Polyclonal Antibody to Cyclooxygenase 1 (COX-1)
PTGS1; COX3; PCOX1; PGG/HS; PGHS1; PHS1; PTGHS; Prostaglandin Endoperoxide Synthase 1; Prostaglandin H2 Synthase 1; Prostaglandin G/H Synthase And Cyclooxygenase
- Product No.PAA728Hu01
 - Organism SpeciesHomo sapiens (Human) Same name, Different species.
 - SourcePolyclonal antibody preparation
 - HostRabbit
 - Potencyn/a
 - Ig Type IgG
 - PurificationAntigen-specific affinity chromatography followed by Protein A affinity chromatography
 - LabelNone
 - Immunogen RPA728Hu01-Recombinant Cyclooxygenase 1 (COX-1)
 - Buffer Formulation0.01M PBS, pH7.4, containing 0.05% Proclin-300, 50% glycerol.
 - TraitsLiquid
 - Concentration0.5mg/ml
 - Organism Species MoreRattus norvegicus (Rat)
 - ApplicationsWB; IHC
If the antibody is used in flow cytometry, please check FCM antibodies. - DownloadInstruction Manual
 - UOM 20µl100µl 200µl 1ml 10ml
 - FOB
    
                                    US$ 95 
            
                
                        US$ 221 
                                        US$ 316 
                                        US$ 790 
                                        US$ 3160 
                            
For more details, please contact local distributors! 
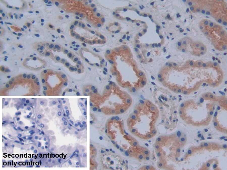
SPECIFITY
The antibody is a rabbit polyclonal antibody raised against COX-1. It has been selected for its ability to recognize COX-1 in immunohistochemical staining and western blotting.
USAGE
        Western blotting: 0.01-2µg/mL;
Immunohistochemistry: 5-20µg/mL;
Optimal working dilutions must be determined by end user.    
STORAGE
Store at 4°C for frequent use. Stored at -20°C in a manual defrost freezer for two year without detectable loss of activity. Avoid repeated freeze-thaw cycles.
STABILITY
The thermal stability is described by the loss rate. The loss rate was determined by accelerated thermal degradation test, that is, incubate the protein at 37°C for 48h, and no obvious degradation and precipitation were observed. The loss rate is less than 5% within the expiration date under appropriate storage condition.
GIVEAWAYS
INCREMENT SERVICES
- 
                    
                        Antibody Labeling Customized Service
                                     - 
                    
                        Protein A/G Purification Column
                                     - 
                    
                        Staining Solution for Cells and Tissue
                                     - 
                    
                        Positive Control  for Antibody
                                     - 
                    
                        Tissue/Sections Customized Service
                                     - 
                    
                        Phosphorylated Antibody Customized Service
                                     - 
                    
                        Western Blot (WB) Experiment Service
                                     - 
                    
                        Immunohistochemistry (IHC) Experiment Service
                                     - 
                    
                        Immunocytochemistry (ICC) Experiment Service
                                     - 
                    
                        Flow Cytometry (FCM) Experiment Service
                                     - 
                    
                        Immunoprecipitation (IP) Experiment Service
                                     - 
                    
                        Immunofluorescence (IF) Experiment Service
                                     - 
                    
                        Buffer
                                     - 
                    
                        DAB Chromogen Kit
                                     - 
                    
                        SABC Kit
                                     - 
                    
                        Long-arm Biotin Labeling Kit
                                     - 
                    
                        Real Time PCR Experimental Service
                                     
| Catalog No. | Related products for research use of Homo sapiens (Human) Organism species | Applications (RESEARCH USE ONLY!) | 
| RPA728Hu01 | Recombinant Cyclooxygenase 1 (COX-1) | Positive Control; Immunogen; SDS-PAGE; WB. | 
| PAA728Hu01 | Polyclonal Antibody to Cyclooxygenase 1 (COX-1) | WB; IHC | 
| MAA728Hu22 | Monoclonal Antibody to Cyclooxygenase 1 (COX-1) | WB; IHC; ICC; IP. | 
| SEA728Hu | ELISA Kit for Cyclooxygenase 1 (COX-1) | Enzyme-linked immunosorbent assay for Antigen Detection. | 
| LMA728Hu | Multiplex Assay Kit for Cyclooxygenase 1 (COX-1) ,etc. by FLIA (Flow Luminescence Immunoassay) | FLIA Kit for Antigen Detection. | 
        
                            
                            
                            
                            
