Polyclonal Antibody to Mitogen Activated Protein Kinase 14 (MAPK14)
CSBP1; CSBP2; CSPB1; EXIP; Mxi2; PRKM14; PRKM15; RK; SAPK2A; P38; Mitogen-activated protein kinase p38 alpha; Cytokine suppressive anti-inflammatory drug-binding protein
- Product No.PAB206Hu01
- Organism SpeciesHomo sapiens (Human) Same name, Different species.
- SourcePolyclonal antibody preparation
- HostRabbit
- Potencyn/a
- Ig Type IgG
- PurificationAntigen-specific affinity chromatography followed by Protein A affinity chromatography
- LabelNone
- Immunogen RPB206Hu01-Recombinant Mitogen Activated Protein Kinase 14 (MAPK14)
- Buffer Formulation0.01M PBS, pH7.4, containing 0.05% Proclin-300, 50% glycerol.
- TraitsLiquid
- Concentration0.2mg/mL
- Organism Species MoreMus musculus (Mouse), Rattus norvegicus (Rat), Sus scrofa; Porcine (Pig)
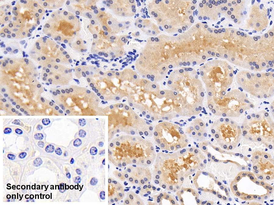
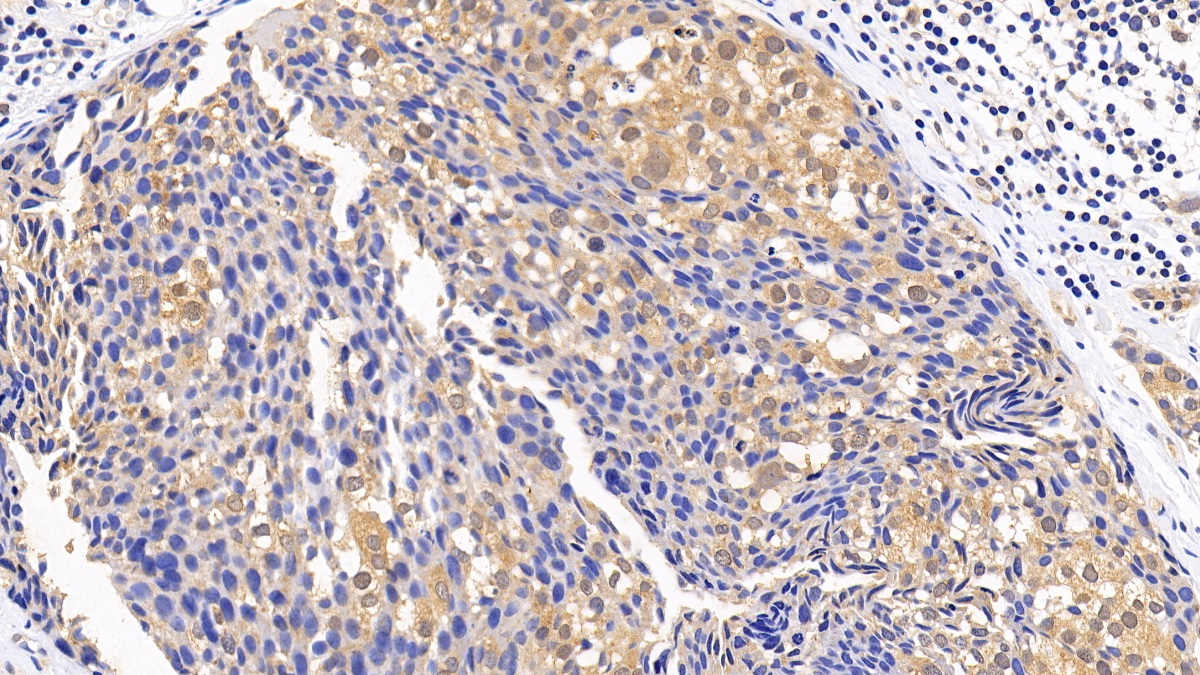
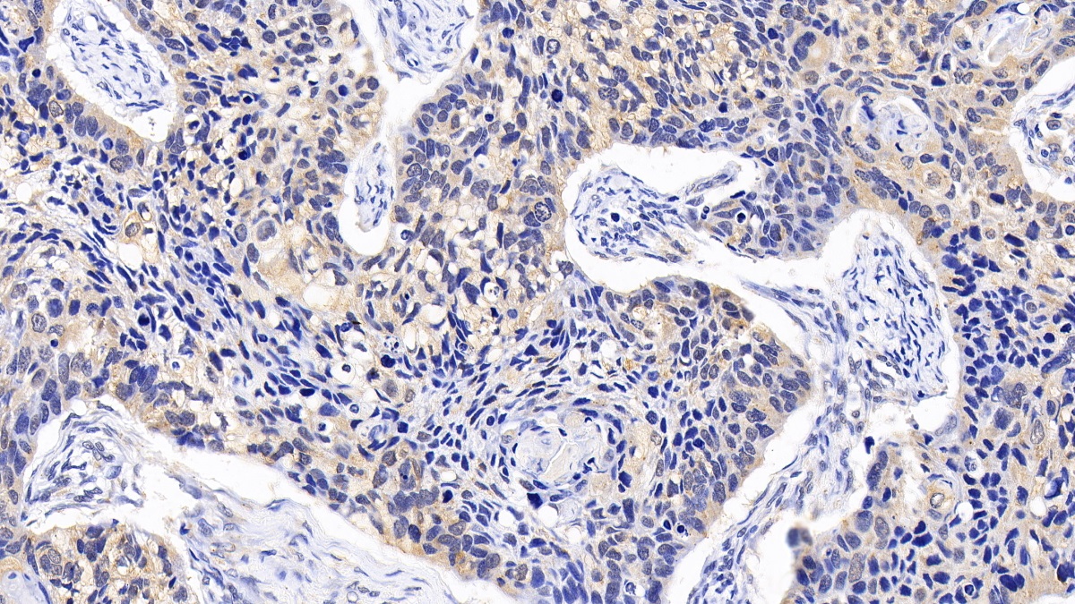
- ApplicationsWB; IHC; ICC/IF
If the antibody is used in flow cytometry, please check FCM antibodies. - DownloadInstruction Manual
- UOM 20µl100µl 200µl 1ml 10ml
- FOB
US$ 100
US$ 232
US$ 332
US$ 830
US$ 3320
For more details, please contact local distributors!
SPECIFITY
The antibody is a rabbit polyclonal antibody raised against MAPK14. It has been selected for its ability to recognize MAPK14 in immunohistochemical staining and western blotting.
USAGE
Western blotting: 0.01-2µg/mL;
Immunohistochemistry: 5-20µg/mL;
Immunocytochemistry: 5-30µg/mL;
Optimal working dilutions must be determined by end user.
STORAGE
Store at 4°C for frequent use. Stored at -20°C in a manual defrost freezer for two year without detectable loss of activity. Avoid repeated freeze-thaw cycles.
STABILITY
The thermal stability is described by the loss rate. The loss rate was determined by accelerated thermal degradation test, that is, incubate the protein at 37°C for 48h, and no obvious degradation and precipitation were observed. The loss rate is less than 5% within the expiration date under appropriate storage condition.
GIVEAWAYS
INCREMENT SERVICES
-
Antibody Labeling Customized Service
-
Protein A/G Purification Column
-
Staining Solution for Cells and Tissue
-
Positive Control for Antibody
-
Tissue/Sections Customized Service
-
Phosphorylated Antibody Customized Service
-
Western Blot (WB) Experiment Service
-
Immunohistochemistry (IHC) Experiment Service
-
Immunocytochemistry (ICC) Experiment Service
-
Flow Cytometry (FCM) Experiment Service
-
Immunoprecipitation (IP) Experiment Service
-
Immunofluorescence (IF) Experiment Service
-
Buffer
-
DAB Chromogen Kit
-
SABC Kit
-
Long-arm Biotin Labeling Kit
-
Real Time PCR Experimental Service
| Magazine | Citations |
| J Ethnopharmacol | Isolation and characterization of anti-inflammatory and anti-proliferative compound, for B-cell Non-Hodgkin lymphoma, from Nyctanthes arbor-tristis Linn. Pubmed:35398498 |
| Catalog No. | Related products for research use of Homo sapiens (Human) Organism species | Applications (RESEARCH USE ONLY!) |
| RPB206Hu01 | Recombinant Mitogen Activated Protein Kinase 14 (MAPK14) | Positive Control; Immunogen; SDS-PAGE; WB. |
| PAB206Hu01 | Polyclonal Antibody to Mitogen Activated Protein Kinase 14 (MAPK14) | WB; IHC; ICC/IF |
| MAB206Hu22 | Monoclonal Antibody to Mitogen Activated Protein Kinase 14 (MAPK14) | WB; IHC; ICC; IP. |
| SEB206Hu | ELISA Kit for Mitogen Activated Protein Kinase 14 (MAPK14) | Enzyme-linked immunosorbent assay for Antigen Detection. |
| LMB206Hu | Multiplex Assay Kit for Mitogen Activated Protein Kinase 14 (MAPK14) ,etc. by FLIA (Flow Luminescence Immunoassay) | FLIA Kit for Antigen Detection. |

