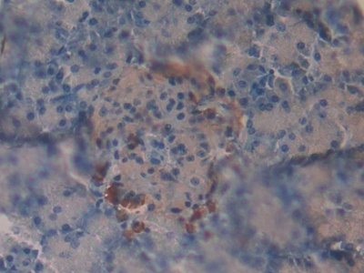
- ApplicationsIHC
If the antibody is used in flow cytometry, please check FCM antibodies. - DownloadInstruction Manual
- UOM 20µl100µl 200µl 1ml 10ml
- FOB
US$ 97
US$ 227
US$ 324
US$ 810
US$ 3240
For more details, please contact local distributors!
SPECIFITY
The antibody is a rabbit polyclonal antibody raised against VIP. It has been selected for its ability to recognize VIP in immunohistochemical staining and western blotting.
USAGE
Immunohistochemistry: 5-20µg/mL;
Optimal working dilutions must be determined by end user.
STORAGE
Store at 4°C for frequent use. Stored at -20°C in a manual defrost freezer for two year without detectable loss of activity. Avoid repeated freeze-thaw cycles.
STABILITY
The thermal stability is described by the loss rate. The loss rate was determined by accelerated thermal degradation test, that is, incubate the protein at 37°C for 48h, and no obvious degradation and precipitation were observed. The loss rate is less than 5% within the expiration date under appropriate storage condition.
GIVEAWAYS
INCREMENT SERVICES
-
Antibody Labeling Customized Service
-
Protein A/G Purification Column
-
Staining Solution for Cells and Tissue
-
Positive Control for Antibody
-
Tissue/Sections Customized Service
-
Phosphorylated Antibody Customized Service
-
Western Blot (WB) Experiment Service
-
Immunohistochemistry (IHC) Experiment Service
-
Immunocytochemistry (ICC) Experiment Service
-
Flow Cytometry (FCM) Experiment Service
-
Immunoprecipitation (IP) Experiment Service
-
Immunofluorescence (IF) Experiment Service
-
Buffer
-
DAB Chromogen Kit
-
SABC Kit
-
Long-arm Biotin Labeling Kit
-
Real Time PCR Experimental Service
| Magazine | Citations |
| Clinical Genetics | VIP gene variants related to idiopathic pulmonary arterial hypertension in Chinese population Wiley: source |
| Human immunology | Low levels of vasoactive intestinal peptide are associated with Chagas disease cardiomyopathy Pubmed: 23800435 |
| Headache: The Journal of Head and Face Pain | CGRP and VIP Levels as Predictors of Efficacy of Onabotulinumtoxin Type A in Chronic Migraine Onlinelibrary: head.12372 |
| World J Gastroenterol | Roles of sphincter of Oddi motility and serum vasoactive intestinal peptide, gastrin and cholecystokinin octapeptide NCBI: PMC4000510 |
| Cephalalgia? | Increased VIP levels in peripheral blood outside migraine attacks as a potential biomarker of cranial parasympathetic activation in chronic migraine Pubmed:24847167 |
| J Huazhong Univ Sci Technolog Med Sci. | Clinical study of electro-acupuncture treatment with different intensities for functional constipation patients Pubmed:25318892 |
| PLOS ONE | Aqueous Fraction of Beta vulgaris Ameliorates Hyperglycemia in Diabetic Mice due to Enhanced Glucose Stimulated Insulin Secretion, Mediated by Acetylcholine and GLP-1, and Elevated Glucose Uptake via Increased Membrane Bound GLUT4 Transporters Pubmed:25647228 |
| PLOS ONE | Aqueous Fraction of PubMed: 25647228 |
| Pharmacol Res | Oral curcumin has anti-arthritic efficacy through somatostatin generation PubMed: 25836921 |
| World J Gastroenterol | Effects of sphincter of Oddi motility on the formation of cholesterol gallstones Pubmed:27350732 |
| Annals of Allergy, Asthma and Immunology | Effect of acupuncture on house dust mite specific IgE, substance P, and symptoms in persistent allergic rhinitis Pubmed:27156748 |
| Cephalalgia. | Relationship between serum levels of VIP, but not of CGRP, and cranial autonomic parasympathetic symptoms: A study in chronic migraine patients Pubmed:27250233 |
| Headache | No Change in Interictal PACAP Levels in Peripheral Blood in Women With Chronic Migraine pubmed:27634731 |
| Sci Rep. | Using the "target constituent removal combined with bioactivity assay" strategy to investigate the optimum arecoline content in charred areca nut. pubmed:28054652 |
| BMC Complementary and Alternative Medicine | [6]-Gingerol, from Zingiber officinale, potentiates GLP-1 mediated glucose-stimulated insulin secretion pathway in pancreatic β-cells and increases RAB8/RAB10-regulated membrane presentation of GLUT4 transporters in skeletal muscle to improve hyperglycemia in Leprdb/db type 2 diabetic mice 10.1186/s12906-017-1903-0 |
| Applied Biological Chemistry | Positive enhancement of Lactobacillus fermentum HY01 on intestinal movements of mice having constipation 10.1007/s13765-017-0327-3 |
| Journal of Periodontology | Salivary neuropeptides, stress, and periodontitis Pubmed:28914594 |
| Evidence-Based Complementary and Alternative Medicine | Home-Based Transcutaneous Neuromodulation Improved Constipation via Modulating Gastrointestinal Hormones and Bile Acids Pubmed:29853946 |
| Revista do Instituto de Medicina Tropical de São Paulo | Vasoactive intestinal peptide degradation might influence Interleukin-17 expression in cardiac chagasic patients Pubmed: 30365640 |
| Journal of Veterinary Science | Serum Levels of Neuropeptides in Cows with Left Abomasal Displacement Pubmed: 30562932 |
| Science of Food and Agriculture | Protective Effect of Silkworm Pupa Oil on Hydrochloric Acid/Ethanol‐Induced Gastric Ulcer Pubmed: 30479041 |
| MOLECULAR BIOLOGY REPORTS | Serum CGRP, VIP, and PACAP usefulness in migraine: a case–control study in chronic migraine patients in real clinical practice Pubmed: 32951099 |
| Journal of Cystic Fibrosis | Disrupted local innervation results in less VIP expression in CF mice tissues Pubmed: 32600901 |
| Biomedical Journal of Scientific & Technical Research | Anti-Inflammatory and Pro-Inflammatory Neuropeptides in Dilative Cardiomyopathy are there Relations to Psychophysical Stress? |
| Journal of tranditional chinese medical sciences | Ganjiang granule regulates cecal microflora and serum biochemical components in a rat model of constipation-predominant irritable bowel syndrome |
| J Cyst Fibros | VIP reduction in the pancreas of F508del homozygous CF mice and early signs of Cystic Fibrosis Related Diabetes (CFRD) 34034984 |
| Neurol Sci | Significance of serum VIP and PACAP in multiple sclerosis: an exploratory case–control study 34698942 |
| Endocr J | A clinical analysis on functioning pancreatic neuroendocrine tumors (focusing on VIPomas): a single-center experience Pubmed:35644576 |
| Catalog No. | Related products for research use of Mus musculus (Mouse) Organism species | Applications (RESEARCH USE ONLY!) |
| RPA380Mu01 | Recombinant Vasoactive Intestinal Peptide (VIP) | Positive Control; Immunogen; SDS-PAGE; WB. |
| RPA380Mu02 | Recombinant Vasoactive Intestinal Peptide (VIP) | Positive Control; Immunogen; SDS-PAGE; WB. |
| PAA380Mu02 | Polyclonal Antibody to Vasoactive Intestinal Peptide (VIP) | WB; IHC; ICC; IP. |
| PAA380Mu01 | Polyclonal Antibody to Vasoactive Intestinal Peptide (VIP) | IHC |
| CEA380Mu | ELISA Kit for Vasoactive Intestinal Peptide (VIP) | Enzyme-linked immunosorbent assay for Antigen Detection. |
| LMA380Mu | Multiplex Assay Kit for Vasoactive Intestinal Peptide (VIP) ,etc. by FLIA (Flow Luminescence Immunoassay) | FLIA Kit for Antigen Detection. |
| KSA380Mu11 | ELISA Kit DIY Materials for Vasoactive Intestinal Peptide (VIP) | Main materials for "Do It (ELISA Kit) Yourself". |

