Polyclonal Antibody to Prealbumin (PALB)
TBPA; PA; PLB; ATTR; TTR; Transthyretin; Prealbumin Amyloidosis Type I; Transports Thyroxine and Retinol
- Product No.PAA726Po01
- Organism SpeciesSus scrofa; Porcine (Pig) Same name, Different species.
- SourcePolyclonal antibody preparation
- HostRabbit
- Potencyn/a
- Ig Type IgG
- PurificationAntigen-specific affinity chromatography followed by Protein A affinity chromatography
- LabelNone
- Immunogen RPA726Po01-Recombinant Prealbumin (PALB)
- Buffer FormulationPBS, pH7.4, containing 0.02% NaN3, 50% glycerol.
- TraitsLiquid
- Concentration0.5mg/ml
- Organism Species Moren/a
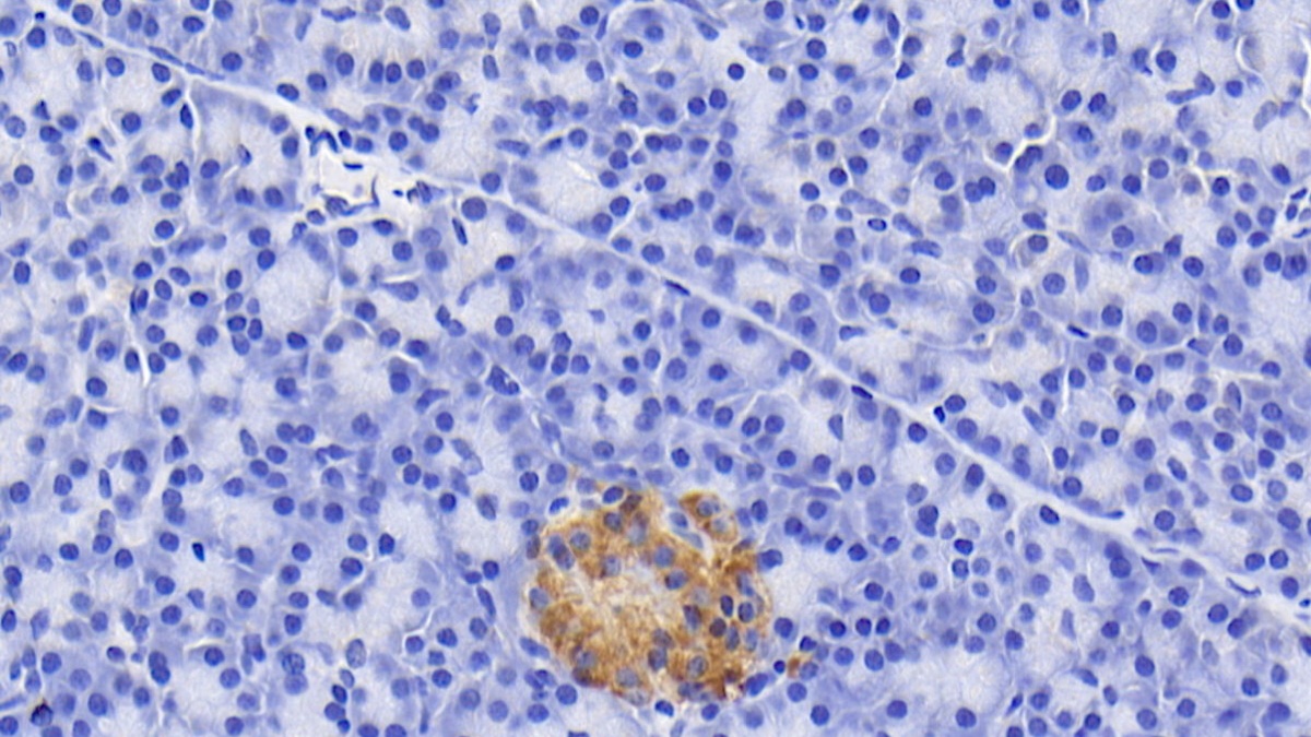
- ApplicationsWB; IHC
If the antibody is used in flow cytometry, please check FCM antibodies. - DownloadInstruction Manual
- UOM 20µl100µl 200µl 1ml 10ml
- FOB
US$ 113
US$ 265
US$ 378
US$ 945
US$ 3780
For more details, please contact local distributors!
SPECIFITY
The antibody is a rabbit polyclonal antibody raised against PALB. It has been selected for its ability to recognize PALB in immunohistochemical staining and western blotting.
USAGE
Western blotting: 0.01-2µg/mL;
Immunohistochemistry: 5-20µg/mL;
Immunocytochemistry: 5-20µg/mL;
Optimal working dilutions must be determined by end user.
STORAGE
Store at 4°C for frequent use. Stored at -20°C in a manual defrost freezer for two year without detectable loss of activity. Avoid repeated freeze-thaw cycles.
STABILITY
The thermal stability is described by the loss rate. The loss rate was determined by accelerated thermal degradation test, that is, incubate the protein at 37°C for 48h, and no obvious degradation and precipitation were observed. The loss rate is less than 5% within the expiration date under appropriate storage condition.
GIVEAWAYS
INCREMENT SERVICES
-
Antibody Labeling Customized Service
-
Protein A/G Purification Column
-
Staining Solution for Cells and Tissue
-
Positive Control for Antibody
-
Tissue/Sections Customized Service
-
Phosphorylated Antibody Customized Service
-
Western Blot (WB) Experiment Service
-
Immunohistochemistry (IHC) Experiment Service
-
Immunocytochemistry (ICC) Experiment Service
-
Flow Cytometry (FCM) Experiment Service
-
Immunoprecipitation (IP) Experiment Service
-
Immunofluorescence (IF) Experiment Service
-
Buffer
-
DAB Chromogen Kit
-
SABC Kit
-
Long-arm Biotin Labeling Kit
-
Real Time PCR Experimental Service
| Magazine | Citations |
| Chinese Medical Journal | Screening disease-associated proteins from sera of patients with rheumatoid arthritis: a comparative proteomic study PubMed: 20367977 |
| Journal of Vascular Surgery | Circulation levels of acute phase proteins in patients with Takayasu arteritis PubMed: 20100644 |
| Journal of Pharmaceutical and Biomedical Analysis | Effect of high dose thiamine on the levels of urinary protein biomarkers in diabetes mellitus type 2 PubMed: 21130593 |
| Toxicology Letters | Serum proteomic analysis reveals potential serum biomarkers for occupational medicamentosa-like dermatitis caused by trichloroethylene Pubmed:24960064 |
| Journal of Neurochemistry | Schwann cells contribute to neurodegeneration in transthyretin amyloidosis Pubmed:25693163 |
| Anal Biochem | Surface plasmon resonance assay of inhibition by pharmaceuticals for thyroxine hormone binging to transport proteins PubMed: 26384643 |
| United States Patent Application | Compositions and Methods for Diagnosing Lung Cancer y2016:0077095.html |
| Neurotherapeutics | iTRAQ-Based Quantitative Proteomics Reveals the New Evidence Base for Traumatic Brain Injury Treated with Targeted Temperature Management pubmed:29247448 |
| Neuroimmunomodulation | CD4+ T Cells Affect the Thyroid Hormone Transport at the Choroid Plexus in Mice Raised in Enriched Environment Pubmed: 30703773 |
| Diagnostics | Systemic Alterations of Immune Response-Related Proteins during Glaucoma Development in the Murine Model DBA/2J Pubmed: 32585848 |
| Circulation-Genomic and Precision Medicine | Primary Cardiac Involvement in the Rare Transthyretin Ile73Val Mutation: A Case Series Pubmed: 32393063 |
| Catalog No. | Related products for research use of Sus scrofa; Porcine (Pig) Organism species | Applications (RESEARCH USE ONLY!) |
| RPA726Po01 | Recombinant Prealbumin (PALB) | Positive Control; Immunogen; SDS-PAGE; WB. |
| PAA726Po01 | Polyclonal Antibody to Prealbumin (PALB) | WB; IHC |
| MAA726Po21 | Monoclonal Antibody to Prealbumin (PALB) | WB; IHC; ICC; IP. |
| SEA726Po | ELISA Kit for Prealbumin (PALB) | Enzyme-linked immunosorbent assay for Antigen Detection. |
| HEA726Po | High Sensitive ELISA Kit for Prealbumin (PALB) | Enzyme-linked immunosorbent assay for Antigen Detection. |
| LMA726Po | Multiplex Assay Kit for Prealbumin (PALB) ,etc. by FLIA (Flow Luminescence Immunoassay) | FLIA Kit for Antigen Detection. |
| KSA726Po01 | ELISA Kit DIY Materials for Prealbumin (PALB) | Main materials for "Do It (ELISA Kit) Yourself". |

