Polyclonal Antibody to Insulin (INS)
- Product No.PAA448Mu02
- Organism SpeciesMus musculus (Mouse) Same name, Different species.
- SourcePolyclonal antibody preparation
- HostRabbit
- Potencyn/a
- Ig Type IgG
- PurificationAntigen-specific affinity chromatography followed by Protein A affinity chromatography
- LabelNone
- Immunogen RPA448Mu01-Recombinant Insulin (INS)
- Buffer Formulation0.01M PBS, pH7.4, containing 0.05% Proclin-300, 50% glycerol.
- TraitsLiquid
- Concentration0.5mg/mL
- Organism Species MoreRattus norvegicus (Rat)
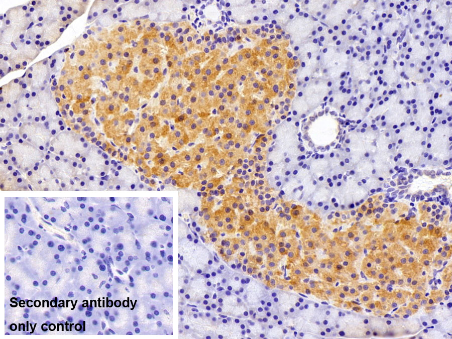
- ApplicationsWB; IHC
If the antibody is used in flow cytometry, please check FCM antibodies. - DownloadInstruction Manual
- UOM 20µl100µl 200µl 1ml 10ml
- FOB
US$ 97
US$ 227
US$ 324
US$ 810
US$ 3240
For more details, please contact local distributors!
SPECIFITY
The antibody is a rabbit polyclonal antibody raised against INS. It has been selected for its ability to recognize INS in immunohistochemical staining and western blotting.
USAGE
Western blotting: 0.01-2µg/mL;
Immunohistochemistry: 5-20µg/mL;
Optimal working dilutions must be determined by end user.
STORAGE
Store at 4°C for frequent use. Stored at -20°C in a manual defrost freezer for two year without detectable loss of activity. Avoid repeated freeze-thaw cycles.
STABILITY
The thermal stability is described by the loss rate. The loss rate was determined by accelerated thermal degradation test, that is, incubate the protein at 37°C for 48h, and no obvious degradation and precipitation were observed. The loss rate is less than 5% within the expiration date under appropriate storage condition.
GIVEAWAYS
INCREMENT SERVICES
-
Antibody Labeling Customized Service
-
Protein A/G Purification Column
-
Staining Solution for Cells and Tissue
-
Positive Control for Antibody
-
Tissue/Sections Customized Service
-
Phosphorylated Antibody Customized Service
-
Western Blot (WB) Experiment Service
-
Immunohistochemistry (IHC) Experiment Service
-
Immunocytochemistry (ICC) Experiment Service
-
Flow Cytometry (FCM) Experiment Service
-
Immunoprecipitation (IP) Experiment Service
-
Immunofluorescence (IF) Experiment Service
-
Buffer
-
DAB Chromogen Kit
-
SABC Kit
-
Long-arm Biotin Labeling Kit
-
Real Time PCR Experimental Service
| Magazine | Citations |
| Neuroscience Research | Impaired neural stem/progenitor cell proliferation in Streptozotocin-induced and spontaneous diabetic mice PubMed: 20832431 |
| International Journal of Nanomedicine | Nicotinamide-functionalized multiwalled carbon nanotubes increase insulin production in pancreatic beta cells via MIF pathway PubMed: PMC3770514 |
| Mediators of Inflammation | Metformin Inhibits Expression and Secretion of PEDF in Adipocyte and Hepatocyte via Promoting AMPK Phosphorylation Pubmed: 24288442 |
| American Journal of Research Communication | Polo Like Kinase 1 (Plk1) Expression in Visceral Adipose Tissue of Morbidly Obese Non Diabetic Women Usa-journals: Source |
| Nutr Hosp. | Effect of the “protein diet” and bone tissue. Pubmed: 24483972 |
| Endocrinology | Rosiglitazone Inhibits Expression and Secretion of PEDF in Adipose Tissue and Liver of Male SD Rats Via a PPAR-γ Independent Mechanism Endocrine: Source |
| CORRELA??ES ENTRE METABóLITOS E HORM?NIOS NO PERíODO DE TRANSI??O DE VACAS DE CORTE DE DIFERENTES GENóTIPOS CRIADAS NO SUL DO BRASIL Cnptia:Source | |
| CONCENTRA??ES SéRICAS DE INSULINA NO PóS-PARTO RECENTE DE VACAS DE CORTE DE DIFERENTES GENóTIPOS CRIADAS NO SUL DO BRASIL Alice:Source | |
| Evid Based Complement Alternat Med. | Tinospora crispa Ameliorates Insulin Resistance Induced by High Fat Diet in Wistar Rats Pubmed:Pmc4363645 |
| Iran J Basic Med Sci | Zataria multiflora increases insulin sensitivity and PPARγ gene expression in high fructose fed insulin resistant rats Pubmed:Pmc4046234 |
| Biometals.? | Perinatal low-dose iron treatment influences susceptibility to diet-induced adipogenesis in early-aged male Wistar rats Pubmed:24519243 |
| Asian Pac J Cancer Prev. | Effect of NUCKS-1 Overexpression on cytokine profiling in obese women with breast cancer Pubmed:24568505 |
| J Ethnopharmacol.? | Antioxidative effects of Korean red ginseng in postmenopausal women: A double-blind randomized controlled trial Pubmed:24814037 |
| Obes Surg | Effect of Sleeve Gastrectomy Plus Side-to-Side Jejunoileal Anastomosis for Type 2 Diabetes Control in an Obese Rat Model PubMed: 26202420 |
| Evid Based Complement Alternat Med | Tinospora crispa PubMed: 25821506 |
| international journal of biological and chemical sciences | Taraxacum officinale Index.Php: Ijbcs |
| FPO | IDENTIFICATION OF MODULATORS OF BINDING PROPERTIES OF ANTIBODIES REACTIVE WITH A MEMBER OF THE INSULIN RECEPTOR FAMILY Y2015: 0301040.Html |
| Nutrition | Structural and functional abnormalities of hepatic tissues in male Wistar rats fed hyperwhey and super amino anabolic protein Pubmed:27158055 |
| European Journal of Pharmacology | Subcutaneous administration of liraglutide ameliorates learning and memory impairment by modulating tau hyperphosphorylation via the glycogen synthase kinase-3尾 pathway in an amyloid 尾 protein induced alzheimer disease mouse model Pubmed:27131827 |
| Archives of Physiology and Biochemistry | Improvement of oral contraceptive-induced glucose dysreCavia (Guinea pig )lation and dyslipidemia by valproic acid is independent of circulating corticosterone Pubmed:26855320 |
| Archives of Physiology and Biochemistry | Activation of cardiac renin–angiotensin system and plasminogen activator inhibitor-1 gene expressions in oral contraceptive-induced cardiometabolic disorder Pubmed:26934364 |
| Cell and Tissue Research | The dynamic three-dimensional culture of islet-like clusters in decellularized liver scaffolds Pubmed:26796204 |
| Adv Biomed Res. | Trigonella foenum-graecum water extract improves insulin sensitivity and stimulates PPAR and γ gene expression in high fructose-fed insulin-resistant rats pmc:PMC4817393 |
| Mech Ageing Dev. | Central injection of GALR1 agonist M617 attenuates diabetic rat skeletal muscle insulin resistance through the Akt/AS160/GLUT4 pathway Pubmed:27041232 |
| J Bone Miner Res | Fat and Sucrose Intake Induces Obesity‐Related Bone Metabolism Disturbances: Kinetic and Reversibility Studies in Growing and Adult Rats Pubmed:26175082 |
| Scientific Reports | Molecular characterization of insulin resistance and glycolytic metabolism in the rat uterus pubmed:27461373 |
| International Journal of Medical Research Professionals | Low Circulating Vaspin Level is not associated with Insulinemic Status in Impaired Glucose Tolerant Subjects profile:Muhammad_Saiedullah |
| Journal of Pharmacy and Nutrition Sciences | Metformin Reduces Oxidative Stress Status and Improves Plasma Insulin Level in Streptozotocin-Induced Diabetic Rats pms:index.php |
| 33 | Metformin Ameliorates Uterine Defects in a Rat Model of Polycystic Ovary Syndrome. pubmed:28336389 |
| Journal of Endocrinology and Metabolism | Circulating Betatrophin and Hepatocyte Growth Factor in Type 2 Diabetic Patients: Their Relationship With Disease Prognosis 405 |
| American Journal of Translational Research | Subcutaneous liraglutide ameliorates methylglyoxal-induced Alzheimer-like tau pathology and cognitive impairment by modulating tau hyperphosphorylation and glycogen synthase kinase-3β. pubmed:28337257 |
| Journal of Molecular and Cellular Cardiology | Irisin improves perivascular adipose tissue dysfunction via regulation of the heme oxygenase-1/adiponectin axis in diet-induced obese mice pubmed:27638193 |
| Scientific Reports | The anti-hyperglycemic efficacy of a lipid-lowering drug Daming capsule and the underlyingsignaling mechanisms in a rat model of diabetes mellitus. pubmed:27721485 |
| Scientific Reports | Adiponectin protects the rats liver against chronic intermittent hypoxia induced injury throughAMP-activated protein kinase pathway. pubmed:27678302 |
| Biomedicine & Pharmacotherapy | Vitamin D3 intake as regulator of insulin degrading enzyme and insulin receptor phosphorylationin diabetic rats. pubmed:27930980 |
| Eur Neuropsychopharmacol. | Regulation of insulin receptor phosphorylation in the brains of prenatally stressed rats: New insight into the benefits of antidepressant drug treatment. pubmed:28063625 |
| Molecular and Cellular Endocrinology | Baicalin against obesity and insulin resistance through activation of AKT/AS160/GLUT4 pathway pubmed:28359800 |
| Diabetologia | Ginsenoside Rg5 attenuates hepatic glucagon response via suppression of succinate-associated HIF-1α induction in HFD-fed mice pubmed:28280902 |
| Biochimica et Biophysica Acta (BBA)-General Subjects | Modulation of gut microbiota contributes to curcumin-mediated attenuation of hepatic steatosis in rats pubmed:28341485 |
| Journal of Diabetes Research | High plasma glucagon levels correlate with waist-to-hip ratio, supra-iliac skinfold thickness, deep subcutaneous abdominal and intra-peritoneal adipose tissue … 2376016.pdf |
| IRANIAN JOURNAL OF BASIC MEDICAL SCIENCES | Berberis integerrima ameliorates insulin resistance in high-fructose-fed insulin-resistant rats pubmed:29147484 |
| Journal of Functional Foods | Red paprika (Capsicum annuum L.) and its main carotenoid capsanthin ameliorate impaired lipid metabolism in the liver and adipose tissue of high-fat diet-induced obese mice 10.1016:j.jff.2017.01.044 |
| BMJ Open Diab Res Care | High circulating plasma dipeptidyl peptidase- 4 levels in non-obese Asian Indians with type 2 diabetes correlate with fasting insulin and LDL-C levels, triceps skinfolds, total intra-abdominal adipose tissue volume and presence of diabetes: a case–control study 10.1136:bmjdrc-2017-000393 |
| Archives of Oral Biology | Chronic high-protein diet induces oxidative stress and alters the salivary gland function in rats pubmed:28926744 |
| clinical and experimental pharmacology and physiology | C1q/TNF‐related protein 9 improves the anti‐contractile effects of perivascular adipose tissue via the AMPK‐eNOS pathway in diet‐induced obese mice pubmed:28902432 |
| Cellular Physiology and Biochemistry | Irisin Regulates Heme Oxygenase-1/ Adiponectin Axis in Perivascular Adipose Tissue and Improves Endothelial Dysfunction in Diet-Induced Obese Mice pubmed:28595178 |
| Peptides | Activiated Galanin receptor 2 attenuates insulin resistance in skeletal muscle of obese mice pubmed:29183756 |
| Journal of Diabetes Research | High Plasma Glucagon Levels Correlate with Waist-to-Hip Ratio, Suprailiac Skinfold Thickness, and Deep Subcutaneous Abdominal and Intraperitoneal Adipose Tissue Depots in Nonobese Asian Indian Males with Type 2 Diabetes in North India 10.1155/2017/2376016 |
| Mechanisms of Ageing and Development | Central injection of GALR1 agonist M617 attenuates diabetic rat skeletal muscle insulin resistance through the Akt/AS160/GLUT4 pathway pubmed:27041232 |
| Iranian Journal of Pharmaceutical Research | Antihyperglycemic Effect of Rosa Damascena is Mediated by PPAR.γ Gene Expression in Animal Model of Insulin Resistance pubmed:29201096 |
| Obesity Surgery | Effects of Bariatric Surgery on Change of Brown Adipocyte Tissue and Energy Metabolism in Obese Mice pubmed:28853013 |
| Journal of Current Medical Research and Practice | Relationship between serum leptin concentration and insulin resistance syndrome in patients with type 2 diabetes mellitus issn/2357-0121 |
| Nanomedicine (Lond) | Nanoformulated natural therapeutics for management of streptozotocin-induced diabetes: potential use of curcumin nanoformulation pubmed:28635562 |
| Journal of Inorganic Biochemistry | Synthesis and anti-diabetic activity of new N,N-dimethylphenylenediamine-derivatized nitrilotriacetic acid vanadyl complexes. pubmed:28709620 |
| Obesity surgery | The Effects of Duodenojejunal Omega Switch in Combination with High-Fat Diet and Control Diet on Incretins, Body Weight, and Glucose Tolerance in Sprague-Dawley Rats. pubmed:28840471 |
| Biochemical and Biophysical Research Communications | Adipose tissue complement factor B promotes adipocyte maturation. pubmed:29137982 |
| Oman Medical Journal | The Role of Insulin Therapy in Correcting Hepcidin Levels in Patients with Type 2 Diabetes Mellitus. pubmed:28584599 |
| International Journal of Molecular Medicine | Insulin restores UCP3 activity and decreases energy surfeit to alleviate lipotoxicity in skeletal muscle pubmed:29039450 |
| BMC Complementary and Alternative Medicine | Changes in pancreatic histology, insulin secretion and oxidative status in diabetic rats following treatment with Ficus deltoidea and vitexin pubmed:28576138 |
| Nutrients | Nypa fruticans Wurmb. Vinegar's Aqueous Extract Stimulates Insulin Secretion and Exerts Hepatoprotective Effect on STZ-Induced Diabetic Rats pubmed:28832548 |
| DARU Journal of Pharmaceutical Sciences | Beneficial effects of Heqi san on rat model of polycystic ovary syndrome through the PI3K/AKT pathway pubmed:29020999 |
| Journal of Traditional and Complementary Medicine | Improvement of spatial learning and memory, cortical gyrification patterns and brain oxidative stress markers in diabetic rats treated with Ficus deltoidea leaf extract and vitexin. pubmed:29322009 |
| World Journal of Pharmaceutical Sciences | The potential role of sitagliptin as an oral treatment regimen for type I diabetes mellitus ISSN: 2321-3086 |
| Journal of Endocrinology | Peripheral insulin resistance in ILK-depleted mice by reduction of GLUT4 expression. pubmed:28490443 |
| Nature Medicine | The deubiquitinating enzyme cylindromatosis mitigates nonalcoholic steatohepatitis Pubmed:29291351 |
| Surgery for Obesity and Related Diseases | The Effect of Distal-ileal Exclusion After Roux-en-Y Gastric Bypass on Glucose Tolerance and GLP-1 Response in Type-2 Diabetes Sprague-Dawley Rat Model 10.1016:j.soard.2018.07.009 |
| Obesity Surgery | Preserving Duodenal-Jejunal (Foregut) Transit Does Not Impair Glucose Tolerance and Diabetes Remission Following Gastric Bypass in Type 2 Diabetes Sprague … Pubmed:29098544 |
| Frontiers in Physiology | Ileal Transposition Surgery Decreases Fat Mass and Improves Glucose Metabolism in Diabetic GK Rats: Possible Involvement of FGF21 Pubmed:29593555 |
| Chemico-Biological Interactions | Crocin mediated amelioration of oxidative burden and inflammatory cascade suppresses diabetic nephropathy progression in diabetic rats Pubmed:29409856 |
| Journal of Dairy Science | Effects of dietary leucine and phenylalanine on pancreas development, enzyme activity, and relative gene expression in milk-fed Holstein dairy calves Pubmed:29477524 |
| Diabetes research and clinical practice | Beneficial effect of baicalin on insulin sensitivity in adipocytes of diet-induced obese mice Pubmed:29526684 |
| Beneficial Microbes | Anti-obesity properties of the strain subsp. CECT 8145 in Zücker fatty rats Pubmed:29695181 |
| Canadian Journal of Physiology and Pharmacology | Vildagliptin/pioglitazone combination improved the overall glycemic control in type I diabetic rats Pubmed:29510081 |
| Animal Feed Science and Technology | Effects of biotin and nicotinamide supplementation on glucose and lipid metabolism and milk production of transition dairy cows 10.1016:j.anifeedsci.2018.01.012 |
| Journal of Complementary and Integrative Medicine | Diet enriched with fresh coconut decreases blood glucose levels and body weight in normal adults Pubmed:29461972 |
| Experimental and Therapeutic Medicine | Liraglutide exerts a bone‑protective effect in ovariectomized rats with streptozotocin‑induced diabetes by inhibiting osteoclastogenesis Pubmed:29805533 |
| Pakistan Journal of Zoology | Effects of Intrauterine Growth Retardation on Growth, Meat Quality and Muscle Fiber Composition of Pigs. : |
| Oncotarget | Hyperandrogenism and insulin resistance contribute to hepatic steatosis and inflammation in female rat liver Pubmed:29719598 |
| Journal of King Saud University - Science | The protective effect of Azadirachta excelsa leaves extract and quercetin treatment on the learning and memory impairments in relation with insulin and amylin … 10.1016:j.jksus.2018.05.017 |
| Chinese Journal of Diabetes Mellitus | 组织蛋白酶G 在1 型糖尿病小鼠CD+ 4T 淋巴细胞活化过程中的作用. Ebscohost:Source |
| International Journal of Molecular Sciences | Effects of Acute Cold Stress on Liver O-GlcNAcylation and Glycometabolism in Mice Pubmed: 30231545 |
| Journal of Functional Foods | Transcriptomic analysis reveals effects of fucoxanthin on intestinal glucose transport Doi: 10.1016/j.jff.2018.08.018 |
| Future Medicine | Targeted folate-conjugated pluronic P85/poly(lactide--glycolide) polymersome for the oral delivery of insulin Doi: 10.2217/nnm-2017-0372 |
| Cellular Physiology and Biochemistry | Effect of Baicalein on GLUT4 Translocation in Adipocytes of Diet-Induced Obese Mice Pubmed: 30308480 |
| Experimental Gerontology | The decline of whole-body glucose metabolism in ovariectomized rats Pubmed: 30292771 |
| Neuroscience Bulletin | Intermedin in Paraventricular Nucleus Attenuates Sympathoexcitation and Decreases TLR4-Mediated Sympathetic Activation Adrenomedullin Receptors in Rats … Pubmed: 30276527 |
| Journal of Cellular Biochemistry | Alterations in lipid peroxidation, lipid profile, insulin sensitivity, and hepatic histopathological changes in diabetic rats following the treatment with Pubmed: 30270568 |
| Biological Rhythm Research | Effects of feeding frequency during lactation in primiparous sows on reproduction performance and diurnal rhythm of endocrine profiles at the weaning-to-ovulation … |
| Obesity Surgery | The Changes of Serum Metabolites in Diabetic GK Rats after Ileal Transposition Surgery Pubmed: 30397878 |
| Biochimie | Silencing of LncRNA Steroid Receptor RNA Activator attenuates polycystic ovary syndrome in Mice Pubmed: 30391287 |
| Archives of Medical Research | Geniposide and Gentiopicroside Suppress Hepatic Gluconeogenesis via Regulation of AKT-FOXO1 Pathway Pubmed: 30409503 |
| Biomedicine & Pharmacotherapy | Effects of lycopene on metabolism of glycolipid in type 2 diabetic rats Pubmed: 30551463 |
| Journal of Endocrinology | Uterine progesterone signaling is a target for metformin therapy in polycystic ovary syndrome Pubmed: 29535146 |
| West Indian Medical Journal | Plasma Cellular Hypoxia, Mitochondrial Dysfunction, Disease Risk and Prognostic Factors in Type 2 Diabetic Patients in Saudi Arabia. |
| Biomaterials Science | Enhanced oral absorption of insulin using colon-specific nanoparticles co-modified with amphiphilic chitosan derivatives and cell-penetrating peptides Pubmed: 30672923 |
| BIOCHIMICA ET BIOPHYSICA ACTA-MOLECULAR BASIS OF DISEASE | Treatment with celastrol protects against obesity through suppression of galanin-induced fat intake and activation of PGC-1α/GLUT4 axis-mediated glucose … Pubmed: 30742994 |
| Obesity Surgery | The Effect of Gastric Bypass with a Distal Gastric Pouch on Glucose Tolerance and Diabetes Remission in Type 2 Diabetes Sprague-Dawley Rat Model Pubmed: 30778846 |
| Journal of Alzheimer's Disease Reports | Curcumin Ameliorates the Impaired Insulin Signaling Involved in the Pathogenesis of Alzheimer's Disease in Rats |
| Stress | Regulating glycolysis, the TLR4 signal pathway and expression of RBM3 in mouse liver in response to acute cold exposure Pubmed: 30821572 |
| Life Sciences | Interrelation of liver vascularity to non-alcoholic fatty liver through a comparative study of the vasodilator effect of carvedilol or nicorandil in rats Pubmed: 30826497 |
| cell biology international | Regulation of insulin resistance by targeting insulin‐like growth factor 1 receptor (IGF‐1R) with microRNA‐122‐5p in hepatic cells Pubmed: 30958584 |
| international journal of molecular sciences | Effects of Cold-inducible RNA-binding Protein (CIRP) on Liver Glycolysis during Acute Cold Exposure in C57BL/6 Mice Pubmed: 30909542 |
| Journal of Clinical and Translational Endocrinology | Dobesity: relationship between vitamin d deficiency, obesity and sclerostin as a novel biomarker of bone metabolism |
| Acta Pharmacologica Sinica | Huperzine A ameliorates obesity-related cognitive performance impairments involving neuronal insulin signaling pathway in mice Pubmed: 31213670 |
| Biochemistry | Protective Effect of Peroxiredoxin 6 Against Toxic Effects of Glucose and Cytokines in Pancreatic RIN-m5F β-Cells |
| Physiological Research | Tempol alleviates chronic intermittent hypoxia-induced pancreatic injury through repressing inflammation and apoptosis. Pubmed: 31301730 |
| molecular nutrition & food research | Glycerol Monolaurate‐Mediated Attenuation of Metabolic Syndrome is Associated with the Modulation of Gut Microbiota in High Fat diet‐fed Mice Pubmed: 31318165 |
| Arch Physiol Biochem | Associations of apelin, leptin, irisin, ghrelin, insulin, glucose levels, and lipid parameters with physical activity during eight weeks of regular exercise training Pubmed: 31290696 |
| Efeito do consumo crônico de óleo de coco sobre parâmetros bioquímicos e do status redox em ratas saudáveis. | |
| Diabetes-Metabolism Research and Reviews | Liraglutide Combined with Human Umbilical Cord Mesenchymal Stem Cell Transplantation inhibits beta‐cells apoptosis via mediating the ASK1/JNK/BAX pathway in Pubmed: 31411368 |
| Phytomedicine | Baicalin ameliorates hepatic insulin resistance and gluconeogenic activity through inhibition of p38 MAPK/PGC-1α pathway |
| Naunyn-Schmiedebergs Archives of Pharmacology | Coptisine ameliorates renal injury in diabetic rats through the activation of Nrf2 signaling pathway Pubmed: 31420722 |
| Nutrients | High-dose Glycerol Monolaurate Up-Regulated Beneficial Indigenous Microbiota without Inducing Metabolic Dysfunction and Systemic Inflammation: New Insights … |
| Cells | MicroRNA-99a is a Potential Target for Regulating Hypothalamic Synaptic Plasticity in the Peri/Postmenopausal Depression Model Pubmed: 31540304 |
| Molecular and cellular endocrinology | Metformin alleviates oxidative stress and enhances autophagy in diabetic kidney disease via AMPK/SIRT1-FoxO1 pathway Pubmed: 31647955 |
| Obesity Surgery | Duodenal-Jejunal Bypass Ameliorates Type 2 Diabetes Mellitus by Activating Insulin Signaling and Improving Glucose Utilization in the Brain Pubmed: 31605365 |
| Surgical Endoscopy and Other Interventional Techniques | Distal gastric mucosa ablation induces significant weight loss and improved glycemic control in type 2 diabetes Sprague–Dawley rat model Pubmed: 31630290 |
| Biomedicine & Pharmacotherapy | Propolis modulates the gut microbiota and improves the intestinal mucosal barrier function in diabetic rats Pubmed: 31545258 |
| International Journal of Endocrinology | miR-29a Negatively Affects Glucose-Stimulated Insulin Secretion and MIN6 Cell Proliferation via Cdc42/β-Catenin Signaling Pubmed: 31662747 |
| Food & Function | Depolymerized RG-I enriched pectin from citrus segment membrane modulates gut microbiota, increases SCFAs production, promotes the growth of Bifidobacterium … Pubmed: 31778135 |
| Life Sciences | P-Coumaric acid alleviates experimental diabetic nephropathy through modulation of toll like receptor-4 in rats Pubmed: 31629762 |
| Journal of Ovarian Research | Baicalin ameliorates polycystic ovary syndrome through AMP-activated protein kinase Pubmed: 31722718 |
| journal of ethnopharmacology | Dietary supplementation of Morus nigra L. leaves decrease fat mass partially through elevating leptin-stimulated lipolysis in pig model Pubmed: 31756448 |
| Brain Research | Isoflurane aggravates peripheral and central insulin resistance in high-fat diet/streptozocin-induced type 2 diabetic mice Pubmed: 31672472 |
| Journal of Ethnopharmacology | San-Huang-Tang protects obesity/diabetes induced NAFLD by upregulating PGC-1α/PEPCK signaling in obese and galr1 knockout mice models Pubmed: 31843573 |
| Journal of Hazardous Materials | Triphenyl phosphate causes a sexually dimorphic metabolism dysfunction associated with disordered adiponectin receptors in pubertal mice Pubmed: 31796355 |
| Journal of Steroid Biochemistry and Molecular Biology | SerpinB1 promotes the proliferation of porcine pancreatic stem cells through the STAT3 signaling pathway Pubmed: 31785377 |
| Journal of dermatological treatment | Liraglutide improved inflammation via mediating IL-23/Th-17 pathway in obese diabetic mice with psoriasiform skin Pubmed: 31868553 |
| Nutrients | Rotundic Acid Protects against Metabolic Disturbance and Improves Gut Microbiota in Type 2 Diabetes Rats Pubmed: 31887996 |
| JOURNAL OF DAIRY SCIENCE | Decreased amylolytic microbes of the hindgut and increased blood glucose implied improved starch utilization in the small intestine by using rumen-protected leucine … Pubmed: 32113753 |
| Biomed Pharmacother | Composite probiotics alleviate type 2 diabetes by regulating intestinal microbiota and inducing GLP-1 secretion in db/db mice Pubmed: 32035395 |
| Frontiers in Endocrinology | Hyperbaric oxygen ameliorates insulin sensitivity by increasing GLUT4 expression in skeletal muscle and stimulating UCP1 in brown adipose tissue in T2DM … Pubmed: 32082261 |
| Cell Physiol Biochem | Integrin Linked Kinase (ILK) Downregulation as an Early Event During the Development of Metabolic Alterations in a Short-Term High Fat Diet Mice Model. Pubmed: 31972071 |
| JOURNAL OF FOOD SCIENCE | Beneficial effects of Aronia melanocarpa berry extract on hepatic insulin resistance in type 2 diabetes mellitus rats Pubmed: 32249934 |
| Journal of Diabetes Research | Roux-en-Y Gastric Bypass in Obese Diabetic Rats Promotes Autophagy to Improve Lipid Metabolism through mTOR/p70S6K Signaling Pathway Pubmed: 32309446 |
| Brain Research | Electroacupuncture improves cognitive deficits and insulin resistance in an OLETF rat model of Al/D-gal induced aging model via the PI3K/Akt signaling pathway Pubmed: 32304687 |
| endocrine journal | Mice with nucleus tractus solitarius injury induced by chronic restraint stress present impaired ability to raise blood glucose and glucagon levels when blood glucose … Pubmed: 32249244 |
| Frontiers in Endocrinology | RFRP-3, the Mammalian Ortholog of GnIH, Is a Novel Modulator Involved in Food Intake and Glucose Homeostasis Pubmed: 32328034 |
| Antioxidants | Effects of Allicin on Pathophysiological Mechanisms during the Progression of Nephropathy Associated to Diabetes Pubmed: 33203103 |
| Nature Communications | AdipoR1/AdipoR2 dual agonist recovers nonalcoholic steatohepatitis and related fibrosis via endoplasmic reticulum-mitochondria axis Pubmed: 33199780 |
| EUROPEAN JOURNAL OF PHARMACEUTICAL SCIENCES | Evaluation of the hypoglycemic effect of exendin-4's new oral self-nanoemulsifying system in rats Pubmed: 33197556 |
| BIOLOGICAL RESEARCH | Novel mechanisms underlying anti-polycystic ovary like syndrome effects of electroacupuncture in rats: suppressing SREBP1 to mitigate insulin resistance … Pubmed: 33109277 |
| FASEB JOURNAL | Irradiation of carotid baroreceptor with low‐intensity pulsed ultrasound exerts different metabolic protection in perirenal, epididymal white adipose tissue and … Pubmed: 32954574 |
| Biol Res | Palmatine ameliorates high fat diet induced impaired glucose tolerance Pubmed: 32928312 |
| ENDOCRINE | Thioredoxin-interacting protein: a critical link between autophagy disorders and pancreatic β-cell dysfunction Pubmed: 32892310 |
| DIABETOLOGIA | Adiponectin treatment improves insulin resistance in mice by regulating the expression of the mitochondrial-derived peptide MOTS-c and its response to exercise via … Pubmed: 32880686 |
| AMERICAN JOURNAL OF PATHOLOGY | Insulin promotes corneal nerve repair and wound healing in type 1 diabetic mice by enhancing Wnt/β-catenin signaling Pubmed: 32858016 |
| MEDIATORS OF INFLAMMATION | Aplysin Retards Pancreatic Necrosis and Inflammatory Responses in NOD Mice by Stabilizing Intestinal Barriers and Regulating Gut Microbial Composition Pubmed: 32801992 |
| EUROPEAN JOURNAL OF PHARMACOLOGY | Gut microbiota modulation as a promising therapy with metformin in rats with non-alcoholic steatohepatitis: Role of LPS/TLR4 and autophagy pathways Pubmed: 32758573 |
| ARCHIVES OF GYNECOLOGY AND OBSTETRICS | MiRNAs expression profiling of rat ovaries displaying PCOS with insulin resistance Pubmed: 32757043 |
| CHEMICO-BIOLOGICAL INTERACTIONS | Modulatory role of imatinib mesylate on pancreatic β-cells' secretory functions in an STZ rat model of diabetes mellitus Pubmed: 32710900 |
| Mol Med | Electroacupuncture alleviates polycystic ovary syndrome-like symptoms through improving insulin resistance, mitochondrial dysfunction, and endoplasmic … Pubmed: 32698821 |
| JOURNAL OF AGRICULTURAL AND FOOD CHEMISTRY | Highly Branched RG-I Domain Enrichment are Indispensable for Pectin Mitigating Against High-Fat Diet-Induced Obesity Pubmed: 32633953 |
| Scientific Reports | Integrated metabolomics and gut microbiome to the effects and mechanisms of naoxintong capsule on type 2 diabetes in rats Pubmed: 32616735 |
| J Endocrinol Invest | Activation of central galanin receptor 2 mitigated insulin resistance in adipocytes of diabetic rats Pubmed: 32588381 |
| J Chem Neuroanat | The neuroprotective effect of simvastatin on the cerebellum of experimentally-induced diabetic rats through klotho upregulation: An immunohistochemical study Pubmed: 32479899 |
| Journal of Diabetes Research | Regulation and Mechanism of miR-518d through the PPARα-Mediated NF-κB Pathway in the Development of Gestational Diabetes Mellitus Pubmed: 33123597 |
| Journal of Cellular and Molecular Medicine | Cooperative effects of galanin and leptin on alleviation of insulin resistance in adipose tissue of diabetic rats Pubmed: 32395890 |
| BioMed Research International | Pathophysiological Changes in Female Rats with Estrous Cycle Disorder Induced by Long-Term Heat Stress Pubmed: 32685488 |
| Frontiers in Pharmacology | MiR-185-5p Protects Against Angiogenesis in Polycystic Ovary Syndrome by Targeting VEGFA Pubmed: 32760272 |
| Iranian Journal of Basic Medical Sciences | Therapeutic effects of organic zinc on reproductive hormones, insulin resistance and mTOR expression as a novel component in a rat model of PCOS |
| Nutrition & Metabolism | Fucoidan prevent murine autoimmune diabetes via suppression TLR4-signaling pathways, regulation DC/Treg induced immune tolerance and improving gut … |
| Journal of Functional Foods | Different source of commercial vegetable oils may regulate metabolic, inflammatory and redox status in healthy rats |
| Comparative transcriptomic and metabolomic analysis reveals pectoralis highland adaptation across altitudinal songbirds | |
| The effects of different intensity endurance and resistance exercise on diabetic-related blood profiles in impaired glucose tolerance mice | |
| Cell Death & Disease | Phosphorylation of eIF2¦Á signaling pathway attenuates obesity-induced non-alcoholic fatty liver disease in an ER stress and autophagy-dependent manner 33318479 |
| Ther Adv Chronic Dis | Empagliflozin improves chronic hypercortisolism-induced abnormal myocardial structure and cardiac function in mice 33294147 |
| Physiol Behav | Time-restricted feeding attenuates gluconeogenic activity through inhibition of PGC-1¦Á expression and activity 33412190 |
| PLoS Genetics | Physiological and genetic convergence supports hypoxia resistance in high-altitude songbirds 33370292 |
| Mol Med Rep | N1?methylnicotinamide ameliorates insulin resistance in skeletal muscle of type 2 diabetic mice by activating the SIRT1/PGC?1¦Á signaling pathway 33576435 |
| Arch Endocrinol Metab | Inverse association of plasma hydrogen sulfide levels with visceral fat area among Chinese young men: a cross-sectional study 33740335 |
| Sci Rep | Ileal transposition helps to regulate plasma hepatokine levels in obese Zucker (Crl: ZUC (ORL)-Lepr fa) rats 33833309 |
| PeerJ | miR-155-5p upregulation ameliorates myocardial insulin resistance via mTOR signaling in chronic alcohol drinking rats 33868799 |
| JOURNAL OF FOOD BIOCHEMISTRY | Identification of curcumin as a potential ¦Á©\glucosidase and dipeptidyl©\peptidase 4 inhibitor: Molecular docking study, in vitro and in vivo biological evaluation 33817806 |
| JOURNAL OF NUTRITIONAL BIOCHEMISTRY | Consumption of soybean or olive oil at recommended concentrations increased the intestinal microbiota diversity and insulin sensitivity and prevented fatty liver?¡ 33915261 |
| Cell Metab | TMBIM1 is an inhibitor of adipogenesis and its depletion promotes adipocyte hyperplasia and improves obesity-related metabolic disease 34107313 |
| Dapagliflozin: a Sodium-glucose Cotransporter 2 Inhibitor, Attenuates Angiotensin II-induced Cardiac Fibrotic Remodeling by Regulating TGF¦Â1/Smad ¡ 34116674 | |
| EUROPEAN JOURNAL OF LIPID SCIENCE AND TECHNOLOGY | Different Ratios of Corn and Coconut Oil Blends in High©\Fat Diets Influence Fat Deposition without Altering Metabolic Biomarkers in Male Rats |
| Journal of Alzheimer's disease | DAla2-GIP-GLU-PAL Protects Against Cognitive Deficits and Pathology in APP/PS1 Mice by Inhibiting Neuroinflammation and Up-regulating cAMP/PKA/CREB?¡ |
| International Journal of Diabetes in Developing Countries | Investigation of extracellular matrix genes associated with Alzheimer's disease in the hippocampus of experimental diabetic model rats |
| researchsquare | Ficus deltoidea ameliorates biochemical, hormonal, and histomorphometric changes in letrozole-induced polycystic ovarian syndrome rats |
| Cells Tissues Organs | Intermittent Fasting Attenuates High Fat Diet-Induced Cerebellar Changes in Rats: Involvement of TNFα, autophagy and oxidative stress 34551416 |
| Experimental Biology and Medicine | Bee venom ameliorates cardiac dysfunction in diabetic hyperlipidemic rats 34550826 |
| Phytomedicine | Baicalin protects against insulin resistance and metabolic dysfunction through activation of GALR2/GLUT4 signaling 34923235 |
| Pharmacol Res | Lactobacillus acidophilus ameliorates obesity in mice through modulation of gut microbiota dysbiosis and intestinal permeability 34896249 |
| Eat Weight Disord | Time-restricted feeding prevents metabolic diseases through the regulation of galanin/GALR1 expression in the hypothalamus of mice 34370270 |
| Food Chem Toxicol | Combined treatment of sinapic acid and ellagic acid attenuates hyperglycemia in streptozotocin-induced diabetic rats 34329744 |
| Eur J Pharmacol | Spexin ameliorates skeletal muscle insulin resistance through activation of GAL2 receptor Pubmed:34973950 |
| Surgical Endoscopy | The effect of bariatric surgery on the expression of Growth Differentiation Factor-15/Macrophage-Inhibitory Cytokine-1 (GDF-15/MIC-1) in rat Pubmed:35029766 |
| Arch Biochem Biophys | ATP6V1H deficiency impairs glucose tolerance by augmenting endoplasmic reticulum stress in high fat diet fed mice Pubmed:34990584 |
| Environ Sci Pollut Res Int | Environmental exposure to low-dose perfluorohexanesulfonate promotes obesity and non-alcoholic fatty liver disease in mice fed a high-fat diet Pubmed:35217953 |
| Naunyn Schmiedebergs Arch Pharmacol | Intragastric safflower yellow and its main component HSYA improve leptin sensitivity before body weight change in diet-induced obese mice Pubmed:35201390 |
| PLoS One | A cross-sectional comparative study on the effects of body mass index and exercise/sedentary on serum asprosin in male college students Pubmed:35381008 |
| Cell Death & Disease | Hepatic deficiency of selenoprotein S exacerbates hepatic steatosis and insulin resistance Pubmed:35347118 |
| Endocr J | A novel anti-obesity mechanism for liraglutide by improving adipose tissue leptin resistance in high-fat diet-fed obese mice Pubmed:35705299 |
| Antioxidants | Antioxidant Effect of Tyr-Ala Extracted from Zein on INS-1 Cells and Type 2 Diabetes High-Fat-Diet-Induced Mice Pubmed:35740008 |
| Mol Cell Endocrinol | Treatment with spexin mitigates diet-induced hepatic steatosis in vivo and in vitro through activation of galanin receptor 2 Pubmed:35654225 |
| Biofabrication | Dual-core coaxial bioprinting of double-channel constructs with a potential for perfusion and interaction of cells Pubmed:35616388 |
| Ecotoxicology and Environmental Safety | Constitutional delay of growth and puberty in female mice is induced by circadian rhythm disruption in utero Pubmed:35679725 |
| SAUDI J BIOL SCI | Aqueous Ajwa dates seeds extract improves memory impairment in type-2 diabetes mellitus rats by reducing blood glucose levels and enhancing brain … Pubmed:35531250 |
| Saudi Pharmaceutical Journal | Sukkari dates seed improves type-2 diabetes mellitus-induced memory impairment by reducing blood glucose levels and enhancing brain cholinergic … Pubmed:35812141 |
| Turk J Diab Obes | An Investigation of the Effect of Curcumin on Fructose-Induced Metabolic Syndrome Rat Models |
| Journal of Drug Delivery Science and Technology | Miglitol-PMO nanoparticles, an alpha-glucosidase inhibitor, has prolonged action on blood glucose level in diabetic rats |
| Genes & Diseases | Prolonged control of insulin-dependent diabetes via intramuscular expression of plasmid-encoded single-strand insulin analogue |
| Catalog No. | Related products for research use of Mus musculus (Mouse) Organism species | Applications (RESEARCH USE ONLY!) |
| RPA448Mu02 | Recombinant Insulin (INS) | Positive Control; Immunogen; SDS-PAGE; WB. |
| RPA448Mu01 | Recombinant Insulin (INS) | Positive Control; Immunogen; SDS-PAGE; WB. |
| APA448Mu01 | Active Insulin (INS) | Cell culture; Activity Assays. |
| PAA448Mu02 | Polyclonal Antibody to Insulin (INS) | WB; IHC |
| PAA448Mu01 | Polyclonal Antibody to Insulin (INS) | WB; IHC; ICC/IF |
| MEA448Mu | Mini Samples ELISA Kit for Insulin (INS) | Enzyme-linked immunosorbent assay for Antigen Detection. |
| CEA448Mu | ELISA Kit for Insulin (INS) | Enzyme-linked immunosorbent assay for Antigen Detection. |
| LMA448Mu | Multiplex Assay Kit for Insulin (INS) ,etc. by FLIA (Flow Luminescence Immunoassay) | FLIA Kit for Antigen Detection. |
| KSA448Mu11 | ELISA Kit DIY Materials for Insulin (INS) | Main materials for "Do It (ELISA Kit) Yourself". |

