Polyclonal Antibody to Intercellular Adhesion Molecule 1 (ICAM1)
CD54; BB2; P3.58; Human Rhinovirus Receptor; Major group rhinovirus receptor
- Product No.PAA548Ra01
- Organism SpeciesRattus norvegicus (Rat) Same name, Different species.
- SourcePolyclonal antibody preparation
- HostRabbit
- Potencyn/a
- Ig Type IgG
- PurificationAntigen-specific affinity chromatography followed by Protein A affinity chromatography
- LabelNone
- Immunogen RPA548Ra01-Recombinant Intercellular Adhesion Molecule 1 (ICAM1)
- Buffer FormulationPBS, pH7.4, containing 0.02% NaN3, 50% glycerol.
- TraitsLiquid
- Concentration0.5mg/mL
- Organism Species MoreHomo sapiens (Human)
- ApplicationsWB; IHC; ICC/IF
If the antibody is used in flow cytometry, please check FCM antibodies. - DownloadInstruction Manual
- UOM 20µl100µl 200µl 1ml 10ml
- FOB
US$ 67
US$ 157
US$ 224
US$ 560
US$ 2240
For more details, please contact local distributors!
SPECIFITY
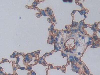
The antibody is a rabbit polyclonal antibody raised against ICAM1. It has been selected for its ability to recognize ICAM1 in immunohistochemical staining and western blotting.
USAGE
Western blotting: 0.01-2µg/mL;
Immunohistochemistry: 5-20µg/mL;
Immunocytochemistry: 5-20µg/mL;
Optimal working dilutions must be determined by end user.
STORAGE
Store at 4°C for frequent use. Stored at -20°C in a manual defrost freezer for two year without detectable loss of activity. Avoid repeated freeze-thaw cycles.
STABILITY
The thermal stability is described by the loss rate. The loss rate was determined by accelerated thermal degradation test, that is, incubate the protein at 37°C for 48h, and no obvious degradation and precipitation were observed. The loss rate is less than 5% within the expiration date under appropriate storage condition.
GIVEAWAYS
INCREMENT SERVICES
-
Antibody Labeling Customized Service
-
Protein A/G Purification Column
-
Staining Solution for Cells and Tissue
-
Positive Control for Antibody
-
Tissue/Sections Customized Service
-
Phosphorylated Antibody Customized Service
-
Western Blot (WB) Experiment Service
-
Immunohistochemistry (IHC) Experiment Service
-
Immunocytochemistry (ICC) Experiment Service
-
Flow Cytometry (FCM) Experiment Service
-
Immunoprecipitation (IP) Experiment Service
-
Immunofluorescence (IF) Experiment Service
-
Buffer
-
DAB Chromogen Kit
-
SABC Kit
-
Long-arm Biotin Labeling Kit
-
Real Time PCR Experimental Service
| Magazine | Citations |
| Amran et al. Lipids in Health and Disease | Changes in the vascular cell adhesion molecule-1, intercellular adhesion molecule-1 and c-reactive protein following administration of aqueous extract of piper sarmentosum on experimental. BioMed: 1476511X |
| Evidence-based Complementary and Alternative Medicine | Preventive Effects of a Natural Anti-Inflammatory Agent, Astragaloside IV, on Ischemic Acute Kidney Injury in Rats PubMed: PMC3703719 |
| British Journal of Medical and Health Sciences | EFFECTS OF ADRIAMYCIN, CISPLATIN, AND 5-FLUOROURACIL ON THE TESTES OF ALBINO RATS Researchgate: Source |
| Cytokine | Astragaloside IV ameliorates renal injury in streptozotocin-induced diabetic rats through inhibiting NF-κB-mediated inflammatory genes expression. Pubmed: 23434274 |
| BioMed research international | Endothelial gene expression and molecular changes in response to radiosurgery in in vitro and in vivo models of cerebral arteriovenous malformations Pubmed: 24199192 |
| Journal of Veterinary Internal Medicine | Markers of coagulation activation, endothelial stimulation, and inflammation in dogs with babesiosis Pubmed: 23875771 |
| Arch Dis Child | PO-0699 Estimation Of Adhesion Molecules Intrauterine Growth Retardation (iugr) Newborns Bmj:Source |
| Arch Dis Child? | PO-0701 Causes Of Fetal Growth Restriction And Early Neonatal Outcome Bmj:Source |
| Arch Dis Child | PO-0698 Neonatal Resuscitation Practices In The Delivery Room In India: An Audit Using Videography Bmj:Source |
| J Thorac Dis.? | Anti-endothelial cell antibodies in connective tissue diseases associated with pulmonary arterial hypertension Pubmed:Pmc4015009 |
| Journal of Immunotoxicology | Acacia ferruginea inhibits cyclophosphamide-induced immunosuppression and urotoxicity by modulating cytokines in mice Pubmed:24873678 |
| Free Radical Biology and Medicine | Involvement of nitric oxide with activation of Toll-like receptor 4 signaling in mice with dextran sodium sulfate-induced colitis Pubmed:24992835 |
| Int J Neurosci. | The effect of therapeutic hypothermia after cardiopulmonary resuscitation on ICAM-1 and NSE levels in sudden cardiac arrest rabbits Pubmed:25111247 |
| Naunyn-Schmiedeberg's Archives of Pharmacology | Insights into the antiatherogenic molecular mechanisms of andrographolide against?Porphyromonas gingivalis-induced atherosclerosis in rabbits Pubmed:25172523 |
| Nutr Res. | Curcumin attenuates adhesion molecules and matrix metalloproteinase expression in hypercholesterolemic rabbits Pubmed:25282128 |
| Experimental & Molecular Medicine | Elevated levels of serum sICAM-1 in asphyxiated low birth weight newborns Pubmed:25358349 |
| Neural Regen Res.? | Inflammatory response and neuronal necrosis in rats with cerebral ischemia Pubmed:25422636 |
| Chemical Research in Toxicology | Sub-chronic Toxicity and Cardiovascular Responses in Spontaneously Hypertensive Rats after Exposure to Multiwall Carbon Nanotubes by Intratracheal Instillation Pubmed:25580880 |
| CNS Neuroscience & Therapeutics | Peroxisome Proliferator-activated Receptor-γ Agonist Pioglitazone Ameliorates White Matter Lesion and Cognitive Impairment in Hypertensive Rats Pubmed:25611692 |
| Alexandria Journal of Medicine | Effect of consumption of fresh and heated virgin coconut oil on the blood pressure and inflammatory biomarkers: An experimental study in Sprague Dawley rats Sciencedirect:S2090506814000268 |
| Canadian Journal of Physiology and Pharmacology | Effect of magnesium sulfate and thyroxine on inflammatory markers in a rat model of hypothyroidism Doi: Abs |
| J Cell Biochem | Tumor Necrosis Factor-Alpha Up-Regulates ICAM-1 Expression and Release in Intestinal Myofibroblasts by Redox-Dependent and -Independent Mechanisms PubMed: 26177712 |
| Neurotoxicology | Allopurinol reduces severity of delayed neurologic sequelae in experimental carbon monoxide toxicity in rats PubMed: 25845300 |
| Alexandria Journal of Medicine | Effect of consumption of fresh and heated virgin coconut oil on the blood pressure and inflammatory biomarkers: An experimental study in Science: Article |
| Chemical Research in Toxicology | Subchronic Toxicity and Cardiovascular Responses in Spontaneously Hypertensive Rats after Exposure to Multiwalled Carbon Nanotubes by Intratracheal Instillation PubMed: 25580880 |
| Veterinary Parasitology | Expression of adhesion molecules, chemokines and matrix metallo- proteinases (MMPs) in viable and degenerating stage of Taenia solium metacestode in swine neurocysticercosis PubMed: 26412140 |
| Experimental Eye Research | The effect of triamcinolone acetonide or bevacizumab on the levels of proinflammatory cytokines after retinal laser photocoaCavia (Guinea pig )lation in pigmented rabbits Pubmed:27296072 |
| Chinese Chemical Letters | Screening the anti-gout traditional herbs from TCM using an in vitro method science:S1001841716301450 |
| Am J Physiol Lung Cell Mol Physiol | Systematic phenotyping and correlation of biomarkers with lung function and histology in lung fibrosis Pubmed:26993522 |
| Mol Neurobiol | A Therapeutic Insight of Niacin and Coenzyme Q10 Against Diabetic Encephalopathy in Rats Pubmed:26867655 |
| Comparative Clinical Pathology | Identification of some plasma biomarkers associated with early weaning stress in crossbred piglets article:10.1007 |
| Journal of Cellular Biochemistry | Tumor Necrosis Factor‐Alpha Up‐Regulates ICAM‐1 Expression and Release in Intestinal Myofibroblasts by Redox‐Dependent and‐Independent Mechanisms pubmed:26177712 |
| BMC Vet Res. | Blood markers of fibrinolysis and endothelial activation in canine babesiosis. pubmed:28363279 |
| Biomedicine & pharmacotherapy= Biomedecine & pharmacotherapie | Protective effects of N-acetylcystein and atorvastatin against renal and hepatic injury in a rat model of intestinal ischemia-reperfusion pubmed:28273631 |
| Pakistan journal of pharmaceutical sciences | Changes in blood pressure, vascular reactivity and inflammatory biomarkers following consumption of heated corn oil. pubmed:29084680 |
| Experimental Parasitology | Adhesion molecules, chemokines and matrix metallo-proteinases response after albendazole and albendazole plus steroid therapy in swine neurocysticercosis pubmed:28821422 |
| Molecular Medicine Reports | Age‑related differences in serum MFG‑E8, TGF‑β1 and correlation to the severity of atherosclerosis determined by ultrasound. pubmed:29152651 |
| Journal of Microbiology, Immunology and Infection | Identification of a panel of serum protein markers in early stage of sepsis and its validation in a cohort of patients pubmed:28655573 |
| Journal of Chromatography A | Application of a new procedure for liquid chromatography/mass spectrometry profiling of plasma amino acid-related metabolites and untargeted shotgun proteomics to identify mechanisms and biomarkers of calcific aortic stenosis S0021967317311858 |
| International Journal of Clinical and Experimental Pathology | Protective effect of high mobility group box-1 silence on diabetic retinopathy: an in vivo study ISSN:1936-2625/IJCEP0055881 |
| Oncotarget | Global gene expression profile of cerebral ischemia-reperfusion injury in rat MCAO model pubmed:29088811 |
| Microbial Pathogenesis | Protective effects of sinomenine against LPS-induced inflammation in piglets. pubmed:28757275 |
| Journal of ophthalmology | Panretinal Photocoagulation Using Short-Pulse Laser Induces Less Inflammation and Macular Thickening in Patients with Diabetic Retinopathy pubmed:28761761 |
| The Journal of Biological Chemistry | Toll-like receptor 2 deficiency hyperactivates the FoxO1 transcription factor and induces aging-associated cardiac dysfunction in mice Pubmed:29929978 |
| Life Sciences | Lipoxin A4 may attenuate the progression of obesity-related glomerulopathy by inhibiting NF-κB and ERK/p38 MAPK-dependent inflammation Pubmed:29499280 |
| International Journal of Molecular Medicine | Aspirin modulates the inflammatory response in a thrombus‑stimulated LMVEC model Pubmed:29568915 |
| Clinical And Experimental Pharmacology And Physiology | Diallyl sulfide alleviates cisplatin‐induced nephrotoxicity in rats via suppressing NF‐κB downstream inflammatory proteins and p53/Puma signalling pathway Pubmed:29266336 |
| Medicine (Baltimore) | Rapid detection of urinary soluble intercellular adhesion molecule-1 for determination of lupus nephritis activity Pubmed:29953010 |
| Bioscience Reports | N-Acetylcysteine inhalation improves pulmonary function in patients received Liver Transplantation. Doi: 10.1042/BSR20180858 |
| Prostaglandins & Other Lipid Mediators | Detoxification and activating blood circulation decoction reduces restenosis involving the TLR4/NF-κB pathway after balloon injury Pubmed: 30453089 |
| Biochemical and Biophysical Research Communications | The anti-inflammatory and anti-oxidative effects of conbercept in treatment of macular edema secondary to retinal vein occlusion Pubmed: 30558792 |
| Nutrition & Metabolism | L-Carnitine Supplementation Increases Trimethylamine-N-Oxide but not Markers of Atherosclerosis in Healthy Aged Women Pubmed: 30485835 |
| Cytokine | Intercellular adhesion molecule-1 (ICAM-1) associates with 24-hour ambulatory blood pressure variability in type 2 diabetes and controls Pubmed: 30716657 |
| European Journal of Pharmacology | The cordycepin derivative IMM-H007 improves endothelial dysfunction by suppressing vascular inflammation and promoting AMPK-dependent eNOS activation in … Pubmed: 30826323 |
| International journal of molecular sciences | Cellular Metabolomics Reveal the Mechanism Underlying the Anti-Atherosclerotic Effects of Aspirin Eugenol Ester on Vascular Endothelial Dysfunction Pubmed: 31261711 |
| Experimental cell research | Resveratrol decreases TNFα-induced ICAM-1 expression and release by Sirt-1-independent mechanism in intestinal myofibroblasts Pubmed: 31233740 |
| international journal of molecular sciences | Anti-Inflammatory and Anti-Apoptotic Effects of Stybenpropol A on Human Umbilical Vein Endothelial Cells Pubmed: 31671764 |
| Archives of Insect Biochemistry and Physiology | Vanadyl sulphate ameliorates biomarkers of endothelial injury and coagulation and thrombosis in a rat model of hyperglycaemia Pubmed: 31774317 |
| BMC Endocrine Disorders | The role of the adipocytokines vaspin and visfatin in vascular endothelial function and insulin resistance in obese children Pubmed: 31771561 |
| Scientific Reports | Association between Upper-airway Surgery and Ameliorative Risk Markers of endothelial function in obstructive Sleep Apnea Pubmed: 31882827 |
| Journal of Applied Microbiology | The effects of dietary sodium butyrate supplementation on the growth performance, carcass traits, and intestinal microbiota of growing‐finishing pigs Pubmed: 32048746 |
| LIFE SCIENCES | Intravitreal conbercept improves outcome of proliferative diabetic retinopathy through inhibiting inflammation and oxidative stress Pubmed: 33227274 |
| Metab Brain Dis | Ginger and turmeric lipid-solubles attenuate heated oil-induced oxidative stress in the brain via the upregulation of NRF2 and improve cognitive function in rats Pubmed: 33170419 |
| BIOCHIMICA ET BIOPHYSICA ACTA-MOLECULAR BASIS OF DISEASE | Endothelial epithelial sodium channel involves in high-fat diet-induced atherosclerosis in low-density lipoprotein receptor-deficient mice Pubmed: 33065235 |
| BRITISH JOURNAL OF NUTRITION | Ginger and turmeric lipid-solubles attenuate heated oil-induced cardio-hepatic oxidative stress via the upregulation of NRF2 and decrease blood pressure in rats Pubmed: 33028437 |
| MOLECULAR AND CELLULAR BIOCHEMISTRY | MicroRNA-217 ameliorates inflammatory damage of endothelial cells induced by oxidized LDL by targeting EGR1 Pubmed: 32737769 |
| OBESITY SURGERY | The Protective Effects of Butorphanol on Pulmonary Function of Patients with Obesity Undergoing Laparoscopic Bariatric Surgery: a Double-Blind Randomized … Pubmed: 32535786 |
| Inflammation | Tetramethylpyrazine Inhibits Platelet Adhesion and Inflammatory Response in Vascular Endothelial Cells by Inhibiting P38 MAPK and NF-κB Signaling Pathways |
| J Transl Med | Multi-omic signatures of atherogenic dyslipidaemia: pre-clinical target identification and validation in humans 33407555 |
| Molecules | Alpha-Lipoic Acid Plays a Role in Endometriosis: New Evidence on Inflammasome-Mediated Interleukin Production, Cellular Adhesion and Invasion 33430011 |
| Antioxidants (Basel) | Anti-Atherogenic Effects of Orlistat on Obesity-Induced Vascular Oxidative Stress Rat Model 33562069 |
| J Vet Intern Med | Association of markers of endothelial activation and dysfunction with occurrence and outcome of pulmonary hemorrhage in dogs with leptospirosis 34076314 |
| PLoS One | A comparison of the effects of monotherapy with rosuvastatin, atorvastatin or ezetimibe versus combination treatment with rosuvastatin-ezetimibe and … 34492054 |
| Sci. Pharm | Dehydroepiandrosterone (DHEA) Improves the Metabolic and Haemostatic Disturbances in Rats with Male Hypogonadism |
| Journal of the South African Veterinary Association | Circulating markers of endothelial activation in canine parvoviral enteritis |
| Catalog No. | Related products for research use of Rattus norvegicus (Rat) Organism species | Applications (RESEARCH USE ONLY!) |
| RPA548Ra01 | Recombinant Intercellular Adhesion Molecule 1 (ICAM1) | Positive Control; Immunogen; SDS-PAGE; WB. |
| PAA548Ra01 | Polyclonal Antibody to Intercellular Adhesion Molecule 1 (ICAM1) | WB; IHC; ICC/IF |
| MAA548Ra21 | Monoclonal Antibody to Intercellular Adhesion Molecule 1 (ICAM1) | WB; IHC; ICC; IP. |
| SEA548Ra | ELISA Kit for Intercellular Adhesion Molecule 1 (ICAM1) | Enzyme-linked immunosorbent assay for Antigen Detection. |
| SCA548Ra | CLIA Kit for Intercellular Adhesion Molecule 1 (ICAM1) | Chemiluminescent immunoassay for Antigen Detection. |
| LMA548Ra | Multiplex Assay Kit for Intercellular Adhesion Molecule 1 (ICAM1) ,etc. by FLIA (Flow Luminescence Immunoassay) | FLIA Kit for Antigen Detection. |

