Polyclonal Antibody to Vitronectin (VTN)
V75; VN; VNT; Serum Spreading Factor; Somatomedin B; Complement S-Protein
- Product No.PAB041Mu02
- Organism SpeciesMus musculus (Mouse) Same name, Different species.
- SourcePolyclonal antibody preparation
- HostRabbit
- Potencyn/a
- Ig Type IgG
- PurificationAntigen-specific affinity chromatography followed by Protein A affinity chromatography
- LabelNone
- Immunogen RPB041Mu02-Recombinant Vitronectin (VTN)
- Buffer Formulation0.01M PBS, pH7.4, containing 0.05% Proclin-300, 50% glycerol.
- TraitsLiquid
- Concentration500µg/mL
- Organism Species MoreRattus norvegicus (Rat)
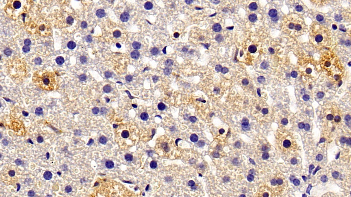
- ApplicationsWB; IHC
If the antibody is used in flow cytometry, please check FCM antibodies. - DownloadInstruction Manual
- UOM 20µl100µl 200µl 1ml 10ml
- FOB
US$ 103
US$ 239
US$ 342
US$ 855
US$ 3420
For more details, please contact local distributors!
SPECIFITY
The antibody is a rabbit polyclonal antibody raised against VTN. It has been selected for its ability to recognize VTN in immunohistochemical staining and western blotting.
USAGE
Western blotting: 0.5-2µg/mL
Immunohistochemistry: 5-20µg/mL
Immunocytochemistry: 5-20µg/mL
Optimal working dilutions must be determined by end user.
STORAGE
Store at 4°C for frequent use. Stored at -20°C in a manual defrost freezer for two year without detectable loss of activity. Avoid repeated freeze-thaw cycles.
STABILITY
The thermal stability is described by the loss rate. The loss rate was determined by accelerated thermal degradation test, that is, incubate the protein at 37°C for 48h, and no obvious degradation and precipitation were observed. The loss rate is less than 5% within the expiration date under appropriate storage condition.
GIVEAWAYS
INCREMENT SERVICES
-
Antibody Labeling Customized Service
-
Protein A/G Purification Column
-
Staining Solution for Cells and Tissue
-
Positive Control for Antibody
-
Tissue/Sections Customized Service
-
Phosphorylated Antibody Customized Service
-
Western Blot (WB) Experiment Service
-
Immunohistochemistry (IHC) Experiment Service
-
Immunocytochemistry (ICC) Experiment Service
-
Flow Cytometry (FCM) Experiment Service
-
Immunoprecipitation (IP) Experiment Service
-
Immunofluorescence (IF) Experiment Service
-
Buffer
-
DAB Chromogen Kit
-
SABC Kit
-
Long-arm Biotin Labeling Kit
-
Real Time PCR Experimental Service
| Magazine | Citations |
| Biomedical Engineering and Informatics | Application of iTRAQ quantitative proteomics in identification of serum biomarkers in breast cancer IEEE: 6098563 |
| PLoS ONE | Identification of Altered Plasma Proteins by Proteomic Study in Valvular Heart Diseases and the Potential Clinical Significance PubMed: PMC3754973 |
| Liver International | Identification of candidate biomarkers for hepatocellular carcinoma in plasma of HCV-infected cirrhotic patients by 2-D DIGE Pubmed: 23944848 |
| Analytical Biochemistry | A multianalytical approach to investigate the effect of nanofiltration on plasma-derived factor IX clinical lots Pubmed:29154788 |
| Journal of Materials Chemistry B | Serum protein adsorption profile on BCP ceramic and influence of the elevated adsorption of adhesive proteins on the behaviour of MSCs Doi: 10.1039/C8TB02283F |
| JOURNAL OF NEPHROLOGY | Urinary vitronectin identifies patients with high levels of fibrosis in kidney grafts 33275196 |
| Catalog No. | Related products for research use of Mus musculus (Mouse) Organism species | Applications (RESEARCH USE ONLY!) |
| RPB041Mu01 | Recombinant Vitronectin (VTN) | Positive Control; Immunogen; SDS-PAGE; WB. |
| RPB041Mu02 | Recombinant Vitronectin (VTN) | Positive Control; Immunogen; SDS-PAGE; WB. |
| PAB041Mu01 | Polyclonal Antibody to Vitronectin (VTN) | WB |
| PAB041Mu02 | Polyclonal Antibody to Vitronectin (VTN) | WB; IHC |
| SEB041Mu | ELISA Kit for Vitronectin (VTN) | Enzyme-linked immunosorbent assay for Antigen Detection. |
| LMB041Mu | Multiplex Assay Kit for Vitronectin (VTN) ,etc. by FLIA (Flow Luminescence Immunoassay) | FLIA Kit for Antigen Detection. |

