Polyclonal Antibody to Clusterin (CLU)
CLU; TRPM2; KUB1; CLI; APOJ; SGP2; AAG4; APO-J; SP-40; Apolipoprotein J; Complement Lysis Inhibitor; 40,Sulfated Glycoprotein 2; Testosterone-Repressed Prostate Message 2
- Product No.PAB180Hu01
- Organism SpeciesHomo sapiens (Human) Same name, Different species.
- SourcePolyclonal antibody preparation
- HostRabbit
- Potencyn/a
- Ig Type IgG
- PurificationAntigen-specific affinity chromatography followed by Protein A affinity chromatography
- LabelNone
- Immunogen RPB180Hu01-Recombinant Clusterin (CLU)
- Buffer Formulation0.01M PBS, pH7.4, containing 0.05% Proclin-300, 50% glycerol.
- TraitsLiquid
- Concentration0.5mg/mL
- Organism Species MoreMus musculus (Mouse)
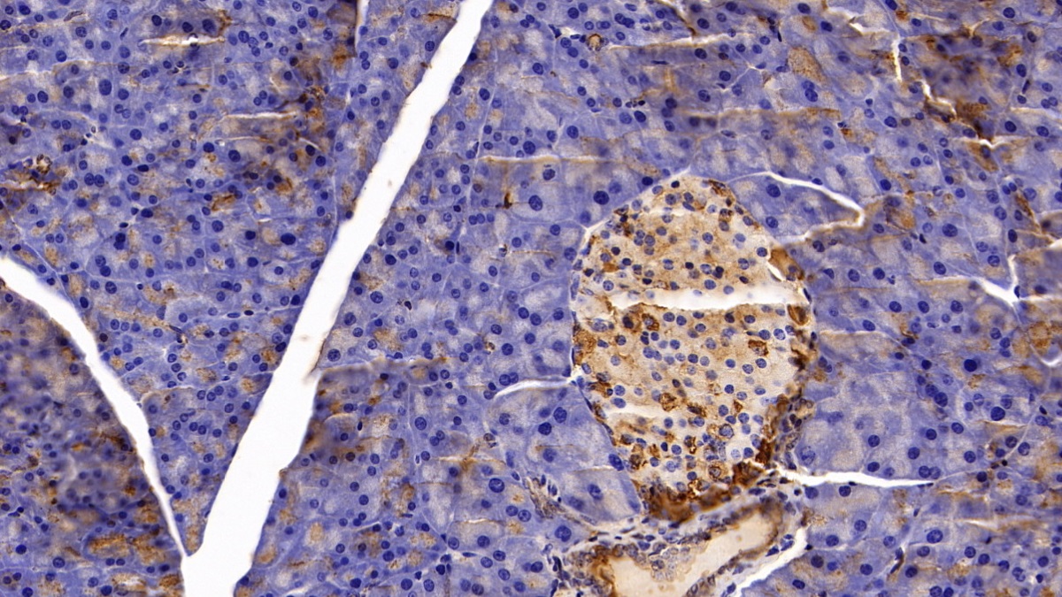
- ApplicationsWB; IHC
If the antibody is used in flow cytometry, please check FCM antibodies. - DownloadInstruction Manual
- UOM 20µl100µl 200µl 1ml 10ml
- FOB
US$ 70
US$ 164
US$ 234
US$ 585
US$ 2340
For more details, please contact local distributors!
SPECIFITY
The antibody is a rabbit polyclonal antibody raised against CLU. It has been selected for its ability to recognize CLU in immunohistochemical staining and western blotting.
USAGE
Western blotting: 0.01-2µg/mL;
Immunohistochemistry: 5-20µg/mL;
Optimal working dilutions must be determined by end user.
STORAGE
Store at 4°C for frequent use. Stored at -20°C in a manual defrost freezer for two year without detectable loss of activity. Avoid repeated freeze-thaw cycles.
STABILITY
The thermal stability is described by the loss rate. The loss rate was determined by accelerated thermal degradation test, that is, incubate the protein at 37°C for 48h, and no obvious degradation and precipitation were observed. The loss rate is less than 5% within the expiration date under appropriate storage condition.
GIVEAWAYS
INCREMENT SERVICES
-
Antibody Labeling Customized Service
-
Protein A/G Purification Column
-
Staining Solution for Cells and Tissue
-
Positive Control for Antibody
-
Tissue/Sections Customized Service
-
Phosphorylated Antibody Customized Service
-
Western Blot (WB) Experiment Service
-
Immunohistochemistry (IHC) Experiment Service
-
Immunocytochemistry (ICC) Experiment Service
-
Flow Cytometry (FCM) Experiment Service
-
Immunoprecipitation (IP) Experiment Service
-
Immunofluorescence (IF) Experiment Service
-
Buffer
-
DAB Chromogen Kit
-
SABC Kit
-
Long-arm Biotin Labeling Kit
-
Real Time PCR Experimental Service
| Magazine | Citations |
| Endocrinology | Deficiency of Clusterin Exacerbates High-Fat Diet-Induced Insulin Resistance in Male Mice Pubmed: 24684302 |
| J Mol Neurosci. | Time-Dependent Decrease of Clusterin as a Potential Cerebrospinal Fluid Biomarker for Drug-Resistant Epilepsy. Pubmed: 24488574 |
| PLOS ONE | Serum Amyloid A and Clusterin as Potential Predictive Biomarkers for Severe Hand, Foot and Mouth Disease by 2D-DIGE Proteomics Analysis Pubmed:25268271 |
| journal of immunological methods | Proteomic analysis of human plasma and peripheral blood mononuclear cells in Systemic Lupus Erythematosus patients. pubmed:28390925 |
| Journal of Alzheimer's Disease | Proteomics Analysis of Blood Serums from Alzheimer's Disease Patients Using iTRAQ LabelingTechnology. pubmed:27911324 |
| Biochimica Et Biophysica Acta | Regulatory effects of simvastatin and apoJ on APP processing and amyloid-β clearance in blood-brain barrier endothelial cells pubmed:28941799 |
| World Neurosurgery | Clusterin, a New Cerebrospinal Fluid Biomarker in Severe Subarachnoid Hemorrhage: A Pilot Study pubmed:28803177 |
| BMC Cancer | Screening for immune-potentiating antigens from hepatocellular carcinoma patients after radiofrequency ablation by serum proteomic analysis Pubmed:29386009 |
| Diabetes/metabolism research and reviews | High serum clusterin levels are correlated with premature coronary artery disease in a Chinese population Pubmed: 30659732 |
| Cancer Cell Int | Discovery and validation of FBLN1 and ANT3 as potential biomarkers for early detection of cervical cancer 33602229 |
| Catalog No. | Related products for research use of Homo sapiens (Human) Organism species | Applications (RESEARCH USE ONLY!) |
| RPB180Hu02 | Recombinant Clusterin (CLU) | Positive Control; Immunogen; SDS-PAGE; WB. |
| RPB180Hu01 | Recombinant Clusterin (CLU) | Positive Control; Immunogen; SDS-PAGE; WB. |
| PAB180Hu01 | Polyclonal Antibody to Clusterin (CLU) | WB; IHC |
| LAB180Hu81 | FITC-Linked Polyclonal Antibody to Clusterin (CLU) | WB; IHC; ICC; IF. |
| LAB180Hu71 | Biotin-Linked Polyclonal Antibody to Clusterin (CLU) | WB; IHC; ICC. |
| MAB180Hu23 | Monoclonal Antibody to Clusterin (CLU) | WB; ICC/IF |
| MAB180Hu22 | Monoclonal Antibody to Clusterin (CLU) | WB |
| MAB180Hu21 | Monoclonal Antibody to Clusterin (CLU) | WB; ICC/IF |
| FAB180Hu02 | Anti-Clusterin (CLU) Monoclonal Antibody | FCM |
| SEB180Hu | ELISA Kit for Clusterin (CLU) | Enzyme-linked immunosorbent assay for Antigen Detection. |
| LMB180Hu | Multiplex Assay Kit for Clusterin (CLU) ,etc. by FLIA (Flow Luminescence Immunoassay) | FLIA Kit for Antigen Detection. |
| KSB180Hu01 | ELISA Kit DIY Materials for Clusterin (CLU) | Main materials for "Do It (ELISA Kit) Yourself". |

