Polyclonal Antibody to Hypoxanthine Phosphoribosyltransferase 1 (HPRT1)
HGPRT; HGPRTase; HPRT; Lesch-Nyhan Syndrome; Hypoxanthine-guanine phosphoribosyltransferase
- Product No.PAA717Hu01
- Organism SpeciesHomo sapiens (Human) Same name, Different species.
- SourcePolyclonal antibody preparation
- HostRabbit
- Potencyn/a
- Ig Type IgG
- PurificationAntigen-specific affinity chromatography followed by Protein A affinity chromatography
- LabelNone
- Immunogen RPA717Hu01-Recombinant Hypoxanthine Phosphoribosyltransferase 1 (HPRT1)
- Buffer Formulation0.01M PBS, pH7.4, containing 0.05% Proclin-300, 50% glycerol.
- TraitsLiquid
- Concentration500µg/mL
- Organism Species MoreRattus norvegicus (Rat), Sus scrofa; Porcine (Pig)
- ApplicationsWB; IHC; FCM
If the antibody is used in flow cytometry, please check FCM antibodies. - DownloadInstruction Manual
- UOM 20µl100µl 200µl 1ml 10ml
- FOB
US$ 95
US$ 221
US$ 316
US$ 790
US$ 3160
For more details, please contact local distributors!
SPECIFITY
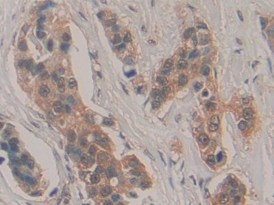
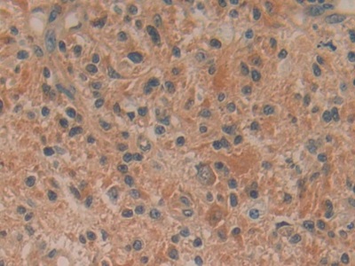
The antibody is a rabbit polyclonal antibody raised against HPRT1. It has been selected for its ability to recognize HPRT1 in immunohistochemical staining and western blotting.
USAGE
Western blotting: 0.5-5µg/mL
Immunohistochemistry: 5-20µg/mL
Immunocytochemistry: 5-20µg/mL
Optimal working dilutions must be determined by end user.
STORAGE
Store at 4°C for frequent use. Stored at -20°C in a manual defrost freezer for two year without detectable loss of activity. Avoid repeated freeze-thaw cycles.
STABILITY
The thermal stability is described by the loss rate. The loss rate was determined by accelerated thermal degradation test, that is, incubate the protein at 37°C for 48h, and no obvious degradation and precipitation were observed. The loss rate is less than 5% within the expiration date under appropriate storage condition.
GIVEAWAYS
INCREMENT SERVICES
-
Antibody Labeling Customized Service
-
Protein A/G Purification Column
-
Staining Solution for Cells and Tissue
-
Positive Control for Antibody
-
Tissue/Sections Customized Service
-
Phosphorylated Antibody Customized Service
-
Western Blot (WB) Experiment Service
-
Immunohistochemistry (IHC) Experiment Service
-
Immunocytochemistry (ICC) Experiment Service
-
Flow Cytometry (FCM) Experiment Service
-
Immunoprecipitation (IP) Experiment Service
-
Immunofluorescence (IF) Experiment Service
-
Buffer
-
DAB Chromogen Kit
-
SABC Kit
-
Long-arm Biotin Labeling Kit
-
Real Time PCR Experimental Service
| Magazine | Citations |
| J Crohns Colitis. | Response to infliximab therapy in ulcerative colitis is associated with decreased monocyte activation, reduced CCL2 expression and downregulation of Tenascin C. Pubmed:25518051 |
| J Crohns | Response to infliximab therapy in ulcerative colitis is associated with decreased monocyte activation, reduced CCL2 expression and downregulation of tenascin C PubMed: 25518051 |
| Molecular Biology Reports | Increased ENT2 Expression and Its Association With Altered Purine Metabolism in Different Stages of Colorectal Cancer Cell Lines |
| Catalog No. | Related products for research use of Homo sapiens (Human) Organism species | Applications (RESEARCH USE ONLY!) |
| APA717Hu01 | Active Hypoxanthine Phosphoribosyltransferase 1 (HPRT1) | Cell culture; Activity Assays. |
| RPA717Hu01 | Recombinant Hypoxanthine Phosphoribosyltransferase 1 (HPRT1) | Positive Control; Immunogen; SDS-PAGE; WB. |
| PAA717Hu01 | Polyclonal Antibody to Hypoxanthine Phosphoribosyltransferase 1 (HPRT1) | WB; IHC; FCM |
| FAA717Hu01 | Anti-Hypoxanthine Phosphoribosyltransferase 1 (HPRT1) Polyclonal Antibody | FCM |
| MAA717Hu22 | Monoclonal Antibody to Hypoxanthine Phosphoribosyltransferase 1 (HPRT1) | WB; IHC; ICC; IP. |
| SEA717Hu | ELISA Kit for Hypoxanthine Phosphoribosyltransferase 1 (HPRT1) | Enzyme-linked immunosorbent assay for Antigen Detection. |
| LMA717Hu | Multiplex Assay Kit for Hypoxanthine Phosphoribosyltransferase 1 (HPRT1) ,etc. by FLIA (Flow Luminescence Immunoassay) | FLIA Kit for Antigen Detection. |

