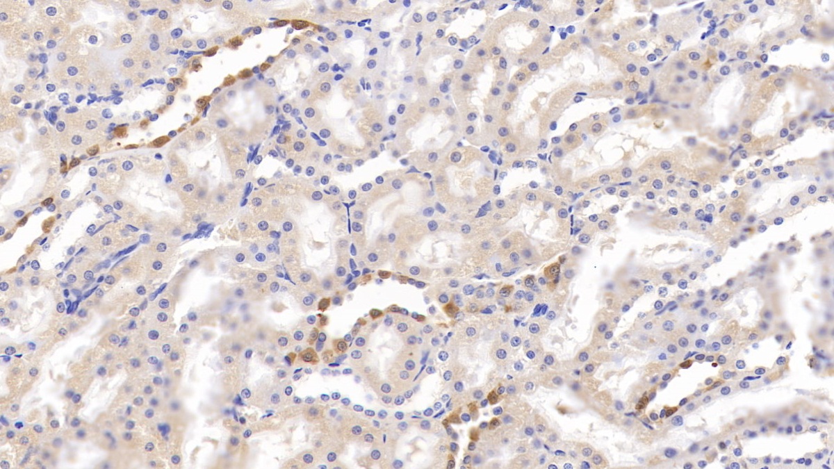
Polyclonal Antibody to Carbonic Anhydrase II (CA2)
CA-II; CAII; Car2; CAC; Carbonate dehydratase II; Carbonic anhydrase C
- Product No.PAA782Ra01
 - Organism SpeciesRattus norvegicus (Rat) Same name, Different species.
 - SourcePolyclonal antibody preparation
 - HostRabbit
 - Potencyn/a
 - Ig Type IgG
 - PurificationAntigen-specific affinity chromatography followed by Protein A affinity chromatography
 - LabelNone
 - Immunogen NPA782Ra01-Native Carbonic Anhydrase II (CA2)
 - Buffer Formulation0.01M PBS, pH7.4, containing 0.05% Proclin-300, 50% glycerol.
 - TraitsLiquid
 - Concentration0.5mg/ml
 - Organism Species MoreMus musculus (Mouse)
 - ApplicationsWB; IHC; ICC/IF
If the antibody is used in flow cytometry, please check FCM antibodies. - DownloadInstruction Manual
 - UOM 20µl100µl 200µl 1ml 10ml
 - FOB
    
                                    US$ 103 
            
                
                        US$ 239 
                                        US$ 342 
                                        US$ 855 
                                        US$ 3420 
                            
For more details, please contact local distributors! 
SPECIFITY
The antibody is a rabbit polyclonal antibody raised against CA2. It has been selected for its ability to recognize CA2 in immunohistochemical staining and western blotting.
USAGE
        Western blotting: 0.5-2µg/mL;
Immunohistochemistry: 5-20µg/mL;
Immunocytochemistry: 5-20µg/mL;
Optimal working dilutions must be determined by end user.    
STORAGE
Store at 4°C for frequent use. Stored at -20°C in a manual defrost freezer for two year without detectable loss of activity. Avoid repeated freeze-thaw cycles.
STABILITY
The thermal stability is described by the loss rate. The loss rate was determined by accelerated thermal degradation test, that is, incubate the protein at 37°C for 48h, and no obvious degradation and precipitation were observed. The loss rate is less than 5% within the expiration date under appropriate storage condition.
GIVEAWAYS
INCREMENT SERVICES
- 
                    
                        Antibody Labeling Customized Service
                                     - 
                    
                        Protein A/G Purification Column
                                     - 
                    
                        Staining Solution for Cells and Tissue
                                     - 
                    
                        Positive Control  for Antibody
                                     - 
                    
                        Tissue/Sections Customized Service
                                     - 
                    
                        Phosphorylated Antibody Customized Service
                                     - 
                    
                        Western Blot (WB) Experiment Service
                                     - 
                    
                        Immunohistochemistry (IHC) Experiment Service
                                     - 
                    
                        Immunocytochemistry (ICC) Experiment Service
                                     - 
                    
                        Flow Cytometry (FCM) Experiment Service
                                     - 
                    
                        Immunoprecipitation (IP) Experiment Service
                                     - 
                    
                        Immunofluorescence (IF) Experiment Service
                                     - 
                    
                        Buffer
                                     - 
                    
                        DAB Chromogen Kit
                                     - 
                    
                        SABC Kit
                                     - 
                    
                        Long-arm Biotin Labeling Kit
                                     - 
                    
                        Real Time PCR Experimental Service
                                     
| Magazine | Citations | 
| Proteomics Clin Appl. | Identification of potential breast cancer markers in nipple discharge by protein profile analysis using two-dimensional nano-liquid chromatography/nanoelectrospray ionization-mass spectrometry. Pubmed:26970563 | 
| PROTEOMICS - Clinical Applications | Comparative mass spectrometric and immunoassay-based proteome analysis in serum ofDuchenne muscular dystrophy patients. pubmed:26680509 | 
| Cell & Molecular Biology | Identification of potential breast cancer markers in nipple discharge by protein profile analysis using two‐dimensional nano‐liquid chromatography/nanoelectrospray … doi:10.1002 | 
| Catalog No. | Related products for research use of Rattus norvegicus (Rat) Organism species | Applications (RESEARCH USE ONLY!) | 
| NPA782Ra01 | Native Carbonic Anhydrase II (CA2) | Positive Control; Immunogen; SDS-PAGE; WB. | 
| APA782Ra02 | Active Carbonic Anhydrase II (CA2) | Cell culture; Activity Assays. | 
| APA782Ra01 | Active Carbonic Anhydrase II (CA2) | Cell culture; Activity Assays. | 
| RPA782Ra01 | Recombinant Carbonic Anhydrase II (CA2) | Positive Control; Immunogen; SDS-PAGE; WB. | 
| PAA782Ra02 | Polyclonal Antibody to Carbonic Anhydrase II (CA2) | WB; IHC | 
| PAA782Ra01 | Polyclonal Antibody to Carbonic Anhydrase II (CA2) | WB; IHC; ICC/IF | 
| LAA782Ra71 | Biotin-Linked Polyclonal Antibody to Carbonic Anhydrase II (CA2) | WB | 
| SEA782Ra | ELISA Kit for Carbonic Anhydrase II (CA2) | Enzyme-linked immunosorbent assay for Antigen Detection. | 
| LMA782Ra | Multiplex Assay Kit for Carbonic Anhydrase II (CA2) ,etc. by FLIA (Flow Luminescence Immunoassay) | FLIA Kit for Antigen Detection. | 
| KSA782Ra01 | ELISA Kit DIY Materials for Carbonic Anhydrase II (CA2) | Main materials for "Do It (ELISA Kit) Yourself". | 
        
                            
                            
                            
                            
                            
                            
                            
                            
                            
                            
                            
