Polyclonal Antibody to Cystatin A (CSTA)
Cys-A; STF1; STFA; Stefin A; Cystatin-AS
- Product No.PAA476Hu01
- Organism SpeciesHomo sapiens (Human) Same name, Different species.
- SourcePolyclonal antibody preparation
- HostRabbit
- Potencyn/a
- Ig Type IgG
- PurificationAntigen-specific affinity chromatography followed by Protein A affinity chromatography
- LabelNone
- Immunogen RPA476Hu01-Recombinant Cystatin A (CSTA)
- Buffer FormulationPBS, pH7.4, containing 0.02% NaN3, 50% glycerol.
- TraitsLiquid
- Concentration0.5mg/mL
- Organism Species MoreRattus norvegicus (Rat), Sus scrofa; Porcine (Pig)
- ApplicationsWB; IHC; FCM
If the antibody is used in flow cytometry, please check FCM antibodies. - DownloadInstruction Manual
- UOM 20µl100µl 200µl 1ml 10ml
- FOB
US$ 95
US$ 221
US$ 316
US$ 790
US$ 3160
For more details, please contact local distributors!
SPECIFITY
The antibody is a rabbit polyclonal antibody raised against CSTA. It has been selected for its ability to recognize CSTA in immunohistochemical staining and western blotting.
USAGE
Western blotting: 0.01-2μg/mL
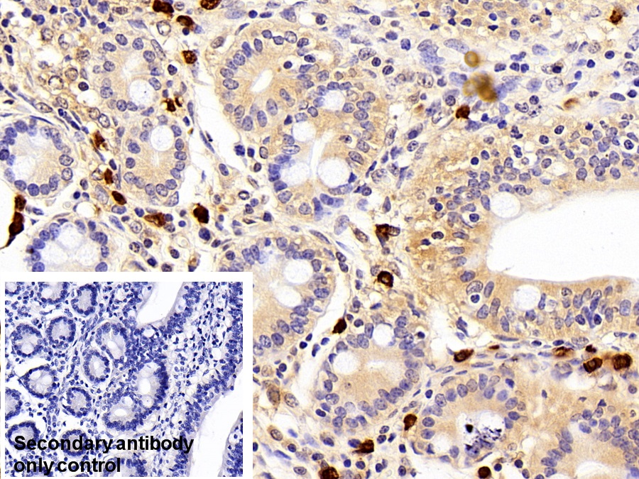
Immunohistochemistry: 5-20μg/mL
Immunocytochemistry: 5-20μg/mL
Flow cytometry:20μg/mL;
Optimal working dilutions must be determined by end user.
STORAGE
Store at 4°C for frequent use. Stored at -20°C in a manual defrost freezer for two year without detectable loss of activity. Avoid repeated freeze-thaw cycles.
STABILITY
The thermal stability is described by the loss rate. The loss rate was determined by accelerated thermal degradation test, that is, incubate the protein at 37°C for 48h, and no obvious degradation and precipitation were observed. The loss rate is less than 5% within the expiration date under appropriate storage condition.
GIVEAWAYS
INCREMENT SERVICES
-
Antibody Labeling Customized Service
-
Protein A/G Purification Column
-
Staining Solution for Cells and Tissue
-
Positive Control for Antibody
-
Tissue/Sections Customized Service
-
Phosphorylated Antibody Customized Service
-
Western Blot (WB) Experiment Service
-
Immunohistochemistry (IHC) Experiment Service
-
Immunocytochemistry (ICC) Experiment Service
-
Flow Cytometry (FCM) Experiment Service
-
Immunoprecipitation (IP) Experiment Service
-
Immunofluorescence (IF) Experiment Service
-
Buffer
-
DAB Chromogen Kit
-
SABC Kit
-
Long-arm Biotin Labeling Kit
-
Real Time PCR Experimental Service
| Magazine | Citations |
| Journal of Virology | Imiquimod Suppresses Propagation of Herpes Simplex Virus 1 by Upregulation of Cystatin A via the Adenosine Receptor A1 Pathway Asm: Source |
| Scientific Reports | Increased levels of the megakaryocyte and platelet expressed cysteine proteases stefin A and cystatin A prevent thrombosis Pubmed: 31270351 |
| International Journal of Reproductive Medicine | Gonadotropin Stimulation Has Only a Limited Effect on the Concentration of Follicular Fluid Signalling Proteins: An Antibody Array Analysis 33575317 |
| Molecular Biology Reports | Umbilical cord-derived mesenchymal stem cell conditioned medium reverses neuronal oxidative injury by inhibition of TRPM2 activation and the JNK signaling … Pubmed:35585377 |
| Catalog No. | Related products for research use of Homo sapiens (Human) Organism species | Applications (RESEARCH USE ONLY!) |
| RPA476Hu01 | Recombinant Cystatin A (CSTA) | Positive Control; Immunogen; SDS-PAGE; WB. |
| PAA476Hu01 | Polyclonal Antibody to Cystatin A (CSTA) | WB; IHC; FCM |
| LAA476Hu71 | Biotin-Linked Polyclonal Antibody to Cystatin A (CSTA) | WB |
| LAA476Hu81 | FITC-Linked Polyclonal Antibody to Cystatin A (CSTA) | WB; IHC; ICC; IF. |
| MAA476Hu21 | Monoclonal Antibody to Cystatin A (CSTA) | WB |
| MAA476Hu22 | Monoclonal Antibody to Cystatin A (CSTA) | WB |
| SEA476Hu | ELISA Kit for Cystatin A (CSTA) | Enzyme-linked immunosorbent assay for Antigen Detection. |
| LMA476Hu | Multiplex Assay Kit for Cystatin A (CSTA) ,etc. by FLIA (Flow Luminescence Immunoassay) | FLIA Kit for Antigen Detection. |
| KSA476Hu01 | ELISA Kit DIY Materials for Cystatin A (CSTA) | Main materials for "Do It (ELISA Kit) Yourself". |

