Polyclonal Antibody to Apolipoprotein A2 (APOA2)
Apo-A2; Apolipoprotein A-II; ProapoA-II; Truncated apolipoprotein A-II
- Product No.PAA604Ra01
- Organism SpeciesRattus norvegicus (Rat) Same name, Different species.
- SourcePolyclonal antibody preparation
- HostRabbit
- Potencyn/a
- Ig Type IgG
- PurificationAntigen-specific affinity chromatography followed by Protein A affinity chromatography
- LabelNone
- Immunogen n/a
- Buffer FormulationPBS, pH7.4, containing 0.01% SKL, 1mM DTT, 5% Trehalose and Proclin300.
- TraitsLiquid
- Concentration500µg/mL
- Organism Species Moren/a
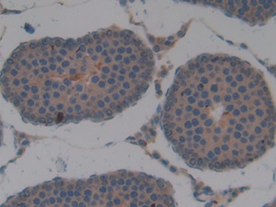
- ApplicationsWB; IHC
If the antibody is used in flow cytometry, please check FCM antibodies. - DownloadInstruction Manual
- UOM 20µl100µl 200µl 1ml 10ml
- FOB
US$ 103
US$ 239
US$ 342
US$ 855
US$ 3420
For more details, please contact local distributors!
SPECIFITY
The antibody is a rabbit polyclonal antibody raised against APOA2. It has been selected for its ability to recognize APOA2 in immunohistochemical staining and western blotting.
USAGE
Western blotting: 0.2-2µg/mL;1:250-2500
Immunohistochemistry: 5-20µg/mL;1:25-100
Immunocytochemistry: 5-20µg/mL;1:25-100
Optimal working dilutions must be determined by end user.
STORAGE
Store at 4°C for frequent use. Stored at -20°C in a manual defrost freezer for two year without detectable loss of activity. Avoid repeated freeze-thaw cycles.
STABILITY
The thermal stability is described by the loss rate. The loss rate was determined by accelerated thermal degradation test, that is, incubate the protein at 37°C for 48h, and no obvious degradation and precipitation were observed. The loss rate is less than 5% within the expiration date under appropriate storage condition.
GIVEAWAYS
INCREMENT SERVICES
-
Antibody Labeling Customized Service
-
Protein A/G Purification Column
-
Staining Solution for Cells and Tissue
-
Positive Control for Antibody
-
Tissue/Sections Customized Service
-
Phosphorylated Antibody Customized Service
-
Western Blot (WB) Experiment Service
-
Immunohistochemistry (IHC) Experiment Service
-
Immunocytochemistry (ICC) Experiment Service
-
Flow Cytometry (FCM) Experiment Service
-
Immunoprecipitation (IP) Experiment Service
-
Immunofluorescence (IF) Experiment Service
-
Buffer
-
DAB Chromogen Kit
-
SABC Kit
-
Long-arm Biotin Labeling Kit
-
Real Time PCR Experimental Service
| Magazine | Citations |
| Morfovirtual 2014 | EFECTO PROTECTOR DEL TRATAMIENTO CON NEUROEPO SOBRE LA GLIA DE LA CORTEZA CEREBRAL EN RATONES TRANSGéNICOS CON LA ENFERMEDAD DE ALZHEIMER. Sld:Source |
| Exp Ther Med. | Differential plasma proteome analysis in patients with high?altitude pulmonary edema at the acute and recovery phases Pubmed:24940404 |
| Osteoarthritis and Cartilage | Orosomucoid 2 serves for predicting but not for monitoring drug response in patients with knee osteoarthritis treated with chondroitin sulfate/glucosamine … 10.1016:j.joca.2018.02.412 |
| Journal of Nutrition | A More Oxidized Plasma Albumin Redox State and Lower Plasma HDL Particle Number Reflect Low-Protein Diet Ingestion in Adult Rats Pubmed: 31552421 |
| Catalog No. | Related products for research use of Rattus norvegicus (Rat) Organism species | Applications (RESEARCH USE ONLY!) |
| RPA604Ra01 | Recombinant Apolipoprotein A2 (APOA2) | Positive Control; Immunogen; SDS-PAGE; WB. |
| PAA604Ra01 | Polyclonal Antibody to Apolipoprotein A2 (APOA2) | WB; IHC |
| MAA604Ra21 | Monoclonal Antibody to Apolipoprotein A2 (APOA2) | WB; IHC; ICC; IP. |
| SEA604Ra | ELISA Kit for Apolipoprotein A2 (APOA2) | Enzyme-linked immunosorbent assay for Antigen Detection. |
| LMA604Ra | Multiplex Assay Kit for Apolipoprotein A2 (APOA2) ,etc. by FLIA (Flow Luminescence Immunoassay) | FLIA Kit for Antigen Detection. |

