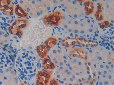
Polyclonal Antibody to Kallikrein 1 (KLK1)
KLKR; Klk6; HK1; Kallikrein 1,Renal/Pancreas/Salivary; Kidney/pancreas/salivary gland kallikrein; Tissue kallikrein
- Product No.PAA967Mu02
- Organism SpeciesMus musculus (Mouse) Same name, Different species.
- SourcePolyclonal antibody preparation
- HostRabbit
- Potencyn/a
- Ig Type IgG
- PurificationAntigen-specific affinity chromatography followed by Protein A affinity chromatography
- LabelNone
- Immunogen n/a
- Buffer FormulationPBS, pH7.4, containing 0.01% SKL, 1mM DTT, 5% Trehalose and Proclin300.
- TraitsLiquid
- Concentration500µg/mL
- Organism Species MoreHomo sapiens (Human)
- ApplicationsWB; IHC
If the antibody is used in flow cytometry, please check FCM antibodies. - Downloadn/a
- UOM 20µl100µl 200µl 1ml 10ml
- FOB
US$ 97
US$ 227
US$ 324
US$ 810
US$ 3240
For more details, please contact local distributors!
SPECIFITY
The antibody is a rabbit polyclonal antibody raised against KLK1. It has been selected for its ability to recognize KLK1 in immunohistochemical staining and western blotting.
USAGE
Western blotting: 0.2-2µg/mL;1:250-2500
Immunohistochemistry: 5-20µg/mL;1:25-100
Immunocytochemistry: 5-20µg/mL;1:25-100
Optimal working dilutions must be determined by end user.
STORAGE
Store at 4°C for frequent use. Stored at -20°C in a manual defrost freezer for two year without detectable loss of activity. Avoid repeated freeze-thaw cycles.
STABILITY
The thermal stability is described by the loss rate. The loss rate was determined by accelerated thermal degradation test, that is, incubate the protein at 37°C for 48h, and no obvious degradation and precipitation were observed. The loss rate is less than 5% within the expiration date under appropriate storage condition.
GIVEAWAYS
INCREMENT SERVICES
-
Antibody Labeling Customized Service
-
Protein A/G Purification Column
-
Staining Solution for Cells and Tissue
-
Positive Control for Antibody
-
Tissue/Sections Customized Service
-
Phosphorylated Antibody Customized Service
-
Western Blot (WB) Experiment Service
-
Immunohistochemistry (IHC) Experiment Service
-
Immunocytochemistry (ICC) Experiment Service
-
Flow Cytometry (FCM) Experiment Service
-
Immunoprecipitation (IP) Experiment Service
-
Immunofluorescence (IF) Experiment Service
-
Buffer
-
DAB Chromogen Kit
-
SABC Kit
-
Long-arm Biotin Labeling Kit
-
Real Time PCR Experimental Service
| Magazine | Citations |
| Journal of Virology | Kallikrein-Related Peptidase 5 Contributes to H3N2 Influenza Virus Infection in Human Lungs. pubmed:28615200 |
| Catalog No. | Related products for research use of Mus musculus (Mouse) Organism species | Applications (RESEARCH USE ONLY!) |
| RPA967Mu01 | Recombinant Kallikrein 1 (KLK1) | Positive Control; Immunogen; SDS-PAGE; WB. |
| RPA967Mu02 | Recombinant Kallikrein 1 (KLK1) | Positive Control; Immunogen; SDS-PAGE; WB. |
| CPA967Mu21 | OVA Conjugated Kallikrein 1 (KLK1) | Immunogen; SDS-PAGE; WB. |
| PAA967Mu08 | Polyclonal Antibody to Kallikrein 1 (KLK1) | WB; IHC; ICC; IP. |
| PAA967Mu02 | Polyclonal Antibody to Kallikrein 1 (KLK1) | WB; IHC |
| PAA967Mu01 | Polyclonal Antibody to Kallikrein 1 (KLK1) | WB; IHC |
| CEA967Mu | ELISA Kit for Kallikrein 1 (KLK1) | Enzyme-linked immunosorbent assay for Antigen Detection. |
| LMA967Mu | Multiplex Assay Kit for Kallikrein 1 (KLK1) ,etc. by FLIA (Flow Luminescence Immunoassay) | FLIA Kit for Antigen Detection. |
| KSA967Mu11 | ELISA Kit DIY Materials for Kallikrein 1 (KLK1) | Main materials for "Do It (ELISA Kit) Yourself". |
