Polyclonal Antibody to Cytokeratin 19 (CK19)
K19; KRT19; K1CS; Keratin 19; 40-kDa Keratin Intermediate Filament; Keratin, type I cytoskeletal 19
- Product No.PAB239Mu01
- Organism SpeciesMus musculus (Mouse) Same name, Different species.
- SourcePolyclonal antibody preparation
- HostRabbit
- Potencyn/a
- Ig Type IgG
- PurificationAntigen-specific affinity chromatography followed by Protein A affinity chromatography
- LabelNone
- Immunogen RPB239Mu01-Recombinant Cytokeratin 19 (CK19)
- Buffer Formulation0.01M PBS, pH7.4, containing 0.05% Proclin-300, 50% glycerol.
- TraitsLiquid
- Concentration0.45mg/mL
- Organism Species MoreHomo sapiens (Human), Rattus norvegicus (Rat)
- ApplicationsWB; IHC
If the antibody is used in flow cytometry, please check FCM antibodies. - DownloadInstruction Manual
- UOM 20µl100µl 200µl 1ml 10ml
- FOB
US$ 103
US$ 239
US$ 342
US$ 855
US$ 3420
For more details, please contact local distributors!
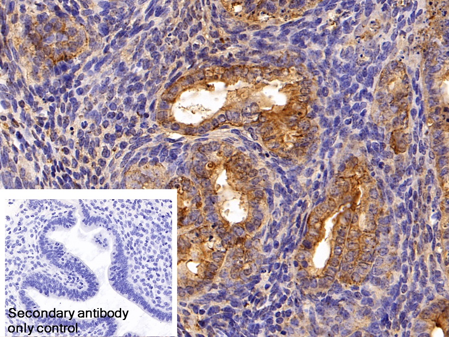
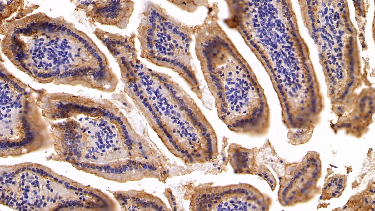
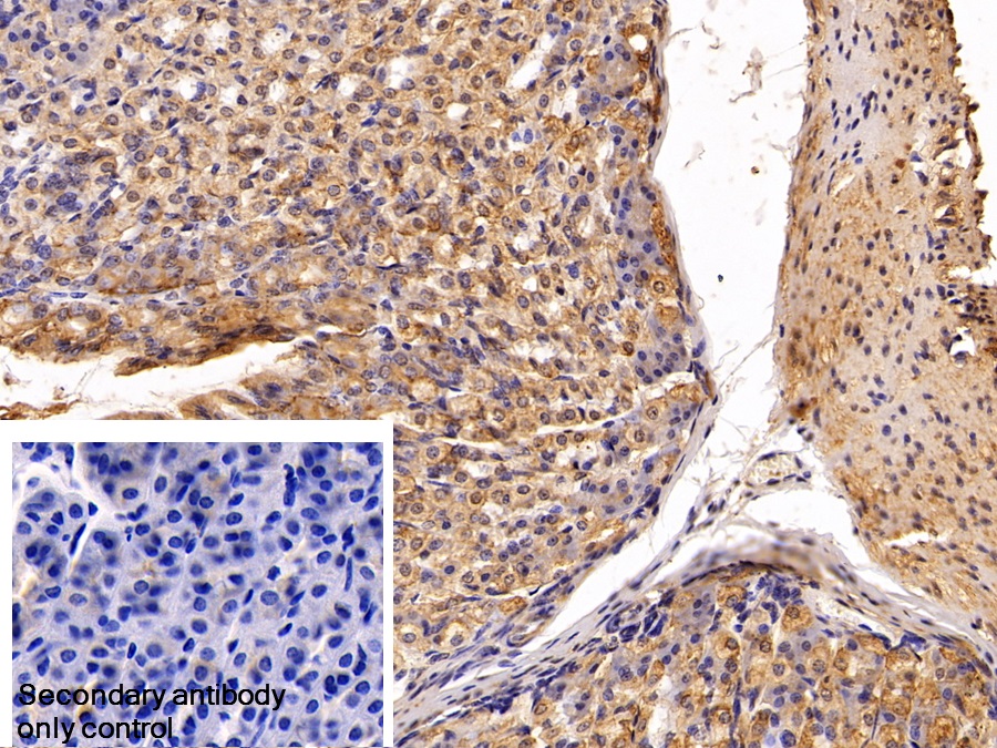
SPECIFITY
The antibody is a rabbit polyclonal antibody raised against CK19. It has been selected for its ability to recognize CK19 in immunohistochemical staining and western blotting.
USAGE
Western blotting: 0.01-2µg/mL
Immunohistochemistry: 5-20µg/mL
Immunocytochemistry: 5-20µg/mL
Optimal working dilutions must be determined by end user.
STORAGE
Store at 4°C for frequent use. Stored at -20°C in a manual defrost freezer for two year without detectable loss of activity. Avoid repeated freeze-thaw cycles.
STABILITY
The thermal stability is described by the loss rate. The loss rate was determined by accelerated thermal degradation test, that is, incubate the protein at 37°C for 48h, and no obvious degradation and precipitation were observed. The loss rate is less than 5% within the expiration date under appropriate storage condition.
GIVEAWAYS
INCREMENT SERVICES
-
Antibody Labeling Customized Service
-
Protein A/G Purification Column
-
Staining Solution for Cells and Tissue
-
Positive Control for Antibody
-
Tissue/Sections Customized Service
-
Phosphorylated Antibody Customized Service
-
Western Blot (WB) Experiment Service
-
Immunohistochemistry (IHC) Experiment Service
-
Immunocytochemistry (ICC) Experiment Service
-
Flow Cytometry (FCM) Experiment Service
-
Immunoprecipitation (IP) Experiment Service
-
Immunofluorescence (IF) Experiment Service
-
Buffer
-
DAB Chromogen Kit
-
SABC Kit
-
Long-arm Biotin Labeling Kit
-
Real Time PCR Experimental Service
| Catalog No. | Related products for research use of Mus musculus (Mouse) Organism species | Applications (RESEARCH USE ONLY!) |
| RPB239Mu02 | Recombinant Cytokeratin 19 (CK19) | Positive Control; Immunogen; SDS-PAGE; WB. |
| RPB239Mu01 | Recombinant Cytokeratin 19 (CK19) | Positive Control; Immunogen; SDS-PAGE; WB. |
| PAB239Mu02 | Polyclonal Antibody to Cytokeratin 19 (CK19) | WB; IHC; ICC; IP. |
| PAB239Mu01 | Polyclonal Antibody to Cytokeratin 19 (CK19) | WB; IHC |
| LAB239Mu81 | FITC-Linked Polyclonal Antibody to Cytokeratin 19 (CK19) | WB; IHC; ICC; IF. |
| LAB239Mu71 | Biotin-Linked Polyclonal Antibody to Cytokeratin 19 (CK19) | WB |
| SEB239Mu | ELISA Kit for Cytokeratin 19 (CK19) | Enzyme-linked immunosorbent assay for Antigen Detection. |
| LMB239Mu | Multiplex Assay Kit for Cytokeratin 19 (CK19) ,etc. by FLIA (Flow Luminescence Immunoassay) | FLIA Kit for Antigen Detection. |
| KSB239Mu01 | ELISA Kit DIY Materials for Cytokeratin 19 (CK19) | Main materials for "Do It(ELISA Kit) Yourself" |

